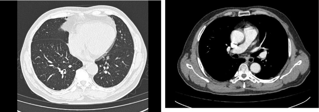
随着免疫治疗的发展,PD-1单抗在包括肺癌、胃癌、食管癌、鼻咽癌等在内的多种实体瘤的治疗中表现出令人鼓舞的治疗潜力,并随着临床证据的积累,发挥着越来越重要的治疗价值。同时,PD-1单抗在局部晚期肺鳞癌患者的新辅助治疗中的价值,也得到临床的积极探索。本期,我们分享一例局晚期肺鳞癌同时合并鼻咽癌的患者接受替雷利珠单抗联合化疗新辅助治疗后,顺利实施肺癌根治术,且鼻咽癌病灶也得到一定缓解的病例。 | 病例提供者:复旦大学附属中山医院厦门医院 王仁峰医生 王仁峰 主治医师 硕士研究生 复旦大学附属中山医院厦门医院 胸外科 中国胸外科三维重建及人工智能联盟常务委员 中国转化医学联盟胸部肿瘤外科专业委员会委员 河北省急救医学会第一届胸外科专业委员会青年委员 河北省健康学会胸外科管理分会第一届委员 河北省呼吸与健康学会微创外科分会委员 一般资料:男性,61岁。 主诉:因“确诊肺恶性肿瘤3月余”入院。 现病史:患者于2020-11-25因咳血就诊厦门市第三医院,查胸部CT示:右肺下叶后基底段见一实性结节,大小约27.6*23.7 mm,纵隔内见多发淋巴结。2020-11-26行支气管镜检查,病理示右下肺低分化鳞癌。 后转诊我院,2020-12-03行PET-CT示:右下肺后基底段代谢增高,符合肺癌并纵隔(7,10R组)多发淋巴结转移;鼻咽部软组织明显增厚,双侧咽旁间隙,右侧颈部区多发肿大淋巴结,鼻咽恶性肿瘤可能。头颅增强MRI结果提示:鼻咽软组织增厚,其余未见明确转移灶。2020-12-04在我院行超声支气管镜(EBUS),术后病理(2020-12-07)示第7组,第10组淋巴结转移性低分化鳞状细胞癌。2021-12-09于我院耳鼻喉科行局麻鼻咽活检术,术后病理(2020-12-15)示:鼻咽部非角化性癌,未分化型;建议先行肺癌新辅助治疗后再行鼻咽部放疗。 既往及个人史:高血压病史8年;口服药物治疗,血压控制可。 影像学检查: 胸部平扫(2020-12-03):右肺下叶见结节状软组织密度影,范围约22×17mm,邻近支气管腔闭塞;右肺中叶及下叶见微小实性结节影(Se5 Im199、217),直径约4-5mm;两肺透亮度稍增强,两肺散在条索影;纵隔内见肿大淋巴结,短径约14mm;胸膜无增厚,胸腔内无积液。影像学诊断:右肺下叶MT机会大,纵隔淋巴结肿大;右肺微小结节,有待随访;轻度肺气肿;两肺少许慢性炎症。见下图: 鼻咽部病理报告(2020-12-10): 鼻咽部组织:灰白灰褐色碎组织,共计直径0.8cm。(鼻咽部组织)送检破碎黏膜组织慢性炎,局部固有膜内见上皮样细胞巢,伴较多炎性渗出坏死物,正在行免疫组化检查以协助诊断。 2020-12-15补充报告:(鼻咽部组织)镜下见少量破碎黏膜组织及较多坏死物,其黏膜固有膜内散在少许上皮样细胞巢,伴细胞异型,免疫组化标记示少许上皮样细胞P63、P40及EBER阳性,部分异型上皮样细胞及上皮标记表达不理想。结合同一病例20AS06823,本例考虑为非角化癌,未分化型。免疫组化(2020-N02641):20AS06945-001: CK7(少量+),p40(部分+),p63(部分+),Ki-67(70%阳性),EGFR(+),CK{pan}(少量+),TTF-1(8G7G)(-);NapsinA(-),EBER(+),CD56(-),CD3(部分淋巴细胞+),Perforin(-),GranB(-),TIA-1(-),CD30(少量+)。 