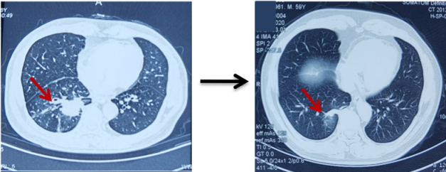
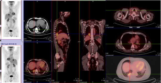
骨骼是肺癌常见的转移部位之一,骨转移癌会导致骨痛、病理性骨折、脊髓压迫、高钙血症等骨相关事件(SRE),其中,骨痛是骨转移癌最常见的临床症状,严重影响患者生活质量。地舒单抗,首个落户中国的核因子κB受体活化因子配体(RANKL)抑制剂,为防治SRE提供新的选择。本次分享地舒单抗治疗以骨痛为主要症状的EGFR突变晚期肺癌骨转移患者案例,希望为SRE的防治带来启迪与思考。 白引苗 空军军医大学第一附属医院肿瘤科 主治医师 中国抗癌协会肿瘤标志物专业委员会 委员 陕西省抗癌协会肿瘤化疗专业委员会 委员 陕西省抗癌协会肿瘤热疗专业委员会 委员 陕西省抗癌协会多原发和不明原发肿瘤专业委员会委员 擅长食管癌、胃癌、结直肠癌、胰腺癌等消化系统、肺癌及妇科常见恶性肿瘤的化疗、靶向治疗及免疫治疗等内科治疗。参译著作1部,参编著作1部,发表核心期刊论文多篇。 一般资料:患者男性,60岁 主诉:右侧肩部疼痛 现病史:2019年8月因右侧肩部疼痛于外院就诊,疼痛NRS评分3-4分,口服依托考昔症状可缓解 个人史:否认吸烟、饮酒嗜好 家族史:1兄因“胃癌”病故 辅助检查: 外院右肱骨MRI:右侧肱骨骨转移可能,合并肱骨中段骨质破坏。 外院胸部CT(图1):右肺下叶周围型肺癌,可疑肺门、纵隔淋巴结转移,T3/4/8椎体骨转移。 图1 胸部CT(箭头指示右肺下叶病变) PET/CT(18F-FDG)(图2-3):右肺下叶基底段软组织病变(3.7 cm×4.6 cm×4.7 cm,SUV max 6.9,平均值6),浅分叶、边缘见毛刺;右侧锁骨上下区、隆突区稍大淋巴结(长径0.6 cm-1.4 cm,SUV max 2.5-4.6,平均值2.2-3.2),考虑转移;脊柱多个椎体及附件、双侧多个肋骨、骨盆多处、双侧股骨上段多发骨质破坏(SUV max 2.0-5.7,平均值1.7-3.9),考虑转移。 图2 PET/CT提示右肺下叶基底段病变及右锁骨上下区、隆突区稍大淋巴结 图3 PET/CT提示多发骨质破坏 患者接受CT引导下经皮右肺病变穿刺活检,病理(图4):光镜见异型细胞呈条索状、腺管样排列,细胞核大、深染,异型性明显;免疫组化:AE1/AE3(+),CK5/6(-),CK7(+),CK8/18(+),P40(-),P63(-), Napsin A(+),ALK(D5F3 Ventana IHC)(-),TTF-1(+),Ki67 30%,支持腺癌。 肿瘤标志物:CYFRA21-1 5.8 ng/ml(参考值:0-3.3 ng/ml),CEA、SCC、NSE正常。 基因检测:EGFR基因19del突变。KRAS、NRAS、PIK3CA、BRAF、HER-2基因未检测到突变;ALK、ROS1、RET基因未检测到融合。 诊断:肺恶性肿瘤(右侧,腺癌,cT2N3M1,IV期,EGFR 19del);骨继发恶性肿瘤(多发);淋巴结继发恶性肿瘤(多发)。 双管齐下、并驾齐驱——抗癌治疗与唑来膦酸齐头并进 2019年9月患者接受奥希替尼80 mg/日一线治疗,同时接受唑来膦酸4 mg/月改善SRE。1个月后复查CT示右肺病变缩小40%(4.7 cm至2.8 cm);肿瘤标志物CYFRA21-1由5.8 ng/ml降至3.67 ng/ml;右肩部疼痛消失(停用止痛药)。 2020年3月复查胸部CT(图5)提示:肺部病变进展(增大39.3%,2.8 cm至3.9 cm);肿瘤标志物CYFRA21-1缓慢升高至7.05 ng/ml。考虑局部进展,在奥希替尼基础上联合培美曲塞+卡铂治疗4个周期,后给予奥希替尼联合培美曲塞维持治疗14个周期。 图5 胸部CT(2020年3月,箭头指示右肺病变) 最佳疗效:右肺病变缩小51.3%(至1.9 cm)(图6);肿瘤标志物CYFRA21-1由7.05 ng/ml降至1.4 ng/ml。 