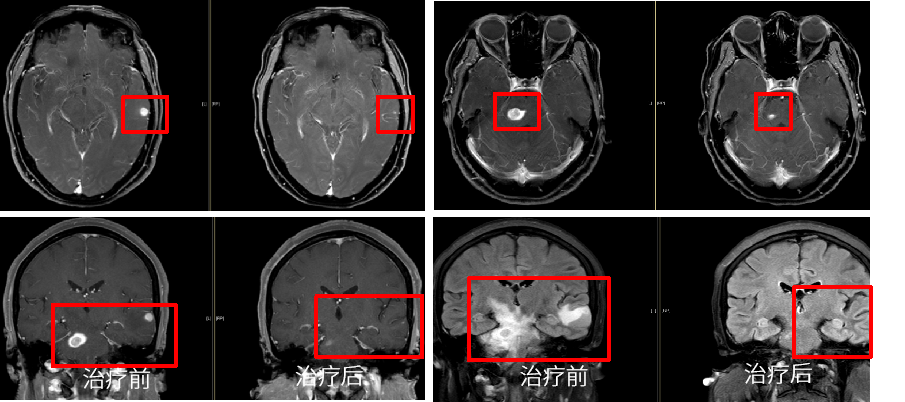
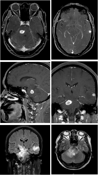
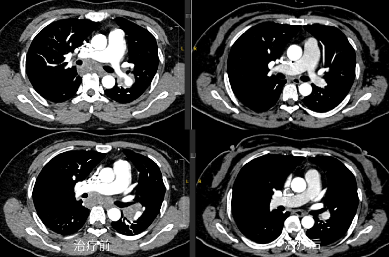
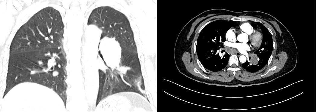
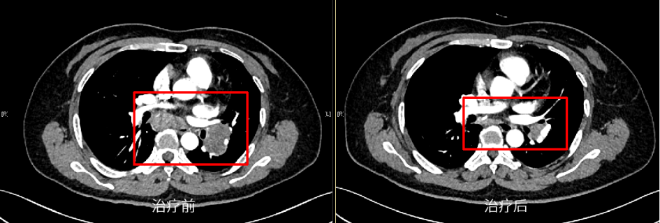
肺癌是严重威胁人民群众生命健康的恶性肿瘤,晚期肺癌患者已错失最佳手术时机,传统的化疗方案对于晚期肺癌患者的总体效果难以满足临床需求[1]。近年来,以PD-1/PD-L1抑制剂为代表的免疫疗法在肺癌治疗中的价值得到积极探索,我国自主研发的PD-1抑制剂替雷利珠单抗在肺癌领域也进行了广泛布局,目前已获批晚期非小细胞肺癌(NSCLC)一线及二/三线治疗适应症,且是唯一实现不可手术局晚及晚期NSCLC医保全程覆盖的PD-1抑制剂。 本期由中山大学孙逸仙纪念医院丁嘉萱医生为大家分享一例替雷利珠单抗用于晚期肺腺癌伴脑转移患者的诊疗过程,并由刘宜敏教授进行点评。该病例中,患者接受替雷利珠单抗治疗已实现超2年持续CR,目前免疫治疗已满两年,遂停止治疗,患者一般情况良好,后续定期影像学随访。 分享专家 丁嘉萱 医生 肿瘤学硕士 中山大学孙逸仙纪念医院放疗科医师 点评专家 刘宜敏 教授 病例详情 基本情况 一般情况:患者女性,53岁。 主诉:因“咳嗽伴气促4月,头痛半月”就诊。 现病史:患者咳嗽伴气促4月,头痛半月,于2020.05我院首诊。 既往史、个人史及家族史:无特殊。 月经婚育史:无特殊。 辅助检查 入院后基线评估: (1)胸部CT示:左肺门区可见一团块状影,大小约42.8mm*30.0mm,边界清,增强扫描呈轻度强化,强化尚均匀,病变包埋左下肺动脉,左肺下叶支气管狭窄,病变下缘可见子灶。纵隔内结构清楚,后纵隔内可见一团块状影,大小约52.8mm*21.0mm,边界清,强化方式与上述病灶相仿,与食管分界不清。双侧肺门淋巴结转移。 入院后胸部CT检查 (2)头颅MRI示:左颞叶、脑干见结节状稍长T1、稍长T2信号影,DWI呈稍高信号,增强后明显强化,周围见片状水肿影,直径分别为8.7mm和11.2mm;左颞叶、脑干异常信号灶,结合病史,考虑转移瘤;全腹MR和全身骨显像无明显异常。 入院后MRI检查 (3)超声支气管镜引导下的经支气管针吸病理活检(EBUS-TBNA):1、左上叶下舌段支气管及左下叶背段支气管,左下叶基底段支气管管腔外压性狭窄;2、隆突增宽;3、纵隔淋巴结转移(第7组,第11L组),EBUS-TBNA细胞病理提示为肺来源腺癌。 于左侧第二隆突探及第11L组淋巴结行EBUS-TBNA (4)免疫组化:TTF-1(+)、NapsinA(+)、CK7(+)、CK5/6部分(+)、Ki67约25%(+),P40(-),PD-L1(22C3)肿瘤细胞约30%(+)、PD-L1(22C3)免疫细胞约20%(+)。 (5)基因检测:RET基因重排。 