乳腺癌药
肺癌药
肝癌药
卵巢癌药
前列腺癌药
胆囊癌药
胃癌药
甲状腺癌药
胰腺癌药
膀胱癌药
食管癌药
宫颈癌药
结直肠癌药
淋巴瘤药
肾癌药
子宫内膜癌药

更多

免疫治疗
靶向药
内分泌药
中药
细胞治疗

首页 > 癌症药物 > 靶向药物 > 尼妥珠单抗 > 最新研究

尼妥珠单抗治疗多线治疗后进展的脑胶质瘤的病例

来源:欣生时间 2023-02-01 22:25:04

图片
 

cmP帝国网站管理系统
病情介绍

柳某,女,52岁,山东济南人诊为“左侧额顶叶胶质母细胞瘤”。cmP帝国网站管理系统

cmP帝国网站管理系统
基本信息
 
现病史:患者2018年1月因“癫痫发作伴失语症7月”就诊于山东省立医院,颅脑MRI检查示“左侧额叶一不规则形稍长T1,稍长T2异常信号影,T2FLAIR呈高信号,DWI呈低信号,增强扫描病变可见轻度不规则强化,病灶边界模糊,大小3.2cm×2.1cm×2.5cm,MRS显示NAA显著降低,Cho显著增高,提示:符合低级别胶质瘤MRI表现”。
 
于2018-1-22在该院行“颅内占位探查切除术”,术后病理示:“左侧额叶星形细胞瘤,WHO 2级,免疫组化:GFAP+,OLig-2+,CD34+,ATRX少许+,IDH1-,Ki-67 +5%”。术后患者未行辅助放化疗。
 
2020年8月,患者出现右侧肢体活动障碍,并逐渐加重,9月6日患者行颅脑MR检查示“左额开颅术后,左额叶强化团块,复发?”。
 
患者遂于2020-9-16就诊于首都医科大学附属北京天坛医院,9-17全麻下行“左额顶原切口扩大开颅肿瘤切除术+人工硬脑膜补片修复术”。术病理示:“胶质母细胞瘤,WHO 4级,免疫组化:GFAP+,OLig-2+,Ki-67 +30-50%,IDH-,P53/ target=_blank class=infotextkey>P53+,ATRX+”。北京泛生子基因检测显示:“MGMT启动子无甲基化,1p/19q完整,IDH1和IDH2野生型,TERT C228T突变,C250T无突变,BRAF V600E无突变”。
 
既往史:“高血压”病史。
 
治疗过程:2020-10-06初次就诊我院,颅脑MRI检查:“左额顶胶质瘤术后,术区结构紊乱,术区见长径约5.8cm肿块,周围见少量水肿影,内部大部分被短T1长T2液性信号填充,散在分布片絮影,DWI呈高信号,增强扫描肿块边缘强化;左侧脑室受压变窄,中线略向右移位。MRS示Cho、Cr及NAA峰低平。结合病史,胶质瘤术后改变,术区环形强化灶,建议观察”。
 
超声检查:左侧小腿部分深静脉栓子形成,给予低分子肝素钠5000iu治疗。患者乙肝病毒感染,报传染病,并给予恩替卡韦0.5g qd。患者无治疗禁忌,行术后辅助放化疗,IMRT计划,给予术后辅助放疗30次,DT 60Gy,同步替莫唑胺120mg qd化疗。治疗过程中给予甘露醇、七叶皂苷钠治疗。患者治疗过程顺利,无明显不良反应。
 
2021-01-20至2021-09-17患者多次入院,行8个周期的替莫唑胺300 mgd1-5,q28d辅助化疗。化疗期间给予营养神经、抗乙肝病毒等治疗。
 
2021-09-24患者就诊我院,颅脑MR检查提示:“左额顶胶质瘤术后,术区结构紊乱,呈长T1长T2信号改变,压水序列为高信号,DWI序列为低信号,术区内侧可见斑片状略长T1略长T2影,DWI序列未见明确扩散受限,增强扫描呈“岛屿状”强化,周围可见大片状水肿带,水肿带达中线部位、脑干及右侧侧脑室内侧,中线结构略向右偏移”。检查印象:结合病史,胶质瘤术后改变,术区边缘“岛屿状”强化伴周围大片状水肿带,考虑复发可能性大。继续给予替莫唑胺300mg d1-5,q28d化疗联合贝伐珠单抗200mg q2w靶向治疗
 
