福建省肿瘤医院始终扮演着我省抗癌工作的坚强堡垒角色,并为肿瘤病人提供综合治疗,兜底全省的疑难重症癌症病人诊治工作。近年,医院强化技术创新,建立了各种肿瘤多学科诊疗的技术体系和全疾病周期的健康管理,针对每个病人的不同病情制定个体化诊疗策略,有机地在病人的不同治疗阶段合理使用,最大程度提高远期疗效,同时保障病人的生活质量,延长晚期病人生存期,使更多不可治的肿瘤得到可治。初步统计,2022年相关数据显示,在外院抗肿瘤治疗后转诊至该院进一步治疗的疑难病人治愈及好转率达 45.85%,有效率 96.5%。 当前,全院上下正以开展主题教育为契机,坚持用党的创新理论武装头脑、指导实践、推动工作,坚持学理论、悟思想,边学习边思考,边检视边整改,切实推动党建和业务工作双融双促,努力在以学铸魂、以学增智、以学正风、以学促干上取得实效。 近期,海都记者走访了省肿瘤医院,通过一个个生动的事例,展现该院是如何让“不可治”的肿瘤变得“可治”。 今年43岁的蔡女士来自厦门,11年前发现鼻咽癌,经放化疗后好转。两年前,她的右颈部又突然冒出一个肿物,检查后被诊断为鼻咽癌复发并右颈淋巴结转移。这一次,在当地医院接受了标准治疗后,肿瘤仍在增大,直到转诊到福建省肿瘤医院,治疗团队采用综合治疗和个性化的治疗方案,才将肿瘤“扼制”住。目前蔡女士已恢复正常工作和生活。 福建省肿瘤医院院长陈传本教授介绍,鼻咽癌治疗以精准调强放疗为主,福建省肿瘤医院是我省最早开展放疗的单位,拥有全省最强大的放疗团队和设备,收治了全省50%以上的鼻咽癌患者,五年生存率达80%以上,不少复发转移的疑难患者转诊到该院后,都获得了良好的疗效。 福建省肿瘤医院头颈放疗科专家团队在讨论疑难病例
鼻咽癌复发并迅速增大个性化治疗后“治愈”
据介绍,近年来,蔡女士一直很小心,定期复查。然而,2020年12月,她的右颈处突然长出一个肿物,并迅速增大,没过多久周围皮肤出现破损,到医院一检查,被告知是“鼻咽癌放化疗后右颈淋巴结转移”。蔡女士赶紧到当地医院接受治疗,但是经过6个周期的全身化疗和4个周期的免疫治疗后,复查磁共振提示,右颈处的肿物仍在增大。
为了获得更好的治疗,2021年3月,蔡女士转诊到福建省肿瘤医院,该院鼻咽癌医疗团队接诊了她。
“入院检查显示,患者虽然接受了规范的治疗,完成了鼻咽癌复发的标准化的化疗,但效果并不好,肿块很大,还存在淋巴结转移,脖子的肌肉和皮肤也受到了损害,甚至出现了皮肤破损。”
邱素芳主任介绍。根据蔡女士的病史和当时的身体状况,医疗团队决定调整化疗方案,进行全身化疗,令人惊喜的是,蔡女士对这种方案非常适应,在进行了3个周期的化疗后进行复查,发现肿瘤缩小了一半。随后,团队又给蔡女士进行右颈部调强适形放疗,敏感度也相当好;期间还配合靶向治疗,也取得了不错的疗效。
2021年6月,也就是蔡女士转诊到省肿瘤医院治疗3个月后,复查显示,其右颈部的肿瘤已全部消失。之后,蔡女士一直定期复查,至今没有再次出现肿瘤复发的情况,一度难治的鼻咽癌相当于临床治愈了。
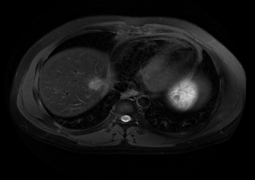
难治性鼻咽癌肝转移多方案综合治疗后肿瘤消失
42岁程先生是一位鼻咽癌复发患者。2016年,他首次发现自己患上了中期鼻咽癌,并在福州的一家三甲医院接受了标准的根治性放化疗,幸运的是,病情得到了好转。然而,就在即将迎来五年复查的2022年3月,却意外发现肝脏近膈顶处出现了一个3.7cm×2.8cm的占位病灶,被怀疑是鼻咽癌的肝转移。随即,他转到福建省肿瘤医院放疗科就诊。
邱素芳主任医师团队接诊了他。为了确诊病情,程先生接受了PET-CT全身扫描,结果显示肝脏和腹膜后淋巴结均有转移灶。随后,通过肝穿刺病理检查和免疫组化,医生们证实了肝转移的原发病灶在鼻咽癌。
面对鼻咽癌肝转移的挑战,邱素芳主任向程先生的家人介绍了治疗预后并不乐观的情况。然而,他们仍然希望全力以赴治疗。为了制定最佳的治疗方案,医院组织了全院大讨论。专家们反复讨论后,给程先生制定了“全身化疗+免疫治疗+靶向治疗+SBRT(立体定向放疗)”的综合治疗方案。
2022年3月到6月,程先生毅然接受了6个周期的的全身化疗,期间配合靶向治疗和免疫治疗维持;7月中旬,又行肝、腹膜后淋巴结转移灶局部SBRT放射治疗。这一系列的治疗措施都得到程先生及家人积极配合,治疗过程很顺利。在治疗期间,专家团队通过不断的复查和监测,对程先生的病情进行了及时的评估。