MRI颈部软组织平扫+增强+DWI(2020-12-18): 鼻咽部MRI示鼻咽右侧壁及后壁软组织不规则增厚,咽隐窝消失,增强后可见轻度异常强化,双侧鼻咽旁间隙见肿大淋巴结,较大者位于右侧,最大层面约23 mm×21 mm×35 mm,双侧颈部多发小淋巴结,双侧海绵窦无受侵表现,部分副鼻窦黏膜增厚。 诊断:右下肺恶性肿瘤(鳞癌 cT1cN2M0 ⅢA期)、鼻咽癌、高血压 第一阶段:新辅助免疫联合化疗治疗 治疗方案:患者于2020-12-18至2021-01-09接受“替雷利珠单抗200 mg+紫杉醇(白蛋白结合型)400mg+d1卡铂450mg”2个周期。治疗过程顺利,无严重不良反应。 复查胸部CT(2021-02-01):原2020-12-03片右肺下叶结节,此次未见,纵隔淋巴结稍大,较前片相仿,右肺微小结节,较前相仿,轻度肺气肿;两肺少许慢性炎症。 疗效评价:部分缓解。 继续治疗:患者继续接受“替雷利珠单抗200 mg+紫杉醇(白蛋白结合型)400mg+d1卡铂450mg”治疗至2021-02-23,共治疗4个周期。治疗过程顺利,无严重不良反应。 复查胸部CT(2021-03-16):两肺见小实性结节影(Im34、38、43),直径约4-5 mm;两肺透亮度稍增强,可见小囊样影,两肺散在条索影,增强后未见异常强化灶,纵隔内见稍肿大淋巴结,短径约13mm;胸膜无增厚,胸腔内无积液。影像学诊断:符合右肺MT治疗后改变,两肺小结节,较前片(21-02-01)相仿,轻度肺气肿;两肺少许慢性炎症。提示纵隔淋巴结较前缩小,建议手术治疗。见下图: 第二阶段:手术治疗 患者于2021-04-02,在全麻下行(右侧)经胸腔镜右下肺癌根治术。 术后病理(2021-04-02): (1)右肺下叶切除标本:大小17*8*2.5cm,支切直径1.5cm,距段支切1cm、距表面胸膜0.1cm见一扎线,扎线处见一灰红质稍实区,范围1.5*1.2*1cm,质软,界不清。病理诊断:(新辅助化疗联合免疫治疗后,右肺下叶切除标本)镜下肺组织部分区肺泡腔塌陷伴纤维组织增生及炎症细胞浸润,考虑为炎症性病变。检出支气管旁淋巴结12枚,均呈慢性炎症,其中1枚淋巴结内见组织细胞反应伴坏死及胆固醇结晶形成。 (2)送检分组淋巴结:2.4组淋巴结、7组淋巴结、10组淋巴结、11组淋巴结。病理诊断:送检2.4组淋巴结2枚,均呈慢性炎。送检7组淋巴结9枚,均呈慢性炎,其中2枚淋巴结内见泡沫样组织细胞反应伴胆固醇结晶形成。送检10组淋巴结1枚,呈慢性炎。送检11组淋巴结5枚,均呈慢性炎。 (3)术后病理结果回报(新铺助化疗联合免疫治疗后,右肺下时切除标本)镜下肺组织部分区肺泡腔塌陷伴纤维组织增生及炎症细胞浸润,考虑为炎症性病变(ypTONOMO)。 疗效评估:PCR(病理完全缓解) 第三阶段:肺癌根治术后复查及鼻咽癌处理 肺癌根治术后复查: 胸部CT平扫(2021-5-8):右肺术后,右肺下叶见片絮状磨玻璃密度影,两肺见多枚小结节(im19、29、35、45等),大者直径约4-5mm,所见各支气管腔通畅,肺门及纵膈未见肿大淋巴结,胸膜无增厚,右侧胸腔内见少量积液及积气。右心膈角见稍大淋巴结。影像学诊断:右肺术后,右肺下叶少许炎症,右侧胸腔少量积液、积气,随访;余两肺多发小结节,较前大致相仿,密切随访。右心膈角稍大淋巴结。 鼻咽癌影像学随访: 头部MRI检查(2021-5-11):鼻咽部平扫+增强。结果提示,患者鼻咽右侧壁及后壁软组织稍厚,增强后明显均匀强化,双侧咽旁间隙、胸锁乳突肌深面见多发小及稍肿大淋巴结,较大者约8×8mm,增强后部分呈轻度强化,部分呈明显强化,双侧海绵窦无受侵表现,部分副鼻窦黏膜增厚。