2021-12-14至2022-2-14给予替莫唑胺300mg d1-5,q28d口服化疗联合贝伐珠单抗200mg q2w靶向治疗,病情好转并持续稳定。 
 
2022-03-02复查颅脑MR:“结合病史,胶质瘤术后改变,术区边缘异常信号,范围较前2021-12-31略增大,周围水肿范围略增大,伴有弥散受限。考虑病情较前再次进展”。于2022-03-02给予口服安罗替尼10mg d1-14,q21d为一周期。患者口服安罗替尼后出现重度骨髓抑制,粒细胞缺乏,血小板缺乏,给予最佳支持治疗好转。
 
体格检查:患者意识障碍,轻微嗜睡状态,混合性失语症,右侧上肢肌力1级,右下肢肌力3级;左侧上、下肢体肌力V级,肌张力大致正常,双侧Babinski征未引出,脑膜刺激征未引出。
 
辅助检查:血常规、肝肾功、血凝等大致正常,乙肝DNA恢复正常。
 
 

疾病诊断

 
1. 脑恶性肿瘤(左侧额顶叶多形性胶质母细胞瘤二次术后、放化疗后多次进展,WHO 4级,IDH野生型)
 
2.高血压病2级(高危)
 
3.慢性乙型病毒性肝炎
 
4.静脉血栓形成
 

治疗策略

 
患者经济原因未能行TTF治疗。基因检测未见潜在靶向获益药物。患者一般情况稍差,KPS50分,不能耐受强烈方案化疗,治疗以替莫唑胺剂量密集方案联合EGFR单克隆抗体治疗。
 

治疗过程

 
科内小组讨论,于2022年4月开始至2022-11-1患者多次入院继续给予替莫唑胺200mg d1-7, 14-21,q28d剂量密集方案化疗联合尼妥珠单抗200mg qw靶向治疗。2022-09-12 患者复查颅脑MR:术区及周围异常信号,较前片中线结构右侧病灶范围缩小,左侧局部范围略缩小。
 
疗效评价:SD,无不良反应。
 
随访:至2022年11月1日入院就诊,病情持续稳定。
 
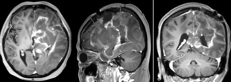
图片
 
图注:左侧额顶叶胶质瘤术后,术区及周围示不规则团片状稍长、稍短T1长、等及稍长、稍短T2信号改变,增强扫描呈局部片絮状强化、局部边缘不规则强化、局部强化不著,病变跨中线部位、下达脑干、左侧小脑中脚,左侧脑室受压略变窄,中线结构稍右移。上述表现较前有好转。
 

点评

 
胶质母细胞瘤是成人常见的恶性脑肿瘤。手术切除术后放疗联合替莫唑胺同步和辅助化疗是新诊断GBM患者的标准治疗。其中位无进展生存时间(PFS)仅为7个月;中位总生存时间14.6个月,5年生存率9.8%。对于复发转移胶质母细胞瘤,根据肿瘤发病部位,病灶个数,患者一般情况等综合分析,可以考虑再次手术,或再程放化疗,贝伐珠单抗靶向治疗等,目前尚无标准的治疗方案。
 
《 Journal of Clinical Oncology 》的一项研究评估了靶向药贝伐珠单抗联合再放疗治疗复发性胶质母细胞瘤的效果。结果显示,与单独采用贝伐珠单抗相比,贝伐珠单抗联合再放疗可显著改善改善复发性胶质母细胞瘤患者的无进展生存期PFS 3.8 vs. 7.1个月)。肿瘤电场治疗-TTFields目前已纳入美国NCCN指南及中国胶质母细胞瘤治疗指南,能够延长部分复发胶质母细胞瘤患者生存期的新的治疗手段),但是价格昂贵。
 
尼妥珠单抗是我国第一个人源化的单克隆抗体,能够竞争性结合EGFR,阻断其传导通路,从而抑制肿瘤细胞增殖,抑制肿瘤新生血管生成,并且能够增强放化疗疗效。基于一些II期临床试验,尼妥珠单抗在高级别胶质瘤治疗上显示了一定优势,但缺乏随机对照研究。