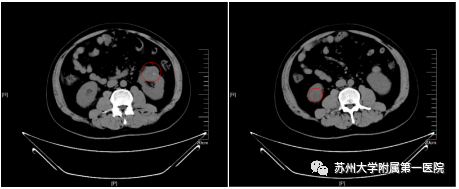
近日,家住安徽枞阳县的43岁王先生(化名) 因腰部胀痛不适两周到当地医院就诊 查CT显示:双肾占位,左侧4.5cm,右侧1.5cm 考虑恶性肿瘤! 左侧肾癌的RENAL评分达到了8A 手术难度相当大! 由于双侧肾都有肿瘤,大小位置都有差异 当地就诊医生建议患者行分时分侧肾部分切除 (图中红色圈标出部分为肾肿瘤) 患者了解到苏州大学附属第一医院泌尿外科机器人手术团队治疗高难度肾癌经验丰富、技艺精湛,于是怀揣着希望来到了我院就诊。 入院后,我院泌尿外科机器人团队 在黄玉华教授及浦金贤教授的指导下 进行了病例讨论,仔细读片,商讨手术方案 团队考虑到患者为中青年,是家庭顶梁柱!分时分侧行肾部分切除术虽然是最稳妥的手术方式,但……无疑会给这个家庭带来极大的负担,这个家庭可能有很长一段时间没有收入来源! 由于肿瘤位于双侧,普通的腹腔镜手术必然不能完成此次手术,综合考虑手术及风险、经济原因等因素后,泌尿外科机器人团队制定了机器人辅助下双侧肾癌一期肾部分切除术的治疗方案,力求在治愈肿瘤的同时为患者尽可能多的保留双肾功能,用最小的创伤获得最大收益。经团队讨论,该手术将由浦金贤教授主刀完成手术。 手术日一早,机器人团队完成查房后就跟随两位教授赶到了手术室,与手术室巡回护士赵茹一同核查达芬奇机器人手术设备各项运行情况,以保证手术顺利运行。 在手术室嵇富海主任带领的麻醉医师团队合作下,有条不紊的完成麻醉,团队医生先在患者腹部打孔安装达芬奇机械臂,主刀医生浦金贤教授则在距离手术台2米左右的控制台前,熟练控制着操作杆和脚踏,通过传感器让机器人的机械臂配合默契的完成整台手术,成功切除患者双侧肾肿瘤,最大限度的保留双侧正常肾脏组织,出血量极少,效果满意。 (图为手术中切除的肿瘤) 黄玉华主任介绍道 达芬奇手术机器人(da Vinci Robotic Assisted Laparoscopic Surgery)在泌尿外科手术中优势明显,这个患者为双侧肾癌,位置及大小都有明显差异,特别是左侧肿瘤位于腹侧肾门部,位置刁钻、手术难度大。普通腹腔镜处理难度、风险巨大。 正是考虑到达芬奇机器人的优点,我们成功地在短时间内一期手术切除患者双侧肾肿瘤,保留双侧正常肾脏,术中出血少、缝合满意,使患者能够在短时间内恢复正常,同时节约了患者的费用。这次高难度手术的成功完成,标志附一院泌尿外科迎来了一个崭新的医疗微创时代,手术水平达到了先进的国际水平。 “达芬奇”手术机器人可广泛应用于泌尿外科、妇产科、普外科、胸外科等多个外科手术领域,更值得期待的是,远程手术概念已初具雏形,或许不久的将来,手术医生可以通过控制平台为千里之外的患者实施手术治疗。第四代“达芬奇”代表了目前全球手术机器人的高水准,开启了苏州肿瘤外科治疗领域新纪元,为苏州人民享受全球新科技医疗服务提供了机会和便捷。 擅长疾病:泌尿系统肿瘤及前列腺疾病和泌尿系统结石的诊治。 专家门诊: 十梓街院区:周一全天 总院:周二全天 擅长疾病:泌尿外科和男性老年的常见病和疑难杂症。 专家门诊: 十梓街院区:周二上午 总院:周一上午专家门诊;周一下午高级专家门诊
机器人手术


团队专家简介
黄玉华
浦金贤


















































