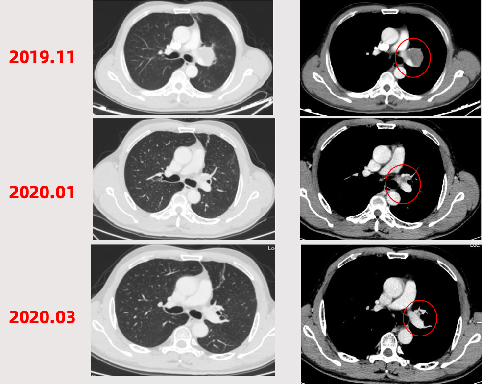
小细胞肺癌(SCLC)是肺癌中恶性程度高、容易发生转移的类型,约占所有肺癌的15%-20%,属于神经内分泌肿瘤,据统计,全球每年约25万新发SCLC病例,至少造成20万患者的死亡1。在中国,70%的SCLC患者初次诊断时已发生远处转移,即属于广泛期小细胞肺癌(ES-SCLC),而ES-SCLC的治疗方式在过去30年来一直乏善可陈,患者的总生存期(OS)在8-10个月左右,5年生存率不足1%2。2022年5月,阿得贝利单抗作为我国自主研发的程序性死亡分子配体-1(PD-L1)抑制剂,其联合化疗一线治疗ES-SCLC的III期临床研究CAPSTONE-1研究成果发表于国际学术顶尖杂志《柳叶刀·肿瘤学》,结果显示,相较于化疗对照组,阿得贝利单抗联合化疗可显著改善患者的OS,且安全性良好。对此,医脉通特邀分中心PI安徽省立医院操乐杰教授解读CAPSTONE-1研究结果,分享用药经验以及盘点该研究对中国SCLC临床实践的影响。 操乐杰教授 独特抗体结构,为CAPSTONE-1研究的长生存数据奠定基础 操乐杰教授介绍,ES-SCLC一线化疗的有效率达60%,但无进展生存期(PFS)和OS较短,长久以来未能满足患者的生存需求,临床治疗的突破困难重重。随着PD-L1抑制剂的获批应用,ES-SCLC患者中位OS已成功突破一年。阿得贝利单抗是我国自主研发的PD-L1抑制剂,IgG4抗体类型,且进行了Fc段改造,去除和巨噬细胞表面FcγR结合的能力,消除ADCP效应,降低ADCR作用,ADCR作用的降低意味着可以减少IL-8和IL-6的释放,可能增强免疫疗效,减少免疫相关不良反应。 基于该结构优势与早期临床研究的优效数据,阿得贝利单抗开展CAPSTONE-1 III期注册临床研究,并在2022年美国癌症研究协会(AACR)年会首次公布该研究阳性结果,次月登上国际顶尖杂志The Lancet Oncology杂志,数据结果刷新了PD-L1抑制剂在ES-SCLC中的生存数据。结果显示,阿得贝利单抗联合化疗一线治疗ES-SCLC,中位OS达15.3个月(vs化疗12.8 个月,p=0.0017),显著降低28%的疾病死亡风险(HR=0.72),2年生存率达31.3%(vs化疗17.2%)3。操教授表示,相较于对照组,阿得贝利单抗联合化疗将2年生存率提高将近一倍,阿得贝利单抗为中国ES-SCLC患者带来长生存获益的可能,意味着在SCLC的治疗中迈出关键一步,期待未来可以惠及更多中国患者。 阿得贝利单抗一线疗效显著,SCLC免疫治疗再添“利器” 操教授介绍,本中心参与了CAPSTONE-1临床研究,其中有1例Ⅳ期ES-SCLC患者,影像学检查显示第一肋骨胸椎有转移病灶。该患者从2019年接受阿得贝利单抗联合化疗方案治疗,PFS达到34个月,取得长期生存获益,且不良反应方面安全可控。该病例的特点首先是起效快,两个疗程达到部分缓解(PR)。第二点是生存期长,临床实践中认为,如果一线ES-SCLC患者PFS超过24个月,那么患者将有60%的概率达到5年生存,而该患者PFS达34个月,因此,我们认为该患者有70%的概率能实现5年生存。关于免疫相关不良反应(irAE),均属于1-2级,治疗过程中及时发现并进行了对症处理。此外,我们发现患者停药后维持疗效将近两年,也显示阿得贝利单抗作为免疫治疗药物具有长拖尾效应。 操教授表示,在参与CAPSTONE-1研究过程中,发现阿得贝利联合化疗组耐受性良好且安全可控,如阿得贝利单抗造成的骨髓抑制较其他免疫检查点抑制剂症状轻微;免疫相关间质性肺炎发生率较低。值得关注的是,阿得贝利单抗的探索不仅仅局限于ES-SCLC,在局限期小细胞肺癌和围术期非小细胞肺癌(NSCLC)领域也有III期注册临床研究正在进行,期待早日披露更多研究成果。由于阿得贝利单抗具有不错的安全性,相信未来的探索方向非常广阔。 民族原研蓬勃发展,为中国患者带来更多福音 对于ES-SCLC领域治疗药物治疗支出,操教授认为,由于目前没有国产PD-L1抑制剂获批上市,而进口药物价格高昂。因此,对于中国ES-SCLC患者而言,治疗的经济负担较重。随着民族药企自主创新能力的提高,新药的研发和上市展现出的“中国速度”对中国患者而言是十分幸运的。阿得贝利单抗是恒瑞自主研发的PD-L1抑制剂。