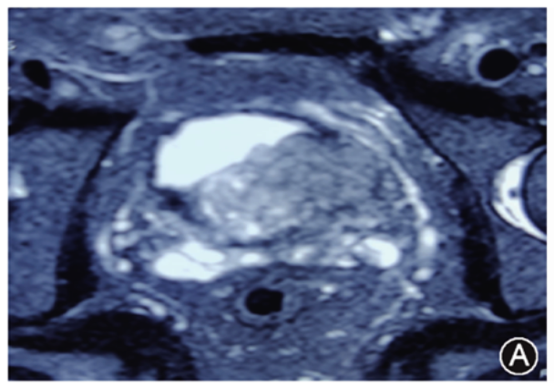
目前,前列腺癌新辅助治疗首选传统内分泌药物,国内关于新型内分泌治疗药物用于新辅助治疗的报道很少。恩扎卢胺是新一代抗雄药物,是选择性雄激素受体抑制剂,能够抑制雄激素受体的过度表达,研究表明恩扎卢胺联合ADT作为新辅助内分泌治疗方案,能降低患者的肿瘤负荷,显著减轻患者的不良反应,提高患者生活质量,降低后续根治手术的难度。今天,通过1例使用恩扎卢胺联合ADT行新辅助内分泌治疗的病例,跟随王志平教授探讨恩扎卢胺作为新辅助方案治疗前列腺癌的可行性。 专家介绍 王志平,主任医师、教授、博导。 擅长泌尿系肿瘤、前列腺疾病、男科疾病和泌尿外科疑难疾病的诊治,泌尿外科疾病的腹腔镜和微创手术治疗。目前担任甘肃省泌尿系疾病研究重点实验室主任(兼职)、泌尿系统疾病转化医学研究与应用甘肃省国际科技合作基地主任(兼职),享受国务院特殊津贴专家、国家卫生部有突出贡献的中青年专家。甘肃省领军人才。担任中国泌尿外科医师学会常委、亚洲男科学会常委、中国中西医结合学会泌尿外科专业委员会常委、中华泌尿外科学会委员、国家自然科学基金项目评审专家、中华泌尿外科杂志编委、中华男科学杂志编委。1998年获吴阶平泌尿外科医学奖。曾承担主持国家863、国家科技支撑计划项目、国家自然科学基金项目十余 项。发表学术论文500余篇,SCI收录刊物136篇,获省部级一等奖2项,二等奖5项。获得国家专利10余项。 病例介绍 患者,63岁。因排尿困难1个月,发现前列腺占位4d于2020年7月13日入院。入院前1个月出现排尿困难。PSA 53.50ng/mm。盆腔MRI检查示前列腺癌病灶突破左侧包膜,左侧精囊腺受侵,膀胱壁受侵;盆腔左侧考虑肿大淋巴结;右侧髂后上棘骨质异常,考虑肿瘤骨转移(图1A)。骨扫描检查:左侧第8肋后支放射性局限增高。查体:直肠指诊可触及前列腺结节,质硬,表面不光滑。可触及既往体健,无家族性肿瘤病史。 2020年7月15日行前列腺穿刺活检,病理示前列腺腺癌,Gleason评分4+4=8分,分期T4bN1M1期。2020年7月21日患者采用戈舍瑞林(ADT)联合恩扎卢胺治疗。2020年8月20日患者睾酮降至2.700ng/dl,PSA 1.20ng/ml。2020年10月28日患者睾酮降至6.890ng/dl, PSA 0.019ng/ml。复查前列腺MRI:前列腺肿瘤内分泌治疗后改变,中央带偏右侧及左侧外周带内信号不均并多发结节影;与治疗前比较,前列腺肿瘤病灶体积缩小,左侧精囊腺大小、形态恢复正常,盆腔结构未见异常(图1B、C)。复查骨扫描:肿瘤骨转移待排。 图1前列腺癌患者新辅助治疗前后盆腔核磁 A.新辅助治疗前T2WI轴位,前列腺癌病灶突破左侧包膜,左侧精囊腺受侵,膀胱壁受侵;盆腔左侧考虑肿大淋巴结;B~C.新辅助治疗3个月T1增强轴位(图B)、T2WI矢状位(图C)MRI,前列腺肿瘤内分泌治疗后改变,中央带偏右侧及左侧外周带内信号不均并多发结节影,较前病灶体积缩小,左侧精囊腺大小、形态恢复正常,盆腔结构未见异常。 患者于2020年11月24日行 PSMA PET-CT检查:前列腺大小正常,未见明显68Ga-PSMA摄取增高,考虑前列腺癌治疗后改变,骨骼未见68Ga-PSMA摄取异常增高(图2)。患者自诉排尿困难症状显著改善。2021年1月7日,患者在全麻下行机器人辅助腹腔镜根治性前列腺切除术,术后病理提示:前列腺癌内分泌治疗后癌细胞退变,切缘未见癌,双侧前列腺外精囊腺及双侧输精管断端未见癌,盆腔淋巴结未见转移癌。2021年2月18日 PSA<0.006 ng/ml。患者术后继续使用戈舍瑞林联合恩扎卢胺治疗。术后规律复查,术后随访8个月,血PSA持续控制在<0.006 ng/ml,前列腺核磁和全身骨扫描均未提示疾病进展。患者病情平稳,一般状态良好,无尿频、尿急,无排尿困难,未见明显不良反应,ECOG评分为0分。 图2 前列腺癌患者新辅助治疗4个月(2020-11-24)PSMA PET-CT检查:前列腺大小正常,未见明显68Ga-PSMA摄取增高,骨骼未见68Ga-PSMA摄取异常增高 讨论 前列腺癌早期通常无明显临床症状,国内多中心研究资料提示接近2/3的初诊患者确诊时已为中晚期,丧失根治手术的机会,且死亡率高、预后差,而内分泌治疗成为前列腺癌患者延长寿命的经典治疗方法。前列腺癌为激素依赖性肿瘤,对早期出现转移的肿瘤行内分泌治疗能缩小肿瘤体积,控制肿瘤进展。因此,学者们提出根治性前列腺切除术前行新辅助内分泌治疗,以降低临床分期、降低切口阳性率、减小肿瘤体积、降低肿瘤负荷并抑制潜在转移的发生,最终达到行根治性手术彻底切除肿瘤、提高治愈率、降低复发风险的目的[1]。