本期病例说邀请天津医科大学第二医院臧立教授进行分享,并由天津医科大学第二医院王海涛教授进行点评。 臧立 天津医科大学第二医院肿瘤科 主治医师 北京癌症防治学会消化道肿瘤精准治疗专业委员会委员 中国人体健康科技促进会肿瘤精准治疗专业委员会委员 发表SCI,中华系列及国内核心期刊论文多篇 主持院内课题一项,参与国家级课题两项 参与多项全国多中心Ⅲ期临床试验。
病例简介
病例一
病史资料
辅助检查
-
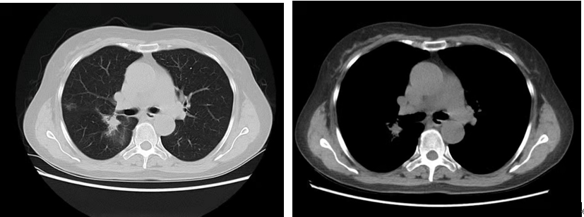
纵隔内右头臂静脉后、腔静脉旁及右上肺门多发结节,PET-CT显像可见放射性浓聚,考虑淋巴结转移。
-
骶骨,双侧髂骨,PET-CT显像可见放射性浓聚,考虑转移。


(肺穿刺)非小细胞肺癌,结合免疫组化符合腺癌。
免疫组化结果:
TTF-1(+),CK7(+),NapsinA(+),P40(-),P63(+),CK5/6(+),CgA(-),Syn(-),CD56(局灶弱+),Ki67(约40%+),P53/ target=_blank class=infotextkey>P53(约10%+),MLH1(+),MSH2(+),MSH6(+),PMS2(+),PD-L1(-)。
实验室检查:
-
血常规、凝血常规、肝肾功能均未见明显异常;
-
生化指标:LDH:380U/L;D-Dimer 2587ng/ml
-
肿瘤标记物:CEA:205ng/ml;CA199:372ng/ml;SCC、NSE等均正常;
-
尿便常规、血筛四项正常;
-
心电图正常
基因检测:

入院诊断:
右肺腺癌cT3N2M1,IVB期
分子分型:EGFR 21 L858R
EGFR 20 T790M
PS评分:2分
淋巴结转移、骨转移
治疗经过
√ 一线治疗方案
阿美替尼110mg,QD


案例二
病史资料
辅助检查
PET-CT:
-
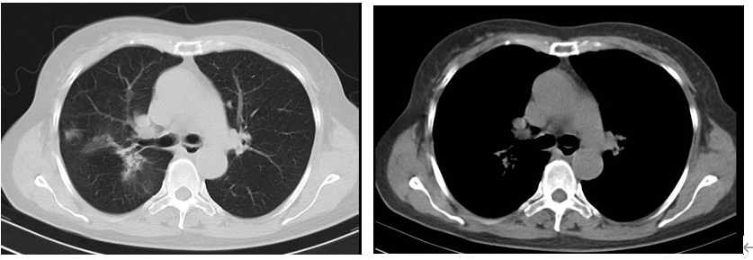
右肺上叶多发结节(2.3*2.0*2.1cm),周围伴多发磨玻璃密度灶,跨叶尖裂生长,代谢异常增高,考虑恶性;
-
右侧肺门及纵隔内(血管前,气管前,隆突下)多发肿大淋巴结,代谢异常增高,考虑恶性。
-
双侧髂骨PET-CT显像可见放射性浓聚,考虑转移。

病理检查:
(肺穿刺)非小细胞肺癌,结合免疫组化符合腺癌。

TTF-1(+),CK7(+),NapsinA(+),P40(-),P63(+),CK5/6(+),CgA(-),Syn(-),CD56(局灶弱+),Ki67(约20%+)。
基因检测:

诊断:
右肺腺癌cT2N2M1,IV期
分子分型:EGFR 21 L858R
EGFR 20 T790M
PS评分:1分
淋巴结转移、骨转移
治疗经过
√ 一线治疗方案
阿美替尼110mg,QD
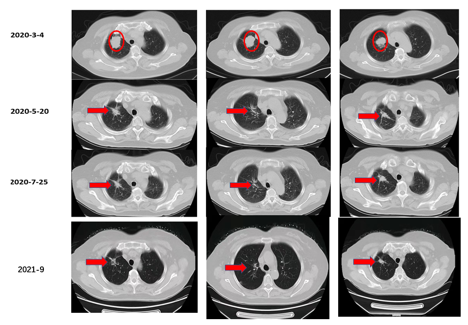
治疗前基线:右肺上叶多发结节,大者(2.3*2.0*2.1cm)考虑恶性。

治疗2月后:(SD)右肺上叶多发结节,大者(2.0*1.5*1.8cm)恶性可能性大。

治疗8月后:(PR)右肺上叶多发结节,大者(1.2*1.1cm)较前明显缩小。

治疗13个月后(2021-8):(PR)

病例小结
-
本2例患者均为右肺腺癌,EGFR 21 L858R+EGFR 20 T790M,伴淋巴结转移、骨转移,Ⅳ期。
-
初始治疗均选用阿美替尼110mg qd,目前均为PR,CASE1 PFS>22个月,CASE2 PFS>18个月,疗效显著。
-
本2例患者未见明显不良反应,阿美替尼安全性佳。
专家点评
王海涛 教授
医学博士,博士生导师,主任医师
天津医科大学第二医院肿瘤科主任、放疗科主任
美国临床肿瘤学会会员
中国临床肿瘤学会(CSCO)理事
中国抗癌协会肿瘤精准治疗专业委员会委员
中国民族医药学会精准医学分会副会长
天津市医师协会临床精准医疗专业委员会副主任委员
天津市中西医结合学会循证医学专业委员会副主任委员
中华医学会天津分会肿瘤学会委员、泌尿学会肿瘤学组副组长
天津市抗癌协会泌尿肿瘤及老年肿瘤专业委员会委员
天津市中西医结合学会肿瘤专业及围术期专业委员会委员
1.本2例患者均为右肺腺癌, EGFR21 L858R+EGFR20 T790M,伴淋巴结转移、骨转移,Ⅳ期,2例患者应用阿美替尼作为一线初始治疗均疗效优越,PFS超过22个月和18个月,安全性好。
2.在原发T790M突变人群中,与19del比较,L858R突变常合并T790M突变(76.2%vs 23.8%)。既往研究表明,化疗治疗原发T790M突变和未突变患者的中位PFS无显著差异(分别为6个月和5.1个月),因治疗前肿瘤内即存在T790M亚克隆,理论上会影响一代和二代EGFR-TKIs疗效,多项研究证实出现原发T790M突变会降低一、二代EGFR-TKIs的疗效(PFS未超过8个月)。
3.阿美替尼作为三代EGFR-TKI,可同时作用于EGFR活性突变和T790M耐药突变,是原发T790M突变患者治疗上潜在的更好选择,2例真实世界病例优秀的PFS佐证了三代TKI阿美替尼对原发T790M突变的治疗效果。临床治疗中要遵循指南,但也要结合病人情况,在临床实践中不断总结、创新、发展。
版权声明:肺悦新森所刊载内容之知识产权为肺悦新森及相关权利人专属所有或持有


