影像学诊断:患者为鼻咽癌MT病例:鼻咽右侧壁及后壁稍厚,颈部淋巴结转移,较2020-12-18片病灶及淋巴结均明显缩小,轻度鼻窦炎。疗效评估:PR。 下一步治疗:免疫维持治疗 1. 患者因诊断肺恶性肿瘤入院,经进一步检查后,明确肺鳞癌分期为cT1cN2M0 ⅢA期,同时发现患者存在鼻咽癌病灶。经过多学科讨论后,决定对患者先行肺癌新辅助治疗后再行鼻咽部放疗。 2. 患者先后共接受4个周期的新辅助化疗联合免疫治疗,具体方案为替雷利珠单抗+紫杉醇(白蛋白结合型)+卡铂,治疗过程顺利。影像学复查结果提示,患者纵膈淋巴结较前缩小,可接受手术治疗。 3. 患者如期接受胸腔镜右下肺癌根治术,术后病理提示疗效评估达pCR。术后1月余患者接受胸部影像学复查提示,患者两肺情况较前大致相仿。鼻咽部影像学复查提示,患者鼻咽癌病灶及淋巴结均较之前明显缩小,治疗效果达PR。 范虹 医学博士,复旦大学附属中山医院胸外科主任医师,硕士研究生导师 复旦大学附属中山医院厦门医院大外科主任兼胸外科执行主任 美国哈佛医学院麻省总院research fellow da Vinci Surgical System机器人系统Console Surgeon 上海市医师协会胸外科专业委员会委员、纵隔外科学组副组长 上海市中西医结合学会胸外科专业委员会委员 擅长肺部结节的胸腔镜微创手术及da Vinci机器人系统微创手术;局部晚期肺癌的复杂手术;气管疾病的手术治疗;食管癌的胸腔镜微创手术及da Vinci机器人系统微创手术;胸腺瘤等纵隔肿瘤的胸腔镜微创手术及da Vinci机器人系统微创手术; 以及胸壁肿瘤等其他胸外科疾病的手术治疗 患者为一名右下肺鳞癌同时合并鼻咽癌的患者,肺鳞癌分期为cT1cN2M0 ⅢA期,属于局部晚期;鼻咽癌为鼻咽部非角化性癌伴颈部淋巴结转移。这是一例临床比较少见的同时并发两种癌症的患者,病情复杂。如何为患者制定整体的治疗方案,成为摆在临床医生面前的难题。 2020 CSCO非小细胞肺癌诊疗指南指出[1],对可手术的ⅢA期原发性非小细胞肺癌(NSLCL)患者,推荐给予新辅助治疗。相较于传统治疗,免疫治疗可激活肿瘤特异性T细胞的抗肿瘤作用,与机体自生免疫系统相辅相成,帮助患者获得持久疗效,优势明显。目前已有多项研究初步证实了,免疫治疗具有良好的病理缓解、耐受性、安全性以及无手术延迟等获益潜力,是一种安全有效的NSCLC术前新辅助/辅助治疗手段。近年来PD-1单抗在局晚期肺鳞癌新辅助治疗中的价值得到探索,包括我国自主研发的PD-1单抗替雷利珠单抗。 替雷利珠单抗是一种靶向PD-1的高亲和力、高特异性的人源化IgG4型单克隆抗体,经特殊设计的替雷利珠单抗可最大限度地减少与巨噬细胞表面的Fcγ受体结合,减少巨噬细胞对免疫细胞的消耗,避免了可能存在的免疫治疗耐药问题。与同类单抗相比,替雷利珠单抗在作用机理方面可能具有更多治疗优势。多项临床实际病例也提示,替雷利珠单抗用于肺鳞癌新辅助治疗具有显著治疗获益。 尽管目前尚未有替雷利珠单抗联合化疗用于肺鳞癌新辅助治疗的大规模临床试验出炉,但中国首个、全球第二个成功探索肺鳞癌一线免疫治疗的Ⅲ期研究RATIONALE-307研究显示[2],替雷利珠单抗联合两种化疗方案均能显著降低患者疾病进展风险,延长无进展生存。且无论PD-L1表达如何,替雷利珠单抗联合两种化疗方案患者PFS均获益。这提示,替雷利珠单抗用于肺癌具有显著治疗获益。 