临床诊断 左肺腺癌伴脑转移(T4N3M1c,IVB期);RET基因重排 诊疗经过 于2020.06.01、2020.06.22、2020.07.13、2020.08.04、2020.08.25、2020.09.15予替雷利珠单抗200mg+培美曲塞800mg+奈达铂110mg治疗6周期;期间于2020.06.04-2020.07.13行WBRT(37.5Gy/15f)+SRS(14Gy),WBRT同期给予替莫唑胺(75mg/m2)。 免疫治疗2周期后复查胸部CT提示:左肺门区肿块较前缩小(21*14mm),后纵隔淋巴结较前缩小(22mm*9mm),左颞叶病灶基本消失、脑干病灶明显缩小(5mm),水肿明显消退。疗效评估为PR。免疫治疗4周期后复查胸部CT,疗效达到CR。 治疗前vs. 免疫治疗2周期后复查胸部CT结果对比 治疗前vs. 免疫治疗2周期后复查胸部CT结果对比 治疗前vs. 免疫治疗4周期后复查胸部CT结果对比 后暂停免疫联合化疗,于2020.09.17-2020.10.30行肺癌累及野放疗(pGTV、pCTV:60Gy/30f)。后于2020.11.12-2022.08.25行替雷利珠单抗200mg+培美曲塞500mg维持治疗23周期。期间定期影像学随访(外院),疗效维持CR。 2021.11.17胸部CT提示:左肺下叶背段及左肺上叶近肺门区团片状密度增高影,其内支气管稍扩张,邻近胸膜可见增厚,同前大致相仿。右肺上叶纵隔旁至近肺门区亦见条片状实变影,部分沿支气管分布,局部支气管稍扩张;右肺中叶内侧段见少许条状影,同前大致相仿。少量心包积液较前稍增多,新见双侧胸腔少量积液。纵隔内见多枚小淋巴结。附见肝右叶后段低密度灶部分向外突出,肝脏余部另见低密度小结节,十二指肠降段见含气囊袋影,同前大致相仿。 2021.12.16头颅MRI(平扫+增强)提示:脑桥右侧区见一小条片异常信号影,T2W1及FLAIR上呈稍高信号,信号较前减低,T1W1上显示欠佳,增强扫描现片未见明确强化,余颅内脑组织形态、信号正常,中线结构居中,脑室系统形态、大小正常,脑池、脑沟及脑裂未见异常,小脑未见异常信号。增强后脑组织强化正常,未见异常信号灶。附见:双侧筛窦及右侧上颌窦黏膜少许增厚。 2022.06.23 PET-CT检查提示:1、左肺癌治疗后,左肺下叶背段及左肺上叶近肺门区斑片状密度增高影伴轻度代谢增高,病灶较前明显吸收,代谢较前减低,考虑放射性肺炎较前吸收、好转,建议追踪复查;2、左侧肺门(10L)及纵隔内(4R、5、7 组)多个小巴结,代谢未见明显增高,结合病史,考虑为淋巴结转移灶治疗后处于明显抑制状态,建议追踪复查;3、脑转移瘤治疗后,颅脑未见明显提示脑转移瘤的高代谢灶,结合病史,考虑脑转移瘤治疗后好转,请结合MRI增强结果。 患者接受免疫治疗满两年(末次治疗时间为2022.08.25),疗效维持CR,与患者充分沟通后,停止免疫维持治疗,定期随访。 2022.11.22头颅MRI(平扫+增强)提示:脑桥右侧区见一小条片异常信号影,T2W1及FLAIR上呈稍高信号,T2W1上显示欠佳,增强扫描未见明确强化,较前大致相仿。双侧顶叶及左基底节区异常信号灶。