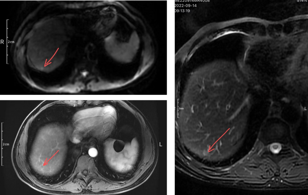
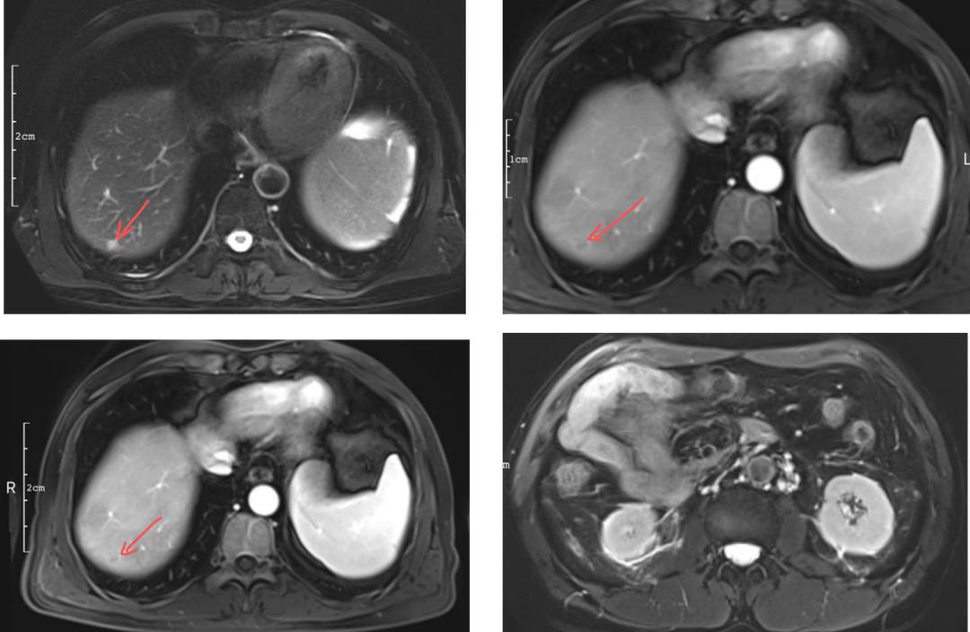
在全球,结直肠癌是发病率位居第三位、病死率位居第二位的肿瘤。肠镜筛查的普及以及手术方式的提升显著降低了结直肠癌的死亡率,但仍有一部分患者在初诊时已发展为晚期,失去手术根治的机会,且预后较差,5年生存率仅12%。许多转移性结直肠癌(mCRC)患者在经历一线治疗后,面临无药可用的困境。近年来,随着靶免联合治疗在系统治疗中逐渐前移,各种靶向治疗药物在mCRC的诊疗中也越发举足轻重。本文分享2例晚期结肠癌患者的诊疗经过,呈现瑞戈非尼在二线治疗为患者带来长生存的治疗价值及其良好的后线应用前景,以期为临床医生提供诊疗借鉴。 病例提供:海军军医大学附属长征医院 王湛 王湛 病例基本情况 一般信息:女 ,58岁。2020年10月,患者无明显诱因出现腹胀,无伴随症状,未予重视。后腹胀进行性加重,2020年11月中旬下腹部隐痛,与进食及体位变化无关,无肩背部放射痛。 辅助检查: 腹部超声:腹腔积液。 腹水脱落细胞病理:腺癌。 腹部增强CT:结肠肝曲癌;腹盆腔积液,腹盆腔腹膜多发转移。 结肠镜(2020-12-4):升结肠近肝曲见隆起型新生物,范围约4cm,新生物表面分叶状,质脆,触之易出血。肠腔狭窄,内镜尚可通过。 2020-12-8病理:横结肠,中分化腺癌,含部分粘液腺癌。 一线治疗2020-12-03至2021-02-24 CAPEOX+贝伐珠单抗 治疗4周期 病情进展,腹胀、腹痛加重,腹水增加。 2021-3-31 PET-CT:腹腔内及腹膜、脾脏、纵隔及右侧心膈角区、左侧锁骨区多发代谢增高灶,结合病史,考虑转移;双肺转移;腹腔及盆腔积液;结肠显示欠清,请结合肠镜检查;双侧胸腔少量积液,左肺下叶部分不张;双肺少许慢性炎症;右肝血管瘤;左肾结石。;子宫术后,痔疮可能;脊柱退变,腰3不稳,腰3/4、4/5、腰5/骶1椎间盘突出。 PFS:3个月 2021-4-6,完善基因检测(腹水标本):KRAS/APC/TERT/TP53/ target=_blank class=infotextkey>P53 突变,TMB 7.98/Mb,MSS 二线治疗,2021-04-02至2021-12 2021-3-31 2021-6-2 2021-8-6肠镜:结肠镜顺利插至回盲部,回盲瓣呈唇状。结直肠粘膜呈桔红色,光滑湿润,有光泽。血管纹理呈树枝状,清晰可见。 PFS:8月 三线治疗,2021-12-13至2022-01-23 三氧化二砷 2021-6-2 2021-11-22 2021-11-22 2022-2-8 PFS:2月 四线治疗,2022-02-10 化疗+免疫+瑞戈非尼+三氧化二砷 2022-2-10开始使用小剂量化疗(雷替曲塞+奥沙利铂+伊立替康)+免疫(信迪利单抗)+瑞戈非尼+三氧化二砷治疗。 疗效评估(2022-9-20):患者病情再次取得缓解。 