作者:杨锦 西安国际医学中心医院 指导老师:薛妍 西安国际医学中心医院肿瘤病院副院长 2020年最新数据显示,乳腺癌已成为全球第一大癌,在每年的新发乳腺癌病例中,约3%~10%的患者在确诊时已有远处转移,早期患者中约30%可发展为晚期乳腺癌。如何科学地排兵布阵,为晚期患者制定个体化治疗方案对患者的预后意义重大。本文梳理了一例激素受体阳性晚期乳腺癌患者的诊疗过程,以期为临床实践提供更多思路和建议。
1基本情况:
患者女性,40岁,2018年6月因“左侧乳腺癌术后1年半,肝转移半年”入我院。家族史和个人史无特殊。
2既往外院治疗:
①手术方案:因“发现左侧乳腺包块半年,明显增大1月” 于2015年12月(37岁),在外院行左侧乳腺癌改良根治术。
②术后病理:左侧浸润性乳腺癌,非特殊类型。ER(2+)、PR (+)、HER2(1+),Ki-67(+,20%)、E-Cadherin(++)、 CK5/6(-)、Vimentin(-)。左侧腋窝淋巴结(11/16)查见转移癌。病理分期:pT2N3M0 ⅢC期。
③术后治疗:术后行TEC(多西他赛+表柔比星+环磷酰胺)方案化疗6周期;化疗结束后行胸壁及淋巴结引流区放疗;之后给予托瑞米芬60 mg/日内分泌治疗。
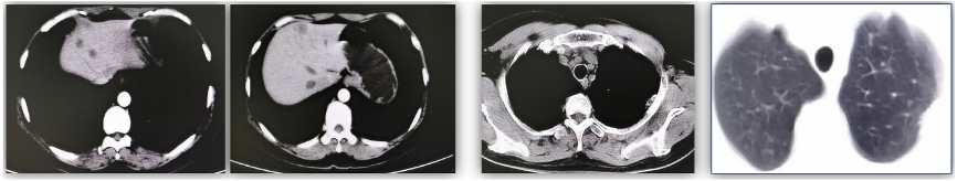
④复发转移:2017年12月(术后2年,内分泌治疗1年半)复查CT提示:左肺上叶尖后段胸膜下病变,转移瘤不除外。肝内多发低密度影,考虑转移。(图1)

图1.2017-12胸腹部CT:肝内多发低密度影,考虑转移。左肺下叶胸膜下病变,转移瘤待排。
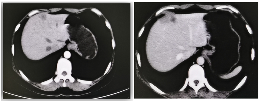
⑤一线治疗:给予GP方案(吉西他滨+顺铂)化疗6周期,左肺胸膜下病变无变化。肝转移灶部分较前增大(图2)。

图2. 肝最大病灶直径1.2 cm(2017年12月,左图),肝最大病灶直径3.8 cm(2018年6月,右图)
3后续我院治疗:
①全面复查:患者就诊我院后,完善全面检查,包括胸腹部CT、全身骨扫描、乳腺及引流淋巴结超声、乳腺肿瘤标志物。结果发现除了肝脏、左肺胸膜下病变之外,患者没有其他部位转移。同时针对转移灶进行活检,目的是明确病变的性质及分子亚型。
②肝穿病理:形态及免疫组化结果符合乳腺癌转移。ER(3+,95%,强着色)、PR (2+,5%,强着色)、HER2(2+,FISH阴性),Ki-67(+,20%)。
③二线治疗:患者肝转移穿刺病理为Luminal B/HER2阴性,无不适症状,肿瘤负荷不大,无内脏危象,所以首选内分泌治疗。
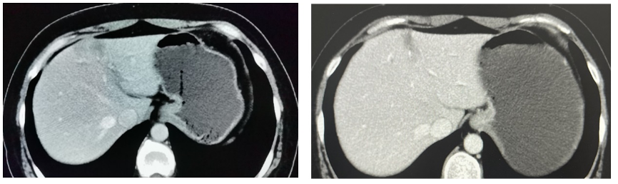
2018年7月至2019年4月:氟维司群(500 mg 肌注 d1、15,以后每28天一次)+戈舍瑞林3.6 mg/月治疗(10个月),定期每3月复查。复查CT肝转移灶缩小,左肺胸膜下病灶无变化(图3)。

