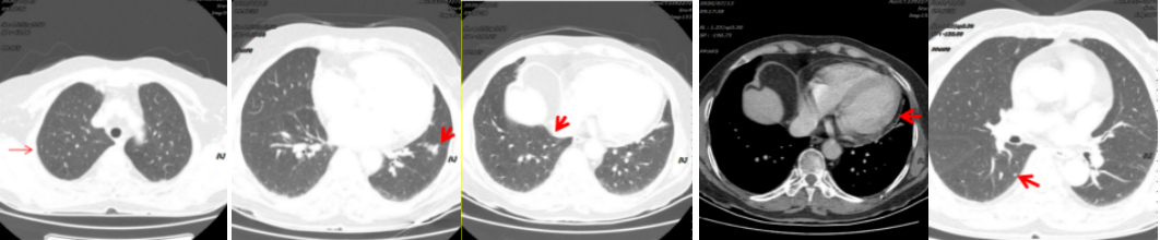
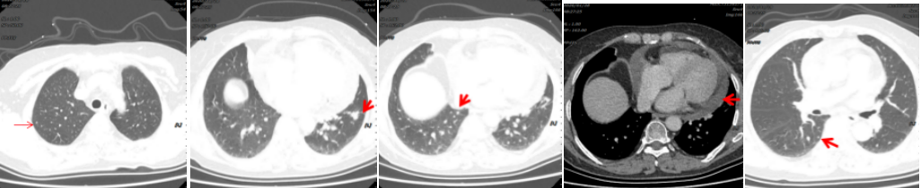
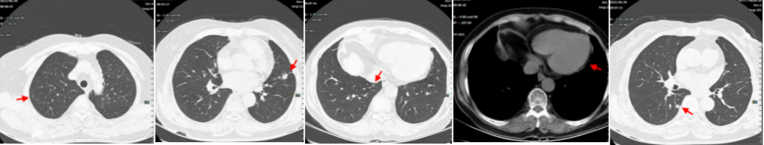
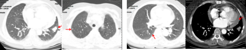
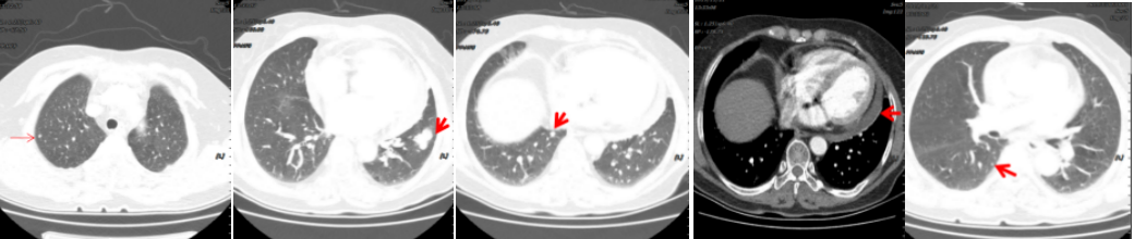
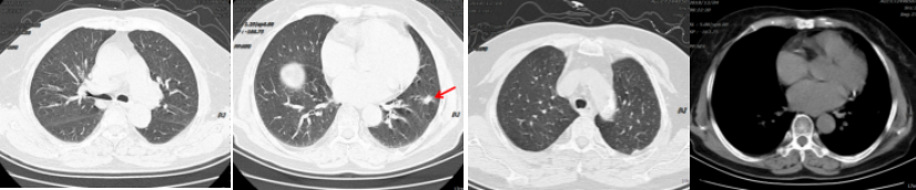
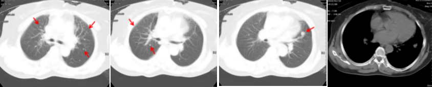
病例简介 该病例是一个肺腺癌(cT4N0M1a)IVa期患者,合并有高血压、冠心病、糖尿病。一线治疗前基因检测结果提示EGFR 19del(+)。一线治疗(埃克替尼片125mg tid)疗效评估为PR、PFS 22个月。一线治疗前基因检测结果提示EGFR 19Del(+)、T790M(+)。后入组D0316(贝福替尼)在EGFR阳性局部晚期或转移性非小细胞肺癌的II期临床试验(IBIO-102项目)。治疗先后由D0316 75mg qd更改方案为D0316 100mg qd,疗效评估为PR,、PFS>32月。至今患者仍持续用药随访中。 Part 1 基本信息 患者:女性;74岁。 主述:反复咳嗽3年,加重伴呼吸费力4月,于2018-1-17就诊。 既往史: 高血压病史10年,服用络活喜、厄贝沙坦氢氯噻嗪、美托洛尔控制血压;冠心病,冠脉支架置入术后4年;糖尿病史2年;否认其他病史。 Part 2 诊疗经过 治疗前辅助检查 2018-1-17查体:血压129/85mmHg;无明显阳性体征。 实验室检查 2018-1-18:血CEA 9.9ng/ml、Cyfra21-1 4.3ng/ml;SCC、NSE、Pro-grp均正常;血常规(Hb 109g/l)、肝肾功能、crp正常。 影像学检查 2018-1-8胸部CT:两肺多发结节,考虑MT伴转移,对照2017-10-4片增大,冠脉钙化,左侧部分肋骨陈旧性骨折,胆囊结石; 2018-1-22腹部B超:脂肪肝倾向,胆囊结石,两肾囊肿,两侧肾上腺未见明显异常回声; 2018-1-21头颅MRI:平扫+增强未见明显异常; 2018-1-23骨ECT:全身骨显像未见明显转移征象。 治疗前病理诊断 肺腺癌(cT4N0M1a) IVa期; 2018-1-18肺穿刺及病理:CK7( ++++ );NapsinA( ++++ ) ;TIF-1(++++);EGFR 19Del(+) ;ALK(-) 。 