乳腺癌药
肺癌药
肝癌药
卵巢癌药
前列腺癌药
胆囊癌药
胃癌药
甲状腺癌药
胰腺癌药
膀胱癌药
食管癌药
宫颈癌药
结直肠癌药
淋巴瘤药
肾癌药
子宫内膜癌药

更多

免疫治疗
靶向药
内分泌药
中药
细胞治疗

首页 > 癌症药物 > 免疫抑制剂药物 > 帕博利珠单抗 > 最新研究

2例新辅助免疫治疗肺鳞癌病例,成功衔接手术

来源: 2021-06-13 12:20:20

病例 · 一Bbw帝国网站管理系统
Bbw帝国网站管理系统
患者,男,62岁。Bbw帝国网站管理系统

主因活动后胸痛两周余就诊于当地医院。Bbw帝国网站管理系统

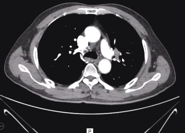
行胸部CT检査示:左肺下叶阴影,伴支气管截断。Bbw帝国网站管理系统

外院CT如下:支气管截断,左肺下叶支气管受侵。Bbw帝国网站管理系统

图片
影像学检查
Bbw帝国网站管理系统
PET-CT,左肺下叶肿块,FDG代谢增高,符合肺癌表现,伴左肺下叶局限性阻塞性改变左肺门、食管旁(8)、主肺动脉窗(5)、血管前(3A)多发淋巴结,FDG代谢增高,考虑淋巴结转移,结果提示左肺下叶占位为恶性。
 

初步诊断 IIIA期局晚期左下肺癌

 

MDT讨论

1、患者心绞痛症状明显,是否可行气管镜检查?
2、同期冠脉搭桥加肺切除?
 

决定行无痛气管镜检查:

1、麻醉策略:镇静(睡前加早6点各两片艾司唑仑片)降心率(晨起25mg美托洛尔)如操作前心率在60-70可考虑行气管镜检查。
2、活检策略:每天两次的低分子肝素,当天早晨的肝素活检后再执行,备氩氦刀。
行气管镜活检,术后病理回报鳞癌
 

再次行多学科会诊,下一步治疗计划:

1. 冠脉处理策略
2. 肺癌处理策略
经讨论,胸外科(强化CT、PET-CT)、心内科(冠脉造影)、胸外科(气管镜活检)、心内科(支架植入)、胸外科(新辅助治疗)。最终经肿瘤中心会诊后,决定术前新辅助化疗加免疫治疗
第一周期结束后,复查胸部CT示:左肺下叶支气管阻塞较前减轻,活动后气短症状较前轻度好转。
第二周期结束后,复查气管镜:与治疗前气管镜所见对比明显好转。
图片
术中快速冰冻病理结果示:左肺下叶支气管残端阴性,术后详细病理结果回报左肺下叶支气管残端阴性,送检淋巴结均为阴性。
值得注意的是,术前PET-CT提示:同侧肺门及纵膈淋巴结转移(N2),经两周期新辅助免疫治疗联合化学治疗后。
手术切除标本病理提示:同侧肺门及纵膈淋巴结阴性(NO)尽管术前无淋巴结活检病理,仍可大胆推断,病理降期效果明显。
 

病例 · 二

 
患者,男,68岁。
于2020-05-17“间断咳嗽、痰中带血20余天”入院。
2020-05-19左肺上叶尖后段开口狭窄近乎闭塞,活检为鳞癌Bbw帝国网站管理系统
 
图片
影像学检查
经MDT讨论,行帕博利珠单抗紫杉醇顺铂(新辅助治疗2周期)。Bbw帝国网站管理系统
 
图片
新辅助治疗后行手术治疗。送检左上叶肺为后段肺癌(非角化型鳞癌,0.8X0.5X0.2cm大小),间质伴纤维结缔组织增生及炎性肉芽组织增生。余肺淤血,气肿,部分区域纤维结缔组织增生伴瘢痕形成。送检(左肺上叶支气管残端)未见癌侵及。标本血管断端未见病侵及。

 Bbw帝国网站管理系统

总结

 

新辅助免疫治疗中,比起腺癌患者,鳞癌患者往往更容易获益。经过新辅助治疗后的手术核心难度明显降低。免疫所带来的缓解与化疗带来的缓解不同。至于最佳手术时机,仍需更多进一步探索。Bbw帝国网站管理系统

 Bbw帝国网站管理系统

免疫治疗通过激活人体自身对抗肿瘤的免疫功能来杀死肿瘤细胞。新辅助免疫治疗在目前研究中尚未增加手术难度,且提升疗效,患者也从中得到更多获益。与所有免疫治疗一样,新辅助免疫治疗的不良反应仍需关注。Bbw帝国网站管理系统

 Bbw帝国网站管理系统