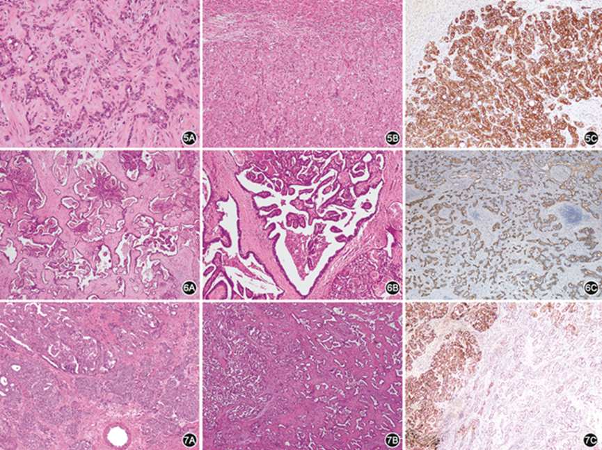
作者:《肝内胆管癌病理诊断专家共识(2022版)》编写专家委员会 执笔人: 王瀚(海军军医大学东方肝胆外科医院病理科,上海 200438) 陈骏(南京大学 医学院附属鼓楼医院病理科,南京 210008) 张欣(复旦大学附属中山医院病理科,上海 200032) 盛霞(复旦大学附属中山医院闵行分院病理科,上海 201199) 来源:中华病理学杂志, 2022,51(9) : 819-827. DOI: 10.3760/cma.j.cn112151-20220517-00423 摘要 肝内胆管系统是由衬覆的胆管上皮细胞及其所属胆管周腺体所构成,经逐级分支形成大胆管群(区胆管-段胆管)和小胆管群(赫令管-小叶间胆管-隔胆管),据此可将肝内胆管癌(intrahepatic cholangiocarcinoma,ICC)相应地分为大胆管型和小胆管型以及细胆管癌和伴胆管板畸形型等特殊组织学亚型。由于不同组织学亚型的ICC在细胞形态、组织结构、生长方式、侵袭行为、免疫表型、分子变异以及临床预后等方面既有差异,又有重叠,因而ICC的组织学分型是常规病理诊断中的重点和难点。为此,《肝内胆管癌病理诊断专家共识(2022版)》编写专家委员会在第5版WHO消化系统肿瘤分类的基础上,针对组织学分型诊断标准、免疫组织化学谱组合策略、需要鉴别诊断的变异类型、治疗性靶点的分子检测以及病理诊断报告要点等问题,提出了9条推荐建议,以期为ICC的规范化和精细化病理分型诊断提供参考。 正文 肝内胆管癌(intrahepatic cholangiocarcinoma,ICC)是指肝内二级胆管至肝内最小胆管分支的衬覆上皮及其胆管周腺体发生的恶性肿瘤,并表达胆管细胞标志物。ICC占原发性肝癌的10%~20%,占胆管癌的20%~30%。中国的一项研究显示,在经病理诊断的26 684例手术切除的肝脏原发性恶性肿瘤中,肝细胞癌和ICC分别占90.2%和8.2%。中国ICC的年龄标准化发病率在2006至2015年无显著增加(2.0/10万~2.2/10万),但同期65岁以上的患者有显著增加(3.4/10万~4.5/10万)。ICC恶性程度高,术后5年总生存率一般不超过50%。 ICC的临床和病理特点与肝外胆管癌明显不同,以往由于组织学分型不统一和亚型诊断标准不明确,未能形成精细化的分型诊断模式。近10年来,ICC的组织学亚型诊断取得显著进展,许多成果被第5版WHO消化系统肿瘤分类采纳。因而,适时推出ICC组织学亚型病理诊断共识,有助于规范ICC病理诊断方式,为临床个体化治疗提供精细化的病理学依据。 为此,我国肝脏病理、临床和基础学科的40余位专家,在细化WHO分类的基础上,共同制定《肝内胆管癌病理诊断专家共识(2022版)》。本共识采用改良的GRADE循证医学证据等级评价和推荐意见分级系统,将证据等级分为1~5级,将推荐强度分为强(A)、中(B)、弱(C)3级。 一、肝内胆管系统的结构和异质性特点 ICC起源于肝内各级胆管的衬覆上皮、胆管周腺体以及存在于赫令管的干细胞/肝脏前体细胞,肝细胞也可以演变为ICC。肝内胆管依其管径由小到大,可分为小胆管群(赫令管-小叶间胆管-隔胆管,<300 μm)和大胆管群(区胆管-段胆管,300~800 μm;图1),由此构成了小胆管型和大胆管型ICC组织学分型的解剖学基础。不同组织学亚型的ICC在细胞起源、组织结构、免疫表型和分子变异等方面具有高度异质性。如ICC除表达细胞角蛋白(CK)19等胆管细胞标志物,还可表达CD56等干细胞类标志物。 