我院超声医学科被授予中国超声造影培训基地,是江苏省唯一 一家国家级超声造影培训基地 这是超声科发展史上一个新的里程碑什么是超声造影
超声造影(CEUS),是利用超声造影剂气体微泡(SonoVue)在声场中产生的强烈背向散射来获得对比增强图像,是一种可以明显提高超声诊断分辨力、敏感性和特异性的技术,能实时动态观察、定量评估器官、组织及病灶局部的血流灌注信息,在肿瘤的定性诊断、微小病灶的早期发现、外伤快速诊断、血管病变的诊断、介入治疗后疗效评估及引导穿刺活检等方面效果显著。这是一种先进的超声成像技术,被称作是继二维超声、多普勒血流成像之后的第三次革命。
超声造影安全吗
超声造影剂为注射用六氟化硫微泡,是一种白色粉末,加入生理盐水5ml振摇后溶解为乳白色液体。它是一种惰性无毒的气体、在水中溶解度极低,一般在注射15分钟后几乎所有的六氟化硫气体都随呼吸排除体外,不经肝肾代谢,即使肾功能不全、碘过敏患者也能做超声造影检查,与增强CT、增强MR形成互补。
超声造影安全,诊断分辨力、敏感性强
微小的病灶逃也不出它的“法眼”
实时动态扫查更能提高诊断的精准度
减轻病人的痛苦
病例1
情况:患者男,57岁,右上腹隐痛5天,大便不成形4天”入院


外院CT提示脓肿可能,于我院就诊,准备行脓肿穿刺置管引流术,为术前明断诊断,先行超声造影检查,结果显示肿块呈不均匀低增强,延迟期造影剂消退,考虑肝K可能。行穿刺活检术,病理证实为:胆管细胞癌。
因超声造影可全程观察造影剂灌注与消退,信息完整,对病变的诊断特异性较高,在肿瘤良恶性的鉴别诊断方面效果显著。
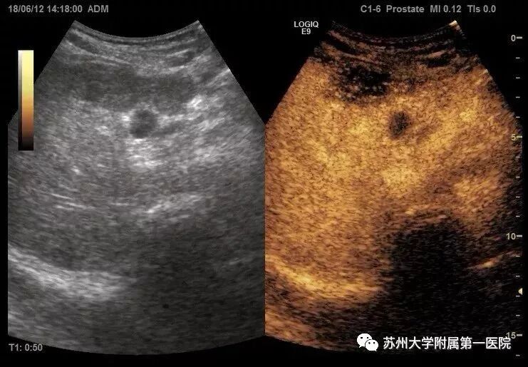
病例2
情况:女,30岁,体检发现甲状腺结节
结节边缘模糊,似呈毛刺样,二维超声提示恶性可能大,建议FNA(细针穿刺抽吸细胞学检查)。患者心理压力较大。

灰阶图像

超声造影图像
选择超声造影原因:超声造影显示结节始终无明显增强,考虑为结节性甲状腺肿结节出血后皱缩所致。为良性病变,避免了无效的穿刺,极大缓解了病人心理压力。
超声医学科不断超越自我
我院超声医学科自2007年开展超声造影技术,不断积累经验。近年来在科主任董凤林主任的带领下又不断突破自我。
董凤林主任在做肝脏超声造影 患者肝癌术后3年 怀疑复发
2017年被中国医师协会超声医师分会授予“超声造影优秀单位”同年被江苏省医学会超声分会授予首批江苏省超声造影培训基地(全省仅3家)


此次中国超声造影培训基地的获得,更是标志着我院超声科已达到国内领先水准,同时也肩负着未来在苏州、江苏乃至整个华东地区普及、培训超声造影的重任,为更多的医院带来这项先进技术,更好的服务患者。