研究结果表明新辅助内分泌治疗可以使部分激素敏感转移性前列腺癌(mHSPC)患者由不可手术状态转变为可手术状态,且降低切口阳性率,提高患者的生存率和预后。因此,如何选用有效的内分泌治疗使mHSPC患者最大可能获得手术机会,降低手术难度,并延长患者由mHSPC阶段进展至CRPC阶段的时间,在前列腺癌的治疗中极为重要。 目前虽然有很多关于前列腺癌内分泌治疗的研究,但这些研究大多聚焦于前列腺癌去势抵抗阶段的研究,对mHSPC阶段的内分泌治疗停留在使用第一代抗雄药物比卡鲁胺和雄激素合成抑制剂阿比特龙上。而关于第二代抗雄药物作为内分泌治疗药物对mHSPC患者的疗效尤其是在mHSPC新辅助治疗中的作用,国内外很少有报道。恩扎卢胺是新一代抗雄药物,是选择性雄激素受体抑制剂,能够抑制雄激素受体的过度表达,在临床试验中能显著延长患者的总生存期,缩小前列腺体积,降低患者PSA水平,提高患者生存率,且安全性良好[2]。Scher等[3]的研究结果显示,第一代抗雄药物在AR高表达细胞中产生耐药性的同时,会导致患者肿瘤体积增大,临床分期进展,加速患者由mHSPC阶段向CRPC阶段发展。因此,前列腺癌新辅助治疗不推荐使用第一代抗雄药物。相比第一代抗雄药物,恩扎卢胺与雄激素竞争性结合雄激素受体配体结合域(AR-LBD),阻断体内雄激素的作用,但其与AR-LBD的亲和力约为比卡鲁胺的5倍;且恩扎卢胺对AR的激活作用弱于比卡鲁胺,恩扎卢胺与AR结合后,核内AR仅为比卡鲁胺的1/5;此外恩扎卢胺还具有抑制AR受体核移位的能力。恩扎卢胺还可诱导前列腺癌细胞中核苷酸多聚酶的解体, 诱导肿瘤细胞凋亡,而比卡鲁胺则不具有此作用。因此,与传统的新辅助内分泌治疗方案相比,恩扎卢胺不仅能使mHSPC患者肿瘤临床分期降期,获得手术机会,更重要的是能延长患者的无症状生存期和总生存期。2020 欧洲泌尿外科学会(EAU)指南强烈推荐初诊转移性前列腺癌患者使用恩扎卢胺联合ADT治疗,国际最新指南强烈推荐在初诊的mHSPC患者中使用恩扎卢胺联合ADT治疗,证据等级为A级,且有大量的临床证据表明长期使用第一代抗雄药物对初诊mHSPC患者的疗效低于恩扎卢胺[4]。恩扎卢胺为高危前列腺癌患者提供了可选择的治疗方案,而国内关于恩扎卢胺在mHSPC新辅助治疗中应用的报道极少,急需恩扎卢胺对中国mHSPC患者的最佳治疗手段的临床研究。 在过去5年间,mHSPC的治疗选择迅速变化,根据患者病情特点以及疾病进展风险的差异,医生应该选择个体化的综合治疗有效延长患者生命并改善生活质量。尽管患者存在个体差异且mHSPC治疗方案存在多样性,但治疗方案都是以ADT治疗为基础,联合恩扎卢胺等新型内分泌治疗药物可以延长有效治疗时间和总生存时间[5]。既往学者认为局部晚期mHSPC患者丧失了根治性手术的机会,目前有研究结果表明新辅助内分泌治疗对局部晚期mHSPC患者有显著的临床获益,能显著降低雄激素水平、缩小前列腺肿瘤病灶体积、降低肿瘤临床分期,使不能手术的患者获得根治手术的机会,还能显著改善前列腺癌的病理特征(如切缘阳性率和盆腔淋巴结阳性率等),提高患者无病生存率,增加患者的获益。较多研究结果表明,新辅助内分泌治疗能降低肿瘤临床分期和手术切缘阳性率, 缩小前列腺体积,降低手术难度,使原本无法手术切除的肿瘤获得根治性手术的机会。与单用ADT相比,ADT联合恩扎卢胺作为mHSPC患者的新辅助内分泌治疗方案不仅能够创造手术机会和提高手术疗效,且患者完全病理应答率更高,不良反应更少,预后更好。恩扎卢胺还能显著延长患者的生存期,ARCHES试验结果表明,相比单用ADT,ADT+恩扎卢胺能降低mHSPC患者61%的放射学进展或死亡风险[6]。2019年公布的ENZAMET试验结果同样证实恩扎卢胺联合ADT能显著改善mHSPC患者的影像学无进展生存期和总生存期,使患者死亡风险降低33%[7]。Wu 等[8]研究发现早期使用恩扎卢胺能最大限度延缓肿瘤转移的进展时间、使用后续抗肿瘤药的时间和PSA进展时间,并减轻癌症相关症状,降低肿瘤负荷,延长总生存期。前列腺癌病情进展缓慢,患者可长期带瘤生存,但晚期肿瘤体积增大压迫浸润邻近器官,导致尿道梗阻、骨痛等症状,因此在控制疾病进展的同时,也要最大限度提高患者生活质量。Hong等[9]发现恩扎卢胺联合ADT作为新辅助内分泌治疗方案,能降低患者的肿瘤负荷,显著减轻患者的不良反应,提高患者生活质量,降低后续根治手术的难度。