作为一款我国自主原研的抗血管内皮细胞生长因子受体(VEGFR)小分子酪氨酸激酶抑制剂(TKI),呋喹替尼获得国家药品监督管理局(NMPA)批准用于转移性结直肠癌(mCRC)的治疗,并被《CSCO结直肠癌诊疗指南(2019版)》以最高等级的1A类证据、Ⅰ级推荐作为mCRC患者的三线治疗标准方案,该推荐等级延续至2022年[1-3]。 本期分享2例晚期结肠癌三线及后线治疗病例,并特邀哈尔滨医科大学附属肿瘤医院张艳桥教授作简要点评。 (以下病例仅系相关研究者在临床研究过程中的病例简述,供医疗专业人士科学交流和参考。个体病例通常具有差异性,具体治疗方案及用药应当结合个体情况并严格遵循医嘱。)【病例一】
病例提供者 | 中山大学附属第五医院 庞静
基本情况
一般资料:患者男性,60岁。
主诉:腹胀、腹痛、停止排便排气4天。
病史:患者入院前4天(2017-10)无明显诱因出现腹胀、腹痛,呈阵发性绞痛,伴肛门停止排便排气,无呕吐,无发热,无胸闷,无血便,无黑便,遂患者就诊于我院,查腹部CT检查:“降结肠及乙状结肠交界处增厚,多为肿瘤,建议活检;结肠部分梗阻”,遂收治入院。完善相关检查后,考虑为“乙状结肠癌”,遂于2017-10-18在全麻下行“腹腔镜探查+乙状结肠切除+降结肠造瘘术”。术后病理确认诊断。
既往史:患者20+年前因“左肾结石”于外院行体外冲击波碎石治疗,排出碎石。10年前因“左侧阴囊鞘膜积液”行手术治疗。高血压病史2年,予口服硝苯地平,血压控制可。2017-06行“右侧鞘状突高位结扎+睾丸鞘膜翻转术”。
家族史/个人史:无特殊。
体格检查:ECOG:0分。全身浅表淋巴结未触及明显肿大。腹壁稍膨隆,无皮疹、条纹、疤痕、无腹壁静脉曲张,未见胃肠型及蠕动波。腹软,脐周有轻压痛,无反跳痛。左下腹可扪及一可疑包块,边界不清,质韧,无触痛。
实验室检查:
血常规:血红蛋白 87.0 g/L,血小板计数 466.0*109/L
肝功能:肝功能:总蛋白 58.40 g/L,白蛋白 36.70 g/L
肾功能、电解质等生化检查结果无明显异常。
癌胚抗原 56.94 ng/mL 。
影像学检查:
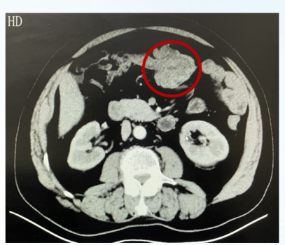
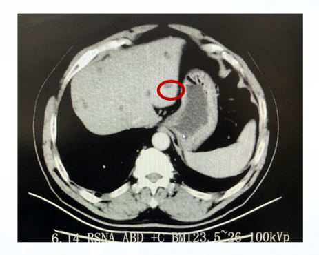
胸部+全腹部增强CT(2017-10):1、降结肠及乙状结肠交界处增厚,多为肿瘤,建议活检;结肠部分梗阻;2、双肾囊肿;3、盆腔少许积液;4、前列腺增生并钙化;5、腹主动脉钙化;胸腰椎退行性变。