图1 肝内胆管系统结构特点示意图 胆管细胞也具有形态学和免疫表型上的多样性。如上皮细胞膜抗原(EMA)免疫组织化学染色时,较小的小叶间胆管表现出与赫令管染色模式相似的腺管腔缘面细胞膜阳性,而中等大小的小叶间胆管则会出现与隔胆管及以上大胆管染色模式相似的细胞质阳性。此外,隔胆管在肝脏大体标本上并不可见,但从这一级胆管开始逐渐出现柱状细胞、黏液分泌细胞和胆管周腺体。因此,在ICC组织学分型诊断时需要考虑到胆管细胞的异质性特点。 推荐1:肝内胆管系统中小胆管群(赫令管-小叶间胆管-隔胆管)和大胆管群(区胆管-段胆管)的组织学和解剖学特点,是小胆管型和大胆管型ICC组织学亚型分类的组织和解剖学基础,也是在病理诊断中认识和把握ICC组织学亚型特征的基本依据(证据等级2,推荐等级A)。 二、ICC的大体类型 1.肿块型:以肝脏的外周区域发生多见,为肝实质内灰白色结节状实性肿块,边界较清(图2A),周围肝组织或正常,或伴有慢性病毒性肝炎及肝硬化,为小胆管型ICC的常见类型。 2.管周浸润型:以近肝门区的大胆管发生多见,肿瘤沿胆管壁纵向浸润性生长(图2B),可伴有肝内胆管结石、硬化性胆管炎和胆道寄生虫等病变,为大胆管型ICC的常见类型。 3.混合型(肿块型+管周浸润型):肿瘤沿胆管壁生长的同时,穿破胆管壁侵犯周围肝实质,形成内部包埋有残留胆管腔的结节状肿块(图2C),为大胆管型ICC的常见类型。据报道,与肿块型ICC相比,管周浸润型和混合型ICC的死亡风险增加45%,混合型ICC更易出现门静脉侵犯、胆道侵犯或淋巴结转移,也有学者认为,ICC的大体类型与术后总生存率和无转移生存率无显著相关性。 以往报道的管内生长型ICC与胆管内乳头状肿瘤的形态特点相似,国际抗癌联盟不再将其作为ICC的一种生长模式,WHO分类将其归为胆管内乳头状肿瘤伴相关浸润癌。 三、ICC的大体标本取材 1. 手术医师应在病理检查申请单上注明肿瘤所在肝叶和肝段的部位,这对于诊断肿瘤是来自肝内还是肝外胆管十分重要;对胆管及手术切缘可用染料染色或手术缝线做好标记以便准确取材。ICC的淋巴结转移发生率为30%~60%,其中肝十二指肠韧带、肝总动脉和胰腺后方等区域淋巴结易受累及。对送检淋巴结及游离病灶的部位和数目应单独标明。 2. 对肿块型和混合型ICC标本取材时,推荐采用7点基线取材。微血管侵犯是影响ICC患者手术预后的重要病理因素,微血管侵犯病理分级可参照肝细胞癌。 3. 对管周浸润型ICC标本取材时,注重沿受侵胆管壁纵向剖开,测量受侵胆管的长度、管壁厚度以及肿瘤至切缘的最近距离,对受侵胆管壁与周围肝实质交界处以及胆管切缘取材。 推荐2:ICC的大体类型与组织学亚型有关;对肿块型和混合型ICC采用7点基线取材;对管周浸润型ICC取材时,重点对受侵胆管壁与肝实质交界处以及胆管切缘取材,以检查ICC的侵犯范围以及是否存在癌前病变(证据等级2,推荐等级A)。 四、ICC的组织病理学特点 (一)ICC的病理学概念 ICC几乎都是腺癌(>95%),因而ICC的病理诊断通常是指肝内胆管衬覆上皮和胆管周腺体等细胞来源的腺癌。肝内大胆管也可以发生腺鳞癌、鳞状细胞癌、黏液癌、印戒细胞癌、淋巴上皮瘤样癌(高表达PD-L1,伴EB病毒感染者预后较好)和肉瘤样癌(含多分子靶点)等少见或罕见类型肿瘤,因在发生机制、组织形态、生物学行为以及临床预后等方面有其特殊性,需要专门作出分型诊断。WHO分类不建议使用胆管细胞癌(cholangiocellular carcinoma)的术语指代ICC。 (二)ICC的组织学分型 1.