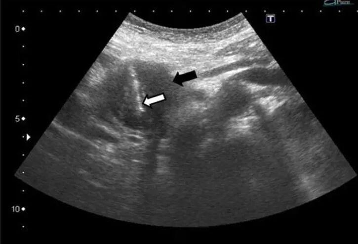
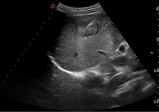
在超声的实时引导下应用穿刺针或活检枪经皮刺入肿块内,获取细胞或组织标本。 ①疾病诊断 明确肿瘤的良恶性、明确肿瘤的组织学来源和分型、鉴别原发肿瘤或转移性肿瘤。 ②指导治疗方案 对取得的标本进行免疫组化、基因检测,指导靶向、免疫或化疗药物选择。 ③肿瘤的局部治疗 通过该技术可将抗肿瘤药物(如溶瘤病毒)直接注射到实体瘤内;囊性的肿瘤也可通过该技术进行穿刺引流减轻压迫症状。 ①创伤小 伤口仅如针孔大小。 ②安全 操作时间短,并发症少,耐受性好。 ③报告准确迅速 现场评价取材满意度,第二天即可获得细胞病理报告。 ④花费低 减轻家庭负担。 ①肝脏占位 ②胰腺占位 ③腹盆腔占位 ④浅表肿块 ⑤肿大淋巴结等 穿刺活检针的针芯外层设计为保护套管,切取肿瘤组织后,套管将肿瘤组织封闭在针芯内,隔离了肿瘤组织和正常组织接触的机会,避免种植转移。



































































