结直肠癌(CRC)约25%的患者在初诊时已经发生了转移,基本丧失了手术的机会[1]。随着医学诊疗水平的不断进步,针对转移性结直肠癌(mCRC)患者的治疗手段也更加多样。除传统的放疗、化疗模式外,靶向与免疫治疗也为mCRC患者迎来了更多、更好的治疗选择。免疫治疗进展尚集中于微卫星高度不稳定/错配修复缺陷(MSI-H/dMMR)CRC,而对于微卫星稳定(MSS)型CRC,免疫单药治疗疗效有限。目前研究的热点在于能否联合免疫与抗血管生成药物,从而提高治疗疗效。上海交通大学医学院附属仁济医院林晓琳医生分享了一例MSS型直肠癌患者的诊疗经过,在呋喹替尼+PD-1的三线治疗后,无进展生存期(PFS)>24个月,总生存期(OS)超过49个月。
基本信息:
-
患者男,60岁,体重:70kg,身高:162cm,体表面积:1.72kg/m2,ECOG评分:1分。
-
主诉:确诊直肠癌5月,放化疗后。
-
现病史:2018年10月,在外院确诊直肠腺癌伴盆腔多发淋巴结转移,病理分型为:cTxN2M0,遂外院行FOLFOX化疗。
-
体格检查:神清,精神可,生命体征平稳,无压痛、反跳痛。
-
既往史:高血压病10年,药物控制可,否认糖尿病病史。
-
家族史:否认家族遗传病史及肿瘤相关病史。
诊疗经过:
-
我院外科评估无法手术切除,继续进行治疗。2019年3月15日至2019年5月22日,行第5-8周期XELOX方案化疗,具体方案为奥沙利铂(200mg d1)+卡培他滨(1.5g bid po d1-14),每21天为一个周期(Q21d)。
-
2019年3月至2019年4月,放疗28次。
-
2019年6月10日,腹部CT:直肠局部肠壁增厚伴强化,脂肪肝,肝右叶小钙化灶及小血管瘤。双肾小囊肿,右侧肾上腺小腺瘤可能。升结肠局部小憩室。

-
2019年6月10日,再次评估,多学科诊疗(MDT)讨论:可行手术切除。
-
2019年6月11日,直肠MRI:“直肠癌放化疗后”改变,直肠中段肠壁偏心性增厚伴轻度弥散受限,直肠系膜筋膜局部纤维粘连。
2019年6月17日,在全身麻醉下行腹腔镜下直肠癌根治术+小肠造口术。
-
术后病理:见少量管状腺癌II级组织残留量(0.8×0.5×0.1cm),侵犯黏膜下层。肿瘤间质明显纤维化,炎症细胞浸润,符合治疗后改变。TRG评分2分。脉管见癌侵犯,神经束未见癌组织侵犯。淋巴结(2/12)见癌转移。 上、下切缘、剥离面、“腹壁结节”为纤维脂肪组织,均阴性。
-
免疫组化:肿瘤细胞Ki67阳性率80%、P53/ target=_blank class=infotextkey>P53(-)、TOPOII(+)、BRAF(-)、MLH1/MSH2/MSH6/PMS2+。
术后病理诊断:
直肠腺癌术后,ypT1N1M0,IIIA期,pMMR型,KRAS突变型。
术后基线评估:
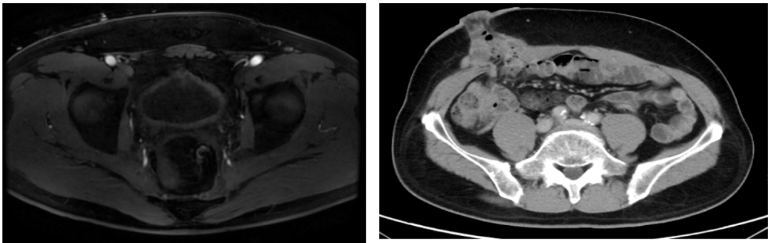
2019年7月26日,盆腔MRI增强:“直肠癌放化疗后”改变,术区结构稍紊乱伴少许渗出,局部见包裹性积液信号灶。
2019年7月29日,腹部CT:“直肠癌术后+右下腹造瘘术后”改变,术区结构稍紊乱伴少许渗出及少量包裹性积液、积气,右下腹造瘘口疝。

