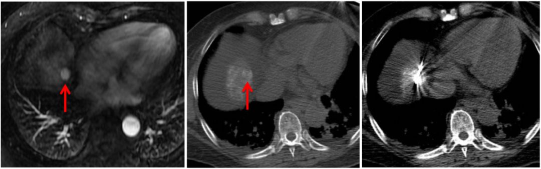
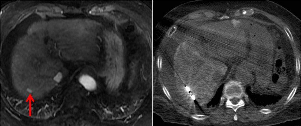
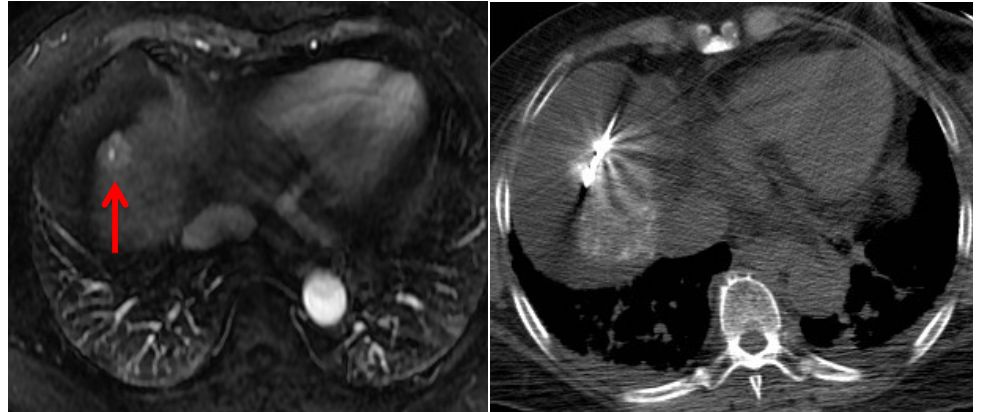
由于肝脏特殊的生理解剖,临近危险器官的特殊部位以及影像显示不清的肝肿瘤,一直是影像引导下经皮消融治疗的难点或“禁区”。 近日,我院放射科介入病房邵海波教授、田玉龙主治医等在麻醉科的大力配合下,为一名复杂的肝癌患者进行了影像引导下的经皮微波消融治疗。手术仅历时1.5小时,术后3天患者即顺利出院。 患者为62岁女性,半年前诊断为原发性肝癌,为肝左叶单发病灶,曾行经导管肝动脉化疗栓塞和微波消融治疗,术后病灶完全灭活。本次入院MRI检查发现新发肿瘤,肝内共有4个活性病灶,分别位于心缘旁、膈顶、胆囊旁等“危险部位”,血供较差,TACE治疗控制不佳,经详细讨论,决定采用经皮微波消融治疗。由于病变位置特殊,加之平扫CT或超声均不能清晰的显示全部病灶,大大增加了消融治疗的难度和风险。术中,治疗团队采用腹水隔离、CT/超声双引导进针监测、解剖标记定位、低功率间断消融等多种辅助手段相结合,对全部4处病灶进行了安全、精准的微波消融治疗,手术历时1.5小时,术后3天患者顺利出院。 图1. 临近心脏的膈顶部病灶,水隔离保护下消融 图2. 临近包膜的膈顶部病灶,水隔离保护消融 图3. 紧邻胆囊病灶,超声引导和监测下低功率间断消融 图4. CT和超声均显示不清的病灶,采用CT引导解剖标记定位消融 图5.肿瘤消融治疗是指利用消融治疗针穿刺肝肿瘤,针尖能够产生电磁波而使周围组织升温至80度以上的高温,从而杀灭肿瘤。 图6.危险部位肿瘤是指当肿瘤靠近膈顶、心脏、胃、肠管、胆囊、以及肝门部等部位时,对肿瘤进行消融就容易损伤相应的器官,引起并发症。因此这些部位的肿瘤称为危险部位肿瘤。 此病例癌症病灶位于膈顶部、心脏旁、胆囊旁、肝门部、大血管附近,肝边缘近胃肠道、外凸近腹壁,治疗难度大,技术复杂、成功率低、风险高。介入病房开展水隔离技术、胆管冷却技术、术中引流技术、造影增强定位技术、解剖标记定位技术、复合影像导航穿刺和监视技术等新技术对危险部位和复杂病灶进行成功的经皮消融治疗,几乎做到肝脏肿瘤消融无禁区、无死角。 近年来,影像引导下经皮微波消融治疗已成为肝癌/肝转移癌、肺癌、肾癌等实体肿瘤最为有效的微创治疗手段之一,具有创伤小、恢复快、疗效确切、可重复治疗等优点。据统计,2018年,放射科介入病房利用各种辅助技术处理复杂或高危部位肿瘤41例,疗效显著且无并发症发生,与前期未应用辅助技术的病例相比,完全消融的比率显著提高(93.5% vs.78.5%),不良反应发生率显著降低。 我院放射科介入病房自2004年开始开展影像引导下肝癌的射频/微波消融治疗,在放射科副主任苏洪英教授的领导下,不断突破技术难点,治疗水平逐年提高。科室选派技术骨干到国外学习先进技术,其中本例手术的术者邵海波教授就是在我院中青年骨干培训计划的支持下,在哈佛医学院/麻省总医院进行了为期近2年的消融治疗培训和研究后,回国将所学更好地应用于临床。目前,科室在影像引导下经皮肝肿瘤微波消融领域处于国内领先水平。














































































