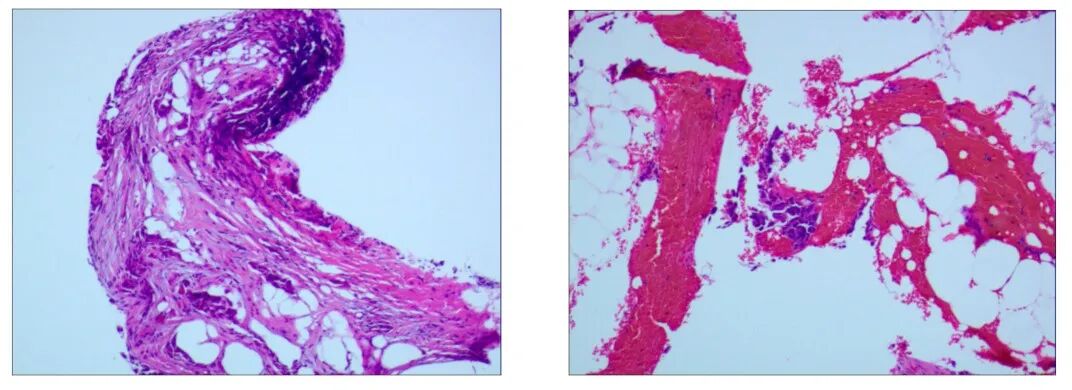
近年来,各种间变性淋巴瘤激酶(ALK)抑制剂层出不穷,ALK阳性晚期非小细胞肺癌(NSCLC)的治疗领域呈现百花齐放的格局,如何优化治疗策略成为临床热点问题之一。为拓宽ALK阳性NSCLC的治疗视角,中国医学论坛报联合齐鲁制药开展“实例呈现——最佳临床ALK阳性NSCLC病例分享”专栏,以期为广大临床医生提供实用的专业经验及诊疗参考。 2023年6月28日,国家药品监督管理局批准伊鲁阿克片(商品名:启欣可®)上市,为ALK阳性的非小细胞肺癌患者提供了新的治疗选择。 第二期特约安徽省肿瘤医院田田医生分享病例《一例ALK阳性NSCLC患者经克唑替尼治疗失败后接受伊鲁阿克治疗长达33.7个月》,特邀安徽省肿瘤医院张志红教授担任点评嘉宾。现将病例及点评内容整理如下,供大家分享、交流。 1. 该患者为41岁男性,ECOG:0分;2017年10月27日首次确诊为肺腺癌,伴淋巴结转移、胸膜转移、胸腔积液、心包积液; 2. 2017年11月开始克唑替尼治疗,2019年11月疗效评价达PD标准,提示克唑替尼耐药,2019年11月14日予以血管内皮抑制素联合卡铂治疗1个疗程,2019年12月26日结束克唑替尼治疗,克唑替尼治疗总时长为25个月; 一般资料:患者男性,汉族,41岁。身高:170cm,体重:75kg,ECOG:0分。 诊断:2017年10月27 日首次确诊为肺腺癌,伴淋巴结转移、胸膜转移、胸腔积液、心包积液。 图1-1 患者治疗经过 第一阶段:克唑替尼治疗 治疗方案:2017年11月开始给予克唑替尼治疗。2019年11月14日,给予血管内皮抑制素联合卡铂治疗1个疗程。 疗效评价及辅助检查:克唑替尼治疗2年后(2019年11月11日),患者胸膜病灶增大、胸腔渗出液增多,疗效评价达到疾病进展(PD)标准,提示克唑替尼耐药。 2019年12月9日病理诊断结果(图2-1):(左侧胸膜)纤维脂肪组织内见少许异型细胞,组织甚少,结合免疫组化标记结果,符合腺癌。 2019年12月16日FISH检测纤支镜活检组织样本结果为ALK 阳性(图2-2)。 2019年12月26日结束克唑替尼治疗,最佳总缓解为疾病稳定(SD),克唑替尼治疗总时长为25个月。 图2-1 克唑替尼耐药后的组织病理检查结果 图2-2 克唑替尼耐药后的分子病理检查结果 第二阶段:伊鲁阿克治疗 治疗方案:2020年1月3日,患者接受伊鲁阿克60mg QD治疗7天,第8天起顺利上调剂量至180mg QD,此后维持该剂量。 疗效评价及辅助检查:2022年10月24日,2组淋巴结(气管旁)增大、心包积液增多,提示影像学进展(图3-1至图3-5)。2022年10月24日终止伊鲁阿克治疗。用药后第6周首次评价为部分缓解(PR),且持续至用药后第135周,最佳总缓解为PR。 图3-1 伊鲁阿克治疗期间胸部CT 图3-2 伊鲁阿克治疗期间胸部CT 图3-3 伊鲁阿克治疗期间淋巴结影像学 图3-4 伊鲁阿克治疗期间淋巴结影像学 安全性:接受伊鲁阿克治疗期间耐受性良好,大多数不良事件(AE)为1级(图3-5),无SAE发生,且未导致患者剂量暂停、药物减量和终止治疗。 图3-5 患者服用伊鲁阿克期间的不良事件 我们医院作为伊鲁阿克临床研究的医学中心之一,积累了丰富的应用伊鲁阿克的经验,对伊鲁阿克的疗效和安全性有很多体会。该患者一线接受克唑替尼治疗2年余,在出现耐药后入组了伊鲁阿克II期临床研究,再次获得了33.7个月的无进展生存。 伊鲁阿克能够帮助一线ALK抑制剂耐药的患者再次获益的原因主要有两个: 第一,关键结构的优化助力提高抑制能力。伊鲁阿克作为一款新型国产药物,优化4 个关键结构以提高其对ALK/ROS1激酶的抑制能力和选择性(图4-1)[1、2]。稳态的平均血药浓度水平下,伊鲁阿克对包括 G1202R 突变在内的绝大部分ALK-TKI耐药的突变均具有强效的抑制活性[3、4]。 图4-1 伊鲁阿克化学结构 第二,良好的安全性助力临床应用无忧。hERG钾离子通道由人类果蝇相关基因编码,对hERG通道的抑制可能会致使心脏的QT间期延长。胰岛素受体(INSR)是一种细胞表面异四聚糖蛋白,属于受体酪氨酸激酶超家族。