近日我院嘉定院区消化内科胡冰主任、吴军副主任带领的团队,成功为一名胰腺假性囊肿患者,实施精准囊肿引流并放置金属支架。这也是我院首例经超声内镜下电切引流支架置入术(HOT AXIOS技术)。 胡冰教授团队经超声内镜仔细评估后,发现患者囊腔内坏死组织多,传统引流方式效果可能不佳。经过缜密的术前讨论,最终决定采用最新超声内镜下微创电切引流支架置入术(HOT AXIOS技术)。 吴军医生指出: 相较于外科手术和经皮穿刺引流,超声内镜引导下胰腺假性囊肿引流术更加直接方便,相当于在囊肿和胃腔之间搭一个“桥”,把囊肿里面的液体引流到胃腔,一段时间后囊肿就会消失。急性胰腺炎后出现胰腺假性囊肿

△患者腹部CT科普小课堂



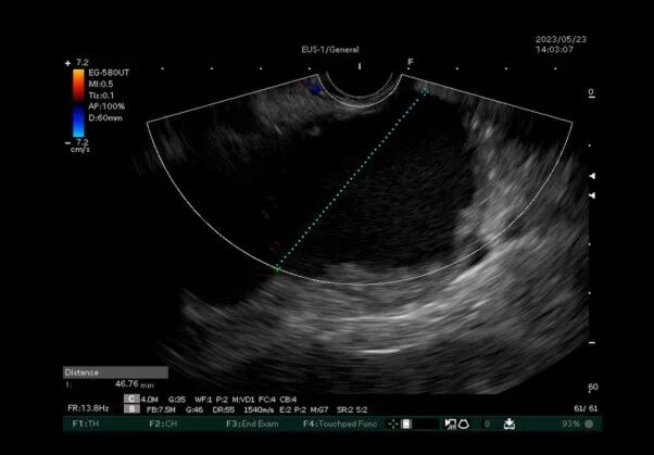
本例患者采用的新型胰腺假性囊肿引流技术
大大改善预后
胡 冰
-
从事消化内科及胆道外科临床工作34年,主要研究领域包括消化道及胆胰系统疾病的内镜诊断与治疗、新型内镜设备及器械研发与技术创新、胆系肿瘤的基础研究等。 -
擅长胆胰管结石、胆道肿瘤、良性胆管狭窄、胰腺/壶腹部肿瘤、慢性胰腺炎、食道(胃)静脉曲张等症的内镜下诊断与治疗,尤其在内镜逆行胰胆管造影术(ERCP)方面建树颇丰。 -
先后发表SCI论著60余篇,中文论文120余篇,个人获专利授权8项,主编专著13部,参编著作25部。 -
获得国家科技进步二等奖1项、军队医疗成果二等奖2项、上海市医学科技二等奖1项、军队院校育才奖银奖、个人三等功2次。 -
获国家重大专项(子课题)和国家自然科学基金等科研资助,入选上海市卫生系统“新百人计划”和“上海市医学领军人才”项目。 -
担任中华医学会消化内镜学分会常委、上海市医学会消化内镜专科分会委员、中国抗癌协会光动力治疗专委会常委、中国临床肿瘤学会肿瘤光动力治疗专委会副主任委员。 -
特需门诊:周四下午(杨浦院区)
-
从事肝胆外科临床护理工作近20年,曾获医院十佳护士、员工之星、护理考核先进个人、优秀非现役员工、优质护理服务先进个人、护理百日安全优秀个人、优秀住院总护士,连续两年被评为护理科研先进个人。
主 办:海军军医大学第三附属医院政治工作处
监 制:李明奎
主 编:林 峰
编 审:孙 凡
编 辑:沈燕琪
来 源:消化内科 张 婷
投稿邮箱:jdsywx@163.com
































