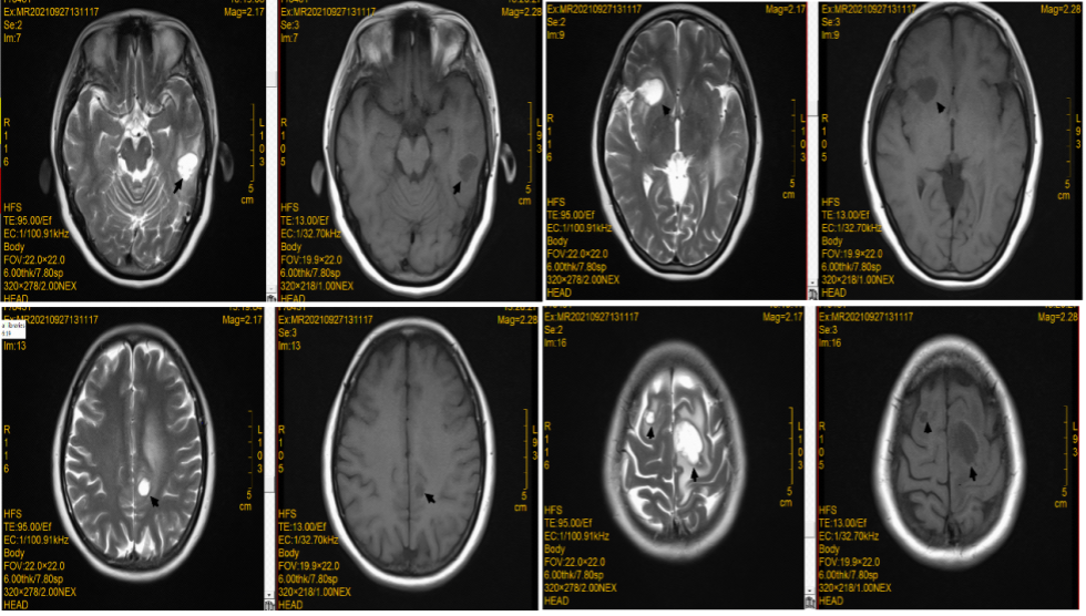
导言 在前两季的病例说栏目中,美宝整理了20例阿美替尼一、二线治疗的经典病例,并邀请相应的研究中心PI进行诊疗点评,以期为临床用药提供指导。本季度病例说仍初心不改,继续对临床中的真实病例进行深层次、多方面地解析,帮助更多临床医生全面了解阿美替尼,为更多患者带来更优治疗方案。 高波 深圳市第二人民医院呼吸内科 副主任医师 中国中药协会呼吸病药物研究专业委员会青年委员会委员 广东省医师协会呼吸科医师分会第四届委员会感染与重症专业组成员 广东省胸部疾病学会弥漫性实质性肺疾病多学科诊疗专业委员会委员 广东省医疗行业协会呼吸病管理协会常委 广东省预防医学会呼吸病预防与控制专业委员会第一届委员会青年委员会委员 深圳市抗癌协会肺结节专业委员会常委 深圳市抗癌协会胸部肿瘤MDT委员会常务委员 深圳市医师协会呼吸内科医师分会第二届理事会肺癌学组委员 深圳市中西医结合学会呼吸病专业委员会委员 深圳市医学会第一届睡眠医学专业委员会青年委员 深圳市健康管理协会第一届呼吸专业委员会委员 病史介绍 辅助检查 图2:颅脑MRI检查 2021.09全身骨扫描:左侧股骨上段骨盐代谢异常活跃,左侧坐骨骨盐代谢稍活跃,考虑恶性肿瘤骨转移可能性大。 2021.09 病理补充诊断:刷检见异型上皮细胞,考虑腺癌。左上叶舌段,活检符合肺浸润性腺癌。 图3:病理检查 病理诊断 病例简介



