GGO(Ground gRASs opacity)是磨玻璃样改变的简称。在肺部CT影像上表现为密度轻微增加,增加程度小于实性改变,呈模糊的云雾状,看起来像一个小磨玻璃结节。并可见其内血管和支气管纹理。GGO 可以是弥漫性散在生长,也可以仅聚集在局部 根据肺部磨玻璃影内部成分均一程度的不同,GGO又可分为单纯磨玻璃影(pGGO)及混合型磨玻璃影(mGGO)。GGO病变的鉴别范围包括感染性病变、肿瘤等多方面。 由于早期肿瘤也可表现为肺磨玻璃影,因此针对肺磨玻璃影病变予以单纯手术切除后,可以达到肿瘤长期治愈的效果,5年生存率几乎100%。而且,如果病理分期为I期的话,还免去了术后辅助治疗。因此,在临床上加强对于肺磨玻璃影病变的随访是有重要意义的。 NCCN指南指出,对于GGO病变首先需结合临床分析。首先看患者患癌的几率有多大,中老年人,长期吸烟史,患癌的几率更高些,更应该足够重视。 其次结合GGO 病变的影像学特征,看它符合肿瘤影像的特点有哪些,比较常见的恶性影像学特征包括:分叶、短毛刺,胸膜凹陷及牵拉征,如果行高分辨CT检查,可以发现向肿瘤供血的血管。
一般而言,弥漫性生长的多数是良性病变,局灶性生长的可能为恶性。
良恶性 GGO 的鉴别
薄层 CT 配合三维重建、定期动态 CT 观察:
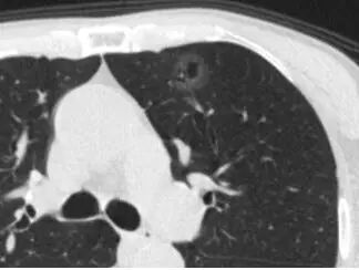
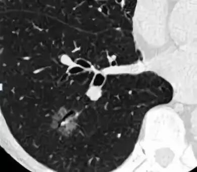
1. 伴明显分叶、空泡、胸膜凹陷征或明显实性成分(荷包蛋:中间厚外周薄)的 GGO 提示恶性病变;
2. 随访中病灶消散或明显缩小者考虑炎症反应可能;
3. 随访中,GGO 增大、病灶密度变实,或兼有肿瘤微血管 CT 成像征时,提示恶性病变。
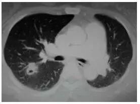
以下类型的 GGO 要当心




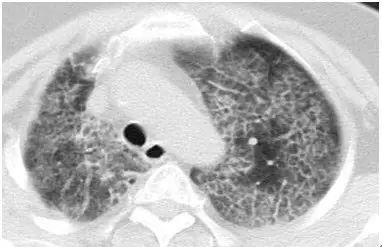
下面这些 GGO 不太可能是肺癌

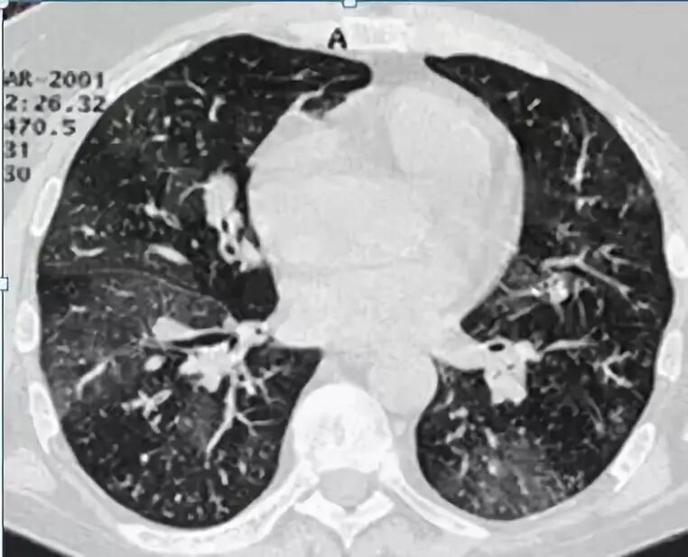
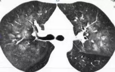
患者的肺像铺路石一样