图3. 肝最大病灶直径3.8 cm(2018年6月,左图),肝最大病灶直径3.0 cm(2019年4月,右图)
2019年5月至2019年12月,Palbociclib/ target=_blank class=infotextkey>哌柏西利在中国上市后,患者在原来的方案上联合Palbociclib/ target=_blank class=infotextkey>哌柏西利:哌柏西利125 mg/日+氟维司群+戈舍瑞林治疗(8个月),复查肝转移灶再次明显缩小,疗效为部分缓解(PR)(图4)。之后患者因经济原因停用哌柏西利。

图4. 肝最大病灶直径3.0 cm(2019年4月,左图),肝最大病灶直径1.8 cm(2019年12月,右图)
2020年1月至2020年9月继续氟维司群+戈舍瑞林治疗(9个月),每3个月定期复查肝转移灶稳定。
④三线治疗:2012年10月全面复查,腹部CT及MR提示:肝内部分转移灶较前明显增大,最大直径约3.9×1.8 cm(图5)。

图5.2020-10-08复查CT及MR提示:肝内部分转移灶较前明显增大,最大直径约3.9cm。
患者内分泌治疗的无进展生存期(PFS)为27个月,中间有8个月联合CDK4/6抑制剂治疗,肝内病灶缩小明显。建议患者再次使用CDK4/6抑制剂,内分泌药物换成芳香化酶抑制剂(AI),患者因经济原因拒绝。给予白蛋白紫杉醇(200 mg d1、8)化疗6周期,期间每2周期复查一次。CT提示复查肝转移较前缩小,疗效评价为稳定(SD)(图6)。

图6.患者化疗期间肝转移最大病灶变化情况
4目前治疗:
白蛋白紫杉醇化疗6周期后,患者出现2级神经毒性,难以继续接受白蛋白紫杉醇治疗。再次建议患者使用CDK4/6抑制剂联合内分泌治疗。目前方案为阿贝西利150 mg 2次/日,联合阿那曲唑1 mg/日治疗。患者整体治疗耐受性好,生活质量良好。

