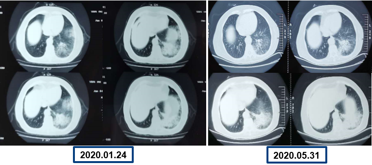
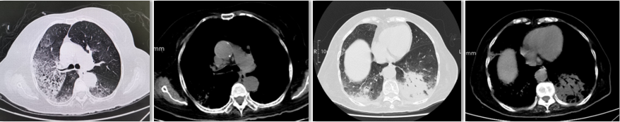
为提升肺癌前线免疫联合抗血管治疗的诊疗观念,学习与追踪肺癌领域诊疗最前沿知识,充分交流免疫/抗血管用药不良反应管理临床经验,【An例说】肺癌病例项目,征集大量临床高质量免疫联合抗血管治疗肺癌病例,并邀请全国各区域中青年及高职称医生与顶级TOP KOL互动发声!通过理念结合实践,研究结合病例,线上联动,共同促进学术由KOL/ROL向中青年医生下沉,为提升我国肺癌诊疗整体水平势在必行。免疫治疗的出现,对于晚期肺癌患者而言,显著提高了患者的生存质量及延长生存期,多项研究表明免疫治疗对于PD-L1表达阴性的患者也具有一定的治疗效果。为此,上海长海医院(海军军医大学第一附属医院)团队为您带来一例肺癌免疫联合抗血管病例分享。 患者,女性,78岁 2017年体检时发现左下肺结节,未行诊断及治疗。 2018.11.21、2019.09.24胸部CT均提示病灶较前变大,仍未诊治。 影像学检查 2020.01初逐渐出现胸闷、气短,活动后尤为明显。多次就诊于当地医院输液治疗(具体不详)。入院前2周胸闷,气急症状加重,无发热,无明显咳嗽,咳痰。2020.06.23入院。 影像学检查 既往史:高血压病30余年,最高血压170/90mmHg,规律服用美托洛尔12.5mg+利血平 0.1mg/日,自诉血压控制可。 个人史:无特殊 婚育史:无特殊 家族史:无特殊 T:37.0℃ P:104次/分 R:30次/分 BP:134/58mmHg 右肺及左肺可闻及湿罗音,左下肺呼吸音弱,无胸膜摩擦音。 心脏查体无异常。 入院后 CT引导下肺穿刺 穿刺后无咳嗽咯血,胸闷气急症状无加重。 6.25 出院等病理。 自行口服易瑞沙治疗,家中持续吸氧。 出院后3天突发病情变化: 6.28 凌晨1点左右,如厕后出现呼吸困难加重,晕倒。家属约2点发现,送至急诊,急诊予化痰、平喘、抗感染等对症治疗。 影像学检查 急诊检验检查: 【血气分析】PH 7.35、PO2 45.9mmHg、PCO2 62.6mmHg 【BNP】23.38pg/ml;【D-二聚体】0.32 【血常规】WBC:9.23×109/L、RBC:3.58×1012/L、HGB:98g/L、N%:80.2%、PLT:203×109/L。 【炎症指标】CRP:2.95mg/L;ESR:4mm/H;PCT:0.045ng/ml 【心电图】1. 窦性心动过速、2. ST-T异常。 血气分析 2020.06.29再次入院:左下肺腺癌、Ⅱ型呼吸衰竭、右肺阴影待查。 右肺渗出原因分析:感染?肿瘤进展?药物相关? 血常规变化: 选择治疗方案: 1. 两肺炎症,纵隔稍大淋巴结,炎症较2020.6.24进展,建议抗炎治疗后复查; 2. 左侧胸腔少许积液; 3. 两肺肺气肿、肺大泡,右肺中叶钙化灶; 4. 右侧第4肋骨皮质扭曲,请结合临床; 5. 甲状腺两侧结节,请结合超声。 右下肺腺癌 PD-L1无表达 抗血管生成与免疫联合的优点: 1、抗血管生成,靶点全面、强效抑制 2、抑制肿瘤细胞增殖和迁移,重塑肿瘤微环境,联合增效 3、肿瘤血管正常化及重塑,减轻免疫抑制状态 4、增加免疫效应细胞浸润 5、免疫刺激作用,激活免疫效应细胞 信迪利单抗联合安罗替尼的临床研究:这是一项前瞻性、非随机、三臂、Ib期临床研究。 