治疗前临床诊断 肺腺癌(cT4N0M1a) IVa期;PS 1分;EGFR 19Del(+);冠心病、冠脉支架置入术后;高血压病;糖尿病。 一线治疗 治疗方案:2018-1-26开始,埃克替尼片125mg tid。 疗效评估(PR,PFS 22月 ) 埃克替尼治疗11.3个月,两肺结节减少、缩小,达到PR (2018-12-4);治疗22个月,左下肺结节增大、肺内新发小结节、新发心包积液,出现PD(2019-11-21)。 2018-1-18 治疗前基线 2018-12-4 埃克替尼 11.3月(PR) 2019-11-21 埃克替尼 22月(PD) 一线治疗后辅助检查 实验室检查 2019-11-29血CEA 8.4ng/ml ;Cyfra21-1 4.8ng/ml;SCC、NSE、Pro-grp均正常。 2019-12-13血生化肌酐84umol/l;肝功能正常;血常规正常。 影像学检查 2019-12-4头颅MRI平扫+增强:脑内少许腔梗灶; 2019-12-2骨ECT:全身骨显像未见明显转移征象; 2019-12-4腹部增强CT:胆囊结石,右肾上腺及胰腺钙化灶,两肾囊肿。 生理学检查 2019-12-13 ECG:窦性心律,T波改变; 2019-12-13心超:左室轻度增大,左室壁偏厚,左房轻度增大,轻度肺动脉高压伴轻度三尖瓣返流,心包积液,脏层心包增厚,左室舒张功能轻度减退。 一线治疗后病理诊断 2019-11-29分子病理(ARMS法):EGFR 19Del(+) ;T790M(+)。 临床诊断 肺腺癌(cT4N0M1a);IVa期;肺、心包转移;PS 1分;EGFR 19Del(+);T790M(+);冠心病;冠脉支架置入术后;高血压病;糖尿病;肾功能不全。 二线治疗 入组D0316(贝福替尼)在EGFR阳性局部晚期或转移性非小细胞肺癌的II期临床试验(IBIO-102项目)。 治疗方案 2019-12-19开始D0316 75mg qd,于2019-12-24至2020-1-15出现头痛、肩背痛1级AE,自行缓解; 2020-1-13开始D0316 100mg qd; 合并用药有针对糖尿病药物西格列汀片 50mg qd;针对高血压药物氨氯地平5mg qd、厄贝沙坦氢氯噻嗪片1片qd、美托洛尔缓释片47.5mg qd;针对冠心病药物西洛他唑 50mg bid;针对睡眠障碍药物氯硝西泮片1mg qn、艾司酉酞普兰片10mg qd、喹硫平片50mg qd。 安全性评估 疗效评估(PR, PFS>32月 ) D0316 治疗6周就达到PR,患者左下肺靶病灶缩小,两肺小结节稳定、部分缩小(2020-1-28);治疗30周仍为PR,且心包积液减少(2020-7-13);治疗30.5月仍为PR,右下叶背段胸膜下结节缓慢进展(2022-6-30)。 