肺腺癌(T2bN1M1c)IVB期
基因检测
EGFR p.E746_A750delinsP, 突变丰度为23.81%
临床诊断
治疗经过
初始治疗
治疗评估
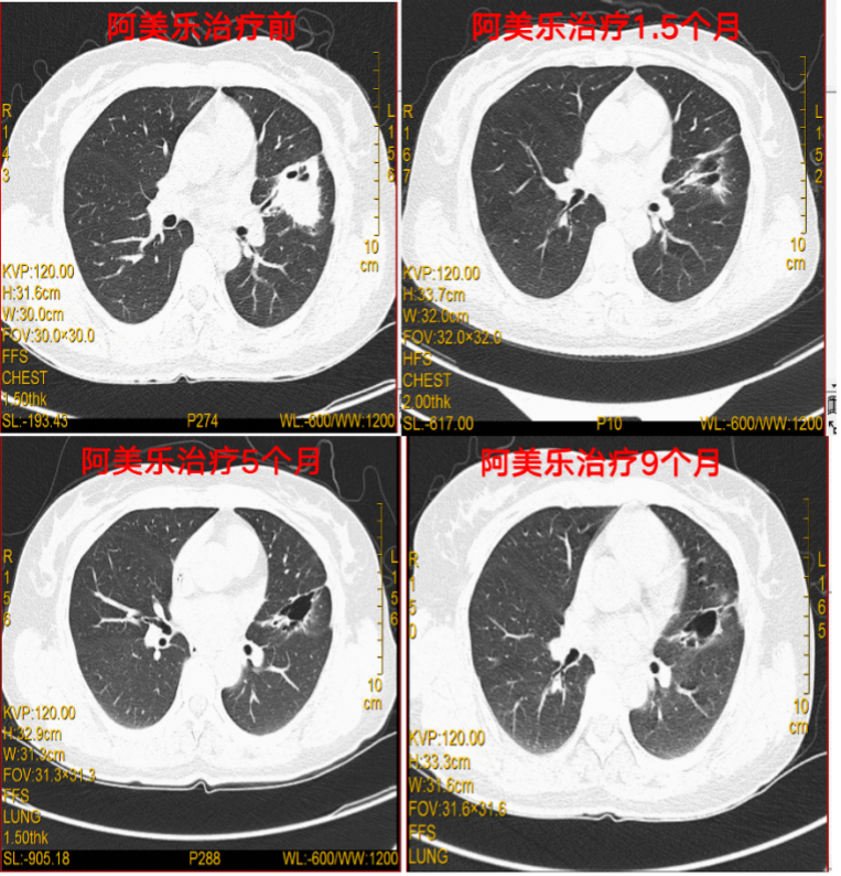
肺部病灶:一线阿美替尼联合化疗治疗6周疗效就达到PR,患者持续用药至今(2022.12),肺部疗效仍为PR。

图4:治疗期间胸部CT检查
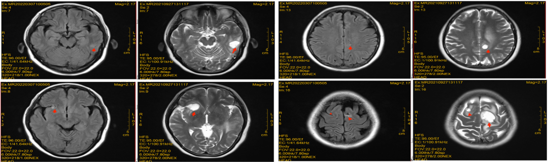
脑转移病灶:一线阿美替尼联合化疗治疗颅内病灶,第二次疗效评估即治疗5个月(20220308)后疗效评价为PR,治疗12个月后(20221011)患者脑转移病灶疗效仍为PR。

图5:治疗5个月颅脑MRI检查

图6:治疗约12个月颅脑MRI检查
骨转移:一线阿美替尼联合化疗治疗5个月(20220304)骨转移异常浓度较之前(20211116)减低,治疗9个月时疗效同5个月,骨转移得到控制。

图7:全身骨显像
实验室检查
一线治疗5个月后,肿瘤标志物癌胚抗原由6.99ng/ml下降至0.98ng/ml。
安全性评估

图8:治疗期间谷丙转氨酶变化
病例小结
1. 该患者因咳嗽、气促1月余就诊,初诊为肺腺癌(T2bN1M1c)IVB期伴多发脑转移,骨转移,基因检测为EGFR 19del,且患者患有慢性疾病乙肝。治疗方案选择既需要考虑药物对脑转移、骨转移病灶的疗效,更需要考虑治疗的耐受性和安全性。
专家点评
邓海燕
深圳市第二人民医院呼吸与危重症医学科,主任医师
中国肺癌防治联盟早期肺癌物联网管理专委会常委;
广东省基层医药学会肺癌专业委员会常务委员;
广东省女医师协会肺癌专业委员会委员;
深圳市医学会呼吸病专业委员会委员;
深圳市中西医结合学会呼吸病专业委员会副主任委员
1. 该病例是一个肺腺癌(T2bN1M1c)IVB期患者,初诊时已有颅脑多发转移、骨转移,且患有乙肝,基因检测为EGFR 19del阳性。一线治疗采用卡铂+培美曲塞4周期+阿美替尼110mg qd+唑来膦酸治疗,已经持续用药超14个月。治疗6周后肺部病灶疗效评价即为PR,治疗5个月后脑部病灶同样PR,骨转移异常浓度较之前减少,原发病灶和转移病灶均得到控制。更重要的是安全性佳,患者病情稳定,未出现严重的不良反应。虽然出现了转氨酶轻度升高,但处理后快速下降至正常值。
2. 阿美替尼AENEAS研究最新的颅内数据提示,阿美替尼不论是在CNS全分析集(cFAS 集)还是颅内疗效评估集(cEFS集)中,中枢神经系统的mPFS均为29个月。这也是迄今为止的注册研究中,CNS mPFS最长的TKI研究数据。且cFAS集的HR值是0.319,而cEFS集的HR值更低(0.268),脑转移亚组的HR值是0.376,这提示阿美替尼对于脑转移患者亚组的确疗效显著,可降低EGFR突变阳性NSCLC脑转移患者的进展风险。
3. 阿美替尼安全性佳,在AENEAS研究中一线使用阿美替尼治疗持续时间长达464天,但阿美替尼导致的ILD发生率低,总发生率仅0.9%,≥3级发生率为0。阿美替尼有高内流、低外排、高入脑、强缩瘤的特点,相信能为更多EGFR阳性患者带来更长的生存和更好的生活质量。
