图6 二线治疗前(左图)后(右图)胸部CT比较(箭头指示右肺病变) 2021年4月患者感背部钝痛,NRS评分5-6分,口服氨酚羟考酮330 mg/8 h,症状可缓解。骨扫描(ECT)与单光子发射计算机断层扫描(SPECT)/CT提示骨转移加重。停用唑来膦酸,使用地舒单抗120 mg/月,疼痛有缓解。 2021年9月复查胸部CT示右肺下叶病变进展(1.9 cm至3.4 cm)。肿瘤标志物CYFRA21-1由10.73 ng/ml升至13 ng/ml。患者感背部疼痛加重,NRS 评分5-6分。行CT引导下右肺病变再次穿刺活检,病理提示肺腺癌,PD-L1(SP263)(TPS=80%),Ki67 85%。基因检测:EGFR 19del,KRAS、NRAS、PIK3CA、BRAF、HER-2基因及MET exon14无突变;ALK、ROS1、RET基因无融合。 遂调整为白蛋白结合型紫杉醇化疗2周期,奥希替尼和地舒单抗方案同前,患者背部疼痛消失。 2021年11月复查PET/CT:原右肺下叶基底段团块状软组织病变较初诊缩小(1.8 cm×1.6 cm×3.8 cm);原右侧锁骨区多发淋巴结消失;原隆突区稍大淋巴结缩小(0.5 cm);原脊柱多个椎体及附件、双侧多个肋骨、骨盆多处、双侧股骨上段多发骨质破坏,病变密度增高,考虑治疗有效,部分仍有代谢活跃;右侧颞叶片状低密度影。查头颅MRI(图7):左侧额叶大脑镰旁(0.7 cm×0.7 cm×1 cm)、右侧颞叶脑皮质表面(1.2 cm×1.3 cm×0.8 cm)异常强化灶,考虑转移。 图7 头颅MRI(箭头指示颅内病变) 经MDT讨论,建议脑部病变随诊观察。鉴于出现脑转移癌,调整为伏美替尼80 mg/日口服、白蛋白结合型紫杉醇静脉化疗;继续予地舒单抗。 患者治疗期间碱性磷酸酶(ALP)水平变化如图8所示。 图8 血清碱性磷酸酶变化情况 患者于2019年8月因右侧肩部疼痛就诊,确诊右肺腺癌Ⅳ期伴多发骨转移及淋巴结转移,EGFR 19del突变。一线治疗:奥希替尼(80 mg/日)+骨改良药物唑来膦酸(4 mg/月),最佳疗效:右肺肿瘤PR(缩小40%)、疼痛症状缓解,一线治疗PFS时间7个月。2020年3月,肺部病灶进展,予奥希替尼+培美曲塞联合卡铂4周期,后培美曲塞维持治疗14周期,继续予唑来膦酸治疗;2021年4月背部钝痛加重,骨扫描提示骨病变进展,遂停用唑来膦酸,予地舒单抗120 mg/月治疗至2021年9月,二线PFS 18个月。后因肺部病灶进展,三线治疗给予奥希替尼+白蛋白结合型紫杉醇及地舒单抗,患者背部疼痛症状消失。2021年11月头颅MRI示颅内转移,调整为予伏美替尼(80 mg/日)联合白蛋白结合型紫杉醇及地舒单抗治疗。 张红梅 西京医院肿瘤科主任 肿瘤学博士,硕士研究生导师 中国抗癌协会CMUP 副主委 中国临床肿瘤学会免疫专家委员会 常委 陕西省医学会肿瘤内科分会 副主委 主要从事肺癌等恶性肿瘤的内科治疗 我国肺癌发病率和死亡率均位于恶性肿瘤首位,20%-30%的晚期肺癌会发生骨转移[1],45%的肺癌骨转移患者会出现相关临床症状[2]。肺癌骨转移是患者生活质量降低、生存期缩短的独立危险因素,SRE如骨痛、病理性骨折、脊髓压迫等,不仅给患者带来生理上的痛苦与不便,也引发患者心理打击。因此,对于晚期肺癌骨转移患者,在控制原发疾病同时,亟需积极防治SRE,以达到提高患者生活质量、缓解生理心理痛苦、延长生存期的目的[3]。 本例肺癌同时性骨转移案例,以骨痛为首发症状,在奥希替尼治疗肺癌同时,首先予以唑来膦酸防治SRE,治疗初期患者症状一度改善。但随着疾病进展,唑来膦酸应用近20月后患者再次骨痛加重,影像学提示骨损害加重,对于这种骨病变进展、骨痛加重的临床问题,如何制定进一步治疗方案? 地舒单抗是IgG2型单克隆抗体,通过与RANKL结合,阻止其激活破骨细胞、破骨细胞前体和破骨细胞样巨细胞表面的核因子-κB受体活化因子(RANK),从而达到抑制肿瘤生长、减少骨破坏的目的。早在2010年,地舒单抗获得美国食品药品监督管理局(FDA)批准用于治疗实体瘤骨转移,目前已积累了丰富的证据临床研究和真实世界数据,显示其有效性和安全性。 