乳腺癌药
肺癌药
肝癌药
卵巢癌药
前列腺癌药
胆囊癌药
胃癌药
甲状腺癌药
胰腺癌药
膀胱癌药
食管癌药
宫颈癌药
结直肠癌药
淋巴瘤药
肾癌药
子宫内膜癌药

更多

免疫治疗
靶向药
内分泌药
中药
细胞治疗

首页 > 癌症药物 > 靶向药物 > 尼妥珠单抗 > 最新研究

尼妥珠单抗治疗老年食管鳞癌

来源:欣生时间 2023-02-03 11:24:39

图片
 
基本信息:患者李某某,男,80岁,湖北襄阳人,主因“发现颈部包块半月”于2020年1月入院
 
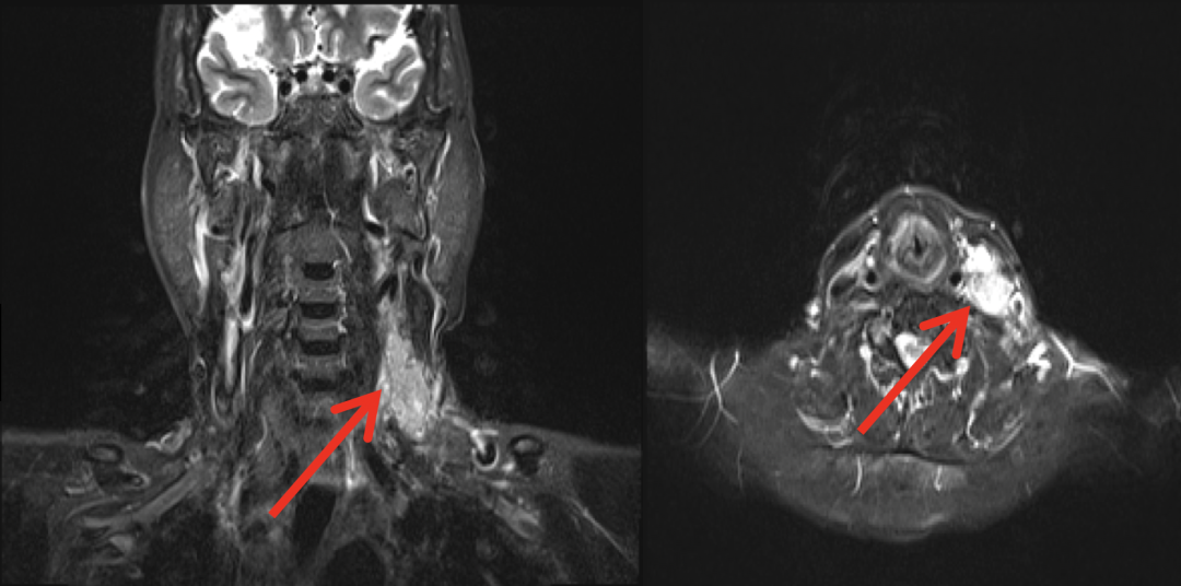
现病史:患者半月前无意间发现“颈部包块”,我院2019.12.24门诊彩超示“颈部血管血栓形成”。外科给予口服溶栓药。2019.12.26门诊颈部MRI示“左侧颈鞘间隙多发肿大淋巴结”。
 
为求进一步治疗就诊于襄阳市中心医院微创肿瘤科,于2020.1.7行“左颈部包块穿刺术”。涂片示:转移性鳞癌。2020.1.14穿刺病理示:符合转移性鳞状细胞癌。免疫组化示:P40 (+), P63 (+), CK5 (+), CK7 (-), CDX-2 (-), Villin (少许+), SATB-2 (-), Ki-67 (Li:70%)
 
发病以来,神志清,精神可,饮食可,睡眠可,大小便正常,体力体重无明显变化。
 
既往史:2012年因“直肠癌”在我院行手术、放疗、化疗。2018年6月初出现进食梗阻,2018.6.25我院胃镜病检:(胃窦)粘膜慢性炎症,(食道)鳞癌。患者拒绝手术。于2018.7.17-2018.8.24行调强放疗,60GY/30F。后间断复查提示病情稳定。
 
体格检查:T:36.5℃,P:68次/分,R:20次/分,BP:125/85mmHg,KPS 90分,左侧颈部可及一约5cm淋巴结,质硬,无压痛。胸廓对称,胸骨无压痛,胸壁无压痛,双侧呼吸运动对称,触觉语颤正常,双侧叩诊呈清音,双肺呼吸音粗,未闻及干湿性啰音。腹部外形正常,无腹壁静脉曲张,无胃肠型及蠕动波,腹壁柔软,无压痛,无反跳痛,无液波震颤,无振水音,未触及异常包块,肝脾肋下未触及,Murphy氏征阴性,双肾区无叩痛,移动性浊音阴性,肠鸣音正常。
 