Naiki等[10]证实与未接受新辅助治疗的患者相比,行新辅助治疗的患者根治性手术的切缘率明显降低,PSA复发率更低;且新辅助治疗并未增加根治性手术的手术难度,行新辅助治疗的患者术中失血量、手术时间、手术并发症等与未行新辅助治疗的患者无差异。 总结 本例患者初诊采用恩扎卢胺联合ADT治疗6个月,前列腺病灶体积明显缩小,精囊、膀胱侵袭征象消失,肿瘤临床分期降低,临床症状较前明显好转,PSA指标较前明显降低,未出现明显的不良反应,后患者行机器人辅助腹腔镜根治性前列腺切除术,手术过程顺利,术后患者恢复良好,术后排尿困难症状基本消失,无尿失禁,无其他特殊不适,生活质量显著提高。恩扎卢胺对该患者有良好的疗效和较高的安全性,然而该例随访时间较短,其对mHSPC患者的疗效尚需要大样本、多中心研究进一步探索。 参考文献: [1]那彦群,叶章群,孙颖浩,等.中国泌尿外科疾病诊断治疗指南[M].北京:人民卫生出版社,2014:72-74. [2] Yuan F, Hankey W, Wu D, et al. Molecular determinants for enzalutamide-induced transcription in prostate cancer[J]. Nucleic Acids Res, 2019,47:10104-10114. DOI: 10.1093/nar/gkz790. [3] Scher HI, Fizazi K, Saad F, et al. Increased survival with enzalutamide in prostate cancer after chemotherapy[J]. N Engl J Med, 2012,367:1187-97. DOI: 10.1056/NEJMoa1207506. [4] Annala M, Vandekerkhove G, Khalaf D, et al. Circulating tumor DNA genomics cORRelate with resistance to abiraterone and enzalutamide in prostate cancer[J]. Cancer Discov, 2018,8:444-457. DOI: 10.1158/2159-8290. [5] 林国文, 戴波, 叶定伟, 等. 转移性激素敏感性前列腺癌综合治疗一例报告并文献复习 [J] . 中华泌尿外科杂志, 2021, 42(Z1) : 54-58. DOI: 10.3760/cma.j.cn112330-20210408-00014. [6] Yin M, Vinh-Hung V, Verschraegen C. Enzalutamide in metastatic prostate cancer[J]. N Engl J Med, 2019,381:1493-1494. DOI: 10.1056/NEJMc1910553. [7] Kelsey R. Prostate cancer: Enzalutamide-cabazitaxel interactions[J]. Nat Rev Urol, 2018,15:69. DOI: 10.1038/nrurol.2017.212. [8] Wu H, You L, Li Y, et al. Loss of a negative feedback loop between IRF8 and AR promotes prostate cancer growth and enzalutamide resistance[J]. Cancer Res, 2020,80:2927-2939. DOI: 10.1158/0008-5472. [9] Hong JH. Pharmacokinetic/pharmacodynamic drug evaluation of enzalutamide for treating prostate cancer[J]. Expert Opin Drug Metab Toxicol, 2018,14:361-369. DOI: 10.1080/17425255.2018.1440288. [10] NaikiT, Kawai N, Okamura T, et al. Neoadjuvant hormonal therapy is a feasible option in laparoscopic radical prostatectomy [J]. BMCU rol, 2012, 12:36. DOI:10.186/1471-2490-12-36.




