余颅内脑组织形态、信号正常,中线结构居中。脑室系统形态、大小正常,脑池、脑沟及脑裂未见异常。增强后余脑组织强化正常,未见异常信号灶。附见:双侧筛窦及上颌窦黏膜少许增厚。 2022.12.23胸部CT提示:双肺门区条片状实变影较前缩小、变淡,局部支气管通畅,增强扫描未见明确异常强化灶;右肺中叶内侧段见少许条状影,同前相仿。心包未见积液。纵隔及肺门未见肿大淋巴结;双侧胸腔未见积液。附见肝右叶后段低密度灶部分向外突出,最大横断面约4.4*2.5厘米,增强扫描呈早出晚归强化特点。肝脏余部另见低密度无强化小结节。十二指肠降段见含气囊袋影。 病程回顾 病例点评 该患者在完善相关检查后,最终被确诊为“左肺腺癌伴脑转移、后纵隔与双侧肺门淋巴结转移”。肺癌起病隐匿,约10%-25%的NSCLC患者在确诊时已发生脑转移,约50%的患者在疾病进展中发生脑转移[2]。肺腺癌作为NSCLC的主要病理类型之一,其发病率近年来持续上升[3]。 肺癌脑转移患者的死亡率很高,传统的治疗手段疗效非常有限。数据显示,在未接受治疗的脑转移患者中,中位OS仅为1个月,而接受最佳支持疗法的患者OS约为2个月[2]。近年来,免疫药物及靶向药物的研发问世,大大提高了肺癌脑转移患者的生存率。该患者PD-L1表达阳性,一项汇总分析结果显示[4],对于PD-L1 TPS≥1%的NSCLC脑转移(包括未经治)患者,相比单纯化疗,免疫治疗可改善治疗结局,同时具有更少的不良事件。 有研究表明[5],免疫联合放疗不仅可控制照射区原发肿瘤增殖,同时也能促进肿瘤组织释放抗原形成原位灭活疫苗增加免疫治疗疗效。在一项研究报道中,NSCLC脑转移患者接受免疫联合立体定向放疗安全性良好,不仅降低照射野外复发率,还可提高患者生存期[6]。此外,基因检测提示该患者存在RET基因重排,但我国首个高选择性RET抑制剂获批时间为2021年3月,在该患者2020年6月开始接受治疗时靶向药物暂不可及。 证据显示,免疫联合化疗具有协同增效作用[7],结合该病例具体情况及循证医学证据决定采用免疫联合化疗进行治疗。考虑到该患者为异地就医,为有效管理,提高患者依从性,需选择半衰期长的免疫药物,而我国自主研发的PD-1抑制剂替雷利珠单抗终末半衰期约为26天,达到同类药物最高范围,经MDT讨论予替雷利珠单抗联合化疗,并行WBRT+SRS(WBRT同期给予烷化剂)。近年来,替雷利珠单抗全面布局肺癌领域,积累了丰富的循证医学证据。 RATIONALE 304[8]为一项III期、多中心、随机、开放研究,旨在对比替雷利珠单抗联合化疗和单用化疗一线治疗晚期非鳞状NSCLC的疗效和安全性。在2022 ESMO IO大会上,RATIONALE 304研究公布了最新数据,中位随访16.1个月后,替雷利珠单抗联合化疗组的mPFS进一步延长至9.8个月,显著降低37%的疾病进展风险,ORR达到57.8%,其中CR率提升至4.9%,约为对照组的3倍;mDOR进一步提升至10.6个月,患者获益持久。同时,该研究在此次大会上首次更新了OS数据,联合治疗组的mOS达到21.6个月,HR为0.68,显著降低32%的死亡风险。