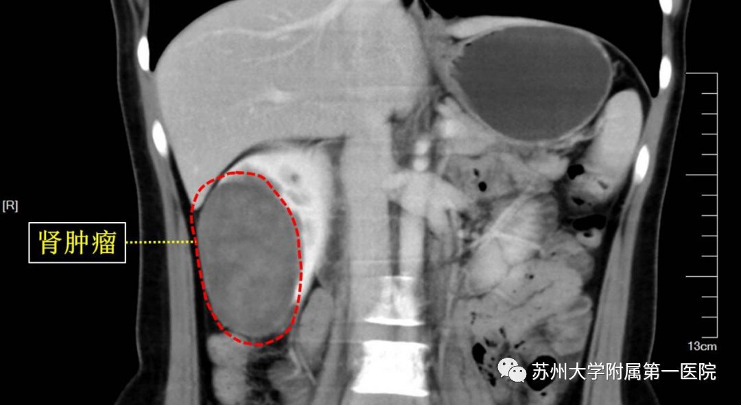
三十岁姑娘小张,家庭事业双丰收,偶然体检发现右肾9厘米的肿瘤,性质不明,一家人如晴天霹雳,先后辗转多家医院就诊,均建议做一侧根治性肾切除。 要切掉一个肾脏,对长远的角度上看,肯定会影响到患者的生活质量,小张一家人有些犹豫。 后来,小张慕名来到苏大附一院,找到泌尿外科周峰主任,周峰主任仔细阅片,量身定制治疗方案,小张肾脏约11厘米大小,但肿瘤有9厘米! 相对来说肿瘤实在太大了,根治性切除术固然是最保守的治疗方案。 但患者非常年轻,手术治疗彻底的情况下考虑长久恢复,还是可以尝试微创行腹腔镜保留肾单位的肾部分切除术,保留剩余的肾脏,保全患者肾功能。 最后经过和患者及家属的充分沟通和积极术前准备后,在科室主任黄玉华教授、平季根教授的支持下,周峰主任所在的肿瘤微创团队为小张做了腹腔镜微创保肾手术,手术过程顺利,完整切除了肿瘤,保下了半个肾脏,结果皆大欢喜。 术后及四月份复查结果:保留的部分肾脏功能完好,能够继续为小张的健康贡献一份力。 据全国肿瘤防治研究办公室和卫生部卫生统计信息中心统计,我国肾癌发病率呈逐年上升趋势,大多数肾癌患者是由于健康查体时发现的无症状肾癌。 对局限性或局部进展性(早期或中期)肾癌患者采用以外科手术为主的治疗方式。外科手术治疗肾癌通常是首选治疗方法,也是目前被公认可治愈肾癌的手段。 对早期肾癌患者可采用保留肾单位手术(保留肾脏的手术)或根治性肾切除术。这些手术可以采用腹腔镜手术或传统的开放性手术进行。Ⅰ、Ⅱ期肾癌患者治疗后5年生存率分别可达到92%、86%。 周峰主任所在的泌尿外科肿瘤治疗团队,发起了“肾脏保卫战”之“千肾计划”,大力推行微创保肾手术。 对于早、中期肾癌,机器人或腹腔镜微创行保留肾单位的肾肿瘤切除术,有效治疗肿瘤的同时,全力保护患者肾功能,保障患者的长期健康和生活质量。 苏大附一院泌尿外科肿瘤治疗团队 始终以保护患者肾功能为宗旨, 必将为广大早中期肾肿瘤患者带来更多收益, 着力提高患者生活质量。

















































