在前两季的病例说栏目中,美宝整理了20例阿美替尼一、二线治疗的经典病例,并邀请相应的研究中心PI进行诊疗点评,以期为临床用药提供指导。本季度病例说仍初心不改,继续对临床中的真实病例进行深层次、多方面地解析,帮助更多临床医生全面了解阿美替尼,为更多患者带来更优治疗方案。 本期病例说特别邀请到北京大学深圳医院MDT团队进行1例EGFR L858R突变合并TP53/ target=_blank class=infotextkey>P53突变NSCLC病例分享。 吴 烜 北京大学深圳医院肿瘤科副主任医师 龙 翔 北京大学深圳医院呼吸科主任医师 谭志博 北京大学深圳医院放射治疗科副主任医师 周凤睿 北京大学深圳医院肿瘤科主治医师 许芹芹 北京大学深圳医院病理科主治医师 单慧明 北京大学深圳医院影像科副主任医师 病史介绍 2020.09.03 颅脑MRI:左侧枕叶异常信号,考虑转移瘤。 全身骨显像:全身诸骨骨盐代谢未见明显异常,建议定期复查。 双锁上淋巴结超声:未见明显异常。 图3颅脑MRI 图4免疫组化 肺癌脑(膜)转移GPA预后评分:3分;脑(膜)转移mol-GPA预后评分:3分。 病例简介
基本信息




初步诊断
1.右下肺腺癌 (右下肺内、颅脑转移, cT3 Satell N0M1b, IVA期),EGFR exon 21 L858R突变、 TP53 exon 8突变,mol-GPA评分3分。
2.2级高血压(很高危组)。
下一步治疗策略
-
全身治疗:
-
局部治疗:
治疗经过
第一次MDT团队讨论结果
放疗科:左侧枕叶病灶可予SRS治疗。
肿瘤科:系统治疗方案可考虑一线A+T治疗。
胸外科:如胸部病灶治疗后缓解明显,残留病灶可考虑手术。
脑外科:患者病灶位于枕叶,手术难度不大,可结合患者意愿。
第一次治疗方案及疗效评估
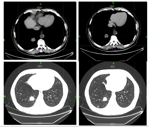
方案:经与患者及家属充分沟通后,2020.09月行厄洛替尼150mg qd+贝伐珠单抗 15mg/kg+左侧枕叶病灶SRS。

图5胸部CT

图6颅脑MRI
第二次MDT讨论
颅内及胸部病灶稳定半年以上,患者治疗意愿积极。
下一步治疗决策
A. 胸部放疗
B. 胸部手术
C. 观察
第二次治疗方案及疗效评估
方案:2021.06行胸部放疗55Gy/5次。
疾病进展评估
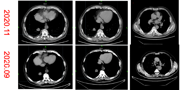
√ 2021.06.28胸部CT:右肺下叶后基底段肿块约21×23×21mm大小,右肺下叶后基底段(Img230)见结节影,大小为7×7mm,较前缩小。疗效评价PR。

图7胸部CT
√ 2021.10全身骨ECT:新见枕骨、右侧肩胛骨、胸4椎体右半部、左侧第8前肋、右侧第8-9后肋、腰5椎体左半部、右侧髋臼、右侧坐骨局灶性团放射性分布异常浓集影。
胸部稳定,未见进展。疗效评价PD。
NGS检测示:EGFR T790M(+)&TP53 (+)

图8骨ECT
后续治疗方案:
疾病进展评估


第三次MDT讨论
第三次治疗方案及疗效评估

图11胸部CT
第四次MDT讨论
第四次治疗方案及疗效评估
方案:2022.02 阿美替尼110mg qd 口服。
2022.05.06 胸部CT:右肺下叶后基底段肿块约13×17×18mm大小,较前(22.02)明显缩小,疗效评价PR,未再发生间质性肺炎。

图12胸部CT

图13颅脑MRI
Part 3
病例小结
-
1. 该患者因咳嗽咳痰1月余,且加重10天就诊,初诊为右下肺腺癌 (右下肺内、颅脑转移, cT3 Satell N0M1b, IVA期),EGFR exon 21 L858R突变、 TP53 exon 8突变,mol-GPA评分3分,2级高血压。“A+T”治疗13个月后全身多发骨转移,奥希替尼治疗3个月后出现间质性肺炎,更换阿美替尼治疗,截止目前疗效评价PR,安全性良好。
-
2. APOLLO研究显示:阿美替尼mPFS达12.4月,ORR为68.9%,DCR达93.4%,是全球首个二线治疗mPFS超过1年的三代EGFR-TKI,且阿美替尼间质性肺炎的发生率较低,安全性良好,故本病例在奥希替尼相关间质性肺炎后更换为阿美替尼。
-
3. 诊疗经过汇总


























