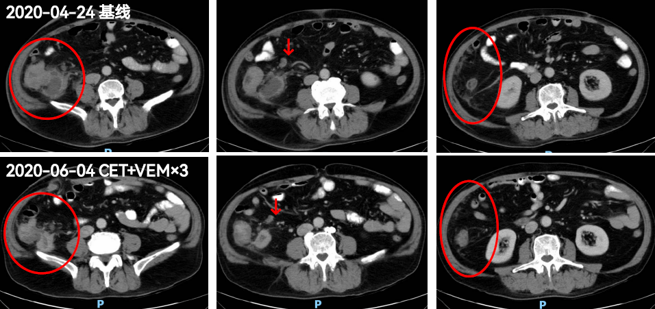
BRAF V600E突变转移性结直肠癌(mCRC)患者治疗选择匮乏,预后差。随着对肿瘤生物学研究的深入,多靶点抑制治疗为BRAF突变mCRC患者带来了治疗转机。一例BRAF V600E突变mCRC患者接受维莫非尼+西妥昔单抗双靶向治疗获得显著获益,无进展生存期(PFS)达到1年,为此类患者的治疗带来了重要临床启示。 初诊资料 患者男,69岁,2020-1以大便性状改变伴大便次数增多起病,腹痛伴排便排气减少。初诊ECOG 1分。既往史高血压病史,饮酒,家族史无特殊。 外院CT示小肠梗阻,回盲部占位。肿瘤标志物CA 125 99.34 U/mL,CA 199 28.93 U/mL。肠镜检查可见回盲部环腔肿物,病理示回盲部大肠黏膜中分化腺癌,部分为粘液腺癌。 2020.4.2 外院行腹腔镜探查+回肠造口术,术中见大网膜广泛种植转移,盆腔见散在结节转移灶。 治疗经过 二代测序(NGS)显示BRAF V600E突变,KRAS/NRAS野生型,微卫星稳定(MSS),肿瘤突变负荷(TMB)10.3 mut/Mb。 胸部CT未见转移。 腹盆增强CT示升结肠癌,结肠周围、肠系膜旁淋巴结转移,病变区邻近腹膜及大网膜增厚。 患者存在BRAF V600E突变,常规化疗效果不佳,但患者高龄强力化疗风险较高。2020.4.26~2020.7 给予一线双药靶向治疗:西妥昔单抗500 mg/m2 d1,维莫非尼 720mg bid,q14d×5周期。 3周期治疗后:原发灶好转,淋巴结略缩小,腹膜增厚减轻、腹膜结节缩小。 图2 一线方案3周期后评效 2020.7 患者突发右侧腹痛,伴高热,外院抗感染治疗1周后效果不佳。 2020.7.21 复查腹盆增强CT:升结肠不规则肠壁增厚较前增厚,病变区邻近积气、积液,不除外穿孔,腹膜及大网膜增厚较前进展?结肠周围、肠系膜血管旁多发淋巴结部分同前、部分缩小。 经与外科积极沟通,与2020.7.29行 原发灶姑息性切除+造口还纳,术中探查可见腹膜结节退缩明显。 图3 肠穿孔术中发现腹膜转移退缩 腹腔灌洗液:未见肿瘤细胞。手术病理:右半结肠中低分化腺癌,肿瘤大小6×5×2 cm,浸透肠壁全层,癌从浆膜面侵犯阑尾壁全层至粘膜面,可见脉管癌栓和神经侵犯,肠周淋巴结转移(8/13),切缘阴性,网膜可见癌,错配修复完整(pMMR),HER2(1+)。 2020.8.24术后腹部CT:升结肠术后,右下腹壁造口还纳后,术区腹膜不规则粗索条及类结节样增厚。 考虑患者术前靶向治疗有效,术后2020.8.25~2021.4.7 继续6~19周期双靶向治疗,期间复查腹盆CT:右侧腹膜索条/结节样增厚较前减轻。 图4 继续一线治疗评效 2021.4.7 腹盆CT:升结肠术后,右下腹壁造口还纳后,术区腹膜不规则粗索条同前,考虑术后表现,腹膜及腹膜后结节较前增大、增多,考虑转移。一线西妥昔单抗联合维莫非尼治疗PFS 达1年。 图5 一线方案19周期后进展 2021.4.20 给予减量XELOXIRI+BEV方案二线治疗。第2,5,8周期后评效疾病稳定(SD),后继续卡培他滨+BEV维持4周期。PFS 6月余。 图6 二线治疗评效 许婷 医师 北京大学医学部 肿瘤学博士 北京大学肿瘤医院 消化肿瘤内科 医师 主要研究方向:特殊类型结直肠癌、遗传性消化道肿瘤 专家点评 王晰程 教授 北京大学肿瘤医院消化内科副教授 副主任医师 CSCO青年专家委员会 委员 中国抗癌协会大肠癌专委会 内科学组/遗传学组委员 北京癌症防治学会 结直肠癌专委会 常委 《Annals of Oncology》中文版 编委 BRAF V600E突变mCRC预后不佳,治疗手段匮乏 CRC中BRAF突变发生率约为8%~10%,其中以BRAF V600E突变最为常见。BRAF突变CRC患者具有独特的临床病理学特征,患者多为老年,原发灶更多发生于右半结肠,肿瘤低分化,伴有淋巴脉管侵犯,易发生腹膜等远处转移,对标准治疗疗效欠佳,预后差[1]。因此,BRAF V600E突变是晚期CRC治疗中的难题。 目前BRAF突变晚期CRC一线标准治疗依旧是双药化疗联合抗VEGF靶向治疗[2]。TRIBE研究亚组分析显示BRAF V600E突变患者从三药化疗联合贝伐珠单抗治疗中似乎获益更多,成为体力状态良好患者的治疗选择[3]。同时研究显示BRAF不依赖于RAS活性,单纯阻断RAS信号通路治疗无效,因此BRAF V600E突变晚期CRC患者通常对抗EGFR单抗治疗耐药[4]。BRAF突变mCRC患者临床需求还远远未达到满足。 多靶点锚定,BRAF联合EGFR抑制开启BRAF突变mCRC精准治疗之门 随着对CRC分子生物学理解的不断深入,精准治疗为晚期CRC的治疗带来突破。临床前研究显示BRAF抑制剂维莫非尼对BRAF突变CRC细胞有抑制作用,然而由于旁路激活上游EGFR反馈活化而使得抑制作用难以持久,而EGFR单抗联合BRAF抑制剂可能是有效的治疗方式。 SWOG S1406研究[5]证实了以上理论。SWOG S1406研究是维莫非尼联合伊立替康+西妥昔单抗对比伊立替康+西妥昔单抗的2期研究,结果显示维莫非尼组可带来无进展生存期(PFS)的显著延长,两组中位PFS分别是4.4个月 vs 2.0个月,疾病控制率(DCR)分别是67% vs 22%。