术后辅助化疗:
2019年7月29日,行2周期XELOX方案化疗,具体方案:奥沙利铂(200mg d1)+卡培他滨(1.5g bid po d1-14),Q21d。2019年10月,在外科行造口关闭,小肠回纳术,DFS:5个月。
复发转移诊疗经过:
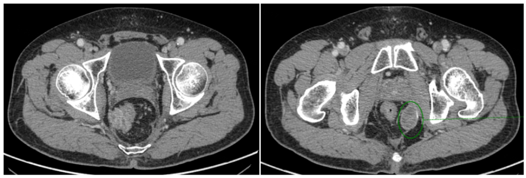
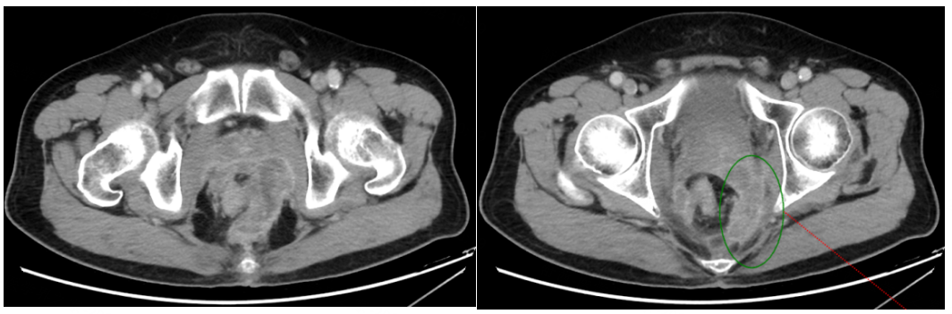
2020年1月2日,上下腹CT: 直肠中上段右侧壁增厚伴直肠双侧脂肪间隙多发结节影,较前片(2019年7月29)新发,需考虑肿瘤复发伴邻近淋巴结转移可能大,患者顾虑化疗,要求继续随访。

2020年3月16日,行PET-CT检查: 直肠中下段肿瘤复发(SUVmax=20.1)伴双侧盆底部多发淋巴结转移可能性大(较大者约4.8*3.1cm,SUVmax=10.7-15.1)。疗效评估为肿瘤进展(PD)。

2020年3月24日,患者开始出现发热,最高体温40度,不能排除导管感染可能,先予导管拔除,2020年3月25日起,予万古霉素(0.5 g q8h)+左氧氟沙星(0.5g qd)静滴抗感染治疗后好转。
二线治疗:
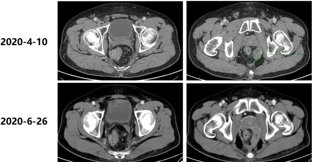
2020年4月10日至2020年10月10日,给予二线第1-10周期FOLFIRI方案化疗联合贝伐珠单抗靶向治疗,2020年6月26日,9月7日,两次疗效评估为SD。


诊疗期间,2020年8月,患者出现大便5-6次/天,质软成形,有排之不尽感,局部肛旁红肿疼痛。查彩超示肛周脓肿伴吻合口瘘,脓肿位于肛直环平面以下。肠镜示:吻合口位于齿状线口侧,该处见一瘘口,直径约8mm,提示直肠癌术后,吻合口瘘。2020年8月19日,行横结肠造口术,并予以对症处理后症状好转。
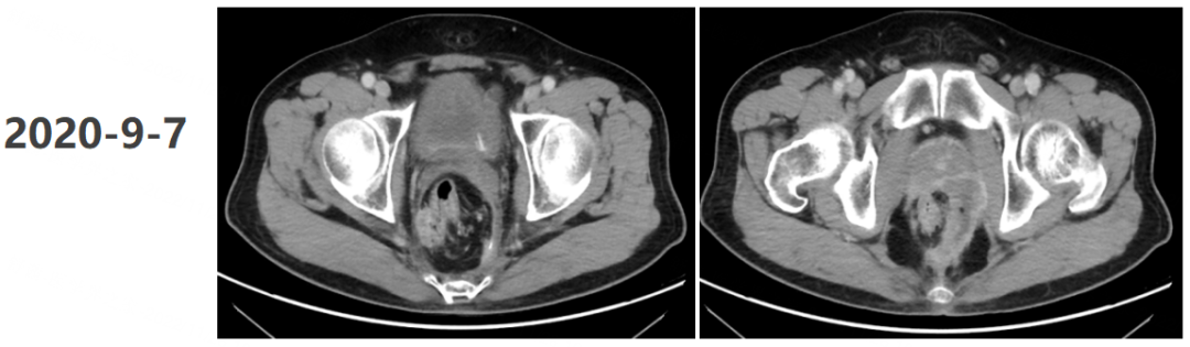
2020年11月20日,再次腹盆腔CT增强:“直肠癌术后+前腹壁造瘘术”后改变,局段直肠壁增厚伴邻近筋膜增厚、腹膜反折处结节样增厚,需考虑肿瘤复发可能,较前片(2020年9月7日)略有进展,较前片(2020年4月10日)明显进展。疗效评估为疾病进展(PD)。