 
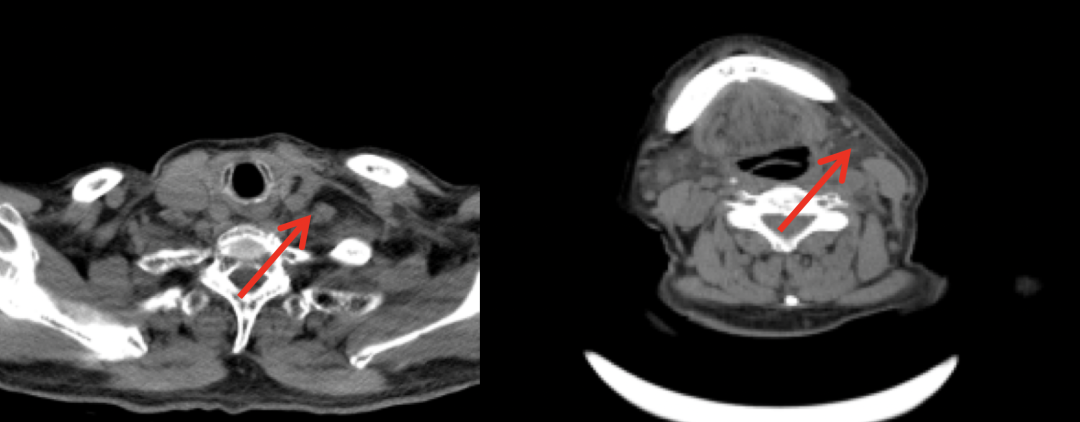
影像检查
图片
 
2020年1月3日影像学示左侧颈部肿块大小约4.5cm
 

疾病诊断

 
1、食道癌(鳞癌 cⅣ期)伴左颈部转移性鳞癌 
食管癌(胸上段 鳞状细胞癌 cTxN0M0→ 左侧颈部淋巴结转移性鳞状细胞癌rTxN1M0)
2、直肠癌综合治疗后
3、冠状动脉粥样硬化性心脏病
4、高血压2级 高危组
 

治疗策略

 
放疗联合靶向
 

治疗过程

 
2020.1.14行靶向治疗,具体:尼妥珠单抗注射液(泰欣生)100mg,iv。过程顺利

2020.1.15患者颈部包块明显较前变软缩小,查体颈部包块约2.5㎝dyz帝国网站管理系统

2020.1.16行靶向治疗,具体:尼妥珠单抗100mg,iv。过程顺利dyz帝国网站管理系统

2020.1.17患者颈部淋巴结较前继续变软缩小,查体颈部包块约1.5㎝dyz帝国网站管理系统

 
偶合不良事件:2020.1.18凌晨1点左右无明显诱因出现胸痛,持续不缓解。于当日10时心电图:窦性心律 ⅡⅢ AVF导联ST段明显抬高。立即收住心内科,告病危。对症处理后当天胸痛即完全缓解。诊断:冠状动脉粥样硬化性心脏病 急性下壁ST段抬高型心肌梗死 心功能Ⅱ级
 
