基本信息:患者某某,性别:男,年龄:72岁,2020-10鼻咽癌放化疗后2年,发现肝转移10天,2020-10-23入院。
现病史:2018-9-10中山大学肿瘤防治中心确诊鼻咽未分化型非角化性癌T4N1M0IVA期,EGFR(+),行IMRT及7程泰欣生靶向治疗,过程顺利。放疗结束后予希罗达口服辅助化疗1疗程(具体剂量不详)后出现III级腹泻,中大附一住院治疗腹泻好转,期间发现合并肺栓塞。广州医科大学附属第一医院治疗肺栓塞,好转出院。未行后续辅助化疗。
2020-10-13PET/CT:
1、鼻咽癌治疗后,鼻咽双侧壁黏膜略增厚,代谢轻度增高,考虑为炎症。
2、枕骨斜坡及蝶骨体骨质密度改变伴代谢增高,考虑为放疗后改变可能性大,建议定期复查。
3、双侧颈部未见高代谢淋巴结转移影像改变。
4、肝S2团块状高代谢病灶,考虑为肝转移瘤。
5、慢支、肺气肿;双肺支气管扩张伴感染,双肺散在纤维增殖灶。
6、右侧额叶脑梗塞灶;脑白质变性,脑萎缩,双侧筛窦、上颌窦及蝶窦炎症;双侧结节性甲状腺肿;双肺尖胸膜钙化;主动脉及冠状动脉钙化;胆囊多发结石;右肾囊肿;前列腺增生伴钙化;脊柱退行性变。
体格检查:生命体征:体温:36.5℃,脉搏:80次/分,呼吸:20次/分,血压:140/98mmHg,身高168cm,体重53kg。
一般情况:发育正常,营养良好,体型为均称型。神志清楚,精神状态良好。自动体位。面色红润,表情自如,步态稳健,对答切题,查体合作。
专科检查: 鼻咽未见明显肿物,颅神经征(-),心、肺查体无特殊。腹部平坦,腹软,无压痛、反跳痛,肝肋下未及,移动性浊音阴性。
影像学检查:鼻咽部双侧壁粘膜稍增厚,未见明确异常结节及肿块征象。鞍底、双侧蝶窦壁、斜坡、双侧枕骨髁及岩尖骨质破坏,考虑放射性骨损伤可能。

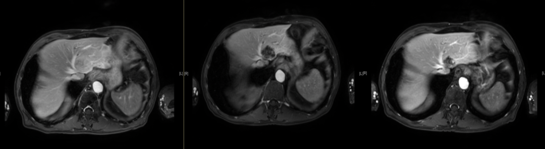
2020-10-28上腹部MRI:肝S2段转移瘤

肝S2段内见一长T2 长T1信号,边界清,约42mm*31mm,增强后呈环形强化,弥散受限。考虑转移瘤。
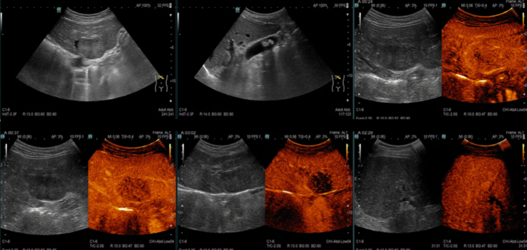
2020-10-26上腹部彩超+声学造影:肝左外叶实性结节,结合超声造影考虑Malignant(拟转移性病灶,CEUS LR- M 类)。

肝切面形态正常,肝内回声均匀,在肝左外叶可见1个肿块图像,大小约42*31mm,形态呈椭圆形,内部为低回声,内部回声分布均匀。CDFI:病灶内未见明显血流信号。超声造影:浅静脉团注1.2mL声诺维后动态观察并存储录像,肝左外叶病灶动脉期不均质稍低增强,门脉期早期、轻度廓清,延迟期病灶明显廓清,呈均匀低增强,似黑洞征。延迟期余肝扫查未见异常廓清病灶。
血液学:未见明显异常。
疾病诊断
1、肝转移瘤;
2、鼻咽未分化型非角化性癌放化疗后(T4N1M0IVA期);
3、高血压病
4、慢性阻塞性肺病
治疗策略
全身治疗:双靶向治疗(安罗替尼+尼妥珠单抗)
双靶向治疗(安罗替尼+尼妥珠单抗)4周期拟缩小肝转移灶后行转移灶治疗
治疗过程
第一阶段治疗:靶向治疗
治疗方案:安罗替尼+尼妥珠单抗靶向治疗
时间:2020.10.28-2020.12.14
安罗替尼12mg qd+尼妥珠单抗400mg q3w
不良反应:轻度粘膜反应
临床疗效:(化疗1程)复查MRI肝肿物缩小 PR
诱导化疗后疗效评估:

首诊10.28(图左)42mm*31mm;一程治疗后11.18(图中) 35mm*27mm*36mm;两个程治疗后12.12(图右):27mm*25mm*21mm
2程治疗后疗效评价:

肝左外叶实性结节,大小约30*20mm,形态呈椭圆形,内部为低回声,内部回声分布均匀。CDFI:病灶内未见明显血流信号。结合超声造影考虑Malignant(拟转移性病灶治疗后改变,病灶较化疗前检查明显缩小,超声造影显示病灶内大部分无活性,CEUS LR- Treated)。
第二阶段治疗:靶向治疗+肝肿物SBRT放疗
治疗方案:2020-12-14、2021-1-7予第3、4程安罗替尼+尼妥珠单抗
安罗替尼12mg qd+尼妥珠单抗400mg q3w
射波刀,5次
放射治疗及靶向治疗---疗效评价:


首诊10.28(左):42mm*31mm;四治疗后3.10(右):20.8mm*12.9mm明显缩小
放疗结束MR报告:2021-1-9PET-MR示“鼻咽部黏膜增厚伴糖代谢增高,考虑肿瘤治疗后部分活性残留,枕骨斜坡、蝶骨体及梨骨后缘骨质破坏合并糖代谢增高,考虑肿瘤活性残留;双侧颈部未见高代谢淋巴转移影像改变;肝左叶S2结节伴糖代谢局灶性增高,考虑转移瘤”。
鼻咽部肿物活检,疑恶性肿瘤,予加做免疫组化,结果示炎症性改变、原位杂交示EBER个别淋巴细胞+。
予行肝转移灶射波刀治疗。
疗效评估:接近CR
相关副反应:未观察到严重不良反应
经验总结
本病例是一例老年放疗后复发肝转移的鼻咽癌患者,伴有严重COPD的基础病史,放疗后口服卡陪他滨出现III级腹泻,提示患者对化疗不耐受。通过尼妥珠单抗(泰欣生)联合抗血生成靶向治疗(安罗替尼)后,患者肝转移灶明显消退,疗效评估PR。后行局部寡转移放疗,尼妥珠单抗(泰欣生)+安罗维持治疗,病灶进一步消退,疗效接近CR。患者治疗过程顺利,期间未出现明显不良反应,提示治疗耐受良好。因此目前精准医学时代,对于无法耐受化疗的晚期转移鼻咽癌患者,靶向治疗是很好的替代选择。
点评
该病例是应用精准医学很成功的例子。精准医学时代下,对于无法耐受化疗的晚期鼻咽癌肝转移患者,靶向治疗代替化疗取得了很好疗效(OS>1年)同时生活质量高。所以,我们放疗人应遵循指南,充分应用各种精准医学手段结合放化疗,争取最好疗效,最少副作用。
