胰岛素通过与INSR结合发挥其生物学效应,INSR的抑制可能会导致高血糖。而伊鲁阿克对钾离子通道hERG和胰岛素受体INSR的抑制活性弱于其他 ALK 抑制剂,心脏毒性和高血糖发生的风险较低。在临床使用的过程中,总体安全性良好。 此外,单臂、开放、多中心的II期INTELLECT研究显示出伊鲁阿克具有更深缓解、更长生存和强入脑的特性:在克唑替尼耐药人群中,伊鲁阿克二线治疗后独立评审委员会(IRC)评估的中位无进展生存期(mPFS)长达19.8个月,结果令人惊喜。此外,IRC评估的客观缓解率(ORR)为69.9%,疾病控制率(DCR)为96.6%,中位缓解持续时间(mDOR)为14.4个月[5]。值得特别关注的是,研究还显示在基线具有可测量脑转移灶的患者中,颅内缓解率为64%,颅内CR率为7%;在基线具有脑转移灶且经过脑部放疗的患者中,全身缓解率为45%,未经脑部放疗患者为69%[5],体现了伊鲁阿克对脑转移具有良好的缓解能力。另外,在安全性上,治疗相关不良事件(TRAE)的发生率为93.2%,其中3/4级TRAE的发生率为30.8%。常见TRAE包括AST升高(43.2%)、ALT升高(37.0%)、血肌酸磷酸激酶升高(34.9%)、高胆固醇血症(33.6%)、高甘油三酯血症(26.7%)和高血压(17.8%)等。有14.4%的患者发生导致研究药物暂停给药的TRAE,11.0%的患者发生导致研究药物剂量减少的TRAE。 该病例也引发了我们对于一线ALK-TKI耐药后的治疗策略的思考。目前临床常用的解决耐药的方法包括换用强针对性的新型ALK-TKI、线数前移、联合治疗、替代治疗等[6]。该病例中患者一线耐药后选择新一代ALK-TKI伊鲁阿克治疗,正是基于伊鲁阿克能够针对性的帮助患者克服克唑替尼耐药的情况。我们知道,目前伊鲁阿克用于ALK阳性NSCLC一线的随机对照试验也在开展当中,期待伊鲁阿克能取得令人满意的成绩,实现线数前移,在一线治疗中发光发热。当然,联合时机及联合方案的选择、风险与收益的平衡等方面也需要临床医生多加考量。期待今后会有更多新方案出现,为ALK阳性NSCLC患者提供更多的、更加坚实可靠的治疗选择。









-
医学博士,主任医师,副教授,硕士生导师
-
中国科学技术大学附属第一医院西区(安徽省肿瘤医院)呼吸肿瘤科主任
-
安徽省老年医学学会肺癌专业委员会 主任委员
-
安徽省预防医学会肺癌预防与控制专业委员会 副主任委员
-
中国医药教育协会肿瘤转移专业委员会 常委
-
安徽省医学会呼吸病学分会 委员
-
安徽省医师协会呼吸病学医师分会 委员
-
安徽省卫生厅青年领军人才
-
安徽省学术技术带头人后备人选
-
2015-2018美国Tennessee 大学医学中心博士后
-
2011年德国Ruhrlandklinik进修肺癌的介入治疗和间质性肺疾病
-
呼吸肿瘤科 主治医师 医学硕士
-
擅长肺癌的规范化诊疗
-
以第一作者在CDD(IF:7.12)等杂志发表SCI论文数篇
-
参与国内外多项肺癌临床研究
-
主持院青年基金一项及院三新项目一项
-
多次获得安徽省病例演讲比赛一等奖
参考文献:
[1] Huang WS, et al. J Med Chem. 2016 May 26;59(10):4948-64.
[2] Liu X, et al. Bioorg Med Chem Lett. 2022 Jun 15;66:128730.
[3] Gainor JF, et al. Cancer Discov. 2016 Oct;6(10):1118-1133.
[4] Shi Y, Fang J, Hao X, et al. Signal Transduct Target Ther. 2022;7(1):25.
[5] Shi, Y., Chen, J., Zhang, H. et al. BMC Med 21, 72 (2023).
[6] Schneider, J.L., Lin, J.J. ,Shaw, A.T.Nat Cancer 4, 330–343 (2023).


























