编者按:2020年度“例例精彩”mCRC精准治疗病例大赛区域赛落下帷幕,在此感谢每一位参赛医生带来的精彩病例。从今天开始,我们将陆续分享区域赛中的优秀病例,与各位同道交流诊疗心得。
患者一般信息
-
患者,男,73岁,农民,168cm,52kg
-
2018年11月因“大便形状改变2月”就诊于肥西县人民医院,电子肠镜检查提示:距肛门5 cm处见一隆起性新生物,表面充血糜烂,顶端凹陷,活检弹性差,质脆易出血。直肠癌可能。
-
病理:浅表粘膜慢性炎症,局部腺体中度异型增生。
-
后患者为进一步治疗就诊于我院胃肠外科。
-
体格检查:腹部柔软,无明显压痛,无明显肿块。直肠指检距肛缘5cm处可触及一肿块,质硬,活动度较差,指套退出后有血染。
-
ECOG:0分
-
BSA:1.5
-
既往史:无特殊
-
过敏史:无药物及食物过敏史
-
个人史:生于原籍,无疫水、毒物接触史
-
家族史:无相关疾病家族史
辅助检查
-
电子肠镜(肥西县人民医院):距肛门5 cm处见一隆起性新生物,表面充血糜烂,顶端凹陷,活检弹性差,质脆易出血。直肠Ca可能。
-
胸腹盆腔平扫+增强CT(我院):考虑直肠癌,左侧精囊腺受侵可能,伴周围淋巴结肿大。双肺纤维灶。右肾内小囊肿。前列腺钙化灶。

治疗经过(一)
手术过程
治疗经过(二)
治疗原则
-
CSCO指南:T3-4或N1-2距肛缘<12 cm的直肠癌,推荐术前新辅助放化疗,如术前未行新辅助放疗,根据术后病理情况决定是否行辅助放化疗,其中化疗推荐以氟尿嘧啶类药物为基础的方案。
术后辅助化疗方案
治疗经过(三)
病情第一次进展
-
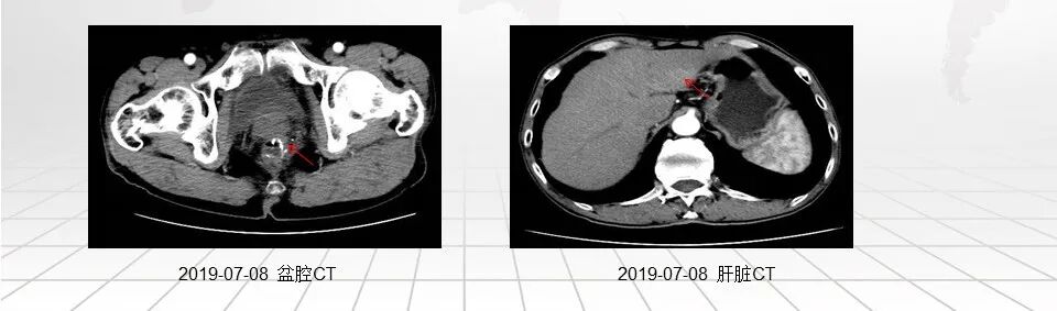
2019-07-08 患者复查腹部CT检查提示:盆腔术后改变,请结合临床;肝S3段稍低密度,考虑转移瘤。诊断:直肠癌术后肝转移(IV期)
-
经医院MDT会诊后,考虑患者肝脏转移病灶局限在肝S3段,可切除。建议患者行肝S3段转移病灶的切除。

再次手术
-
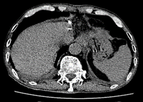
患者于2019年7月17日在我院肝胆外科于全麻下行左外叶肝切除+胆囊切除,手术顺利,术后予以抗炎补液、护胃制酸、保肝退黄、维持水电解质平衡、清洁换药等对症处理。

