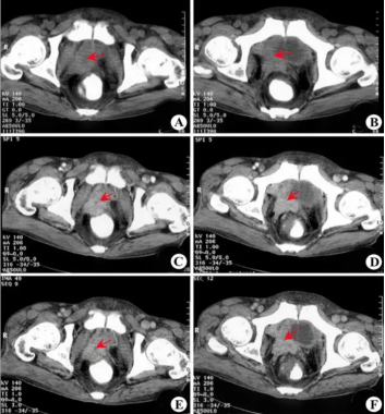
前列腺癌是对男性健康威胁很大的前列腺疾病。前列腺癌临床特点是发病隐匿,缺乏早期特异症状,这导致很多病例直至中晚期才被发现。目前,我国大概70%的前列腺癌初次诊断时即已是中晚期病例,因此想要更好地防治前列腺癌,早期筛查就显得尤为关键。 前列腺形如板栗,从上到下分为底部、体部和尖部,横断面上分为外周区、中央区、移行区、尿道外周腺体区。前列腺包膜由纤维肌肉部分包绕而成,周围有血管神经束。95%前列腺癌属于腺癌,起源于前列腺导管腺泡,70%位于外周区、25%位于移行区、5%位于中央区。85%前列腺癌为多灶起源。大多数前列腺癌生长缓慢,早期诊断并积极治疗对患者至关重要。 图1 正常的前列腺图 国内由于普遍检查较晚,前列腺癌发生后,将近有30%的患者初诊时可能已发生远处转移。如果发生远处转移,较没有发生远处转移的患者,行根治性切除后,预后明显更差。 图2 正常病态前列腺对比图 前列腺疾病的诊断一直以来是影像学研究的重点,目前前列腺影像学检查手段有MRI、CT和经直肠超声(TRUS)引导的系统穿刺活检。 其中CT检查在前列腺疾病方面有一定的局限性,尤其是常规CT很难显示前列腺内部的病灶,仅能显示进展期肿瘤以及周围侵犯情况。 图3 CT平扫(A/B);CT增强(C/D/E/F) 超声检查的诊断能发现部分低回声病灶,在历年的前列腺癌欧洲指南中,经直肠超声检查发现的可疑区域仅被认为是前列腺系统穿刺的补充,并不能将其取代。TRUS的敏感度低可能与前列腺癌多灶、散发的病理特点以及超声表现缺乏特异性等因素有关;且TRUS引导的系统穿刺具有一定的盲目性和随机性,对位于前列腺尖部、前面、侧面的病灶很难评估,且其作为一项有创检查存在术后感染、出血等并发症。 多参数磁共振成像(MRI)因具有无创、软组织分辨率高、反映组织器官功能学及生化代谢改变等优势,并可以引导前列腺靶向穿刺活检,使其在诊断和评估前列腺癌时表现出较高的应用价值。采用磁共振阳性率可高达90%以上,或诊断特异性和敏感性可能高达90%以上。患了前列腺疾病的患者是可以进行核磁共振的,核磁共振这种检查方法是安全的,而且对身体的影响不是特别大。 某患者因排尿困难就诊,核磁初步检查后,前列腺增大,形态不规则,在DWI上呈弥散受限,考虑肿瘤可能性大。医生建议进一步MR增强检查,增强MRI检查后考虑前列腺癌,患者术后证实MRI检查的诊断准确性。 图4 MRI平扫—多参数成像 图5 DWI图像弥散受限 异常增大的前列腺,增强之后强化明显 图5 MRI增强检查 由此可见对于前列腺患者来说,适宜选择核磁共振检查,它是一种非常先进的设备,对人体大脑以及身体的各个部位进行检查,而且根据核磁共振的结果,可以有效的检查出前列腺的分布,以及是不是有癌,还可以根据数据的参数,对前列腺疾病对症治疗。 磁共振成像(MRI)已经公认为诊断前列腺病变的有效方法,在常规成像的基础上结合动态增强扫描,对区别前列腺病变的性质发挥重要作用。希望前列腺疾病患者一定要做各项检查,尤其是MRI检查,以免误诊或漏诊,这样才能更好地保护我们的生命之源。











