图1、患者腹部增强CT(2017-10)
图2、立位腹平片(2017-10)
诊断:1、乙状结肠癌;2、肠梗阻
治疗经过
手术:2017-10-18在全麻下行“腹腔镜探查+乙状结肠切除+降结肠造瘘术” 。
术后病理(2017-10-25):1.(乙状结肠)肠中分化腺癌,癌组织浸润至肠壁肌层外纤维脂肪组织中。癌组织累及神经。2.(乙状结肠)肠两侧切缘均未见癌浸润。3.(乙状结肠)肠旁淋巴结(2/13)枚,见转移癌。并见癌结节1枚。免疫组化示:癌细胞MSH2+、MSH6+、MLH1+、PMS2+、Ki67热点区约70%、VEGF-、EGFR约75%弱-中等强度+、PD-1-、PD-L1-。
术后诊断:乙状结肠中分化腺癌(pT3N1bM0 ⅢB期)神经侵犯,pMMR
内科治疗:
第一阶段:术后辅助治疗(2017-11至2018-04)
予FOLFOX方案规律化疗12周期,第11周期化疗过程中患者出现手足麻木,遂于第12周期化疗中停用奥沙利铂,予5-Fu治疗。化疗期间及化疗后定期复查未见确切肿瘤复发转移。
第二阶段:术后复发的一线治疗(2019-10至2020-01)
2019-10患者出现腹部隐痛不适,查CEA 505.26 ↑ng/mL,查腹部MRI示:肝周、脾周腹膜及腹壁增厚并多发结节,较前为新发,考虑转移瘤,部分结节累及肝;肝周、脾脏积液。考虑肿瘤复发转移。基因检测示:TP 53、APC突变,KRAS/NRAS、BRAF V600E未检出突变,TMB 1.79 Muts/Mb,MSS。

图3、患者腹部MRI(2019-10)
予西妥昔单抗+FOLFIRI方案化疗4周期,疗效评价SD。由于患者出现少量皮疹,化疗后呃逆、返酸症状明显,拒绝继续使用西妥昔单抗治疗。后予以FOLFIRI方案化疗2周期。

图4、腹部增强CT(2019-12)
第三阶段:二线治疗(2020-02至2020-04)
2020-1起患者腹胀加重,2020-2复查CT提示“腹腔、盆腔积液,肝脏转移灶较前增大”,CEA 252ng/ml,考虑肿瘤进展。患者自觉联合靶向药物治疗后消化道反应重,后续拒绝静脉使用靶向治疗。遂2020-2-5至2020-4-10更换为FOLFOX方案化疗4周期,并2020-2-3行腹腔穿刺置管术,于2020-2-6给予贝伐珠单抗300mg腹腔灌注。患者诉出院后腹胀较前缓解。

图5、腹部CT(2020-2)
第四阶段:三线呋喹替尼治疗(2020-05至2021-04)
患者化疗后消化道反应重,自觉不能耐受,拒绝继续静脉化疗及静脉靶向药物治疗。与患者沟通病情后更换治疗方案,进入三线治疗,2020-5上旬开始口服呋喹替尼 5mg qd 。疗效评价SD。
影像学评估:

图6、呋喹替尼单药治疗期间,影像学评估持续SD:第1排(2020-05)、第2排(2020-07)、第3排(2020-09)、第4排(2020-11)
第五阶段:四线治疗(2021-05至2022-01)
2021-5患者查CEA 持续上升,2021-5-17结果 1299.00ng/mL。建议患者加免疫治疗,但患者因经济原因拒绝。沟通后于2021-5开始呋喹替尼(5mg qd)+卡培他滨治疗(1.5g bid D1-14,q3w),耐受性良好,无明显不良反应。2021-8复查CEA 637.00 ng/mL。
影像学评估:腹膜及腹壁多发转移瘤,肝周假性黏液瘤形成,肝脏受侵,大致同前;肝脏多发转移瘤,较前变化不大。
图7、呋喹替尼联合用药期间,复查CT(2021-08-24),疾病稳定
2021-11-29 CT提示肺部转移,肝脏转移灶较前缓慢进展,CEA 1939.00 ng/mL,疗效评价PD。

图8、呋喹替尼联合用药期间,复查CT(2021-11-29),疾病进展
建议患者加免疫治疗或更换为化疗及静脉靶向治疗,但患者拒绝静脉治疗,仍口服呋喹替尼+卡培他滨治疗至2022-1。2022-1复查肿瘤进展,患者出现肠梗阻、腹痛等症状,后续未再继续抗肿瘤治疗,主要予姑息对症治疗。
病例总结
该例为老年男性,乙状结肠癌术后, pMMR。术后2年,开始出现腹壁、腹膜等远处多发转移,化疗及静脉靶向药物治疗耐受性及依从性欠佳。提前予以呋喹替尼治疗,患者整体耐受性及依从性良好,呋喹替尼进展后联合口服化疗,患者疾病稳定,继续获益。呋喹替尼治疗期间PFS累计达到20个月,患者获益确切。