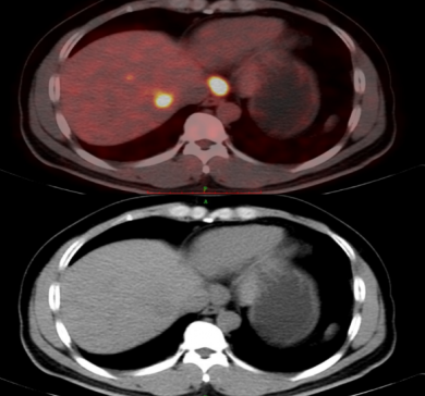
2022.03.11PET-CT:肝VIII段低密度影,大小约3.7cm×2.8cm

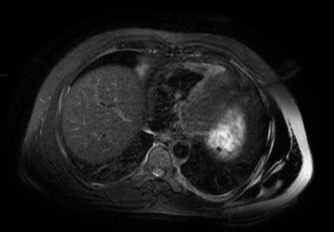
2022.05.08化疗两周期后复查肝脏MRI:肝VIII段低密度影,大小约2.3cm×1.9cm

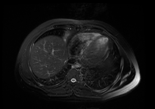
2022.09.21肝脏放疗结束后复查肝脏MRI:肝VIII段转移灶治疗后改变,病灶基本消失。

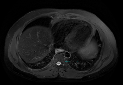
2023.01.14定期复查肝脏MRI:肝VIII段转移灶治疗后改变,未见复发征象。

2023. 04.26复查肝脏MRI:肝VIII段转移灶治疗后改变,未见复发征象。
向下滑动查看所有内容
“医生们定期进行肝脏磁共振检查,结果显示肿瘤逐渐缩小,如同拨云见日。”邱素芳主任介绍,鼻咽癌治疗一定要边观察边调整,根据病人的实际情况和疗效来调整治疗方案及强度、在综合治疗的同时,又要具有个体化特点。
当放疗结束后程先生再进行复查时,喜讯传来——肿瘤完全缓解,已经在影像学上消失不见了,程先生一家开心不已。
目前,程先生仍在接受免疫维持治疗,密切随访。
创新成果获43家医院推广应用科研项目获省科技进步奖一等奖
福建省肿瘤医院头颈放疗科专家团队为第一次放疗的患者复位验证
我国南方地区,如广东、广西、海南、湖南、福建等省份,是鼻咽癌的高发地区,约占全球发病率的50%。仅福建省肿瘤医院每年接诊的鼻咽癌患者就有数千例,占全省收治量的一半。该医院的鼻咽癌五年生存率超过80%,达到国际领先水平。
陈传本教授介绍,尽管鼻咽癌的疗效较好,但在诊治方面仍存在一系列重点、难点的科学问题。比如,约20%的患者可能会面临鼻咽癌的复发和转移,如何准确预测预后成为重要问题。难治性鼻咽癌的治疗策略选择也是一个难题。免疫治疗对患者的有效率仅为20%-40%,如何精准筛选患者,避免过度治疗,是重点问题。另外,晚期鼻咽癌的治疗效果较差,如何早期筛查和诊断成为关键研究方向。
为此,由陈传本教授和邱素芳教授领衔,福建省肿瘤医院与福建师范大学合作开展了“鼻咽癌诊疗新技术的系列研究及应用”项目。项目历时十余年,在国自然基金和省自然基金的支持下取得了五个创新成果:
建立了基于精准调强放疗的鼻咽癌肿瘤体积预测预后新方法,为个体化精准治疗提供了依据。
构建了复发鼻咽癌的精准调强放疗技术体系,使患者的无病生存率达到65.8%,并降低了15%的后遗症发生率。
在国内率先开展了局部晚期鼻咽癌及残留病灶的优选治疗技术,极大地改善了局部晚期鼻咽癌患者的治疗抵抗力,并提高了治疗的敏感性。
发现了鼻咽癌免疫治疗的新靶点和免疫预后风险模型,为精准筛选适宜的免疫治疗患者提供理论支持,避免过度治疗。
首次在国际上建立了基于拉曼光谱血液检测的鼻咽癌筛查技术,为鼻咽癌的筛查和治疗开辟了新方向。
福建省肿瘤医院的鼻咽癌研究成果在4万余例鼻咽癌临床验证中取得显著治疗效果和社会效益。目前在国内外已有43家医院推广应用,包括37家三甲医院和国际肿瘤专科医院。项目组参与撰写了国内首个《鼻咽癌标志物临床应用专家共识》,研究成果还被收录于权威专业教科书,并在国际放疗学术会议上广泛交流和汇报。

2022年12月,“鼻咽癌诊疗新技术的系列研究及应用”荣获2021年度福建省科学技术进步奖一等奖。




































