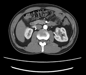
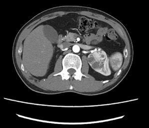
近日,家住金华的胡先生(化名)遇到了重大危机:人到中年,平时身体还算健康,正是事业黄金期,家中的顶梁柱,在一年一度健康体检时,发现左侧肾脏上多了一颗“定时炸弹”。 这枚“炸弹”悄无声息地盘踞在胡先生的左肾上,沉默地挤占、延伸着,竟已超过半个肾脏的大小。这消息对全家来说,不啻惊雷。 当地医院的医生告诉胡先生,这枚肿块的位置较深,手术难度较大,可能无法保留左肾。胡先生怀着沉重的心情和家属讨论后,决定到浙江大学医学院附属第二医院泌尿外科寻求治疗。 (胡先生的左肾肿瘤) 浙大二院泌尿外科的裘益青主任医师接诊了胡先生。面对胡先生的情况,裘医生仔细阅片,告诉胡先生他的年龄不大,肾功能尚可,左肾肿瘤形态和密度考虑恶性肿瘤,而且体积较大,位置较深,位于肾门,需行保肾的肿物切除手术,手术难度较大,建议使用达芬奇机器人辅助手术。 在于家人讨论后,胡先生决定听从裘医生的建议,接受手术治疗。 03一觉醒来剥除“定时炸弹” 术前,裘医生在科室进行了手术讨论,决定了机器人辅助下腹腔镜经后腹腔的手术方式。手术开始,裘医生充分游离左肾周筋膜,开阔视野,暴露肾脏中上极背侧肾门部约4.5cm的那枚“定时炸弹”,它突出肾脏表面,盘踞肾门,血管包绕与周围组织明显粘连,若要完整剥除必定是一场硬战。 裘医生继续沿肾脏表面游离暴露左肾动脉,准备充分后,开始阻断。接下来就是争分夺秒地剥除肿块,因为考虑恶性肿瘤,必然要万分谨慎,不能破坏一点肿瘤的完整性。好在准备充分,视野暴露清晰,裘医生熟练而冷静地剥除肿块,缝合创面。 、 仅仅用时15分钟。阻断的肾动脉再次回复血供,“定时炸弹”已经被“收缴”,术野没有明显出血。 一觉醒来,胡先生肾上的“定时炸弹”已经取下,术后第二天就下床活动,很快就恢复出院了。术后病理报告为肾透明细胞癌。 肾癌是泌尿系统常见的肿瘤,仅次于前列腺癌和膀胱癌,却是泌尿系统致死率最高的恶性肿瘤,其发病率占成人恶性肿瘤的2%~3%。肾癌的治疗和预后与其病理类型和肿瘤分期明显相关,肿瘤发现越早,保留肾脏和功能的机会越大,治疗效果越好。早期肾癌多无临床症状,是通过健康体检或其他检查偶然发现,此类目前约占60%。明显症状出现比如血尿、腰痛、腹部肿块等往往提示晚期肾癌。 所以,早期发现肾癌,主要依靠健康体检,彩色多普勒超声作为初筛检查,超声发现异常时,需要进一步完善增强CT或MRI检查,以帮助医生诊断及对肿瘤进行分期,选择最佳的治疗方式。 专家简介 裘益青 泌尿外科主任医师 熟练掌握腹腔镜下(含机器人辅助)根治性膀胱切除术、保留性神经的根治性前列腺切除术、保留肾单位肾癌手术等。 
02 肿瘤体积大 位置深 达芬奇机器人登场




















































