乳腺癌药
肺癌药
肝癌药
卵巢癌药
前列腺癌药
胆囊癌药
胃癌药
甲状腺癌药
胰腺癌药
膀胱癌药
食管癌药
宫颈癌药
结直肠癌药
淋巴瘤药
肾癌药
子宫内膜癌药

更多

免疫治疗
靶向药
内分泌药
中药
细胞治疗

首页 > 癌症药物 > 靶向药物 > 阿美替尼 > 最新研究

PFS>15个月!1例阿美替尼一线联合治疗肺腺癌脑膜转移的病例分享

来源:肺悦新森 2022-12-13 21:05:00

在第一季的病例说栏目中,美宝已经整理了阿美替尼II期APOLLO研究中的6例经典病例,并邀请相应的研究中心PI进行诊疗点评,以期为临床用药提供指导。本季度病例说将延续经典,从临床试验走进真实世界。美宝将对阿美替尼在临床实践中的病例进行详细解析,帮助广大临床医生更为合理地使用阿美替尼治疗,从而更好地发挥疗效。YkT帝国网站管理系统
本期病例说邀请山东省肿瘤医院祝守慧教授进行分享,并由山东省肿瘤医院袁双虎教授进行点评。YkT帝国网站管理系统

祝守慧YkT帝国网站管理系统

山东省肿瘤医院胸部放疗二病区主治医师YkT帝国网站管理系统

世界华人肿瘤医师协会放射治疗协作组青年委员YkT帝国网站管理系统

世界华人肿瘤医师协会青年委员YkT帝国网站管理系统

山东省老年医学学会肿瘤多学科诊疗专业委员会委员YkT帝国网站管理系统

山东省临床肿瘤学会第一届乳腺专家委员会青年委员会委员YkT帝国网站管理系统

 病例简介

该病例为一例原发性支气管肺癌伴多发纵隔淋巴结转移,双肺转移,多发骨转移,脑膜转移和右侧胸腔积液的ⅣB期右肺腺癌患者,基因检测显示EGFR 19外显子缺失突变。考虑到该患者全身多发转移,尤其有脑膜转移,选择三代EGFR-TKI阿美替尼与贝伐珠单抗联合治疗,前期给予全脑放疗。颅内疗效达到全部缓解(CR),整体最佳疗效为部分缓解(PR)且疾病稳定已达15个月以上。该患者服用阿美替尼无明显不良反应,生活质量明显改善,目前仍在持续随访中。
 

基本信息

病史资料YkT帝国网站管理系统

患者:男,51岁
既往史:腰椎粉碎性骨折固定术史16年,否认烟酒等其它不良嗜好,否认家族中肿瘤及遗传相关病史。 
现病史:2020-7-23“因头痛20余天入院,后发现右肺占位5天”就诊,入院前胸部CT(院外)提示:右肺上叶占位,考虑肺癌;双肺弥粟粒结节灶,考虑转移瘤;纵隔淋巴结肿大;右侧胸腔积液。颅脑强化MR(院外)提示:左侧额、颞叶及左侧额顶、两侧颞枕部脑沟异常信号,考虑脑膜脑炎。

辅助检查YkT帝国网站管理系统

2020年7月31日
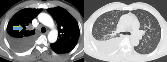
胸部CT:上叶纵隔旁见结节灶,大小2.9cm×2.2cm×2.9cm,双肺弥漫多发粟粒结节灶,大小不等。纵隔内(2R、4R、4L区)多发肿大淋巴结,较大者短径约1.0cm。右侧胸腔积液。

图片YkT帝国网站管理系统

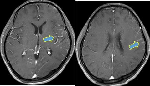
颅脑强化MR:双侧大脑半球及小脑脑膜走行区见线条状及结节状强化,以左颞顶部为著。符合脑膜转移MR表现。

