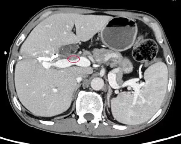
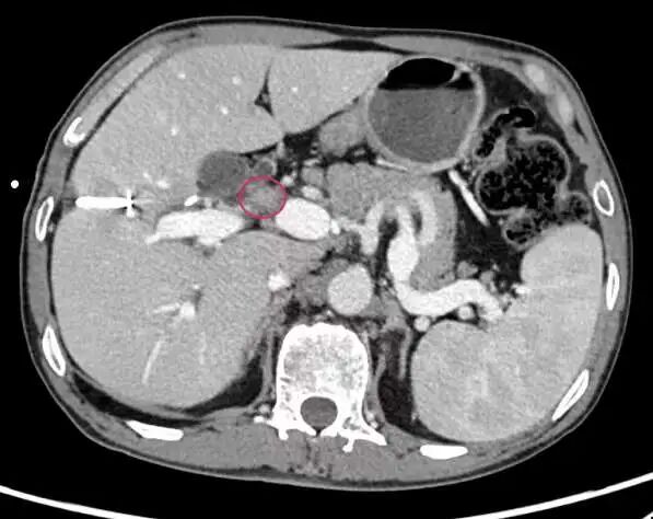
近日,四川大学华西医院胆道外科程南生、李富宇教授团队为一例胆囊癌累及血管、胆管的患者,成功实施了包含肝切除术、胆管分叉切除、门静脉切除重建、肝右动脉修补、扩大淋巴结清扫、多支胆管吻合在内的腹腔镜胆囊癌扩大根治术。 经文献检索,国内外未见胆囊癌患者在腹腔镜下实施包含门静脉切除重建在内的胆囊癌扩大根治术的相关报道。 老赵(化名)平时在工地上打零工,3个月前,老赵觉得上腹胃这个部位开始不舒服,连忙去卫生院检查,被告知没得胃病是胆囊结石,开了点消炎利胆的药吃了几天就感觉好点了。 但是一个月过会,老赵的眼睛、全身皮肤逐渐开始发黄,皮肤瘙痒,上腹部又感觉隐痛不适,吃饭后腹胀,大小便颜色都不正常了,小便就像浓茶、大便就像陶土。老赵以为自己发了肝炎或者什么传染病,赶紧到当地人民医院看病,CT、MRI等等检查都做了,最后被婉转地告知得了胆囊癌。 家人四处打听,老赵辗转了多家医院后来到华西医院胆道外科程南生、李富宇教授团队处就诊。 胆囊位于右上腹肋骨下,主要作用是贮存肝脏分泌的胆汁,也就是所谓的“苦胆”,当进食时诱发胆囊收缩,胆汁排入肠道帮助消化食物,“让我们吃饭更香”。 胆囊癌是消化系统第五大恶性肿瘤,是胆道系统最常见的恶性肿瘤。早期胆囊癌临床症状不明显,仅有右上腹部不适、疼痛等类似胆囊结石症状,肿瘤侵犯胆管后眼睛和皮肤会变黄,肝功严重受损,如不及时诊治,会导致肝功衰竭危及生命。 发病率“高” 近年来,世界范围内胆道肿瘤的发病率逐渐增加,我国的胆囊结石患病率已与欧美接近,胆囊癌发病率也随之增加。 发现“难” 胆囊癌起病隐匿,临床症状不明显,早期多数患者没有临床症状,仅有右上腹部不适、疼痛等类似胆囊结石症状。多数胆囊癌患者在诊断时已属进展期或晚期,部分病例丧失手术机会,如何提高进展期胆囊癌的切除率至今仍是胆道外科中的难点与重点。 根治“难” 此外,胆囊癌切除率低和预后较差的另一个重要原因在于肿瘤侵袭性强,容易发生毗邻脏器和血管的侵犯。胆囊颈部和胆管的后方就是门静脉和右肝动脉,进展期胆囊癌极易侵犯临近的胆管、肝动脉、门静脉、胃窦、结肠、胰头等部位,该部分病例需进行包含联合脏器切除或血管切除的扩大切除才能获得根治性切除,手术难度大、切除率较低。 然而,包含血管切除重建在内的根治术目前仍是胆囊癌患者获得长期生存的主要治疗手段。 老赵的胆囊癌已经累及血管、胆管,术前眼睛和皮肤发黄,食欲体重下降明显。胆囊癌对药物治疗不敏感,如不实行手术,他的生存期一般仅半年至一年。综合考虑过后,程南生、李富宇教授团队决定为老赵行腹腔镜胆囊癌扩大根治术。 术前CT显示肿瘤位置 由于老赵存在胆管梗阻,术前手术团队为他先做了胆道穿刺引流改善肝功至正常,合并营养改善后才正式实施手术。 