本期讲者介绍

复发转移宫颈癌的治疗现状
研究发现,多种临床因素影响宫颈癌的复发和预后,而靶向治疗中针对宫颈癌不同靶点的治疗药物也层出不穷。在过去的10年间,除了贝伐单抗联合化疗可提高宫颈癌患者的生存时间外,大部分靶向药物仍处于I期或II期临床试验阶段。目前的研究认为针对EGFR的信号传导通路与肿瘤的增殖、转移及放化疗敏感性密切相关,而85%的宫颈鳞癌病例存在EGFR的高表达,为EGFR抑制剂治疗宫颈癌提供了理论依据。尼妥珠单抗作为我国第一个人源化的单克隆抗体,能够竞争性结合EGFR,阻断其传导通路,从而抑制肿瘤细胞增殖,抑制肿瘤新生血管生成,从而增强放化疗疗效。
在实际临床工作中,我科有一部分宫颈鳞癌同步放化疗后出现局部复发的患者再程放疗和/或化疗联合尼妥珠单抗治疗,获得了有意义的结果。现就其中一例和大家共同分享。
一、病情介绍

第一阶段治疗
放疗:盆腔IMRT DT50.4Gy/28f,后装A点剂量DT24Gy/4f
化疗:顺铂25mg/m2 d1-3+5-Fu 0.5g/m2 d1-5



妇科检查:阴道左侧壁增厚,结节不平
病理活检:(阴道)中分化鳞癌
临床诊断:宫颈鳞癌IIB期放化疗后,阴道转移癌
后装放射治疗:筒状施源器,源长3cm,黏膜下1cm剂量 DT20Gy/4f

同步及续贯化疗(共6周期):紫杉醇脂质体135mg/m2 d1+顺铂 25mg/m2 d1-3
阴道肿瘤局部药物注射(腺病毒P53/ target=_blank class=infotextkey>P53) 每次1-2支,每周一次,共18周期
疗效: PR(带瘤生存状态,病情“稳定”2年2月)
第三阶段治疗
2018年9月阴道肿瘤又增大。
再次治疗:局部P53类药物注射,1次/周,共5次
疗效:药物注射区肿瘤缩小,但因药物供应不足,停止局部注射。
之后,2018年12月出现肛门坠痛,便条变细,排便困难
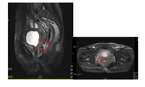
盆腔MRI提示:阴道肿瘤侵犯直肠
根据RTOG0417报告:联合贝伐珠单抗的同期放化疗有较高的3年局控率及生存率。但因本患者直肠受侵犯明显,应用贝伐珠单抗后发生阴道直肠瘘的风险较高,所以签署知情同意书,选择了尼妥珠单抗。
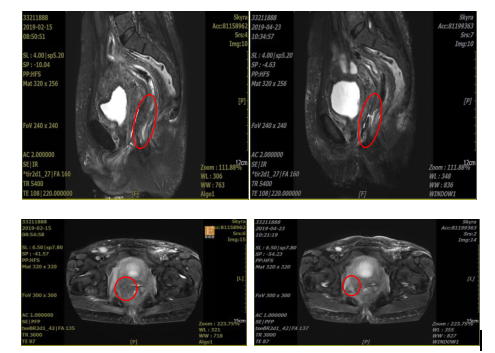
2019-2-16 化疗+靶向药物治疗:
白蛋白结合型紫杉醇 175mg/m2×2周期(2019.2.16,2019.3.16)
尼妥珠单抗 200mg/次/周×6周期 (2019.2.16~2019.4.3)
疗效:
症状:排便情况改善,会阴疼痛明显减轻。
MRI:病变直径缩小1cm,肿瘤体积减少约50%
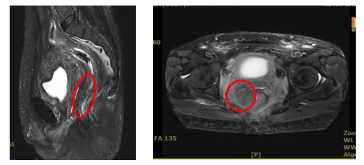
2019-3-19发现阴道有少量粪便排出
查体:阴道肿瘤消退,阴道壁光整部分弹性恢复,右后侧壁局限性深溃疡形成;直肠右前侧壁可触及凹陷。
临床诊断:宫颈鳞癌IIb期放化疗后
阴道转移癌治疗后
直肠阴道瘘

直肠阴道瘘
三、经验与总结
点评
局晚期宫颈癌以同期放化疗治疗为标准,但仍不能显著降低肿瘤复发转移的概率,因此我们寄希望于靶向药物。本病例中使用的尼妥珠单抗,是在患者后期治疗中,作为挽救性用药使用,但仍然获得较好的疗效,有不少病人也同样得到了欣喜的结果。希望能有更多的实验数据和文献支持,为我们临床应用提供更多的证据。相信随着临床的不断应用和推广,在不久的将来针对EGFR的靶向治疗将成为局部晚期宫颈癌的重要治疗手段之一。
参考文献:
1. Herbst RS, Shin DM.Cancer.2002; 1593-1611.
2. 张谷裕,朱逸慜,刘崇东,曹广明等,局部晚期宫颈癌靶向治疗的现状和未来,中国实用妇科与产科杂志,2018,11:1216-1220
3. Monk B J, Sill M W, Burger R A, et al. Phase II trial of Bevacizumab in the treatment of persistent or recurrent squamous cell carcinoma of the cervix: a gynecologic oncology group study [J]. J Clin Oncol,2009,27(7):1069-1074.
4. Msph LAT, Bray F, Siegel RL, et al.Global cancer statistics, 2012[J].Cancer,2015,65(2):87.

























