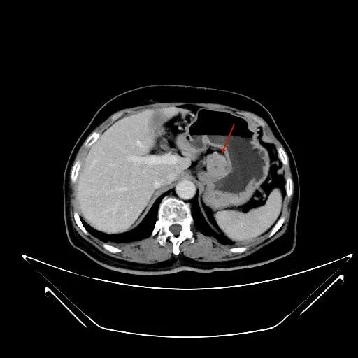
福建省肿瘤医院妇科肿瘤外科与胃肠肿瘤外科协作,一次手术成功完成卵巢与胃的双发肿瘤切除。 术后,患者恢复顺利康复出院。 王女士(化名)今年66岁,2周前因下腹闷痛就诊当地医院,上腹部CT提示: 胃体小弯侧外侧缘肿块,考虑胃外生性间质瘤可能,肿大淋巴结待除; 胃体小弯外侧缘见一类圆形肿块,肿块向外 与胃体壁关系密切,胃左动脉紧贴肿块表面 盆腔磁共振检查提示:盆腔多发囊实性肿物,双侧卵巢肿瘤可能性大(左侧10.9cm×12.3cm,右侧7.3cm×7.4cm)。 子宫双附件区,左右两侧都可见 多房囊实性肿物,子宫受压、前移 面对这一结果,王女士及家属有些不知所措,不知是先处理胃部肿物,还是先处理巨大的盆腔肿瘤。经多方打听后,王女士在家人陪同下,慕名前往福建省肿瘤医院副院长、妇科肿瘤外科孙阳教授门诊。 经过详细询问,孙阳教授了解到,王女士于30年前曾罹患颅脑恶性肿瘤并进行了手术及放疗治疗,这次检查发现的胃部肿块表面紧贴胃左动脉,且合并盆腔巨大肿物,病情复杂,手术风险较大。 在每周例行的妇科肿瘤多学科诊疗(MDT)讨论会上,孙阳教授主持了妇科肿瘤外科、腹部肿瘤外科、影像科、麻醉科及重症医学科等专家,对王女士的病情进行了多学科诊疗(MDT)讨论。专家们认为,王女士胃部的肿物较小,可通过微创(腹腔镜)手术将肿瘤切除;而盆腔肿瘤巨大,在保证肿瘤不播散、无瘤原则的基础上,若要完整彻底切除,则需进行开腹手术。 为了避免患者经历两次手术,减少相关并发症的发生及医疗费用,团队充分评估后决定:妇科肿瘤与胃肠肿瘤外科协作联合开展手术,“一次手术,将两种肿瘤解决”。 手术首先由胃肠肿瘤外科杨春康主任医师行腹腔镜胃小弯侧肿物切除术,在上腹部手术完成后,由妇科肿瘤外科孙阳教授行下腹部的经腹盆腔巨大肿物切除术+全子宫切除术。手术过程顺利,肿瘤被完整切除,术中出血不到100ml。 术后第2天,患者排气并能下地活动,恢复顺利。女子同时查出两种肿瘤不知道该先处理哪个


多学科联手一次手术将两种肿瘤都解决
多学科诊疗避免经验主义达到1+1>2效果
孙阳教授介绍,在面对双原发肿瘤甚至多原发肿瘤、或者肿瘤同时累及多个脏器时,多学科协作发挥各自专业特长、协同完成手术,将使手术过程更加顺利,手术效果更臻完美,避免二次甚至多次手术,让患者获得最佳疗效。
另据介绍,福建省肿瘤医院充分发挥肿瘤专科医院优势,在诸如卵巢癌等恶性肿瘤的外科手术治疗过程中,妇科肿瘤外科、胃肠肿瘤外科、泌尿肿瘤外科及胸部肿瘤外科等多学科协同手术已成常态,可充分保证复杂肿瘤的手术治疗效果。
“在妇科诊疗过程中,对于宫颈癌、子宫内膜癌、卵巢癌及子宫软组织肉瘤住院患者,我们要求100%进行相关MDT团队讨论,以保证所有患者的检查及治疗均是合理、规范的。”
孙阳教授介绍,对于晚期、复发、转移或难治卵巢癌患者进行MDT讨论能够在最短时间内制定出最优化、最全面的治疗方案,减少个人经验主义弊端,避免出现误诊误治,有利于诊断及治疗的规范化及个体化,最终达到治疗1+1>2的效果,“目的是最大限度地延长患者生命期的同时保证患者的生存质量。”





































































