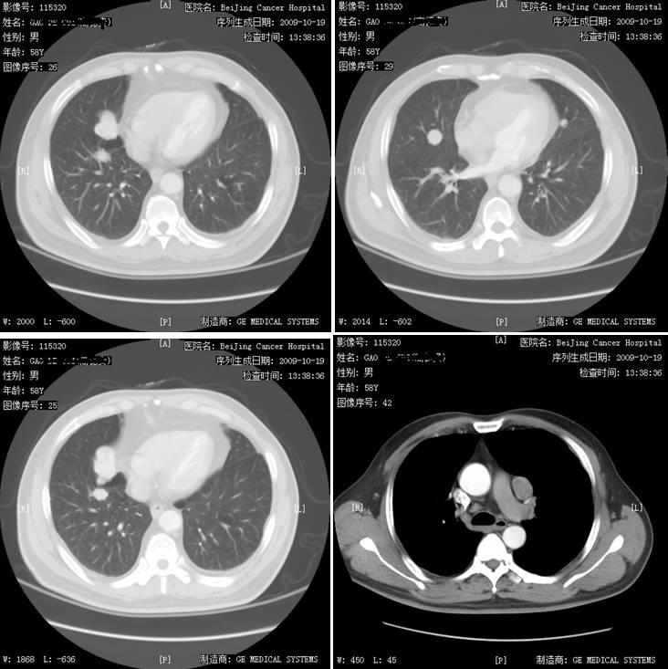
患者于1998年行右肾透明细胞癌术,术后行干扰素治疗1月余,2009年发现双肺多发占位,2009年11月开始口服培唑帕尼800 mg QD治疗。治疗2周期病灶缩小,治疗4周期达疾病稳定(SD),治疗期间出现肝损3度、血压升高、口腔黏膜炎、腹泻1~2度,培唑帕尼减量至600 mg口服治疗,疾病持续稳定。迄今患者术后已累计生存达18年,累计应用培唑帕尼治疗7年,生存状况良好。 姓名:高某 性别:男性 年龄:74岁 患者1998年行右肾透明细胞癌术,术后行干扰素治疗1月余。2009年因憋气/胸闷于石景山医院就诊。2009年10月19日,行胸部增强CT检查发现双肺多发结节,左肺门肿大淋巴结,纵隔小淋巴结,腹部改变,结合病史考虑转移,并建议进一步追查(图1)。2009年10月20日,行腹部CT发现腰3椎体骨转移(图2)。于2009年11月入北京肿瘤医院就诊。既往血糖升高。 图1 2009年10月19日胸部CT检查 双肺纹理走行顺畅,肺内透亮度均匀,双肺见多发大小不等结节,较大约28×23 mm(IMA26),未见肺内结节或斑片影;纵隔4组见小淋巴结,小于10 mm,左肺门见一肿大淋巴结,约26×21 mm(IMA42);锁骨上区及双腋下未见肿大来不及;双侧胸膜稍增厚,未见胸水征象;扫及发现双肺多发占位胸廓诸骨未见明确破坏征象;胃小弯可见一淋巴结,约1 cm(IMA13)。 图2 2009年10月20日腹部CT检查 口服培唑帕尼800mg QD治疗2周期复查病灶有缩小,治疗4周期疗效评价为SD(缩小)。治疗期间患者出现3度肝损伤(最高(ALT221iu/l)、血压升高、口腔黏膜炎、1~2度腹泻。考虑肝损害,予以减量至600mg Qd治疗,未再出现肝转氨酶显著升高,期间出现甲状腺功能减退,甲状腺素替代治疗未诉不适,每3个月复查,疗效评价均为SD。2017年4月21日,体格检查一般情况可,心肺未见异常。肿瘤复查未见增大。 2017年3月复查病灶大致同前,胃小弯淋巴结基本消失,腰3转移消失(图3)。 图3 2017年3月29日复查腹部CT:胃小弯淋巴结基本消失,腰3转移消失 肾透明细胞癌是最常见的肾脏肿瘤,约30%的患者在诊断时已经发生转移。目前晚期肾透明细胞癌的治疗已经是靶向治疗时代,其中主要以酪氨酸激酶抑制剂(TKI)为主,国内先后上市了索拉非尼、舒尼替尼、依维莫司、阿昔替尼、培唑帕尼等,其中,培唑帕尼与舒尼替尼是获得1类循证医学推荐的一线治疗用药,二者在既往的临床Ⅲ期研究中与安慰剂或干扰素相比,均显示了无进展生存(PFS)的获益,并得到了国内外众多指南的一致推荐。对于这两种药物临床如何选择呢?Robert J. Motzer等实施了一项全球多中心临床Ⅲ期随机对照研究,即COMPARZ研究。 该研究自2008年8月至2011年9月在北美、欧洲、澳大利亚和亚洲的14个国家(包括中国)共纳入1110例患者,以1︰1随机分组,分别给予培唑帕尼800 mg/d连续治疗(557例)或舒尼替尼4/2方案(4周50 mg/d,停药2周,553例)。结果显示,培唑帕尼的PFS非劣于舒尼替尼,研究者评审的中位PFS为:10.5个月和10.2个月。两组OS相当,培唑帕尼和舒尼替尼组分别达28.4个月和29.3个月,而培唑帕尼组的肿瘤应答率显著更高。与培唑帕尼组相比,舒尼替尼组患者有更高的疲劳(55%对63%)、手足综合征(29%对50%)和血小板减少症(41%对78%)发生率;而培唑帕尼组患者的丙氨酸氨基转移酶(ALT)水平升高率则高于舒尼替尼组(60%对43%)。在治疗前6个月14种健康相关生活质量较基线的比较中,培唑帕尼组有11种有显著优势,尤其是在疲劳或口腔、喉咙、手或足疼痛等方面,给患者带来了更高的生活质量和治疗满意度。该研究最终结果于2013年在《新英格兰医学杂志》发表,从而改写了晚期肾癌的临床治疗实践。 对于晚期肾癌的总体预后,靶向治疗的中位总生存时间为26-30个月左右,通常一线靶向药物治疗时间为1年左右,对于肺转移患者可以延长至2年左右,而该患者进入COMPARZ研究接受培唑帕尼治疗,持续接受培唑帕尼治疗迄今已累计治疗7年余,疗效评估持续维持缩小的SD,肿瘤获得良好的控制,生活质量良好,证实了培唑帕尼在临床实践中的良好疗效。也为肾透明细胞癌患者的临床一线靶向药物选择提供了有力的参考。 盛锡楠教授 副主任医师,副教授,硕士研究生导师,北京大学肿瘤医院肾癌黑色素瘤内科副主任。长期从事肿瘤内科临床和科研工作,擅长肾癌、膀胱癌、前列腺癌等泌尿肿瘤以及黑色素瘤的内科治疗。担任《中国肾癌诊治指南?2015版》执笔人,CSCO青委、CSCO肾癌专家委员会秘书,中国抗癌协会泌尿男生殖肿瘤专业委员会青委,北京抗癌协会泌尿男生殖肿瘤专业委员会委员兼秘书,CGOS分子靶向分委会常委。病例摘要
患者信息


治疗方案
治疗过程

讨论和小结
MCC批号VOR1706315 有效期2018-06-12,过期资料,视同作废
本文由诺华公司资助,本文提供的信息,仅作为中国境内的医疗卫生专业人士以学术/医学为目的的个人使用和参考,请确认您的身份后再行阅读和使用。























