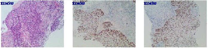
肺癌是全球发病率和死亡率最高的恶性肿瘤[1]。近年来,免疫联合化疗已成为晚期肺鳞癌患者的一线标准方案。斯鲁利单抗作为复宏汉霖自主研发的创新PD-1单抗,凭借ASTRUM-004研究出色的疗效数据于2022年10月获批晚期肺鳞癌一线治疗适应症。与此同时,世界肺癌联盟自2001年起将每年11月作为“全球肺癌关注月”,以提高人民防癌、抗癌意识,普及肺癌的规范化诊疗知识。值此之际,本报发起“晚期肺鳞癌一线免疫治疗病例征集”项目,希冀通过斯鲁利单抗肺鳞癌适应症获批上市一年来优秀病例的分享,为临床医生用药带来参考并提供交流的平台。 本期,我们分享一例一线使用斯鲁利单抗联合治疗使病情得到有效控制的高龄晚期肺鳞癌患者的病例,探讨真实临床实践中免疫治疗在肺鳞癌患者中的用药模式及价值。 钟敏 博士 南昌大学第一附属医院呼吸与危重症医学科 主治医师 2022届优秀博士毕业生 江西省整合医学学会肿瘤分会委员 江西省整合医学学会肿瘤免疫治疗分会委员 研究方向:呼吸系统肿瘤综合治疗 主持国家自然科学基金1项,参与国家自然科学基金多项 主持江西省自然科学基金、卫健委、教育厅等省厅课题4项 以第一作者发表SCI论文6篇,其中影响因子>5分4篇 一般情况:男性,86岁 主诉:反复咳嗽咳痰4月余。 首诊日期:2023-03-14 现病史:患者4月余前无明显诱因下出现咳嗽咳痰,伴间断发热,体温最高38.1℃,无咳血,无胸闷、胸痛、呼吸困难等症状。症状反复发作,呈进行性加重。2022年11月至当地医院完善胸部CT考虑肺部肿瘤可能,予以抗感染、对症支持治疗无明显好转。2023年2月17日复查胸部CT示两肺多发结节肿块,对比当地2022年11月CT较前明显进展,由于患者老龄,心肺功能差,建议保守治疗。患者为行进一步治疗来我院就诊,门诊拟“肺占位性病变”收治入院。患者自发病来,精神、饮食、睡眠稍差,大小便正常,体重下降5 kg。 既往史:平素健康状况一般。有糖尿病史,患病10余年,服药情况瑞格列奈三餐前1片,胰岛素早上15单位,有结核病史,患病2月,未服药;否认高血压病史,否认肝炎病史,否认输血史,否认药物过敏史,否认其他药源性疾病,否认食物过敏史,否认食物中毒史,否认外伤史。有手术史,2018年行胃动脉破裂修补术,10余年前行疝气手术。否认其他重大疾病史。预防接种史不详。 个人史、婚育史、家族史无特殊。 辅助检查 2023-03-14 实验室检查:肿瘤标志物水平升高,鳞状细胞癌相关抗原 21.30ng/mL、细胞角蛋白19片段 26.70ng/mL,神经特异性烯醇化酶(NSE) 20.20ng/mL。 2023-03-14 胸部增强CT:1.双肺慢支肺气肿,两肺散在感染性病变,部分偏慢性感染,建议治疗后短期复查。2.左上肺异常肿块伴阻塞性改变,考虑左上肺癌并左上肺不张,请结合临床及纤支镜检查;左下肺肿块,考虑恶性、转移可能;两肺多发结节,需考虑肺内转移可能性大;纵隔淋巴结转移可能。3.左侧胸腔少量积液。 2023-03-14 心电图、心肺功能:未见特殊异常。 2023-03-15 肺穿刺病理:(左肺穿刺组织)活检组织,中分化鳞状细胞癌。免疫组化示:CK5/6(3+);P63(+);P40(+);CK7(-);TTF-1(-);NapsinA(-);Ki-67(40%+);NUT(-);CD117(-);C-erbB-2(0);CEA(-)。特殊染色示:PAS(-)。肿瘤细胞PD-L1表达水平:TPS评分50%。 病理组织形态学及免疫组化结果 诊断 肺鳞癌(T4N2M1)(PD-L1高表达) 纵隔淋巴结继发恶性肿瘤 肺继发恶性肿瘤 糖尿病 胸腔积液 治疗经过 一线治疗: 治疗方案为PD-1单抗(斯鲁利单抗300mg)联合重组人血管内皮抑制素治疗。 一线治疗疗效评估: 影像学检查: 2023-05-08胸部CT(治疗2周期后):左上肺近肺门少许软组织影,较前明显缩小,左肺上叶较前复张;左下肺肿块,较前缩小,两肺多发结节,右下肺部分结节较前缩小。 用药2周期后疗效评价为PR。 2023-06-28胸部CT(治疗4周期后):左上肺近肺门软组织影,较前缩小;左下肺肿块,较前缩小;两肺多发结节,右下肺部分结节较前缩小,需考虑转移,余结节变化不大,左侧胸腔少量积液,较前有所吸收。 用药4周期时疗效评价为PR。 主病灶影像学变化 转移灶影像学变化 实验室检查: 鳞状细胞癌相关抗原、细胞角蛋白19片段、NSE水平明显下降。 肿瘤标志物水平变化趋势 甲状腺功能未见明显异常。血常规、肝肾功能、心肌酶、电解质未见明显异常。 总体疗效评估:PR 不良反应: 一线治疗用药安全性良好,未发生皮肤及皮下组织、内分泌系统、肝功能、肺部疾病、血液系统等用药相关不良反应。 该患者为一位86岁老年男性,因“反复咳嗽咳痰4月余”入院。患者4月余前无明显诱因出现咳嗽咳痰,伴间断发热。