大胆管型ICC:(1)细胞起源:来自肝内大胆管群的衬覆上皮或胆管周腺体,占ICC的41%~59%,血清CA19-9和癌胚抗原水平可有不同程度升高,癌旁可有胆管上皮内瘤变或胆管内乳头状肿瘤等癌前病变。(2)组织特点:类似于肝门部胆管癌,癌细胞立方形或柱状,中-低分化为主,排列成不规则腺管状(图3A),有黏液分泌细胞或管腔内黏液(图3B);间质有显著的促结缔组织增生反应,此与ICC的高侵袭性、对化疗和靶向药物的耐药性有关;常见汇管区、血管、淋巴管、神经侵犯和淋巴结转移。(3)免疫组织化学标志物:S-100P蛋白(图3C)、MUC5AC、MUC6和三叶因子1(TFF1)阳性,黏液染色阳性。但抗体型号的不同会影响表达结果,如S-100P蛋白阳性率为13%~56%或29%~95%不等。(4)代表性分子变异:KRAS基因突变率为15%~30%,此外还可有BRAF、EGFR和ERBB2/HER2等基因突变,是治疗性分子靶点。(5)手术预后:大胆管型和小胆管型ICC相比,术后5年无复发生存率分别为10%和38%,术后5年总生存率分别为20%和60%;免疫组织化学S-100P蛋白染色阳性提示侵袭性强和预后差。 推荐3:大胆管型ICC以立方形或柱状细胞为主,含黏液性胞质,排列成不规则腺管状,纤维间质丰富;肿瘤呈浸润性生长,常有汇管区、血管、淋巴管、神经侵犯和淋巴结转移;免疫组织化学呈S-100P蛋白、MUC5AC、MUC6及TFF1阳性,黏液染色阳性;分子变异以KRAS突变常见;临床预后差于ICC其他亚型(证据等级2,推荐等级A)。 2.小胆管型ICC:(1)细胞起源:来自小叶间胆管或隔胆管,占ICC的41%~58%,胆管错构瘤和胆管腺瘤被认为是其癌前病变。(2)组织特点:癌细胞呈立方形或低柱状,胞质稀少,多呈中-高分化,缺乏黏液分泌细胞,但起源于隔胆管的ICC可以含有黏液分泌细胞,癌组织多排列成密集且较规则的小腺管结构(图4A,4B);肿瘤中央区常有明显的纤维间质,肿瘤周边无包膜,较少侵犯邻近汇管区、血管、淋巴管及神经。此外,还可以表现为分支导管状、分支小梁状、微囊状、筛孔状、乳头状以及实体型等多种变异类型,需要注意鉴别诊断。(3)免疫组织化学标志物:C反应蛋白(CRP)、N-cadherin(图4C)和CD56阳性。有报道S-100P蛋白、TFF1和黏液染色的阳性率分别为51.4%、15.0%和54.1%,此与大胆管型ICC有一定程度的重叠,需要注意鉴别(表1)。(4)代表性分子变异:IDH1/2基因突变和FGFR2基因融合/重排主要发生于小胆管型ICC,也是靶向抑制剂治疗的重要靶点。(5)手术预后:好于大胆管型ICC;IDH1/2突变型的预后好于野生型。 表1 肝内胆管癌组织学亚型病理特点 推荐4:小胆管型ICC以立方形-低柱状细胞为主,多呈密集的小腺管结构,缺乏黏液分泌,但可有多种组织学变异;少有汇管区、血管、淋巴管、神经侵犯及淋巴结转移;免疫组织化学呈CRP、N-cadherin和CD56阳性,黏液染色阴性;代表性分子靶点为IDH1/2突变和FGFR2基因融合/重排;手术预后好于大胆管型ICC(证据等级2,推荐等级A)。 3.小胆管型ICC中的特殊类型:(1)细胆管癌:①细胞起源:来自肝内最小胆管分支的赫令管或细胆管,以及位于此处的干细胞或肝脏前体细胞,占原发性肝癌的0.6%~1.0%,占ICC的13%~40%,这种差异与诊断标准把握的不同有关;多伴有乙型病毒性肝炎等肝病。WHO分类不建议使用细胆管细胞癌(cholangiolocellular carcinoma)的术语指代细胆管癌。