2022-9-22至今采用维持治疗,降低治疗强度:雷替曲塞 +信迪利单抗+瑞戈非尼+三氧化二砷 2022-9-20 2023-2-8 PFS:13个月+ 该患者为中年女性,诊断为晚期多发转移性结肠癌,基因检测提示KRAS突变,BRAF、NRAS野生型,微卫星稳定,无法进行根治性切除。一线治疗加予CAPEOX联合贝伐珠单抗,治疗4周期后出现病情进展,腹胀、腹痛加重,腹腔积液增加,二线采用瑞戈非尼联合免疫和化疗,患者耐受良好,1周期后腹胀明显缓解,全身状态、PET-CT、肠镜结果较之前明显改善,继续原方案治疗,PFS长达8月。二线治疗进展后完善基因检测,发现TP53 突变,经与患者充分沟通,三线治疗采用三氧化二砷,疗效不佳。四线治疗在三氧化二砷基础上加用瑞戈非尼+免疫+化疗,患者病情再次取得缓解,PFS 超过13个月。近年来,随着精准医学及靶向、免疫治疗的发展,mCRC的管理与治疗策略的制定也变得复杂,合理选择治疗手段、优化全程管理至关重要。本例患者经历了一线化疗联合免疫治疗后疾病出现快速进展,我们个体化地在二线治疗中应用瑞戈非尼联合方案,患者疾病得到控制,PFS 8个月。在四线治疗方案中,再次挑战瑞戈非尼,依然获得较好的疾病控制效果,目前PFS已超过13个月。基于CORRECT和CONCUR研究,瑞戈非尼用于mCRC三线治疗已积累大量临床数据,目前已成为mCRC三线标准治疗方案。此外,REGONIVO、REGOTORI以及RIN方案证实了瑞戈非尼联合免疫治疗MSS型肠癌取得更长的总生存期。一线治疗后疾病进展,能否将瑞戈非尼使用前移,在二线治疗中加用以进一步延长患者生存,以及前线已经暴露过瑞戈非尼,后线再次使用瑞戈非尼是否可行,仍待在临床研究中进一步证实。 02 病例分享二 病例提供:海军军医大学第一附属医院 王薇 王薇 病例基本情况 一般信息:男性,41岁。2020年10月8日,无明显诱因下出现便血,为鲜红色,伴肛门坠胀不适,无排便习惯改变,无腹胀,无消瘦。1997年因“胃溃疡”行胃部幽门切除术;2019年行混合痔手术。 辅助检查: CEA 3.4ng/ml,CA199 3.52u/ml。 当地医院肠镜(2020-11-20):(距肛缘8-10cm)可见粘膜不规则隆起,表面溃烂,易出血。 肠镜活检病理:(直肠)中分化腺癌。 盆腔MRI增强(2020-11-26):直肠中段癌,考虑mrT3N1Mx,MRF-,EMVI-。 肝脏MRI增强(2020-11-27):未见明显异常。 治疗经过 首次手术治疗2020-12-09 腹腔镜辅助直肠癌拖出式适形切除术+末端回肠造口术 术中探查:直肠下段肿物,质硬,未浸润浆膜层,周围系膜未见肿大淋巴结。肿瘤大小约4*4*2cm,占肠腔1/2周,系膜完整。 术后病理: 直肠溃疡型肿瘤大小4.5x3.5x1.5cm;中至低分化腺癌,部分为粘膜腺癌;浸润至外膜层; 癌结节( 3枚+)、脉管癌栓(+)、神经侵犯(+)、肿瘤出芽(+,PDC1级);上下切缘(-)、环周切缘(-)、吻合圈(-);周围淋巴结(2/6),直肠外膜淋巴结(2/4),最高群淋巴结(0/4); 基因分型:KRAS Exon-2 G12D突变,NRAS、BRAF、PIK3野生型;免疫组化:MSH2(+),MSH6(+),MLH1 (+),PMS2(+),pMMR;Ki-67 80%。 