同时,该患者还同时是一名鼻咽癌患者,如果单纯对患者进行肺癌新辅助免疫联合化疗,是否会延误鼻咽癌病情?RATIONAL 102研究带来启示。该研究是一项在包括肺癌和鼻咽癌在内的多个实体瘤中探索替雷利珠单抗疗效与安全性的研究[3]。结果提示,替雷利珠单抗单药治疗复发/转移鼻咽癌二线及以上有显著的治疗效果,客观缓解率(ORR)达43%,无进展生存期(PFS)达10.4个月。经过综合考虑,对该患者进行肺癌的替雷利珠单抗联合化疗新辅助治疗,之后再考虑鼻咽癌放疗。结果提示,患者顺利接受肺癌根治术且术后病理达pCR,复查提示鼻咽癌病灶及淋巴结也明显缩小,这表明替雷利珠单抗联合化疗在治疗肺癌的同时,对鼻咽癌也发挥了积极的治疗作用,为后续鼻咽癌的放疗打下了良好的基础。 王鹏 副主任医师、医学博士 复旦大学附属中山医院厦门医院耳鼻喉科执行副主任 美国爱荷华大学医院耳?咽喉头颈外科访问学者 中国研究型医院学会眩晕医学专业委员会委员 中国抗癌协会康复会学术指导委员会头颈?年委员会委员 中国人体健康科促会?科专委会委员 厦门医师协会嗓音分会副会长 擅长耳鼻喉-头颈部良、恶性肿瘤的手术及综合治疗,尤其对喉癌、下咽癌、鼻咽癌的综合诊治有独到见解 该患者为同时伴有局晚期肺部肿瘤和鼻咽癌的患者。影像学检查结果提示,该患者鼻咽软组织增厚,双侧咽旁间隙,右侧颈部区多发肿大淋巴结,其余未见明确转移灶;病理学检查也提示淋巴结转移性低分化鳞状细胞癌。根据2020年CSCO鼻咽癌诊疗指南[4],对于局晚期鼻咽癌患者,优选诱导化疗+同期放化疗,5年生存率可达80%。对于转移性鼻咽癌,则首选系统化疗,且急需新的突破。目前,免疫治疗用于复发转移性鼻咽癌的探索一直在不断深入,且取得了一定成果。例如,相关证据提示,PD-1单抗联合化疗一线治疗复发转移性鼻咽癌,患者病灶较基线得到显著改善[5]。这提示,免疫治疗联合化疗能为鼻咽癌患者带来显著的治疗作用。 RATIONAL 102研究是一项在包括肺癌和鼻咽癌在内的多个实体瘤患者中探索替雷利珠单抗单药治疗二线及以上患者疗效与安全性的研究[3]。结果显示,中位随访9个月时,56例NSCLC患者中,有10例患者部分缓解,21例患者疾病稳定,客观缓解率(ORR)为18%,疾病控制率(DCR)为55%,临床获益率(CBR)为52%。中位随访12个月时,21例鼻咽癌患者中,分别有9例、9例和3例患者达到部分缓解、疾病稳定和疾病进展,ORR、DCR、CBR分别为43%,86%和81%。不论PD-L1表达状态如何,在NSCLC和鼻咽癌患者中均观察到肿瘤缓解。 鼻咽癌是巨噬细胞/T淋巴细胞高度浸润的癌种,病理显示肿瘤微环境与经典霍奇金淋巴瘤(cHL)类似。RATIONALE 203研究是一项评价替雷利珠单抗治疗复发/转移cHL的Ⅱ期研究[6],结果提示,替雷利珠单抗单药治疗复发/转移cHL的CR高达62.9%。有理由推测,替雷利珠单抗用于鼻咽癌也将可能取得显著治疗效果。以上证据提示,替雷利珠单抗对于同时患有肺癌和鼻咽癌的患者,可能具有“一举双得”的治疗效果。 本病例中患者同时患有局晚期肺癌与鼻咽癌,在其接受替雷利珠单抗联合化疗的肺癌新辅助治疗后,患者肺癌病灶显著缩小,顺利接受根治术并达到pCR。而鼻咽癌通过影像学评估后也得到一定缓解,提示这种“一举双得”的治疗效果是真实存在的。这为未来免疫治疗药物在鼻咽癌领域的探索提供了一定的启示,并在选择获益人群、制定更有效免疫联合治疗方案方面,引发了更多有意义的思考。基本情况

治疗经过




病例总结
专家点评


























