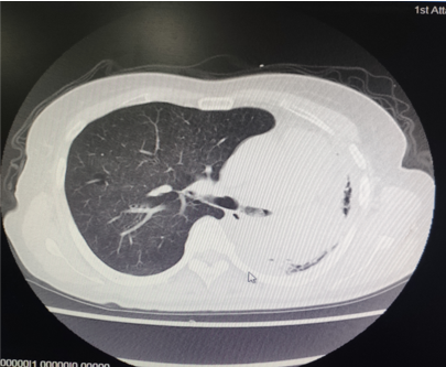
为提升肺癌前线免疫联合抗血管治疗的诊疗观念,学习与追踪肺癌领域诊疗最前沿知识,充分交流免疫/抗血管用药不良反应管理临床经验,【An例说】肺癌病例项目,征集大量临床高质量免疫联合抗血管治疗肺癌病例,并邀请全国各区域中青年及高职称医生与顶级TOP KOL互动发声!通过理念结合实践,研究结合病例,线上联动,共同促进学术由KOL/ROL向中青年医生下沉,为提升我国肺癌诊疗整体水平势在必行。免疫治疗的出现,特别是以PD-1/PD-L1为代表的免疫检查点治疗的出现,对于转移性的晚期肺癌患者而言,给患者增加了更多治疗的选择,同时,多项临床研究表明免疫治疗显著延长了患者的生存期及生活质量。为此,河北北方学院附属第一医院为您带来一例“双安疗法”用于二线治疗小细胞肺癌病例的治疗分享。 案例详情 基本情况 患者,霍xx,女,60岁。 初治时间:2020-10-16 既往史:COPD 4年,间断口服茶碱治疗,否认其他慢性病史及传染病史。否认过敏史。 个人史:无特殊 家族史:无特殊 ADL评分:90分;Khorana评分1分 入院初步检查结果 体格检查: COPD 4年,间断口服茶碱治疗,否认其他慢性病史及传染病史。否认过敏史。 个人史、婚育史、家族史无特殊。 辅助检查 血常规、肝肾功、凝血功能无明显异常。 肿瘤标志物(特异性+异常指标)。 肿瘤标志物变化趋势 NSE(神经元特异性烯醇化酶)变化趋势: NSE变化趋势 基线情况: 2020-10-16,患者无明显诱因出现咳嗽、咳痰,偶有痰中带血,伴胸闷气短4个月于我院就诊:查胸部CT:胸廓左侧塌陷,左肺上叶尖后段及下叶支气管截断,左肺下叶见软组织密度团块。右肺中叶容积小。左主支气管内见高密度影,纵隔多发肿大的淋巴结,胸膜厚,左侧少量胸膜腔积液。 浅表淋巴超声、全身骨扫描等检查提示肺外脏器未见异常。 肺部CT提示左肺占位伴阻塞性肺炎、纵隔淋巴结肿大,左侧胸腔积液。 患者遂就诊于解放军81集团军医院行支气管镜检查提示小细胞肺癌。 影像学检查 诊断结果 1.左肺小细胞肺癌(广泛期)伴胸膜转移、伴纵隔淋巴结转移 2.阻塞性肺炎 3.慢性阻塞性肺疾病 诊疗依据 (CSCO)小细胞肺癌诊疗指南2020 05治疗经过 第一阶段治疗: 胸部CT对比:较前片(2020-10-16)对比:左肺上叶复张且高密度影明显吸收;左肺占位及纵隔淋巴变化不明显,左侧胸腔积液基本吸收。 胸部CT检查对比 胸部CT对比:较前片(2020-11-26)对比:左肺占位变化不明显;纵隔部分淋巴结增大。 胸部CT检查对比 胸部CT对比:较前片(2020-12-30)对比,左肺占位明显增大,隔巴结增大,左侧胸腔新发积液,左肺上叶膨胀不全,左肺上叶新发片状高密度影。 胸部CT检查对比 胸部CT对比:较前片(2021-03-02),左肺占位性病变较前增大,纵膈肿木淋巴结较前增大。 胸部CT检查对比 胸部CT对比:较前片(2021-04-04)左肺中心型肺Ca伴左肺不张,较前增大。右肺中叶不张。纵隔多发肿大融合淋巴结,部分包绕上腔静脉,较前增大。心包少量积液、主肺动脉干增粗。左侧胸腔积液(±)。 胸部CT检查对比 头颅CT对比:2021-06-21头颅CT:考虑左枕叶、右颞叶转移瘤。尾状叶头密度增高。 头颅CT检查对比 腹部CT:较前片(2021-04-04)左肾上腺增粗,考虑转移瘤? 腹部CT检查对比 第二阶段治疗:免疫+安罗替尼。ADL评分:70分;Khorana评分3分。 胸部CT对比:对比前片(2021-06-21),左肺占位减小,纵隔部分淋巴结减小,胸腔积液吸收。 胸部CT检查对比 头颅CT对比:对比前片(2021-06-21):颅内占位变化不著。 头颅CT检查对比 胸部CT对比:对比前片(2021-07-27):左肺占位减小,纵隔部分淋巴结减小;左肺上叶片状高密度影略显吸收。 胸部CT检查对比 胸部CT对比:对比前片(2021-8-23):左肺占位及纵隔淋巴结有所减小。 胸部CT检查对比 胸部CT对比:对比前片(2021-10-29):左肺占位及纵隔淋巴结变化不著。 