2019-11-21 D0316 治疗前基线 2020-1-28 D0316 治疗6周(PR) 2020-7-13 D0316 治疗30周(PR) 2022-6-30 D0316 治疗30.5月(PR) 2022-6-30腹部增强CT:胆囊结石,右肾上腺及胰腺钙化灶,两肾囊肿。 目前D0316(贝福替尼) 100mg qd 治疗中, PS 1分。






Part 3 病例小结
1、该患者因反复咳嗽3年,加重伴呼吸费力4月就诊,初诊为肺腺癌(cT4N0M1a) IVa期,合并有高血压、冠心病、糖尿病。一线治疗前基因检测提示EGFR 19del(+),根据这一检测结果进行了埃克替尼治疗,并在治疗期间获得了PR和PFS达到22个月的治疗反应。
2、在一线治疗后,基因检测提示患者出现EGFR T790M(+)突变,这意味着患者对埃克替尼的耐药性已经发展。因此,患者参加了一项临床试验(IBIO-102项目),采用了贝福替尼治疗,最终获得了PR和PFS超过32个月的良好治疗反应。
3、在EGFR阳性的患者中,埃克替尼可以是有效的一线治疗药物。然而,EGFR T790M突变可能会导致耐药性,这时需要寻找其他治疗选择。贝福替尼是一种可以用于治疗EGFR T790M阳性患者的药物,并且在这个病例中表现出良好的疗效。
4、患者接受贝福替尼治疗后,安全性佳,尽管出现了多个治疗相关AE,包括肌酐增高、头痛、肩背痛、乏力、贫血和血小板减少,但这些AE均被评级为1-2级。这意味着这些不良事件的严重程度较轻。目前患者仍为贝福替尼)治疗中,未出现不耐受。
Part 4专家点评
对于EGFR突变的NSCLC患者,三代EGFR-TKI已被广泛用于治疗。然而,由于耐药机制复杂,一些患者可能会出现耐药情况。贝福替尼是一种二线治疗药物,其能够针对EGFR T790M突变的肿瘤细胞,并且在临床试验中表现出较好的疗效,包括较高的ORR和中位PFS。
在安全性数据中,虽然贝福替尼在安全性方面表现出了可控的副作用,但仍然有一些患者可能会出现≥3级的不良反应,包括血小板减少、白细胞减少、皮疹和头痛等。
此外,在EGFR-TKI治疗后出现耐药时,再次组织活检和基因NGS等检测方法可以帮助临床更加准确地了解肿瘤的耐药机制,进而选择更为精准的治疗方案。但是,尽管有这些检测手段,后线治疗仍然具有挑战性,因为耐药机制的复杂性使得治疗选择变得更为困难。因此,需要更多的研究来寻找治疗耐药的新方法,以改善EGFR突变的NSCLC患者的治疗效果和生存率。


