这是肺内通气灌注不一致的表现,主要是小支气管炎症导致肺内局部积气,像马赛克拼图一样


弥漫性的 GGO

弥漫性的 GGO
从局灶性 GGO 到早期肺癌
这个进展过程相对缓慢,GGO 早期肺癌的生长呈惰性表现,长大一倍所用的时间较长,故 GGO 的随访时间一般至少为 3 年。
在初期(< 1 cm)往往很纯、密度很低、边界也清晰,这时还不一定是恶性的,可以称为「纯 GGO」。
切除后多证实为腺瘤样不典型增生(AAH,癌前病变)或原位腺癌(AIS,未侵犯周围血管间质、不会转移,5 年生存率 100%),极端情况下也可是微浸润腺癌(MIA,侵犯周围血管间质 < 5 mm,不会转移,切除后 5 年生存率 100%)。
20% 的纯 GGO 在随访过程中病灶会增大或变成混合型 GGO,而 40% 的混合型 GGO 在随访中会增大或实变区增大。
当逐渐长大进展,纯 GGO 的实性成分增加,成为「混合性GGO」。有时,还会出现分叶、毛刺、空泡,胸膜凹陷,血管密集等改变,这时多数已经是恶性了,为浸润性腺癌——可侵犯血管、肺内或全身转移。
GGO随访的频率是与结节灶的大小、是否具备有患癌的高危因素有关。
对于没有吸烟史、一级亲属患癌史,及石棉暴露的低危患者:
结节<6 mm时,可不必常规随访。
结节在6-8 mm之间时,建议每6-12个月定期随访,病情稳定后延长至每18-24个月一次。
结节>8 mm时,每3个月随访一次,可考虑PET/CT或活检。
而对于具有以上高危因素的高危患者:
结节<6 mm时,即需要每12个月定期随访直至病情稳定。结节>6 mm时,随访频率与低危患者一致。
术前检查
1. PET/CT检查
GGO 病变,一般 SUV 摄取值较低,PET/CT 检查对它的价值有限,一般不推荐。(ps:PET/CT 一般医保不报销,7000 元一次,可以全身体检)
对于所有纯 GGO,一般不需要做 CT 增强扫描;但 mGGO、病灶与肺血管关系密切或者怀疑淋巴结转移时可以行胸部 CT 增强扫描。
纯 GGO,术前气管镜以及骨扫描等检查的阳性率低,一般不必做太多相应的检查。
如何手术治疗肺 GGO
最新数据表明,微创手术治疗肺癌预后优于开大刀,因为创伤小,保护了患者术后的免疫力。
CT 引导下经皮肺穿刺亚甲蓝注射、放置微弹簧圈、Hook-Wire 定位、放射性示踪剂注射;经电磁导航支气管镜引导注入染色标志物或微弹簧圈等(费用贵)。
术中定位
术中胸腔镜 B 超探头定位、术中 CT 定位
术后复查
GGO 的术后复查跟常规肺癌类似,只是不用频繁做骨扫描及头颅磁共振。
临床上,许多患者,现在会遇到同时发现肺内多发 GGO 病变。
有些患者是一个主病灶,伴有多个小 GGO ,其实只需要切除这个主病灶,其他小 GGO 不成气候,可以随访。
还有些病人是多个主病灶,分布在不同的位置,这种情况下,可以采用同期手术的方式,把它们一锅端,一次手术解决所有病灶。
多数 GGO 影患者术后病理提示是早期肺癌,并不需要化疗和放疗。只有极少数的混合性 GGO 如果病灶直径很大,或者合并淋巴结转移才需要化疗。
总结一下,GGO 如果是弥漫性的,一般不是恶性的,如果是局灶性的要当心一点,特别小的仅需随访。注意让患者增强体质,如果病灶变大变实多数是早期肺癌,目前微创手术能够根治。