图片YkT帝国网站管理系统

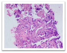
病理检查:(右侧胸腔积液)低分化腺癌。 

图片YkT帝国网站管理系统

基因检测:EGFR 19 Del突变

图片YkT帝国网站管理系统

临床诊断:         YkT帝国网站管理系统

• 原发性支气管肺癌,右肺上叶腺癌 cT4N3M1c,ⅣB期YkT帝国网站管理系统

• 纵隔淋巴结转移,双肺转移,多发骨转移,脑膜转移,右侧胸腔积液YkT帝国网站管理系统

• 基因突变状态:EGFR 19外显子缺失突变YkT帝国网站管理系统

• 腰椎粉碎性骨折固定术后YkT帝国网站管理系统

 YkT帝国网站管理系统

治疗经过

2020年8月11日——2020年8月21日YkT帝国网站管理系统

给予全脑放疗,DT30Gy/10F;YkT帝国网站管理系统

2020年8月:YkT帝国网站管理系统

给予阿美替尼110mg po qd,贝伐珠单抗 7.5mg/Kg  q3w联合治疗,治疗2个月后,疗效评估PR。YkT帝国网站管理系统

图片YkT帝国网站管理系统

图片YkT帝国网站管理系统

图片YkT帝国网站管理系统

胸部CT提示:口服阿美替尼2个月后,原双肺弥漫粟粒结节灶已明显减少、缩小;纵隔淋巴结转移较之前好转;双肺多发转移较前好转。8月26日末次随访时右肺上叶纵隔旁见少许不规则软组织密度结节影,双肺磨玻璃结节直径不足0.5cm,纵隔及肺门未见肿大淋巴结。YkT帝国网站管理系统

颅脑强化MRI提示:口服阿美替尼2个月后,双侧大脑半球及小脑脑膜走行区见线条状及结节状强化,较前期局部好转;8月26日末次随访时脑室系统大小及形态未见异常。YkT帝国网站管理系统

 YkT帝国网站管理系统

病例小结

本病例为一例伴随脑膜转移等多发转移灶的非小细胞肺癌患者,自2020年8月起,服用阿美替尼联合贝伐珠单抗进行治疗,前期联合全脑放疗,患者无进展生存期PFS)>15个月,仍在持续治疗随访中。颅内疗效达到全部缓解(CR),整体最佳疗效为部分缓解(PR);阿美替尼治疗安全性佳、耐受性良好,无明显不良反应。YkT帝国网站管理系统

 

专家点评

袁双虎YkT帝国网站管理系统

山东省肿瘤医院放疗二病区主任、YkT帝国网站管理系统

肿瘤学博士,博士生导师YkT帝国网站管理系统

泰山学者,国务院特殊津贴专家YkT帝国网站管理系统

中华放射肿瘤学会青委副主委YkT帝国网站管理系统

中国抗癌协会肺癌专家委员会常委YkT帝国网站管理系统

中国抗癌协会放疗专委会肺癌学组副组长YkT帝国网站管理系统

中国临床肿瘤学会非小细胞肺癌专委会常委YkT帝国网站管理系统

华人肿瘤放射治疗协作组(CRTOG)  执行主委YkT帝国网站管理系统

 YkT帝国网站管理系统

1. 本病例为一例伴随脑膜转移等多发转移灶的非小细胞肺癌患者,肿瘤负荷极大,经过阿美替尼与贝伐珠单抗“A+T”方案联合治疗后,目前取得了PFS 15个月+的显著疗效。YkT帝国网站管理系统

 
2. 44%-63%的表皮生长因子受体(EGFR)敏感突变的非小细胞肺癌患者在疾病进展过程中会发生脑转移,其中脑膜转移比例达9%。由于血脑屏障的存在,传统化疗药物往往很难对脑膜转移病灶产生疗效,因此这类患者预后较差,严重影响患者生活质量和生存时间。阿美替尼作为三代EGFR-TKI,其结构设计中引入环丙基结构,亲脂性大大增强,血脑屏障的透过能力增强,确保阿美替尼在脑组织中具有较高的暴露量。从这个病例中可以看出阿美替尼对脑膜转移的患者有很好的疗效优势。 
 
3. 国产原研第三代EGFR-TKI阿美替尼的临床研究数据为100%中国人群数据,疗效及安全性均表现优异。该患者耐受性良好,无明显不良反应,目前仍在持续随访中。