此外,在RATIONALE 304研究[9]的事后分析中,首次探索了免疫治疗联合化疗的至缓解时间分布,旨在充分了解免疫治疗的反应特征、最大化免疫治疗的临床获益提供了全新思路。结果显示,替雷利珠单抗联合化疗治疗有近50%的应答者在第二次评估后(≥4周期治疗后)出现首次缓解,提示若首次肿瘤评估未达到肿瘤缓解,不必急于停药,继续治疗仍很有可能达到缓解;75%达到CR/PR的患者通过持续治疗,肿瘤会持续退缩,首次缓解到最大肿瘤缓解的中位时间为3.6个月(约5个周期),肿瘤缓解深度更深的应答者,其PFS有延长的趋势,提示已达到CR/PR的患者,持续治疗肿瘤可进一步缩小,实现更长PFS获益。 患者在接受替雷利珠单抗联合治疗2周期后快速达PR,4周期疗效达到CR。6周期后暂停免疫治疗,在针对肺癌累及野放疗后,继续予免疫联合化疗维持治疗23周期,考虑到患者耐受性,在保证疗效的基础上化疗药物(培美曲塞)由标准剂量减量至500mg,以提高生活质量,期间影像学随访疗效维持CR。该患者共接受替雷利珠单抗治疗29周期,截至发稿已实现超2年长生存,充分验证了其在真实世界中用于肺腺癌脑转移患者的有效性和安全性。 根据2020年V1版《NCCN 非小细胞肺癌临床实践指南》,如果患者一线应用免疫疗法,则应接受两年的免疫维持治疗[10],具体临床实践中免疫治疗满2年后继续用药也可持续获益。该病例中,患者自2020年6月开始免疫治疗,至2022年8月已满两年,与患者充分沟通后,停止免疫维持治疗。截至末次随访(2022年12月),患者一般情况良好,未来实现长期生存值得期待。 长期以来,生存期短、预后差的肺癌脑转移患者常被排除在临床试验之外,血脑屏障(BBB)及血液-肿瘤屏障(BTB)等特殊结构也给脑转移相关机制研究造成重重困难[2]。目前,免疫联合放疗还有许多亟待解决的问题,如疗效评价、治疗结合时机、放疗范围及剂量等[5]。期待在未来,该领域能有更深入的研究进展,造福万千肺癌脑转移患者! 参考文献: [1] 王渊, 谭盼, 等. 中国医院用药评价与分析. 2023,23(03). [2] 马力, 朱娅, 等. 中国医药导报. 2023,20(03). [3] 李芳, 韩采利, 等. 肿瘤防治研究. 2023,50(03). [4] Aaron S Mansfield, et al. JTO Clin Res Rep. 2021 Jul 1;2(8):100205. [5] 周冲, 韩亮, 等. 中华转移性肿瘤杂志,2022,05(4):340-343. [6] Kamran A Ahmed, et al. J Neurooncol. 2017 Jun;133(2):331-338. [7] 赵景景, 李玲, 等. 实用癌症杂志. 2022,37(06). [8] Shun Lu, et al. ESMO IO 2022: 138P. [9] Lu S , et al. CSCO 2022. [10] NCCN Guideline NSCLC 2020.V1.

