胸部CT检查对比 头颅CT对比:较前片(2021-07-01)对比:左枕叶、右颞叶占位明显减小。 头颅CT检查对比 胸部CT对比:对比前片(2021-11-30):左肺占位及纵隔淋巴结变化不著,腹部较前变化不著。 胸部CT检查对比 目前情况:患者神清,精神尚可,无咳嗽咳痰,偶有喘憋气短,饮食睡眠尚可,二便正常。 面部及双手皮疹样改变。 目前诊断: 1. 左肺小细胞肺癌(广泛期)伴胸膜转移、伴纵隔淋巴结转移、伴脑转移、伴肾上腺转移 2. 慢性阻塞性肺疾病 3. 下肢静脉血栓形成 4. 低钠血症 ADL评分:80分;Khorana评分2分 06病程回顾 专家点评 该病例,女性,无吸烟史,既往自2014年开始反复因咳嗽、咳痰、咯血于我院门诊或住院治疗,诊断为右中叶、双下肺基底段支气管扩张伴感染。2020年10月再次因咳嗽、咳痰、咯血行肺CT检查,检查结果示:支气管扩张、左下肺占位。后经支气管镜检查左下肺癌,病理为小细胞癌。结合肺CT:纵隔淋巴结肿大,左侧胸腔积液;临床诊断为:原发性支气管肺癌(左下广泛期小细胞肺癌)。PS评分1分,依据2020年CSCO小细胞肺癌指南Ⅰ级推荐选择化疗+免疫治疗,化疗方案:CE/EP,IC/IP,免疫治疗:atezolizumab。本病例中,患者因经济条件所限,未使用atezolizumab,化疗采用CE\EP\ZP一线及二线LE(共计7疗程),肺部病灶增大,左肺完全不张,脑转移,肾上腺转移,PS评分3分。再次依据CSCO指南,行颅脑放疗,采用PD-1(卡瑞丽珠单抗)+EP+安罗替尼(口服小分子多靶点抗血管生成药物)2个疗程后,肺部病灶明显缩小,颅内病灶消失,评效为PR;后因卡瑞丽珠单抗副作用:反应性皮肤毛细血管增生症(RCCEP)及手部皮肤皲裂,改换为派安普利单抗+EP+安罗替尼治疗,直至目前。左肺完全复张,病情明显改善,PS评分降至2分。 该患者全程治疗过程分析,单纯化疗疗效不显著,PD-1联合抗血管生成靶向药物后,使得患者病情控制,生存带来了希望。“双安”治疗方案副作用小,对PS评分高的患者也适用。派安普利单抗是唯一采用IgG1亚型且经FC段改造的新型PD-1单抗,副作用较国产其他IgG4亚型 PD-I更小;安罗替尼为口服小分子多靶点络氨酸酶抑制剂,靶点更加全面,疗效更优。采用“双安”治疗广泛期小细胞肺癌,本例虽为个例,但为临床医生提供了可践行的治疗方向,也期待着更多临床研究数据的公布,为小细胞肺癌的治疗提供强有力的治疗依据。 病例分享 王布 教授 河北北方学院附属第一医院呼吸科副主任医师,医学硕士 河北省中西医结合睡眠专业会委员 张家口市抗癌协会肺癌专业委员会委员 世界中医药学会联合会整合肿瘤专业委员会委员 在《Translational Cancer Research》、《Journal of biological regulators &homeostaticagents》、《中国临床药理学》、《中华结核与呼吸杂志》等杂志上发表学术论文10余篇,其中《川芎嗪联合顺铂影响Lewis肺癌小鼠移植瘤生长及微血管生成的研究》论文在2015年中国药学大会暨第十五届中国药师周上报告交流 荣获河北省科技进步三等奖1项,河北省医学会科技奖一等奖1项 目前以第一主研人主持河北省科技厅课题1项,市厅级课题2项 以第二主研人主持张家口市财政厅支持课题1项;河北省政府资助专科能力建设和专科带头人培养课题1项 获“河北省抗击新冠肺炎先进个人”、“河北省优秀共产党员”、“河北省冀青之星”、张家口市“最美科技工作者”,“张家口市抗击新冠肺炎先进个人”、“张家口市优秀共产党员”等荣誉称号。 专家点评 支学军 教授 河北北方附属第一医院主任医师 教授,河北北方学院硕士研究生导师 任河北省医学会内科学分会委员 张家口市医学会呼吸分会常务委员兼秘书 张家口市抗癌协会理事会理事 张家口市抗癌协会肿瘤临床化疗专业委员会常务委员 张家口市抗癌协会抗癌药物专业委员会常务委员等职务 从事呼吸科工作30余年,擅长肺部感染性疾病、肺癌、肺结核等疾病的诊治。














