②组织特点:形态上类似赫令管或细胆管,管腔直径<15 μm可作为诊断标准之一。癌细胞呈小立方形,核质比高,核卵圆形,胞质淡染,缺乏黏液,异型性小,多呈高分化状态,以在透明变性的胶原纤维间质内呈松散的成角小导管、条索状或分支状排列为特征(图5A),较少侵犯邻近汇管区、血管及淋巴管。需要注意的是,细胆管癌以及小胆管型ICC常可以伴有肝细胞癌样ICC成分,后者由多角形癌细胞构成,胞质丰富嗜酸性,呈梁索状或巢团状排列,类似肝细胞癌(图5B),但表达CK19等胆管细胞标志物(图5C)和EpCAM等干细胞性标志物,不表达肝细胞性标志物,其发生被认为来自肝脏前体细胞或是分化差细胆管癌的表现,在影像学上可类似肝细胞癌,需要与肝细胞癌相鉴别。③免疫组织化学与分子变异:与小胆管型ICC相似。④手术预后:好于小胆管型和大胆管型ICC。(2)胆管板畸形(ductal plate malformation,DPM)型:①细胞起源:为小胆管型ICC中具有DPM样形态的一种少见亚型,其发生是否与DPM有关尚有不同看法;多伴有乙型病毒性肝炎等肝病。②组织特点:肿瘤腺管衬覆单层扁平、小立方形或低柱状上皮,细胞质透亮而稀少,细胞核小而淡染,缺乏黏液分泌细胞,以腺腔呈大小不一的不规则囊状扩张、衬覆上皮向腔内呈息肉样突起为特征(图6A,6B);肿瘤中央区的腺管较大,伴有致密的纤维间质,外周区的腺管较小,周边无包膜,呈浸润性生长,少有血管和淋巴管侵犯以及淋巴结转移。③免疫组织化学与分子变异:与小胆管型ICC相似(图6C)。此外,还可出现ARID1A基因突变和蛋白表达缺失。④手术预后:较少出现复发和转移。 推荐5:细胆管癌由小立方形癌细胞构成,异型性小,呈稀疏分支状排列的小导管状,包埋于透明变性的纤维间质内;免疫组织化学和分子变异类似小胆管型ICC;肿瘤侵袭性较低,手术预后好于大胆管型和小胆管型ICC(证据等级2,推荐等级A)。 推荐6:DPM型ICC由小立方形-低柱状细胞组成,以腺腔呈不规则囊状扩张,腔内含息肉状突起为基本特征;免疫组织化学和分子变异类似小胆管型ICC;肿瘤侵袭性较低,手术预后较好(证据等级2,推荐等级A)。 需要指出的是,ICC有时会混合出现多种组织学亚型成分,并伴有相应的免疫表型改变(图7),是ICC肿瘤内异质性的重要病理学表现,占比可达56.5%,其中以细胆管癌成分占优者预后最好。为客观评估此类ICC的生物学特性,建议以“肿瘤优势成分伴次要成分”的方式进行诊断,并在病理报告中描述每种组织学成分的占比情况(如肝内胆管癌,小胆管型成分占70%,大胆管型成分占30%)。适当选择免疫组织化学谱可解决大部分复杂形态ICC的组织学分型。为此,在设计免疫组织化学标志物组合方案时,建议以“大胆管型+小胆管型”标志物配对组合的模式辅助诊断,首选以“S-100P蛋白+MUC5AC+CRP+N-cadherin”作为免疫组织化学谱,酌情选择MUC6、TFF1、CD56、MUC1及阿辛蓝-过碘酸雪夫(AB-PAS)黏液染色等作为补充,在实际工作中还要不断优化组合。 推荐7:ICC是一种高异质性肿瘤,其组织学亚型与免疫组织化学表型和分子变异之间并非总能精准匹配。应注重建立ICC组织学亚型病理诊断模式,在综合临床特点、大体类型、细胞形态、组织结构、黏液分泌、免疫表型以及分子变异等特点的基础上作出诊断和鉴别诊断;建议选择“大胆管型+小胆管型”标志物配对组合的模式辅助分型诊断(证据等级3,推荐等级C)。 五、ICC的靶向与免疫治疗生物标志物 根据国内和国际胆管癌临床治疗指南推荐,检测ICC靶向和免疫治疗生物标志物(表2),为临床制定靶向抑制剂治疗方案提供参考依据。 