谢谢曹主任,您是我的救命恩人! 不久前,又到了王女士(化名)复查的日子,她来到浙江大学医学院附属邵逸夫医院普外科曹利平教授的诊室,再次表达了感激之情。 检查结果显示,一切正常,肿瘤未见复发痕迹。
这天,距那场惊心动魄的肿瘤切除手术,已经过去整整三年。而距她在老家第一次确诊,已经过去了整整五年。
五年来,王女士经历了沮丧绝望、放弃治疗到背水一战的艰难求医历程。“如果当初没有来杭州就医,没有碰到曹教授,我可能就没这么好的运气了!”
被诊断胰腺肿瘤
消极熬两年“小鸡蛋”变“小西瓜”
王女士至今还清楚地记得5年前拿到体检报告的那一幕:报告结果显示,胰腺肿瘤。
她不敢相信,也不敢去面对,当时便头晕目眩,腿脚发软。她怎么也没想到,一向身体健康的自己,却被“死神”紧紧盯上。
当地医院医生的话至今还萦绕在耳畔,“胰腺手术本身难度就大,且体内肿瘤已有鸡蛋大小,手术成功率大打折扣;就算进行手术,预后效果也是个未知数……”
王女士如同五雷轰顶,绝望至极。但看着上有老下有小且清贫的家,王女士决定面对,“既来之,则安之。”
因为家庭经济原因,她选择的对策是,放弃继续求医,凭疾病听之任之。
说来也奇怪,随后的两年里,王女士虽然偶尔也会有上腹部不适感,但她能吃能睡,活得无恙。
“或许是当初的医生搞错了,又或者我这个毛病根本没那么严重……”王女士一度窃喜,甚至觉得是因为当初医生误诊。
带着一丝侥幸,她再次找到2年前为她就诊的医生。结果不言而喻,她被告知肿瘤已经长到10多公分,像小西瓜一样大,2年前的山崩地裂重新在她内心上演。
尽管医生说由于肿瘤与周围重要血管紧密缠绕已无法手术切除,但这一次,她还是想看看有没有机会——接下来的两周内王女士走遍了当地市内的几家大医院,但就诊的结果都是被医生遗憾地告知“肿瘤太大了,长的位置也太凶险,无法手术切除了”。面对如此残酷的结果,王女士及家人陷入了深深的痛苦和绝望之中。
经过这两年,王女士的心态也变了,面对着手术难度更大、机会更渺茫、手术风险更高的现状,她想要给自己最后一次机会——无论如何也要去省城看病,毕竟还有那么多放不下的人和事。

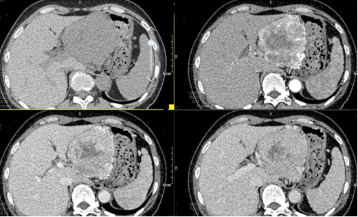
图1:上腹部CT显示胰腺巨大肿瘤
寻找生命转机
邵逸夫医院专家团队让她重燃希望
“我家亲戚前不久在邵逸夫医院做了肝脏手术,做得很快很顺利,2天就出院了,你要么去那儿看看……”
邻居的一席话让她的求生欲瞬间点燃,带着最后的希望,王女士在家人的陪同下来到浙江大学医学院附属邵逸夫医院,并找到了胰腺肿瘤专家曹利平教授。
见到曹利平教授的王女士再也无法镇定自若,着急诉说着自己的病史。说着说着不禁啜泣起来。医生耐心地听她说完,同时在插片机上仔细看她的片子。
他的眉头紧蹙起来,“胰腺肿瘤确实比较大,初步判断应该是是胰腺神经内分泌性肿瘤。”
“什么肿瘤?”王女士和家人闻所未闻,一头雾水。
“这种肿瘤虽然长得很大很可怕,但恶性程度并不如胰腺癌那么严重。”曹利平教授解释说,胰腺神经内分泌肿瘤是起源于胰岛内分泌细胞的肿瘤,根据肿瘤是否分泌激素,并出现相关的临床症状分为功能性和无功能性。其中,无功能性胰腺神经内分泌肿瘤占多数,功能性的胰腺神经内分泌肿瘤占相对少数,主要有胰岛细胞瘤,胃泌素瘤,血管活性肠肽瘤。
“您的肿瘤巨大而且与周围的血管之间可能已经存在压迫包绕甚至侵犯,但目前的治疗方法中只有手术才能彻底根治它,所以我们一定要想尽办法争取把它切除。”
听到这句话,王女士激动的双手紧握一旁的家人,嘴里说着:有救了,有救了……
“虽然胰腺手术风险很高,并发症也不少,但考虑你的综合因素,我认为你还是有手术的机会,先入院检查评估一下,再为你精准地制定一个手术计划。”看着医生坚定的目光,王女士和家人内心踏实了起来,赶紧办理入院手续。

重要血管稍有不慎将被“引爆”
顺利拆除“定时炸弹”
入院后,根据王女士病情,曹利平教授及其团队为她制定一套详尽的术前检查和治疗方案。首先,安排做上腹部增强CT,并建议其先穿刺活检明确病理。
“CT表现符合胰腺神经内分泌肿瘤,穿刺也证实无误,但是瘤体实在太大,直径约12cm左右,腹腔内的门静脉、肠系膜上静脉、脾静脉以及腹腔干这些重要血管统统包绕进去了,且与周围结肠系膜也有累及。”
曹利平教授带着团队成员逐一分析,隐藏在瘤体附近的血管就像埋在炸弹旁的导火索,稍有不慎,便会引爆这颗瘤体炸弹,要想把肿瘤完整切除,更是难上加难。
医院还专门为王女士组织了一次术前多学科会诊(MDT),确定手术方案,准备次日“拆弹”。
第二天,曹利平教授为王女士主刀,手术过程中,由麻醉医师精心控制血压和补液速度,曹教授一点一点地将肿瘤与血管分离开来,最终成功地保护了重要血管避免损伤,而不重要的血管则直接予以离断切除,最终顺利完成胰腺巨大肿瘤切除,并最大程度地保留了正常胰腺组织。
“患者和医生是相互信任的,这个手术对于彼此来说都是一种挑战和考验”。


















