基于SWOG S1406研究结果,维莫非尼+西妥昔单抗+伊立替康成为CSCO结直肠癌诊疗指南推荐的BRAF V600E突变晚期肠癌二线治疗。3期随机对照BEACON研究[6]进一步夯实了多靶点联合治疗的重要地位。BEACON研究纳入既往接受过一线或二线化疗失败的BRAF V600E突变mCRC患者,随机接受BRAF抑制剂Encorafenib+MEK抑制剂Binimetinib+西妥昔单抗,Encorafenib+西妥昔单抗或FOLFIRI/伊立替康+西妥昔单抗治疗,结果显示三联和二联靶向治疗的PFS(4.3个月 vs 4.2个月 vs 1.5个月)总生存期(OS)均优于化疗联合西妥昔单抗(9.0个月 vs 8.4个月 vs 5.4个月),而三联和二联靶向治疗疗效未达显著差异。因此,BRAF抑制剂联合西妥昔单抗成为指南推荐BRAF V600E突变mCRC标准二线治疗。一项单臂2期研究ANCHOR研究[7] 进一步探索了BEACON方案的一线治疗,结果显示Encorafenib+Benimetinib+西妥昔单抗一线治疗BRAF V600E突变患者的ORR 47.8%,DCR 88%,中位PFS 5.8个月,中位OS 17.2个月,初步显示出良好疗效,方案推向前线治疗的可能性值得进一步探索。 开辟治疗新思路,双靶向治疗为患者带来获益 BRAF V600E患者接受双药化疗联合抗VEGF靶向治疗获益有限,三药化疗强烈方案的应用往往受限于患者的年龄、体力状态等。以上BRAF抑制剂多靶点联合治疗研究数据为BRAF突变mCRC靶向治疗提供了依据。此例患者腹膜广泛转移,无达到无瘤状态(NED)机会。患者69岁,考虑强烈化疗耐受性可能较差,因而选择维莫非尼+西妥昔单抗方案进行一线治疗。方案有效且耐受性良好,影像学评估示病变好转,因原发灶穿孔手术意外发现腹膜转移出现明显退缩。靶向治疗方案PFS长达1年,为患者带来显著生存获益,验证了BRAF抑制剂联合EGFR抗体的优越疗效。 因此,BRAF和EGFR通路的联合抑制是BRAF V600E mCRC的治疗新希望。大道多歧,精准为向。靶向治疗逐渐推向BRAF V600E突变mCRC前线治疗是大势所趋,综合考量患者的一般情况、肿瘤负荷、治疗目标合理对靶向治疗及化疗进行排兵布阵才能够实现BRAF V600E突变mCRC精准个体化治疗,从而实现患者最佳的生存获益。 参考文献 [1] Gonsalves WI, et al. Patient and tumor characteristics and BRAF and KRAS mutations in colon cancer, NCCTG/Alliance N0147. J Natl Cancer Inst. 2014;106(7):dju106. [2] NCCN Guidelines: Colon Cancer. Version 3. 2021. [3] Cremolini C, et al. FOLFOXIRI plus Bevacizumab versus FOLFIRI plus Bevacizumab as first-line treatment of patients with metastatic colorectal cancer: updated overall survival and molecular subgroup analyses of the open-label, phase 3 TRIBE study. Lancet Oncol. 2015;16(13):1306-15. [4] Pietrantonio F, et al. Predictive role of BRAF mutations in patients with advanced colorectal cancer receiving cetuximab and panitumumab: a meta-analysis. Eur J Cancer. 2015;51(5):587-94. [5] Kopetz S, et al. Randomized Trial of Irinotecan and Cetuximab With or Without Vemurafenib in BRAF-Mutant Metastatic Colorectal Cancer (SWOG S1406). J Clin Oncol. 2021;39(4):285-294. [6] Kopetz S, et al. Molecular CORRelates of Clinical Benefit in Previously Treated Patients With BRAF V600E-Mutant Metastatic Colorectal Cancer From the BEACON Study. ASCO 2021. [7] Van Cutsem, et al. ANCHOR CRC: a single-arm, phase 2 study of encorafenib, binimetinib plus cetuximab in previously untreated BRAF V600E-mutant metastatic colorectal cancer. WCGIC 2021.临床资料
