三线治疗:
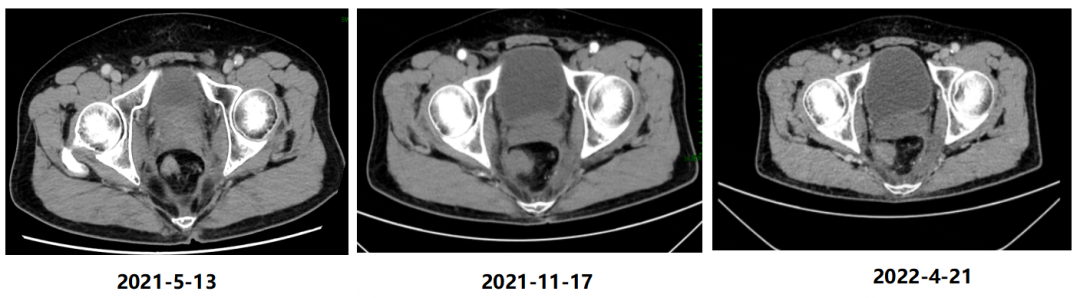
2020年11月21日至今,予三线靶向呋喹替尼联合信迪利单抗免疫治疗,具体方案:呋喹替尼(3mg po d1-14)+信迪利单抗(200mg d1,q21d)。
2021年5月13日开始每3个月复查1次,疗效评估均为持续PR。
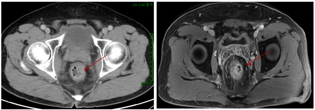
期间2021年6月28日,行肠镜检查:直肠肿瘤术后;吻合口见少许自发性出血,未见明显溃疡及新生物。吻合口肠侧未见明显异常。吻合口组织病理:吻合口黏膜间质见少许炎性细胞浸润,间质充血水肿明显。

图7 盆腔CT
病例总结
该例直肠癌患者的治疗进程较长,2018年10月,确诊直肠腺癌。在化疗和术前放疗后,给予直肠癌切除术+小肠造口术。术后给予XELOX化疗,PFS1为15个月,二线贝伐珠单抗+FOLFIRI化疗的PFS2为10个月,三线呋喹替尼+信迪利单抗治疗的PFS3未达到,超过24个月,该患者OS大于49个月。该病例提示对传统化疗方案不能缓解或者快速进展的晚期直肠癌患者中,呋喹替尼联合免疫治疗或可作为后线治疗的优选方案。