图9、病例小结
【病例二】
病例提供者 | 上海市第一人民医院 王凡
基本情况
一般资料:患者男性,67岁。
主诉:因“腹痛伴大便习惯改变2周”就诊。
病史:2014年12月,患者因阵发性腹痛伴大便次数增多于我院门诊行肠镜,提示横结肠肠套叠,套叠处恶性肿瘤(MT)可能。完善影像学检查后,考虑结直肠癌,遂行“右半结直肠癌根治术”。术后病理确认为结直肠癌。
既往史:高血压
家族史:无特殊
影像学检查:
胸部增强CT:右肺中叶小结节(5mm);纵隔淋巴结钙化;冠状动脉硬化。
上腹部增强CT:肝脏多发囊肿;右肾结石;横结肠肠套叠。
下腹部增强CT:未见明显异常。

图10、胸部增强CT(2014-12-04)

图11、腹部增强CT(2014-12-04)
图12、腹部增强CT(2014-12-04)
术后病理(2014-12):横结肠溃疡性腺癌II级,部分为黏液腺癌,肿瘤大小约5*3.5*1.9cm,浸润至肠旁纤维,肿瘤侵犯局部小神经。结肠系膜内淋巴结3/17,肠系膜根部淋巴结0/2,回盲部淋巴结0/11,小肠系膜内淋巴结0/4。
免疫组化:ERCC弱+,MLH1+,MSH2+,COX+,nm23+,c-met-,CDX-2+,Ki-67约60%
诊断:1. 横结肠溃疡型中分化腺癌(pT3N1M0,III期)。
治疗经过
第一阶段:术后辅助化疗(2015-01至2015-04)
治疗方案:XELOX*8周期。
毒副反应:I°-II°粒细胞减少(予以粒细胞刺激因子对症处理)。
术后随访:3-6月规律随访。
影像学检查:
上腹部CT增强(2018-06-28 ):结肠癌术后,吻合口未见异常。肝右叶近肝顶部血管瘤可能;肝右叶后下段低密度影,囊肿可能。肝脏多发囊肿。胆囊多发结石。右肾小结石。脾脏钙化灶。
下腹部MRI增强(2018-07-06 ):结肠癌术后,余下腹部MR扫描未见异常。
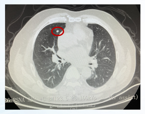
胸部增强CT(2018-07-04):右肺上叶尖段肿块(大小约31mm),双肺多发结节,考虑转移。
图13、术后辅助化疗期间随访,胸部增强CT(2018-07-04)发现双肺转移灶
肺穿刺病理:右肺见异型腺体,倾向腺癌,结合病史及酶标,考虑肠癌肺转移。
免疫组化:TTF(-),NapsinA(),CK7(弱) ,CD20(+),CDX2(+)。
基因检测:KRAS为突变型,NRAS、BRAF为野生型。
药物相关代谢基因检测:UGT1A1*6、*28野生型,DPYD*2A野生型。
第二阶段:术后复发的一线治疗(2018-08至2019-03)
治疗方案:FOLFIRI+贝伐珠单抗化疗*12周期。
毒副反应:I°-II°粒细胞减少(予以粒细胞刺激因子对症处理)。
疗效评估:SD
影像学评估:
图14、一线治疗期间影像学评估:左(2018-10-22)、中(2018-12-26)、右(2019-03-26)
图15、一线治疗期间肿瘤标志物变化
一线维持治疗方案:卡培他滨+贝伐珠单抗(2019-04至2019-11)
毒副反应:I°粒细胞减少,I°手足皮肤反应(予以粒细胞刺激因子、维生素B6对症处理)。