2019-7-2- 肝脏CT
术后病理
-
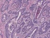
术后病理提示:送检部分肝组织一件,大小11cm×7.5cm×4cm,距肝切缘1cm见一大小4cm×3cm×2cm肿块;镜检为中分化腺癌伴坏死,组织学形态结合临床病史,考虑肠腺癌转移可能性较大。切缘未见癌;周围肝组织肝细胞轻度水肿、淤胆。慢性胆囊炎。

病理
治疗经过(四)
病情第二次进展
-
患者术后体质较差,未再行术后化疗。
-
2019年11月患者出现肛门坠胀伴疼痛,伴有小便带血,就诊我院。
-
行腹盆腔CT检查提示:直肠癌术后,吻合口周围软组织密度影,考虑复发,累积膀胱后壁。肝左叶术后改变,残肝实质密度未见明显异常。

-
电子肠镜:插入肛缘即可见溃疡浸润型病灶,表面溃烂明显,边缘不规则隆起,质脆易出血,肠腔狭窄,无法进镜,考虑直肠癌术后复发可能。 -
病理诊断结果:腺癌

-
经医院第二次MDT会诊后,结合患者病史及辅助检查,明确诊断直肠恶性肿瘤术后,肝转移术后,残端局部复发。考虑患者高龄,既往有两次大手术史,局部晚期,不宜手术治疗,建议内科治疗。
-
根据CSCO指南:对于转移性直肠癌,一线接受奥沙利铂治疗的患者,二线治疗方案推荐靶向药物±FOLFIRI或改良的伊立替康+卡培他滨。对于不能耐受联合化疗的患者,推荐5-FU/LV或卡培他滨单药±靶向药物。不适合5-FU/LV的晚期结直肠癌患者可考虑雷替曲塞治疗。
-
患者肛门坠胀伴疼痛,伴有小便带血,局部症状较重,需要快速缩瘤、缓解症状。结合患者既往基因检测结果,后患者分别于2019.11.24、2019.12.10、2019.12.27、2020.1.15、2020.1.31、2020.2.15、2020.3.2、2020.3.17在我科行西妥昔单抗700mg +伊立替康240mg d1 +卡培他滨1.5g bid d1-7,治疗8周期,每2周重复。患者治疗期间一般情况尚可,未见明显不良反应。
-
治疗期间,患者肛门坠胀感、疼痛感,小便带血症状明显改善。复查肿瘤标志物CEA持续下降;局部复发肿瘤体积逐步缩小。2020.04.01复查CT评估病情PR。肿瘤标志物CEA已降至正常。


治疗经过(五)
后续维持治疗
-
考虑患者经过4月余的全身系统治疗,症状明显改善,肿瘤逐渐缩小,病情稳定,肿瘤标志物基本正常,故患者进行维持治疗阶段。患者后于2020.4.2、2020.4.17、2020.5.3、2020.5.19、2020.06.03、2020.06.19在我科行西妥昔单抗700mg +卡培他滨1.5g bid d1-7, 每2周重复,维持治疗6周期。
-
治疗期间患者一般情况尚可,CEA维持正常水平。2020.06.02复查CT评估病情SD。
CEA


治疗心得
-
患者为老年男性,最初确诊直肠中分化腺癌术后(pT4bN0M0 IIc期)。行XELOX方案术后辅助化疗6周期,卡培他滨单药化疗2周期。术后未行放疗。后复查CT提示肝脏S3段占位性病变,诊断直肠癌术后肝转移。后行肝S3段转移病灶R0切除。患者肝转移病灶切除术后因体质原因未行化疗。后复查肠镜提示直肠术后残端复发。结合患者最初基因检测结果,选择爱必妥联合伊立替康+卡培他滨方案治疗8周期。评估病灶为PR,肿瘤明显缩小,肿瘤指标均已下降至正常。后续更改治疗方案爱必妥联合卡培他滨维持治疗6周期。现病情稳定,肿瘤标志物完全正常。




