症状反复发作,呈进行性加重。2022年11月曾于外院予以抗感染、对症支持治疗,无明显好转。2023年2月外院检查考虑肺部肿瘤,但鉴于患者老龄,心肺功能差,建议保守治疗。患者来我院就诊后,完善相关实验室及影像学检查,确诊患者为肺鳞癌(分期:T4N2M1,PD-L1 TPS为50%),伴肺部多发转移、纵隔淋巴结转移。同时患者合并有糖尿病和胸腔积液。 根据2023年中国临床肿瘤学会(CSCO)非小细胞肺癌(NSCLC)指南推荐,对于该类Ⅳ期无驱动基因、一般状况较差的肺鳞癌患者,可给予化疗联合方案、免疫单药方案或免疫联合化疗方案[2]。ASTRUM-004研究作为斯鲁利单抗探索NSCLC免疫治疗的里程碑研究[3],展现了斯鲁利单抗优越的疗效和良好的安全性,2023 CSCO指南由此将斯鲁利单抗联合方案纳入I级推荐。本例真实世界中的患者86岁高龄,且具有合并症,因此采用斯鲁利单抗联合非化疗方案治疗,2周期后即评价为PR,并在4周期时维持PR,且安全性良好,病情得到持久缓解。 周菁 教授 南昌大学第一附属医院 呼吸与危重症医学科 副主任医师 副教授 医学博士 硕士研究生导师 美国圣路易斯华盛顿大学医学院 访问学者 中国医师协会变态反应医师分会委员 江西省医师协会呼吸医师分会常委 江西省整合医学会肺癌分会常委 江西省保健学会呼吸病学分会常委 江西省呼吸专科医联体常务理事 江西省抗癌协会呼吸介入专业委员会委员 华东地区介入呼吸病协作组青年委员会委员 中国医药教育协会介入微创呼吸分会委员 与肺腺癌相比,肺鳞癌患者的吸烟患者比例更高,且驱动基因突变率更低,5年总生存期(OS)也明显更低[4]。由于已知基因突变较少,肺鳞癌靶向治疗存在较大局限性。在这种情况下,既往肺鳞癌主要以传统化疗为主,但多项证据提示,一线化疗带给患者的生存获益十分有限,OS难以超过1年[5]。 近年来随着免疫治疗在肿瘤领域的探索和应用,肺癌患者迎来更多更好的治疗选择。随着KEYNOTE-407、CheckMate-227、IMpower131等多项研究的开展,人们发现,免疫治疗联合治疗用于晚期肺鳞癌患者的一线治疗,表现出显著优于传统化疗的长生存获益。一线免疫联合化疗方案能为晚期肺鳞癌患者带来超过20个月的OS获益,PFS也提升至8个月及以上。 斯鲁利单抗在ES-SCLC一线治疗领域取得突破性成果,刷新ES-SCLC免疫治疗生存纪录,引起临床医生广泛关注。同时,斯鲁利单抗在肺鳞癌领域同样表现不俗。ASTRUM-004研究作为一项全球多中心、随机、双盲对照Ⅲ期研究[3],近期由周彩存教授在世界肺癌大会(WCLC)上进行口头报告。研究纳入组织学或细胞学确诊的不能手术或放疗的ⅢB/ⅢC或Ⅳ期鳞状NSCLC患者共537例,其中359例受试者来自中国。在研究主要终点方面,斯鲁利单抗联合化疗组的全人群中位PFS为8.3个月,降低疾病进展或死亡风险达45%,且亚裔人群获益更为突出,PFS达9.9个月,创同类产品Ⅲ期研究的最长纪录。关键次要终点方面,全人群组的中位OS达22.7个月(对照组为18.2个月,HR=0.73,95%CI 0.58~0.93;P=0.010,达到显著性阈值0.046),校正交叉影响后,OS较对照组延长达11.2个月[6]。目前亚裔人群组的最终OS结果已投稿国际学术大会,数据值得期待。 本例患者高龄,同时有糖尿病史和胸腔积液,肿瘤标志物升高,一般状况较差。2016年的一项研究[7]曾提示,大于80岁的EGFR非突变型NSCLC患者PFS仅1.9个月,OS仅4.9个月。因此这类患者对于治疗药物的疗效和安全性均有较高的要求。从该患者较高的年龄和较差的一般情况分析,无法耐受标准的双药化疗方案。而生物学特征上TPS评分50%,属于KEYNOTE-024研究中显示的PD-1单抗治疗获益人群,有获得长期缓解的机会。综合考虑ASTRUM-004研究中斯鲁利单抗的优秀疗效和可控的安全性,因此制定了斯鲁利单抗联合治疗方案。在实践中观察到产品的疗效和安全性良好,验证了临床实践表现与ASTRUM-004研究一致。 参考文献 1. Alesha A Thai, et al. Lancet . 2021 Aug 7;398(10299):535-554. 2. 2023 CSCO非小细胞肺癌诊疗指南. 3. 斯鲁利单抗说明书. 4. Bing-Yen Wang, et al. J Cancer Res Clin Oncol . 2020 Jan;146(1):43-52 5. Thatcher N, et al. Lancet Oncol 2015;16:763-774. 6. WCLC 2023 - OA09晚期NSCLC的免疫治疗 (abstractsonline.com) 7. Chen Yu-Mu, et al. Lung Cancer, 2016, 98: 99-105.





