从CAPSTONE-1研究的数据结果我们可以看到,阿得贝利单抗联合化疗组,患者中位OS达到15.3个月,显著延长了患者的生存获益,irAE发生率仅27.8%,相较于对照组仅提高10%,≥3级irAE发生率均不超过1.8%。期待阿得贝利单抗早日上市,早日进入医保,让中国患者用得起,用得长,用得好。 此外,操教授表示,随着海外拔尖人才的回国和民族药企的大踏步地发展,可以自豪地说,现在我国民族药企的创新能力已经跻身全球一线行列。恒瑞医药是目前我国唯一拥有已上市程序性死亡受体-1(PD-1)和PD-L1两种免疫检查点抑制剂的民族制药企业,其中卡瑞利珠单抗的疗效已经经过真实世界临床实践验证,阿得贝利单抗的疗效与安全性的优效表现也令我们眼前一亮,恒瑞公司的创新能力毋庸置疑。随着卡瑞利珠单抗等药物的获批上市,中国自主创新药物也迈向了新纪元。恒瑞公司作为民族企业,希望能够承担起民族制药企业的社会责任,我们也期望后续恒瑞医药能够开展更多真实世界研究,在免疫治疗的时代,有更多方向的药物探索,有更多的研究数据支撑,给医生更多药物的选择,让更多肺癌患者实现生存获益。 小结 随着免疫治疗临床应用的不断普及,为患者提供一个疗效卓越、安全性更优的药物更为重要。从阿得贝利单抗抗体的选择和改造可以看出,其追求更纯净更安全的目标,因此,阿得贝利单抗可能会是一个双优+的新选择。CAPSTONE-1研究证明了阿得贝利单抗联合化疗可以显著改善ES-SCLC患者的OS且安全性良好,期望未来惠及更多中国ES-SCLC患者。 夏大庆教授 基本信息 患者为57岁男性。2019年11月患者咳嗽1月余,查体未见明显阳性体征,否认肿瘤家族史,吸烟30余年,20支/天。 辅助检查 肝胆胰脾+腹腔+腹膜后彩色B超示:肝囊肿、胆系未见明显结石、腹腔所见部位未见明显积液、腹膜后未见明显肿大淋巴结。 行双肾+肾上腺彩色B超示:右肾囊肿,双侧肾上腺三角区未见明显占位。 行 ECT-全身骨显像示:左侧第1前肋骨及第2胸椎代谢异常,进一步MR检查提示肿瘤骨转移。 支气管镜下活检,病理检查示:(肺左上叶固有段活检)小细胞癌。 免疫组化结果示:Syn(+),CgA(-),CD56(+),CK7(-),TTF-1(+),NapsinA(-) ,CK5 (-),P40(-), Ki-67(90%)。 行头颅磁共振平扫+增强示:脑缺血改变,脑实质未见明显转移灶,右侧筛窦炎症。 诊断 cT4N2M1b(骨),IVA期,广泛期小细胞肺癌 治疗过程 该患者入组CAPSTONE-1研究,该研究是一项采用阿得贝利单抗联合依托泊苷+卡铂(EC)对比安慰剂联合EC和依托泊苷一线治疗广泛期小细胞肺癌的随机、双盲、安慰剂对照、多中心的III期临床研究。该患者的治疗方案为阿得贝利单抗(20mg/kg,d1)联合化疗(依托泊苷100 mg/m2,d1-3,卡铂AUC=5,d1),之后给予阿得贝利单抗(20 mg/kg,d1,Q3W)单药维持治疗。 疗效评价 2020年1月和3月患者疗效评估为部分缓解(PR)。 不良反应 患者出血腹泻、便血。 考虑免疫学肠炎,激素对症处理4周。 停用免疫检查点抑制剂。 随访时间至2020年11月。 病例小结及治疗体会 该患者为ES-SCLC患者,一线接受阿得贝利单抗联合化疗方案治疗,取得良好临床获益,PFS为34个月,且OS数据同样令人鼓舞,患者获得长生存,体现了免疫长拖尾效应。此外,阿得贝利单抗免疫相关不良反应可防可控。 参考文献): 1. Rudin CM, Brambilla E, Faivre-Finn C, et al. Small-cell lung cancer[J]. Nat Rev DisPrimers. 2021 Jan 14;7(1):3. 2. 刘倩, 任胜祥.小细胞肺癌免疫治疗研究进展,同 济 大 学 学 报 ( 医 学 版 )[J]. 第 42卷第3期. 3. Wang J, Zhou C, Yao W, et al. Adebrelimab or placebo plus carboplatin and etoposide as first-line treatment for extensive-stage small-cell lung cancer (CAPSTONE-1): a multicentre, randomised, double-blind, placebo-controlled, phase 3 trial[J]. The Lancet Oncology, 2022, 23(6): 739-747.



