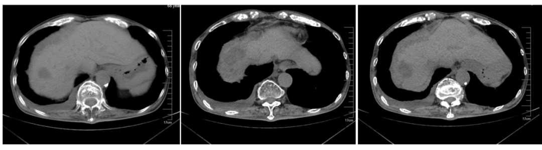
图16、一线维持治疗期间,疾病进展:左(2019-07-26)、右(2019-12-20)
第三阶段:二线治疗(2019-12至2020-10)
治疗方案:FOLFOX+贝伐珠单抗*12周期。
毒副反应:I°-II°粒细胞减少,I°神经毒性(予以粒细胞刺激因子、甲钴胺片对症处理)。
最佳疗效:SD
图17、二线治疗期间,疾病稳定:左(2020-04-08)、中(2020-06-19)、右(2020-08-21)
疾病进展:2020年10月,患者自觉左上颚肿块,口腔CT提示:左上颚软组织肿块(38mm),邻近左上颌骨骨质破坏伴软组织肿块,考虑转移瘤(MT)。
图18、左上颚肿块(2020-10-22)
图19、口腔增强CT(2020-10-22)
口腔活检病理:左上颚软组织肿块穿刺活检术,恶性肿瘤,结合病史,考虑结肠癌转移。
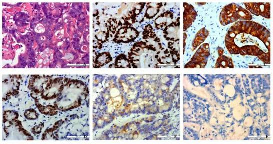
图20、原发灶病理切片(2014):A、HE染色;B、CDX-2阳性;C、COX阳性;D、Ki67 20%阳性;E、MLH1阳性;F、MSH2 阳性

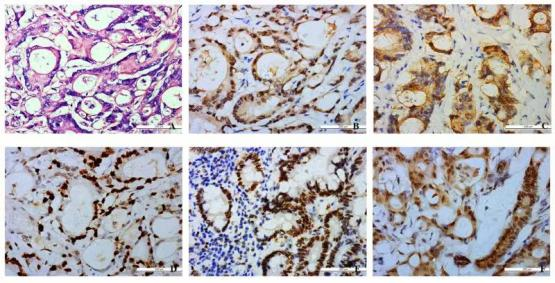
图21、口腔转移灶切片(2020):A、HE染色;B、CDX-2阳性;C、CK20阳性;D、P53/ target=_blank class=infotextkey>P53++;E、CK7弱阳性;F、HER-2阴性
第四阶段:三线呋喹替尼治疗(2020-10至2021-08)
治疗方案:呋喹替尼,初始剂量:5mg, qd,d1-21,q4w;最终剂量:3mg, qd,d1-21,q4w。
毒副反应:II°手足皮肤反应。
影像学评估:
图22、呋喹替尼治疗期间,患者肺部转移灶胸部增强CT评估情况:左(2020-10-23)、中(2021-05-27)、右(2021-07-06)

图23、呋喹替尼治疗期间,患者口腔颊黏膜转移灶口腔增强CT评估情况:左(2020-10-23)、中(2021-05-27)、右(2021-07-08)
疾病进展:2021年8月,患者出现咳胸闷,咳嗽。胸部CT提示双肺转移瘤相仿,右侧支气管内多发软组织密度影。

图24、胸部增强CT显示支气管内新增转移病灶:左(2021-07-06)、右(2021-08-31)
第五阶段:四线呋喹替尼联合免疫治疗(2021-10至今2022-05)治疗方案:呋喹替尼 3mg,qd+信迪利单抗200mg,d1,Q3W*7周期。
毒副反应:I°免疫相关性肺炎(密切观察)。
疗效评估:SD
评估:
图25、四线治疗3个月,患者左上颚肿块变化情况:左(2020-10)、右(2022-01)
图26、呋喹替尼联合免疫治疗期间,患者疗效评价SD
病例总结
患者为晚期结肠癌肺转移、口腔颊黏膜转移,既往接受原发病灶切除、一线化疗、二线贝伐珠单抗靶向治疗后疾病持续进展。多线治疗后三线使用呋喹替尼单药、四线应用呋喹替尼联合免疫抑制剂方案,截至2022年5月PFS累计已达18个月,且仍处于疾病稳定状态,定期随访中。

图27、病例小结


























