为提升肺癌前线免疫联合化疗的诊疗观念,学习肺癌领域前沿诊疗知识,探讨派安普利单抗在晚期小细胞肺癌治疗领域的疗效,【An例说】肺癌病例项目,征集大量临床高质量免疫联合治疗肺癌病例,并邀请全国各区域中青年及高支持医生与顶级TOP KOL互动发声!通过理念结合实践,研究结合病例,线上联动,共同促进学术由KOL/ROL向中青年医生下沉,为提升我国肺癌诊疗整体水平势在必行。免疫治疗的出现,显著提升了晚期肺癌患者的生存率,多项研究表明,PD-1抑制剂对非小细胞晚期肺癌患者存在可观疗效,但PD-1抑制剂对晚期小细胞肺癌是否依旧有效?免疫治疗联合放疗对患者疗效如何?为此,山西省肿瘤医院团队为您带来一例一线治疗小细胞肺癌患者的精准诊疗病例分享。 病例分享 陈一非 教授 山西省肿瘤医院呼吸三病区,主治医师 山西省抗癌协会肺癌精准治疗专业委员会委员
案例详情
基本情况
患者,男,62岁。
2021.11 患者因咳嗽、咳痰2月余入院
既往史:1994年因胃穿孔行胃大部切除术。
个人史:吸烟40余年,20支/日,偶饮酒。
初步检查
体格检查:提供一般体格检查体征。
辅助检查:血常规、肝肾功能、肿瘤标志物、甲状腺功能等未见明显异常。
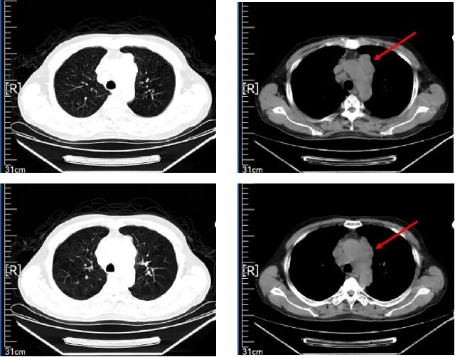
2021.12.02 肺部CT显示:双侧胸廓对称,左肺上叶可见软组织密度肿块影,大小约3.6*3.0cm,边界不清,密度不均,肿块与左肺动脉分界不清。左肺门及纵隔内可见多发增大淋巴结影,大者位于主支气管前方,短径约1.7cm,左肺上叶舌段、下叶后基底段可见小结节影(im3-42),大者径约0.3cm,心脏不大。心包腔内可见液体密度影。双侧胸膜未见明显增厚,胸腔未见明显液体密度影。
诊断意见:左肺上叶软组织肿块,考虑恶性,请结合临床或增强扫描;左肺门及纵膈多发增大淋巴结,考虑MT;左肺小结节,建议定期复查;心包职液。

肺部CT
病理检查:
左肺上叶活检:间质中见挤压的小细胞,免疫阻化果:AE/AE3(弱+),TTF-1(部分+),p63(-),Syn(+),CGA(局灶弱+),CD56(+),LCA(-),Ki67(约90%+),CD117(+)。诊断为肺小细胞癌。

病理检查
(左颈部淋巴结)穿刺:增生的纤维组织中见挤压的异型细胞,结合免疫组化果:AE1/AE3(+),TTF-1(+),P63(-),Syn(+),CGA(-),CD56(+),LCA(-),Ki67(约80%+),CD117(+),诊断为转移性小细胞癌。

病理检查
辅助检查:
头颅核磁:腔隙性脑梗死。
浅表淋巴结彩超:左颈IV区淋巴结肿大,考虑转移。
腹部彩超:未见明显异常。
骨扫描:未见骨转移征象。
临床诊断
左肺小细胞癌
左肺门及纵隔淋巴结转移
左颈部淋巴结转移
T2aN3M0 IIIB
PS评分:1分
诊疗经过
2021.12.02-2022.03.08 给予派安普利单抗200mg d1+依托泊苷0.1g d2-6+顺铂 120mg d2治疗4周期后,行肺部CT检查结果显示,病灶较2021.12.02片有明显缩小。派安普利单抗200mg d1+依托泊苷0.1g d2-6+顺铂 120mg d2治疗4周期疗效评价为PR。

疗效评估
2022.04.02-2022.05.06行序贯胸部放射治疗 40G/20次,疗效评价PR。
2022.05.06-2022.06.26给予依托泊苷0.1g d1-5 2周期+顺铂 120mg d1。
2022.06.26-2022.07.13行预防性脑放疗。
下一步治疗策略讨论:免疫治疗联合放射治疗?
病程回顾

专家点评
苏文忠 教授
专家点评
随着这几年分子生物学的发展,新药和新的治疗模式涌现,免疫治疗在肺癌治疗中已居于“C”位,继卡瑞丽珠单抗、信迪利单抗、特瑞普利单抗之后,国产原研派安普利单抗为晚期肺癌患者带来了更大的生存几率。在本病例中,患者使用派安普利单抗+依托泊苷+顺铂联合治疗4周期后病灶得到明显缓解,表明派安普利单抗在晚期小细胞肺癌治疗中的疗效显著。该药物在Fc段改造有效抑制巨噬细胞分泌IL-6,从而减少了免疫相关炎症的发生,增强药物安全性,给予了该药在临床中广泛的应用前景。
未来,派安普利单抗联合放射治疗在小细胞肺癌方面的疗效还有待进一步跟进。我们也期待更多地临床数据支持免疫治疗联合放射治疗在肺癌治疗方面的作用。


























