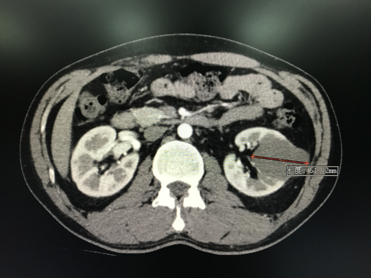
一中年男子反反复复的腰痛持续了四年多,一直被作为“肾囊肿”处理,在复查过程中,发现这个肿物已经开始长大,疼痛让他难以忍受,来到广州医科大学附属第一医院泌尿外科后才“拨开云雾”,确诊为“囊性肾癌”,并及时接受了达芬奇手术切除术,目前正在康复之中。 四年前,孙先生因反复出现左侧腰痛而多次到当地医院就诊检查,发现左肾中份有一个囊性肿物,医院诊断为良性的左肾囊肿,建议他定期复查,并没有予以相应治疗。 然而,在定期复查过程中,孙先生发现肿物略微变大,并且仍是有反复左腰痛,整个人也因此开始变得焦虑紧张,甚至影响到了家庭和工作。 为求进一步治疗,在朋友的介绍下,他慕名来到广州医科大学附属第一医院就诊,接诊的刘冠炤教授仔细了解了孙先生的病情,结合他在外院的检查结果,怀疑他并非单纯的囊肿,可能为囊性肾癌,建议他住院接受进一步检查。 入院之后,孙先生接受了更为详细全面的检查,医生发现他的囊肿差不多横穿了左肾中部,足足有5公分大,除了囊肿内有分隔之外,没有其他特殊的表现提示这个囊肿是囊性肾癌,在做了相关影像学检查后,仍然很难鉴别出究竟是囊性肾癌还是单纯囊肿。 泌尿外科学科带头人曾国华教授、刘永达教授带领团队对孙先生进行了全面评估,考虑很有可能是囊性肾癌,绝不能轻视,当做肾囊肿而简单处理。 如果是单纯性囊肿,只需要把囊肿戳破,清理干净囊肿内的液体即可;但如果是囊性肾癌,就必须把整个肿物完完整整切除,不能弄破一点点,否则会让肿瘤细胞大量扩散,所以一定要谨慎对待。 得知自己的情况之后,刚到而立之年的孙先生更加焦虑不安,原本以为只是个囊肿,没想到竟然与“癌”挂上了钩,处理不当可能连肾都保不住! 泌尿外科团队经过反复讨论、研究之后,决定应用最先进的第四代达芬奇机器人为孙先生行机器人辅助下的腹腔镜左肾部分切除。“一方面,我们必须要将肿物完整切除,才能保证患者手术后有好的效果;另一方面,考虑到患者很年轻,为了他预后的生活质量,我们还要尽最大努力为他保住左肾,不能全部切除。”刘永达教授说,要达到“两者兼顾”,机器人辅助手术则是最佳的选择。 手术过程非常顺利,不仅将肿物完全切除,而且为孙先生保住了部分左肾,经病理检查,孙先生的肿物属于低度恶性的多房囊性肾肿瘤。 手术后,曾国华教授带领医疗团队密切监护患者的生命体征,通过全方位的护理,孙先生很快就康复出院了,后期定期复查就可以了。 大部分的肾囊肿没有症状,少数患者会有腰痛、血尿等症状。肾囊肿可分为单纯囊肿和复杂囊肿。 其中大部分的单纯性肾囊肿通过超声和增强CT可以确诊,这类患者如果囊肿直径≤4公分、没有症状、并且检查没有发现肾积水等压迫表现,可以观察等待,定期复查。 而复杂囊肿诊断较为困难,这是由于患者没有特异性的症状,并通过影像学检查(如超声、造影、CT、MRI等)区分良性肾囊肿和囊性肾癌比较困难,具有不确定性。 此外,目前还有没有可靠的临床或影像学依据能够把囊性肾瘤和囊性肾细胞癌相鉴别,而且国际上一般认为多数成年人囊性肾瘤存在恶性肿瘤的可能,因此一般建议采用根治性肾切除术或肾部分切除术,依据病理结果来确诊。 “达芬奇”机器人机械臂的操作手可完全模仿人手腕动作,其活动范围远大于人手,在狭窄解剖区域中机械手比人手显现出更大的灵活性,尤其是复杂的缝合方面明显优于传统的腔镜,术中出血少,止血确切,吻合更牢靠,操作更灵活,缩短手术时间,减少术中创伤,降低手术并发症发生的可能性,真正做到了比微创更加微创的效果,可以说是名副其实的“微微创”。
科普



















