点评
患者初诊年龄37岁,系HR+/HER2-型乳腺癌,术后分期为ⅢC期(pT2N3M0),在外院行辅助放化疗及托瑞米芬内分泌治疗。托瑞米芬治疗1年半时(术后2年)出现肝内多发转移,外院一线给予GP方案化疗6周期,疾病进展。患者至我科就诊后,先行肝转移灶穿刺活检,仍为HR+/HER2-型乳腺癌。我们给予OFS+氟维司群治疗,中间有8个月联合CDK4/6抑制剂哌柏西利治疗,内分泌治疗的PFS共27个月。肝转移灶再次增大后建议再加用CDK4/6抑制剂,患者因经济原因未选择,给予白蛋白紫杉醇化疗6周期,病情稳定,但出现2级神经毒性,难以继续白蛋白紫杉治疗。和患者再次沟通后,目前给予CDK4/6抑制剂阿贝西利+阿那曲唑治疗,患者治疗耐受性好、生活质量良好。
1复发转移性HR+/HER2-mBC患者的一线治疗,无内脏危象首选内分泌治疗,氟维司群是最强内分泌单药
该患者术后淋巴结转移比较多(N3),分期为ⅢC期,根据TEXT&SOFT联合分析结果,对于淋巴结≥4个、具有高危复发风险的绝经前患者,辅助内分泌治疗选择OFS+AI 更获益。但患者术后仅接受了托瑞米芬治疗,辅助内分泌治疗的强度不够,所以即使在内分泌治疗1年半出现转移,不能仅靠时间就判定为原发内分泌耐药。由于肿瘤的异质性,在出现转移后,应尽量对转移灶进行活检,明确分子分型,给予最佳治疗方案。该患者在发现肝转移后,未行活检穿刺,直接给予GP方案化疗,疗效并不理想。
我们接诊该患者后,首先对肝转移灶进行了穿刺活检,提示仍为HR+/HER2-亚型。 国内外指南一致推荐,对于HR阳性晚期乳腺癌,除非内脏危象或内分泌耐药,应首选内分泌治疗。Global CONFIRM及China CONFIRM[1-2]研究证实在经内分泌治疗[分别有55%和57.5%的患者为Tamoxifen/ target=_blank class=infotextkey>他莫昔芬(TAM)治疗后]的绝经后HR+晚期乳腺癌患者中,氟维司群500 mg的疗效优于250 mg。Ⅱ期的FIRST研究[3]中,完成TAM辅助治疗停药超过1年以上复发的患者,氟维司群优于阿那曲唑,两组中位总生存期(OS)分别为54.1个月和48.4个月(HR=0.70;P=0.04),氟维司群组的疾病进展风险降低了30%。Ⅲ期FALCON研究[4]证实,在未经内分泌治疗的患者中,一线使用氟维司群较阿那曲唑延长了无疾病进展时间,ITT人群中位PFS分别为16.6个月和13.8个月(HR= 0.797;P=0.0486)。尽管该患者在辅助治疗阶段接受过托瑞米芬内分泌治疗,并在治疗1年半时出现转移,但考虑到患者术后分期为ⅢC期,具有高危复发风险,辅助内分泌治疗的强度不够,所以不能仅靠时间就判定为原发内分泌耐药。氟维司群治疗HR+晚期乳腺癌的疗效和安全性均很好,我们选择了氟维司群为基础的内分泌治疗。
2HR+/HER2-mBC:氟维司群联合CDK4/6抑制剂,患者获益更明显
PALOMA-3研究[5]是一项前瞻性、全球、随机、安慰剂对照的III期研究,对比氟维司群联合哌柏西利和氟维司群联合安慰剂治疗既往接受过内分泌治疗进展后的HR+/HER2-晚期乳腺癌。结果显示,氟维司群联合哌柏西利对比氟维司群联合安慰剂组的PFS显著延长,mPFS分别为11.2个月对4.6个月,HR 0.497;95% CI 0.398-0.620,P<0.000001。
目前,HR+/HER2-晚期乳腺癌的治疗已经进入到靶向+内分泌治疗的时代,该患者在最初接受氟维司群治疗时,CDK4/6抑制剂在我国尚未上市。在哌柏西利上市后,我们在氟维司群基础上加用了哌柏西利,患者肝转移灶明显缩小,疗效达到PR,尽管治疗期间患者因经济原因停药,但整体内分泌治疗的维持时间很久,一线内分泌治疗的PFS共计27个月。多项前瞻性随机临床研究和真实世界研究已经肯定了“CDK4/6抑制剂+内分泌治疗”的安全性和有效性,CDK4/6抑制剂联合氟维司群也已经成为HR+/HER2-晚期乳腺癌患者的标准治疗选择之一。
参考文献
1.Di Leo Angelo,Jerusalem Guy,Petruzelka Lubos et al. Final overall survival: fulvestrant 500 mg vs 250 mg in the randomized CONFIRM trial.[J] .J. Natl. Cancer Inst., 2014, 106: djt337.
2.Zhang Qingyuan,Shao Zhimin,Shen Kunwei et al. Fulvestrant 500 mg vs 250 mg in postmenopausal women with estrogen receptor-positive advanced breast cancer: a randomized, double-blind registrational trial in China.[J] .Oncotarget, 2016, 7: 57301-57309.
3.Ellis MJ, Llombart-Cussac A, Feltl D et al. Fulvestrant 500 mg Versus Anastrozole 1 mg for the First-Line Treatment of Advanced Breast Cancer: Overall Survival Analysis From the Phase II FIRST Study. JCO 2015; 33(32):3781–3787.
4.Robertson JFR, Bondarenko IM, Trishkina E et al. Fulvestrant 500 mg versus anastrozole 1 mg for hormone receptor-positive advanced breast cancer (FALCON): an international, randomised, double-blind, phase 3 trial. Lancet 2016; 388(10063):2997–3005.
5.LBA2: Overall survival (OS) with palbociclib plus fulvestrant in women with hormone receptor-positive (HR+), human epidermal growth factor receptor 2- negative (HER2−) advanced breast cancer (ABC): Analyses from PALOMA-3. 2018 ESMO.

