推荐8:ICC的临床靶向和免疫治疗研究进展迅速,给靶向抑制剂生物标志物的筛选与检测提出了更高的要求。应重视ICC分子靶点和免疫检查点的筛选、检测与临床疗效研究,并注意结合ICC的组织学分型特点设计相应的检测靶点,为临床提高ICC个体化治疗水平提供必要的分子病理学依据(证据等级2,推荐等级B)。 六、ICC病理诊断要点概要 ICC常规病理诊断以组织学分型诊断为中心;以大胆管型与小胆管型ICC的鉴别诊断为重点;以免疫组织化学标志物的组合应用为分型参考;以ICC的组织分型为靶向和免疫治疗生物标志物检测的选择依据;在病理诊断报告中应体现ICC的主要病理生物学特征,不建议使用“肝内胆管细胞癌”等诊断术语指代肝内胆管癌(附件1:ICC病理诊断报告举例)。 推荐9:在ICC的病理诊断报告中,注重描述与ICC术后复发和转移风险以及临床制定诊疗方案相关的病理特点,包括大体类型、组织亚型、免疫组织化学表型、分化程度、微血管侵犯病理分级、生物学行为、胆管或手术切缘情况、pTNM分期以及肝病背景等重要信息。建议使用病理诊断报告模板,以提高ICC病理诊断的同质化水平(证据等级2,推荐等级B)。 ? + + 编写委员会 中国抗癌协会肝癌专业委员会病理学组 中华医学会病理学分会 中国抗癌协会肿瘤病理专业委员会肝脏病理学组 中华医学会外科学分会肝脏外科学组 中国抗癌协会胆道肿瘤专业委员会 中国抗癌协会临床肿瘤学协作专业委员会 顾问 樊嘉(复旦大学附属中山医院) 陈孝平(华中科技大学同济医学院附属同济医院) 刘允怡(香港中文大学医学院) 编写专家组成员(按医院首字汉语拼音排序): 复旦大学附属中山医院病理科(纪元、张欣)、肝肿瘤内科(叶胜龙)、肝肿瘤外科(施国明、孙惠川、周俭); 复旦大学附属中山医院闵行分院病理科(盛霞); 复旦大学上海医学院解剖与组织胚胎学系(张红旗、张丽红); 福建医科大学孟超肝胆医院病理科(王斌); 海军军医大学东方肝胆外科医院病理科(丛文铭、董辉、王瀚)、肝脏外科(沈锋、杨甲梅)、胆道外科(姜小清)、肝胆内科(胡和平)、肿瘤科(袁振刚); 华中科技大学同济医学院附属同济医院病理科(况东)、肝胆外科(黄志勇); 解放军东部战区总医院秦淮医疗区肿瘤中心(秦叔逵); 解放军联勤保障部队第九〇〇医院病理科(曲利娟); 解放军总医院第五医学中心病理科(赵景民); 解放军总医院第一医学中心病理科(王湛博); 空军军医大学西京医院病理科(李增山); 陆军军医大学第一附属医院病理科(段光杰); 南京大学医学院附属鼓楼医院病理科(陈骏); 清华大学附属北京清华长庚医院病理科(尹洪芳); 四川大学华西医院病理科(鲁昌立)、肝胆外科(文天夫)、临床病理研究所(石毓君); 天津医科大学肿瘤医院病理科(臧凤琳); 浙江大学医学院附属第一医院病理科(滕晓东); 郑州大学第一附属医院病理科(李珊珊); 中国科学技术大学附属第一医院肝脏外科(荚卫东); 中国医科大学附属第一医院病理科(邱雪杉); 中国医学科学院 北京协和医学院 北京协和医院病理科(陈杰、常晓燕、周炜洵); 中国医学科学院肿瘤医院病理科(石素胜); 中山大学附属第三医院病理科(邵春奎); 中山大学肿瘤防治中心病理科(云径平)、肝脏外科(陈敏山) 图片 王瀚(海军军医大学东方肝胆外科医院病理科)、王斌(福建医科大学孟超肝胆医院病理科)、张欣(复旦大学附属中山医院病理科) 绘图 杨乔乔(复旦大学附属中山医院)

























