术后分期:pT3N2aMx IIIB期 术后辅助治疗(XELOX方案) XELOX方案化疗3周期; 拟行盆腔放疗50gy/25次,2021-03-25起放疗6次 术后复查 肝脏MRI增强(2021-03-27):肝脏多发结节,较前为新发,考虑肝内多发转移瘤 一线治疗,2021-04-22至2021-06-24 mXELIRI+贝伐珠单抗 治疗4周期 患者治疗后出现恶心呕吐,胃纳明显减退,Ⅱ°粒细胞下降,腹泻,脱发,轻度手足皮肤反应,手足冰凉,心悸。患者无法耐受继续治疗 维持治疗,2021-7-15至2021-8-26,卡培他滨+贝伐珠单抗,共计治疗3周期 肝脏MRI增强(2021-5-31、2021-8-24):肝右后叶上段7mm小结节灶,转移不除外,腹膜后稍大淋巴结较前相仿,随访。 2021-3-27与2021-5-31的肝脏MRI增强对比图 2021-8-24 肝脏MRI增强 盆腔MRI增强(2021-8-25):术区及骶前软组织肿胀,左侧条索影,结合CT考虑术区置管术后改变,较2021-06-01片大致相仿。 疗效评估:PR 后患者诉心悸、乏力、胃纳不佳;血压正常;心肌酶正常;心脏彩超LVEF 64%;EKG: 窦性心率,T波低平;尿蛋白(-)。患者对化疗非常抗拒。 二线治疗,2021-09-17至2021-12-15 盆腔MRI增强(2022-9-13):术区及骶前软组织肿胀,左侧条索影,结合CT考虑术区置管术后改变,较前片大致相仿。 胸部CT(2022-9-13): 右肺下小结节,随访。 疗效评估:PR。 2022-12-20肝脏MRI增强:平扫+增强未见明显异常。 2022-12-21盆腔MRI增强:直肠癌术后,盆腔区未见明显复发及转移病灶。 病例总结 该患者为中年男性,诊断为局部晚期直肠癌,原发灶术后分期IIIB期,基因检测KRASExon-2G12D突变、微卫星稳定。术后仅3月余在XELOX方案辅助化疗、盆腔放疗期间出现多发肝转移,疾病进展转移灶不可切除,进而接受XELIRI方案联合贝伐珠单抗二线全身治疗。治疗后肝脏多发转移瘤退缩理想,病灶明显缩小减少。但患者治疗副反应不可耐受,改卡培他滨联合贝伐单抗治疗后持续有效,但仍无法耐受副反应。遂予以瑞戈非尼靶向治疗:120mg日剂量口服,服用三周停用一周至今。患者耐受良好,近期复查未发现明显复发转移病灶。目前二线PFS已达23个月,瑞戈非尼二线维持治疗DoR17个月。目前,二线治疗在不同患者亚群的优选方案仍存在争议。而整个系统治疗到了三线阶段,标准治疗主要价值是能够延长患者的疾病控制时间,缩瘤效果和客观缓解率均不理想,并没有满足目前的治疗需求。根据目前的药物机制和临床研究结果,考虑到患者的具体情况:涵盖治疗目标、体质状况、对预估的不良事件的耐受性及是否存在相关危险因素、既往治疗用药情况等方面,我们采用了个体化的瑞戈非尼二线维持治疗方案取得良好疗效,这种治疗策略希望能在规范临床研究中证实。病例分享一


治疗经过








病例总结
































