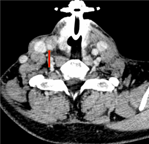
近日,四川大学华西医院耳鼻咽喉·头颈外科陈飞教授率头颈肿瘤修复与重建团队成功救治了一名侵犯颈总动脉及颈段气管的晚期复发甲状腺癌患者。 “耳鼻喉科?不可能哦,这个不是看耳朵鼻子喉咙的哇?” 团队不一样!这个耳鼻喉科的全称叫耳鼻咽喉·头颈外科,科室有一支头颈肿瘤修复与重建团队,可以开展甲状腺癌手术治疗,经检查和评估的患者,通过该团队的手术可以完整切除病灶。 下面来了解一下这个手术怎么做,适合哪些人做。 患者大陈,男性,45岁,5年间因罹患甲状腺癌,先后辗转北京、上海、浙江、江苏等多家知名医院,一共接受了5次手术治疗、2个疗程的碘131治疗。在这5年间,因肿瘤多次复发,他接受了多次手术。 1年前,大陈肿瘤再次复发,靶向治疗效果不佳,肿瘤已经包绕并侵犯右侧颈总动脉及颈段气管右侧壁。 这意味着需要通过外科手术治疗才能挽救大陈的生命,除了手术治疗别无他法。大陈在前次手术医生建议下,于华西医院耳鼻咽喉·头颈外科陈飞教授处就诊。 陈飞教授总结了多年晚期、复发头颈部肿瘤修复重建的经验,先后在国际国内重大会议上交流,得到了同行专家学者的一致好评。大陈的手术医生参会时就与陈飞教授多次交流过,他了解到华西医院头颈部晚期肿瘤修复与重建团队在国际国内都处于领先水准,于是向大陈进行了推荐。 手术治疗大陈这种侵犯颈部大动脉、气管的晚期复发甲状腺癌,是一个巨大的挑战。 颈总动脉是负责大脑血供的大动脉,气管又是呼吸的通道。对于大陈来讲,需要同时切除肿瘤以及侵犯的血管、气管,同时进行血管、气管的重建,才能满足他术后脑部供血以及呼吸的基本需求。 图1:术前被肿瘤侵犯的动脉 大陈和家属带着忐忑不安,夹杂着希望但又怕希望破灭的复杂心情,来到了陈飞教授诊室。 “能治!”陈飞教授温和自信的话给了大陈整个家庭一颗定心丸。陈飞教授团队联合麻醉科陈泓羊主治医师对其病情进行了充分评估,对术中颈总动脉处理、脑部血供维持、气道重建策略、循环维持等关键点展开了多次讨论,制定了严密的个性化的手术方案。 手术当天,成功切除了复发的甲状腺癌、受肿瘤侵犯包裹长达8cm的颈总动脉、部分颈内静脉、锁骨下静脉、椎静脉以及被侵犯的颈段气管右侧壁。 肿瘤完整切除后,为了减少出血和保证脑部的血供,需要团队在整个手术环节中配合默契、行动迅速,一刻都马虎不得。在颈动脉转流管有效保证术区脑部血供情况下,进行了人工血管置换重建颈总动脉,显微缝合受累静脉,恢复了颅内外血供。最后,应用了皮瓣同期修复了颈段气管缺损(就是取胸部的皮和肉来补气管)。 难度系数如此之高的手术,团队仅花费了4小时,出血量仅500余毫升。手术后患者安全返回耳鼻咽喉·头颈外科病房,接受了近1周治疗和悉心护理,现已顺利康复出院。 出院时,大陈的家人说,没有任何言语能表达对陈教授团队的感谢。 以下这类头颈部肿瘤患者,可以到华西头颈肿瘤修复与重建团队就诊: 晚期复发中耳癌、腮腺癌、鼻腔鼻窦恶性肿瘤、扁桃体癌、舌癌、会厌癌、下咽癌、喉癌、气管肿瘤、颈段食管癌、纵膈肿瘤、甲状腺癌等,颅底肿瘤、颈动脉体瘤、神经鞘瘤、神经血管修复重建及各种头颈部疑难杂症…… 具体是否适合该团队的手术治疗,还需到医院做进一步检查和评估后来看。 华西头颈肿瘤修复与重建团队 专业方向:肿瘤切除、皮瓣/筋膜瓣切取移植、神经血管修复重建等。 能够独立进行晚期复发、头颈部肿瘤同时侵犯下列1个或多个解剖区域的手术,如:颅底、眼眶、面部、口腔、甲状腺、颈胸部大血管、气管、食管、神经、上纵隔。 参考文献: 1.Dungan D. H., Heiserman J. E. The carotid artery. Embryology, normal anatomy and physiology. Neuroimaging Clinics of North America. 1996;6(4):789–799. 2.谷京城,徐艳萍,司忠义, 等.侵及颈总动脉病变的手术治疗[J].中国耳鼻咽喉头颈外科,2009,16(9):472-475. 3.Miao B, Lu Y, Pan X, et al. Carotid artery resection and reconstruction with expanded polytetrafluoroethylene for head and neck cancer. Laryngoscope. 2010, 118(12):2135-2138.



































































