股神巴菲特、传媒大亨默多克、香港知名演员罗家英,以及已故的台湾作家李敖,他们都患有同一种疾病——前列腺癌。
PSA(prostate specific antigen),前列腺特异性抗原,筛查前列腺癌的重要指标之一。体检查出PSA升高意味着什么?到底是不是前列腺癌?如何预防前列腺癌?
本期主题:PSA与前列腺癌
同样是PSA>10
一个是癌,一个只是炎症
先看两份PSA的化验报告↓↓↓
(图1)

(图2)
这两份检测结果极其相近的化验报告,背后却是两个截然不同的故事。
54岁的李先生(化名),是个企业家,梁院长清晰地记得李先生就诊时的情景,“那天早上我还在来医院的路上,他(李先生)电话就过来了,语气有点紧张。”
电话中梁院长得知,最近三个月,李先生一直被尿频、尿急困扰,但因为身体没有其他的不适,就没放心上。那天清晨他像往常一样起来小便,不一样的是,这次小便池里出现了滴血。
虽然不多,但清晰可见,这可把李先生吓坏了,马上上网查资料。结果越查越慌,因为所有的资料都显示,这可能是泌尿系统肿瘤(如前列腺癌)的信号。为此,一大早就打了个电话给梁院长。
当天下午,李先生驱车3小时从外地赶到康大夫国际医院做检查。结果提示,他的FPSA(游离前列腺特异抗原)、TPSA(总前列腺特异抗原),以及FPSA/TPSA(比值)都不在参考范围内,其中,TPSA超出正常范围近3倍(见图1)。临床上,当TPSA>10ng/ml 时则高度怀疑前腺癌的可能性,且PSA值的升高与前列腺癌的恶性程度呈正相关。
难道真的是前列腺癌?
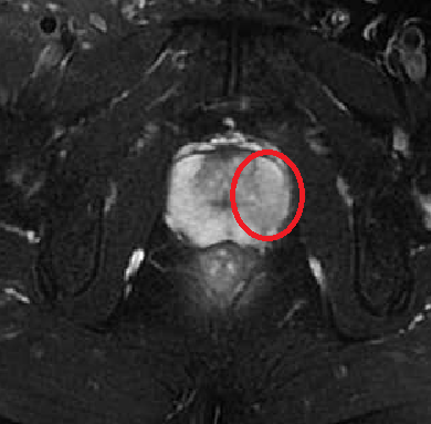
为进一步诊断,李先生又做了前列腺B超、前列腺磁共振增强等相关检查,结果提示炎症考虑,建议观察随访。

(李先生的磁共振影像)
然而,李先生还是不放心,先后杭州、上海跑了数家医院,最后决定做个穿刺。直到穿刺结果呈阴性,他悬着的心才落了地。后来,他在专科医生的指导下吃了些消炎药,再复查PSA,结果恢复了正常,证实了他的PSA升高确实与炎症有关。
76岁的陈大伯(化名)却因PSA升高查出前列腺癌。
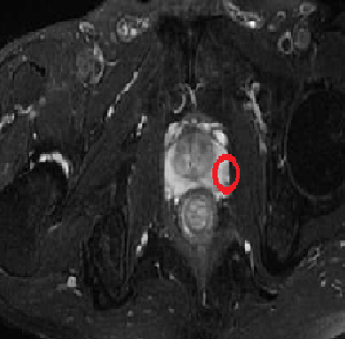
陈大伯,中等身材,早在十多年前,就出现了尿频、尿急、小便不畅等症状,但一家人都误以为与年纪有关,加上老人不喜欢上医院,大家就都没放心上。直到他来到医院体检,查出血清TPSA高达12.16(见图2),前列腺B超、磁共振均提示前列腺癌考虑。

(陈大伯的磁共振影像,术后病理证实为前列腺癌)
好在,陈大伯发现的还算及时,属于临床局限型前列腺癌。目前,陈大伯一切恢复良好,术后复查PSA,结果都在参考范围内。
虽然PSA升高≠前列腺癌但可以早期发现前列腺癌
前列腺像个倒着的板栗,上面贴着膀胱,后面挨着直肠,尿道和输精管都从这里穿过,又像个关卡,只要它“不同意”,尿液和精液一个都出不去。
保护好前列腺是男人的头等大事!

(前列腺位置示意图)
PSA是一种只有前列腺才有的蛋白,具有器官特异性,且正常情况下血液里PSA的含量极少。在常规PSA检测化验报告单中,共有三个指标:TPSA、FPSA及FPSA/TPSA比值。
“这是因为PSA在血中主要以游离、与其他血清蛋白结合两种形式存在。TPSA表示血清总PSA,FPSA指的是游离在血浆中不被结合的PSA。”康大夫国际医院检验科主任程前光说,但引起 PSA升高的因素,除了恶性肿瘤外,还包括良性前列腺增生、前列腺炎、 运动、射精、尿路感染、遗传等因素,还有部分人的值就是略高于参考范围的。
也正因为良性疾病也会导致PSA升高,而FPSA浓度在癌症患者中明显低于良性增生患者,因此,临床上常用FPSA/TPSA比值来辅助鉴别前列腺癌和良性前列腺疾病,若比值<0.15,考虑前列腺癌的可能性高。
此时,需要做进一步检查,包括直肠指检、前列腺B超、前列腺磁共振平扫+增强。
“查出PSA升高不用过于紧张。一般来说,若TPSA只超出参考范围一点点(1-2倍),但没有临床症状,其他项目检查结果都正常的话,建议一个月后去同一家医院复查。若复查结果正常,就没有大问题,若持续升高,要及时咨询专科医生。”程主任说,若TPSA值>10,且FPSA/TPSA比值<0.15,建议结合影像学检查。
程主任还提醒,由于PSA容易受到多种因素的干扰,做PSA检查前要注意以下几点:
1.需要空腹12小时以后抽血化验PSA值。
2.检查前应禁欲48小时,敏感人群要禁欲3-5天,以避免射精引起PSA值变化。
3.检查前一天要避免剧烈运动,特别是骑自行车。
要特别提醒的是,若TPSA每年都在升高,哪怕每年只升高0.5ng/ml(同一家医院的检验数据) 也要引起警惕,可能是前列腺癌的信号。

(前列腺癌突破屏障释放PAS进入血管内示意图)
预防前列腺癌要避免久坐,少憋尿
有条件者可以从35岁开始筛查
据统计,在美国接近81%的新发前列腺癌者为临床局限型前列腺癌,他们接受标准治疗后,5年生存率接近90%,但我国新发的病例中只有30%为临床局限型,大都以局部晚期或广泛转移者为主。
上述情况很大原因在于早发现、早诊断、早治疗,前列腺癌是一种可以通过筛查早期发现的癌症。检查的方法有很多,临床常用的有以下几种(见表格)↓↓↓

最后,预防前列腺癌日常生活中应注意避免久坐,不要憋尿;规律作息,坚持运动;饮食清淡,少吃辛辣刺激的食物;多喝水,每天至少要喝1500-2000毫升的水;戒烟限酒;性生活规律,避免过度。
来源:康大夫国际健康管理中心
文:葛丹娣








