术中见肿瘤不仅侵犯和阻塞肝脏胆汁分泌的主要流出道-胆管,更糟糕的是还多处侵犯了肝脏血液供应的主要流入道—门静脉主干、门静脉右支起始部,并致密包饶了肝脏血液供应的另一主要血管—肝右动脉。 如果不能切除肿瘤受累的血管并成功重建肝脏的主要供血血管-门静脉,只能放弃根治性切除手术,老赵的生存期将会很短。 对此,手术团队在腹腔镜下分别分离出和阻断门静脉左支、右支和主干,切除门静脉受累部分,在肝门狭窄的空间内成功完成腹腔镜下门静脉重建。 肿瘤在侵犯胆管、门静脉的同时,360度致密包饶肝右动脉。 虽然老赵的胆管梗阻经过术前胆道穿刺引流改善肝功,但胆汁性肝硬化严重,无法耐受扩大右半肝切除,而肝右动脉如无法在腹腔镜下从肿瘤中剥离出来只能放弃根治术。 团队在术中经腹腔镜下仔细解剖分离,采用打开肝动脉血管外鞘膜技术,发现肝右动脉并未受侵犯,将肝右动脉从肿瘤包饶中艰难剥离出来,在腹腔镜下修补多处肝动脉破口。 腹腔镜下切除肝门部胆管分叉后,再进行多支细小胆管断端的胆肠吻合。 由于解剖关系或肿瘤侵犯,胆道肿瘤多数需要附加大范围的肝切除、规范的淋巴结清扫、精准的胆肠吻合术、血管切除重建或联合脏器切除,因而手术更为复杂和耗时。 目前国内外常规开展胆囊癌腹腔镜根治术的单位极少,未见胆囊癌患者在腹腔镜下行门静脉切除重建、肝动脉修补的相关扩大根治术文献报道。我院胆道外科程南生、李富宇教授团队在前期胆囊癌腹腔镜联合脏器切除和再次手术根治的经验基础上,完成了该例包含血管切除重建在内的腹腔镜胆囊癌扩大根治术。 术中严格遵循无瘤原则,腹腔镜血管切除重建达到了开腹手术的解剖标准,在保障患者远期疗效的前提下,术后运用加速康复外科理念,老赵术后恢复速度明显快于传统开腹手术。 出院的时候,老赵说,“我无法用言语来表达我的谢意和敬意,医生护士们说我听话好好康复、好好生活就是对他们最大的表扬!” 腹腔镜根治性术已经广泛应用在胃肠、肝脏和胰腺肿瘤,并且成为了常规术式之一,但腹腔镜胆道肿瘤目前在世界范围内均刚起步。特别是像腹腔镜胆囊癌根治术这种复杂耗时的手术,国内外开展的单位极少,但技术的进步和发展趋势是必然和必须的,也是外科医生的追求和职责所在。 胆道外科程南生、李富宇教授团队从2015年开始率先探讨腹腔镜胆囊癌根治术,初期无经验可借鉴,在华西“精业、创新”文化底蕴的支撑下,聚焦胆道肿瘤的微创外科的发展方向,严格遵循国际指南和当前技术难点,制定并实施了一系列规范化的诊治和手术流程、不断优化手术步骤与改进技术,进展期胆囊癌的切除率和微创完成比例明显提升。 目前团队完成的胆囊癌再次腹腔镜根治术例数、T3期胆囊癌腔镜扩大根治术例数均系国际单中心例数最多的团队之一;完成的胆道探查术后、联合多脏器切除的腹腔镜胆囊癌再次扩大根治在国际上均未见相关报道。他们的系列探索有助于改变目前进展期胆囊癌无法在腹腔镜下完成联合脏器和血管切除的传统观念,有助于改善目前国际上胆道肿瘤微创化起步晚、进展缓慢和微创手术适应症窄的局面。 精业、创新,华西人永远在路上! 
胆囊癌三宗罪


克服重重考验