地舒单抗与唑来膦酸治疗实体瘤骨转移和多发性骨髓瘤的Ⅲ期临床研究显示,地舒单抗可延缓首次出现SRE的时间(21.4个月 VS. 15.4个月)[4]。其中非小细胞肺癌患者,地舒单抗组较唑来膦酸组中位生存期(OS)延长1.5个月(9.5个月 VS. 8.0个月)[5]。安全性方面,地舒单抗也具有一定的优越性:与唑来膦酸组比较,地舒单抗组贫血、厌食症、肾脏不良事件、新发原发性恶性肿瘤的发生率较低[6]。地舒单抗通过网状内皮系统清除,不增加肾脏负担,对于肾功能不全的患者可作为首选。此外,作为皮下注射制剂,28天用药一次,无需住院完成,无疑为口服靶向药的肺癌骨转移患者带来极大的便利。 本例患者经唑来膦酸治疗后再次出现SRE,改用地舒单抗治疗至今,患者骨痛症状缓解,随访血清ALP水平逐渐下降,且耐受性良好。对这位长期与肺癌抗争的晚期患者,地舒单抗减轻了身体的疼痛,带来心灵的慰藉,实现临床获益。 2020年11月20日,地舒单抗在中国获得国家药品监督管理局(NMPA)批准,用于预防实体瘤骨转移及多发性骨髓瘤引起的SRE,随着药物可及性的进一步提高,期待地舒单抗可造福更多饱受骨转移折磨的中国肿瘤患者。 参考文献 1、Her nandez R K , Wade S W, Ly man GH, et al. I ncidence of bone metastases in patients with solid tumors: analysis of oncology electronic medical records in the United States. BMC Cancer, 2018, 18(1): 44. 2、Tsuya A, Kurata T, Tamura K, et al. Skeletal metastases in non-small cell lung cancer: a retrospective study. Lung Cancer, 2007, 57(2): 229-232. 3、北京医学奖励基金会肺癌青年专家委员会,中国胸外科肺癌联盟. 肺癌骨转移诊疗专家共识(2019版)[J]. 中国肺癌杂志, 2019, 22(4): 187-207. 4、Henry D, Vadhan-Raj S, Hirsh V, et al. Delaying skeletal-related events in a randomized phase 3 study of Denosumab versus zoledronic acid in patients with advanced cancer: an analysis of data from patients with solid tumors. Support Care Cancer. 2014 Mar; 22(3): 679-687. 5、Scagliotti GV, Hirsh V, Siena S, et al. Overall survival improvement in patients with lung cancer and bone metastases treated with Denosumab versus zoledronic acid: subgroup analysis from a randomized phase 3 study. J Thorac Oncol. 2012 Dec; 7(12): 1823-1829. 6、Fengxia Chen, Feifei Pu. Safety of Denosumab Versus Zoledronic Acid in Patients with Bone Metastases: A Meta-Analysis of Randomized Controlled Trials. Oncol Res Treat. 2016;39(7-8):453-459.基本情况




治疗经过


再起波澜,另辟蹊径——骨痛加重,地舒单抗力挽狂澜




