图8. 患者诊疗过程示意图
专家点评
该例患者化疗效果欠佳,呋喹替尼联合免疫治疗的PFS>24个月。呋喹替尼是晚期CRC三线治疗的中流砥柱,在FRESCO研究中,呋喹替尼用于晚期CRC患者展现出了较好的疗效与安全性[2],呋喹替尼组对比安慰剂组的中位总生存期(OS)分别为9.30个月vs 6.57个月(HR=0.65; P < 0.001)。因此,呋喹替尼在国内获批上市,成为2020年中国临床肿瘤学会(CSCO)指南推荐的晚期CRC三线标准治疗方案[3]。
免疫治疗在MSI-H型患者中获益明确,但大部分mCRC为MSS型,单独免疫治疗效果有限,因此需要探索更多的联合治疗方式。抗血管生成治疗可改善肿瘤免疫微环境,从而能够和免疫治疗联合产生协同效应[4]。呋喹替尼可高度选择性抑制VEGFR1/2/3,联合PD-1单抗可起到协同抗肿瘤的作用[5]。2020年美国临床肿瘤学会(ASCO)会议公布了信迪利单抗联合呋喹替尼后线治疗晚期转移性CRC患者的数据,客观缓解率(ORR)为15.38%,疾病控制率(DCR)为57.6%,中位PFS为108天[6]。2021年ASCO会议公布了另一项呋喹替尼联合信迪利单抗治疗晚期CRC及其他实体瘤患者的研究,结果显示在44例意向性治疗(ITT)人群中,ORR为22.7%,DCR为86.4%,中位PFS为5.6个月,中位OS为11.8个月。在Ⅱ期推荐剂量(RP2D)5mg间歇治疗队列中,ORR为27.3%,DCR为95.5%,中位PFS为6.9个月[7]。呋喹替尼联合免疫治疗展现出一定的抗肿瘤效果,具有良好的应用前景。
肖秀英 教授
肿瘤学博士,主任医师,硕士生导师
上海交通大学医学院附属仁济医院肿瘤科副主任
中国临床肿瘤学会(CSCO)胃癌专业委员会委员
上海市医学会肿瘤专科分会委员兼秘书及胃肠学组副组长
上海市肿瘤化疗质控中心专家委员会委员
上海市抗癌协会青年理事
中国研究型医院学会消化道肿瘤专业委员会委员
中国医药教育协会胸部肿瘤专业委员会委员
上海健康生活促进会肿瘤科普与综合诊疗专委会主任委员
上海市抗癌协会胃癌分子靶向与免疫治疗专委会委员
上海市抗癌协会肿瘤免疫治疗专业委员会委员
承担国家自然科学基金、上海市科委课题等,作为PI或Sub-PI负责国内和国际多中心的临床试验多项,作为副主编著书2部,发表论文40余篇
林晓琳 医师
上海交通大学医学院附属仁济医院肿瘤科主治医师。
毕业于上海交通大学医学院,2019年赴法国斯特拉斯堡大学医学院交流学习。擅长常见恶性肿瘤的内科治疗,主要研究方向是消化道肿瘤的综合诊治。担任肿瘤学的授课老师,发表肿瘤相关国内外论文数篇
参考文献:
[1] 中华医学会外科学分会胃肠外科学组,中华医学会外科学分会结直肠外科学组,中国抗癌协会大肠癌专业委员会,等.中国结直肠癌肝转移诊断和综合治疗指南(2018版)[J].中华消化外科杂志,2018,17(6):527-539.
[2] Li J, Qin S, Xu RH, et al. Effect of Fruquintinib vs Placebo on Overall Survival in Patients With Previously Treated Metastatic Colorectal Cancer: The FRESCO Randomized Clinical Trial. JAMA. 2018 Jun 26;319(24):2486-2496.
[3] 中国临床肿瘤学会 (CSCO) 结直肠癌诊疗指南2020版
[4] Fukumura D, Kloepper J, Amoozgar Z, et al. Enhancing cancer immunotherapy using antiangiogenics: opportunities and challenges. Nat Rev Clin Oncol. 2018 May;15(5):325-340.
[5] Huang Y, Goel S, Duda DG,et al. Vascular normalization as an emerging strategy to enhance cancer immunotherapy. Cancer Res. 2013 May 15;73(10):2943-8.
[6] Miaomiao Gou, Huan Yan, Liu Tie E, Zhikuan Wang, Haiyan Si, Shiyun Chen, Yuting Pan, Runjia Fan, Niansong Qian, and Guanghai Dai.Fruquintinib combination with Sintilimab in refractory metastatic colorectal cancer patients in China. Journal of Clinical Oncology 2020 38:15_suppl, 4028-402
[7] Preliminary results of a phase 1b study of fruquintinib plus Sintilimab in advanced colorectal cancer. 2021 ASCO. Abstract Poster 2514.


