临床研究试验设计 临床研究PFS和OS曲线 安罗替尼联合信迪利单抗一线治疗NSCLC,ORR达72.7%,DCR达100%,mPFS=15.6m,24m,OS率83.9%,表现出良好的治疗潜力。 派安普利单抗联合安罗替尼的临床研究:随机、双盲、多中心III期临床研究(NCT03866980) 临床研究试验设计 安尼可联合安罗疗效的ORR和DCR分析 数据截止日期:2021.1.13,共26例患者入组安尼可联合安罗替尼组,21例患者至少完成一次疗效评价。 帕博利珠单抗+安罗替尼 8mg。 治疗过程影像学检查 疗效评估: 2021.08.03: 疗效评估PR,截止目前PFS=15m。 该病例采用PD-L1抑制剂帕博利珠单抗联合小分子多靶点抗血管生成药物安罗替尼治疗老年肺腺癌患者,获得了15个月的PFS,提示对于驱动基因阴性,PD-L1无表达的晚期非小细胞肺癌患者免疫联合抗血管生成药物治疗是NSCLC患者一线治疗的选择和手段之一。 Impower150研究显示,贝伐珠单抗联合PD-L1抑制剂阿替利珠单抗+化疗显著改善了无突变非鳞NSCLC患者的PFS,中位OS达19.4个月(对照组14.7个月),ORR为71%。但治疗相关的毒副反应较大,一定程度上影响患者生活质量。小分子TKI联合免疫作为肿瘤去化疗联合治疗模式,越来越受到关注,前期探索性前瞻性随机临床研究包括信迪利单抗+安罗替尼(ACTION研究)、派安普利单抗+安罗替尼(AK105-301研究)和卡瑞利珠单抗+Apatinib/ target=_blank class=infotextkey>阿帕替尼(SHR-1210-III-315 研究)等一线治疗驱动基因阴性晚期NSCLC均得到了较好结果, 信迪利单抗联合安罗替尼组ORR达72%,DCR100%,中位PFS15.6个月,2年OS率83.9%,耐受性良好,显示出多靶点抗血管生成药物联合的良好应用前景。 免疫与抗血管生成药物以及与其他药物或方式联合该如何排兵布阵,肺癌治疗如何真正践行个体化和精准化,还有许多问题和挑战,有待进一步研究拓展和证实。 病例分享 焦洋 教授 上海长海医院,副主任医师,副教授 海军军医大学长海医院呼吸与危重症医学科 美国田纳西州大学附属医院呼吸与危重症医学科访问学者 上海市医学会呼吸分会感染学组秘书 中国老年医学会感染诊治与合理用药学术委员会委员 专业方向:疑难、复杂肺部感染及呼吸危重症的救治,肺癌的早期诊断和治疗。 专家点评 韩一平 教授 海军军医大学第一附属医院 呼吸与危重症医学科教授、主任医师 博士生导师 海军军医大学第一附属医院临床教育中心主任 中华医学会呼吸分会肺癌学组委员 中国医药教育协会肺部肿瘤专委会常委 中国医师协会全科分会委员,上海全科分会副会长 《中国肿瘤生物治疗杂志》《中国全科医学杂志》 《第二军医大学学报》《内科年鉴》等编委 获校“特级优秀教师”,上海市“育才奖” 首届上海“最美女医生” 主编发表教材或专著5部,近年发表文论50余篇 *仅供医学药学专业人士阅读 文章来源:ONCO前沿案例详情
基本情况


初步检查

诊疗经过




临床诊断
诊疗依据




治疗方案


病程回顾

专家点评


























