乳腺癌药
肺癌药
肝癌药
卵巢癌药
前列腺癌药
胆囊癌药
胃癌药
甲状腺癌药
胰腺癌药
膀胱癌药
食管癌药
宫颈癌药
结直肠癌药
淋巴瘤药
肾癌药
子宫内膜癌药

更多

免疫治疗
靶向药
内分泌药
中药
细胞治疗

首页 > 癌症药物 > 靶向药物 > 奥希替尼 > 最新研究

全球首例!奥希替尼治疗肺鳞状细胞癌达到病理完全缓解!

来源: 2023-11-26 23:56:28

肺癌仍然是全球癌症相关死亡的主要原因。非小细胞肺癌(NSCLC)约占肺癌的85%,其中,大约30%是肺鳞状细胞癌(SqCC)。
 
东亚人群肺腺癌(ADC)病例中EGFR突变率为40%~50%。然而,在亚洲肺鳞状细胞癌患者中,EGFR突变的发生率相对较低,从2%到13%不等。表皮生长因子受体(EGFR)突变状态检测和EGFR‐TKIs在肺鳞状细胞癌中的作用仍存在争议。
曾有一研究报道肺鳞状细胞癌 VS 肺腺癌患者与EGFR TKI治疗相关的应答率(RR)为25%~43.2% VS 54.4%~80%;中位无进展生存期PFS)为1.4~5.1个月 VS 9~13个月。 
 
 
2020年7月15日,《胸腺癌》期刊报告了一例局部进展期EGFR外显子19Del/T790M突变的肺鳞状细胞癌,在接受奥西替尼治疗后出现了肿瘤病理完全缓解(CR)。
 
 

案例分析gAh帝国网站管理系统

 gAh帝国网站管理系统

一例50岁中国汉族男性,吸烟指数为200的轻度吸烟者,于2019年2月出现烦躁、咳嗽左胸痛就诊。
 
胸部电脑断层扫描(CT)显示左肺叶上叶肿块,直径5.3 cm,并有增大的纵隔淋巴结,提示肺癌及淋巴结转移的可能。原发肿瘤经细针活检证实为肺鳞状细胞癌
 
基因检测结果显示EGFR外显子19Del和T790M复合突变,未见ALK、ROS‐1重排和c‐MET扩增。
 
最终患者被诊断为肺鳞状细胞癌,临床分期为cT3N2M0 IIIB,肺功能正常,无并发症。
 
根据NCCN指南,第三代EGFR抑制剂奥西替尼是EGFR突变致敏的转移性非小细胞肺癌(NSCLC)患者首选的一线治疗方案。
 
患者立即开始口服奥西替尼(80 mg,每日一次)。没有出现明显的副作用(AEs)。治疗1个月和3个月后的CT扫描显示肺部病变和淋巴结明显减少,疗效评估为部分缓解(PR)。
 
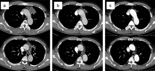
图片
图注:(a)诊断时,考虑左上叶肿块为原发肿瘤,纵隔肿块为5、6组淋巴结转移。(b)奥西替尼治疗1个月后,原发肿瘤和淋巴结均缩小。(c) 奥西替尼后3个月,原发肿瘤明显缩小,纵隔肿块消失。
 
经多学科小组(MDT)讨论,行VATS左上叶切除术后全身淋巴结切除术
 
手术中,切除了局部淋巴结,包括下气管旁、鼻窦下、主动脉旁、隆突下、肺门和叶间淋巴结。整块切除受累纵隔胸膜和左膈神经,将膈膈肌悬吊在左胸壁上,以避免膈肌的反常运动。
 

图片gAh帝国网站管理系统

图注:(a)诊断时,苏木精—伊红(HE)染色显示具有非小细胞肺癌(NSCLC)形态学特征的肿瘤细胞。(b~e)诊断时:(b)免疫组织化学示P40弥漫性表达;(c) 肌酸激酶CK (5/6);(d) TTF‐1阴性表达;(e) 天冬氨酸酶,导致肺鳞状细胞癌的诊断。(f)手术时,HE染色显示癌前组织坏死区域,无存活癌细胞。(g)诊断时,扩增难解突变系统‐聚合酶链反应(ARMS - PCR)显示表皮生长同时存在。
 
术后3天,患者顺利康复出院。术后病理检查显示病变凝固性坏死,纤维组织增生,肺癌原发病灶及淋巴结未见癌细胞。出院后,患者接受了奥西替尼辅助治疗
 
术后8个月,CT复查显示没有复发或转移的迹象
 
 

 gAh帝国网站管理系统

 

小结gAh帝国网站管理系统

 
1、这是首次报道奥西替尼对EGFR外显子19Del/T790M突变肺鳞状细胞癌患者病理完全缓解的病例,是奥西替尼对肺鳞状细胞癌疗效的直接证据。
 
2、对于经小肺活检诊断为鳞癌的亚洲患者,尤其对于从不吸烟的患者和诊断为NSCC倾向的鳞癌患者,应该进行EGFR突变检测,因为这些患者有很高的腺鳞癌的可能性。多次活检有助于准确的病理和分子诊断!
 
图片

 gAh帝国网站管理系统

肺癌十五基因包含:egfr、ALKBRAF、kRAS、met、mek、RETROS1、pick3ca、tP53/ target=_blank class=infotextkey>P53HER2、ntrk、FGFR1、bim、ugt1ka*28等肺癌最常见的靶点,这些靶点大部分有获批药物或在研药物可供选择或参考。gAh帝国网站管理系统

 
如有需要检测肺癌十五基因的病友,请扫描下方二维码一对一免费咨询,可享受协议价,价格更优惠!

 gAh帝国网站管理系统

 
参考来源:
https://onlinelibrary.wiley.com