后会诊发现与“尼妥珠单抗”用药无关,与患者“冠心病”有直接关系,系用药期间的偶合事件。
 
因疫情原因,后续治疗中断
 
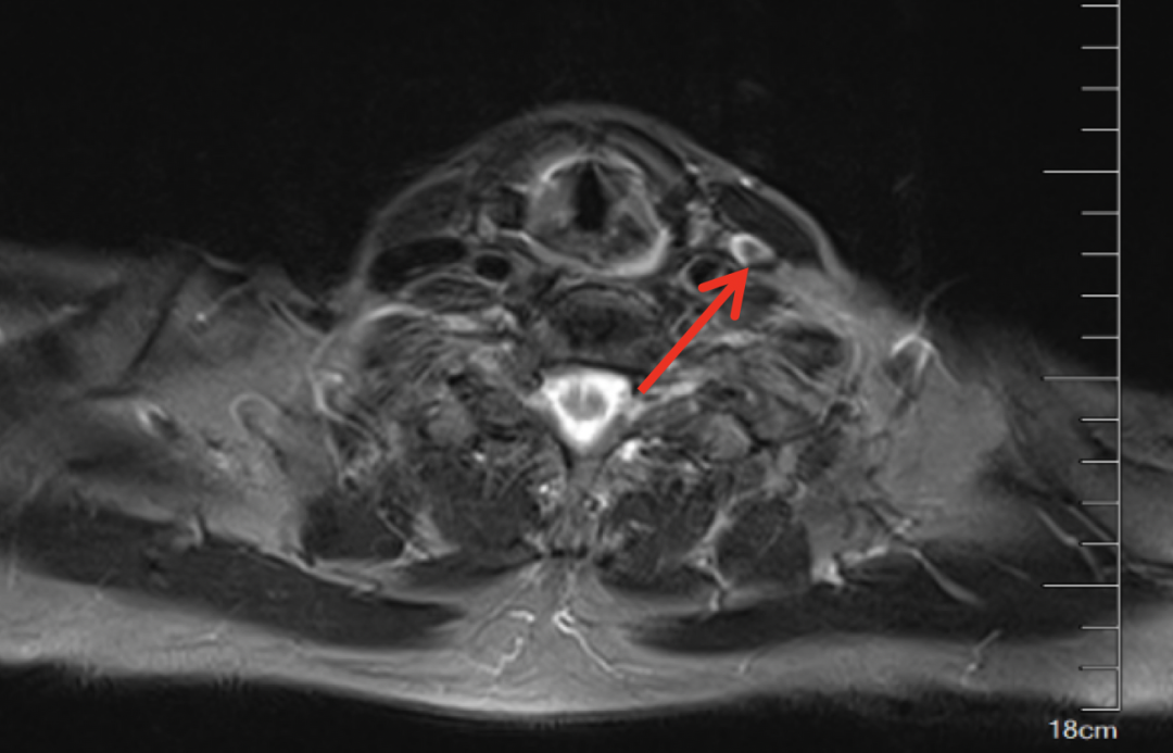
2020-3-2,影像学食管对比:食道胸上、中段肿瘤性病变(多考虑食道癌),病灶较前缩小。
 
图片
2020年3月2日示左侧颈部肿块大小约1.5cm
疗效评价PR
于2020.3.9-2020.4.16行颈部包块处调强放疗54GY/27F。同步于2020.3.2-2020.4.22 期间共予以6次尼妥珠单抗(200mg,iv,qw )靶向治疗。
 
放射治疗联合靶向治疗治疗转移性食管癌---疗效评价:PR
图片
2020年5月CT示左侧颈部肿块大小约1.0cm
疗效评价PR
后患者间断复查,提示病情稳定。
 

经验总结

 
食管癌的主要治疗手段为手术、放疗、化疗等,随着放疗设备技术的发展,放疗在食管癌的治疗中扮演着越来越重要的的地位,特别是高龄患者,因无法耐受手术,建议行根治性同步放化疗,若无法耐受化疗患者,建议放疗期间联合靶向治疗,可提高局部控制率,降低复发、转移风险。
 
EGFR信号通路是促进肿瘤细胞增殖的重要通路之一。食管癌组织中EGFR 的表达率为50%-80%,研究表明尼妥珠单抗可阻断EGFR与其配体结合,并对EGFR过度表达肿瘤具有抗血管生存、抗细胞增殖和促凋亡作用。目前已被写入国内外12项指南,适应症包括鼻咽癌、食管癌、胰腺癌和头颈部鳞癌等。在我国,目前的适应症尚只有鼻咽癌
 
本例患者,因高龄拒绝手术与化疗,在我科行放疗联合“尼妥珠单抗”靶向治疗,取得较好的疗效。过程总体顺利,不良反应小,无明显骨髓抑制、胃肠道反应及肝肾功能损伤,放射性黏膜炎反应无明显加重,患者耐受良好,临床症状得到明显缓解,疗效确切,但仍需大样本临床研究进一步证明此结果!
 
 

点评

该例食管癌患者系老年男性,临床分期达cⅣ期,左颈部包块穿刺符合转移性鳞状细胞癌。患者整体评分PS 0-1,标准治疗2020版CSCO指南推荐根治性同步放化疗(1A类证据)。但考虑到患者年龄偏大,家属也拒绝化疗,可以单纯行根治性放疗(Ⅱ级推荐)。尼妥珠单抗是人源化程度较高的EGFR靶点治疗药物,副反应轻,安全性好。基于以往尼妥珠单抗在食管癌方面的临床研究结果,我们认为在不增加患者治疗风险的前提下,根治性放疗+尼妥珠单抗可能会获益。对于此患者而言治疗顺利,效果满意。当然目前还没有太多单纯放疗+尼妥珠单抗的大病例数的临床研究,我们也希望在这方面做一些工作。