“都已经转移了,晚期了,还有什么治疗的意义呢,回家等着吧……” 相信,很多人在面临晚期恶性肿瘤的时候(无论是发生在自己身边人还是听说于其他人),都可能会产生的想法。也肯定会有很多人会问大夫或者自己去某度“xx癌症晚期不治了,还能活多久?”

“都已经转移了,晚期了,还有什么治疗的意义呢,回家等着吧……”7uZ帝国网站管理系统 相信,很多人在面临晚期恶性肿瘤的时候(无论是发生在自己身边人还是听说于其他人),都可能会产生的想法。也肯定会有很多人会问大夫或者自己去某度“xx癌症晚期不治了,还能活多久?”7uZ帝国网站管理系统

晚期结直肠癌,是否还有治疗的意义?
其他热门专题
结直肠癌微创手术介绍
得了直肠癌,保肛、保命只能二选一?满足这5个基本条件,生活质量大大...
结直肠癌手术前有哪些术前检查要做?
晚期结直肠癌,是否还有治疗的意义?
神刊CA发布结直肠癌年度报告:5年生存率高达90%,超半数可预防...
专家综述结直肠癌肝转移立体定向消融放疗
小粒子大作用:揭秘“内放疗”
结直肠癌术后并发症-肠梗阻,如何预防和治疗...
结直肠癌术后并发症-出血,如何预防和治疗
其他热门专题
晚期结直肠癌,是否还有治疗的意义?
治疗结直肠癌到底药花多少钱?结直肠癌的经济学介绍...
直肠癌手术需要知道的8件事
关于结直肠癌的那些事儿
腹腔镜结直肠癌NOSES手术,还认为只是少了个切口,你真的OUT了!...
其他热门专题
晚期结直肠癌,是否还有治疗的意义?
其他热门专题
晚期结直肠癌,是否还有治疗的意义?
其他热门专题
结直肠癌一定要做手术吗?得了结直肠癌还能活多久……...
直肠癌手术需要知道的8件事
腹腔镜结直肠癌NOSES手术,还认为只是少了个切口,你真的OUT了!...
神刊CA发布结直肠癌年度报告:5年生存率高达90%,超半数可预防...
专业化管理:结肠癌分期越高预后越差吗?III期结肠癌一定比II期预后...
低位直肠癌的保肛策略(漫画)
关于结直肠癌的那些事儿
其他热门专题
神刊CA发布结直肠癌年度报告:5年生存率高达90%,超半数可预防...
专业化管理:结肠癌分期越高预后越差吗?III期结肠癌一定比II期预后...
晚期结直肠癌,是否还有治疗的意义?
结直肠癌一定要做手术吗?得了结直肠癌还能活多久……...
山东省立医院李乐平教授研究:腹腔镜手术治疗成人直肠癌具有生存优...
JCO:全程新辅助放化疗有望使一半局部晚期直肠癌患者实现器官保留...
其他热门专题
死亡风险升高10倍多!肌肉多不多,可影响结直肠癌手术预后...
结直肠癌患者术前摄入膳食纤维,术后并发症低!...
维生素C对KRAS突变型结直肠癌的治疗作用
JAMA Oncol:喝咖啡降低晚期或转移性结直肠癌病进展和死亡的风险...
疫情当前,给晚期肠癌治疗的小贴士
结直肠癌手术后该如何复查?
BJC: 补充维生素D对结直肠癌患者生存结局有益
哈佛研究:不止是防癌,这些生活方式还可能使结直肠癌患者的全因死亡...
结直肠癌的营养支持治疗
其他结直肠癌护理专题
大便有血且符合这3个特点,不是痔疮犯了,可能是直肠癌...
腹泻与便秘交替出现,要小心结肠癌!
痔疮病人虽然有反复便血的症状,但一般不会得直肠癌?...
每天放屁数十次,27岁姑娘确诊肠癌晚期!有一种屁,你千万别忽视...
内镜下切除结直肠病灶:2020年美国结直肠癌多学会工作组(USMSTF)推荐...
结直肠癌的前身——腺瘤性肠息肉
BMJ:家人有肠息肉病史,结直肠癌风险升高16倍!...
肠息肉全科普
《柳叶刀》子刊:更好预防结直肠癌,结肠镜检查要关注锯齿状病变!...
世界上最“冤”的癌症患者——结直肠癌患者
1.4亿人大样本研究:20-49岁肠癌发病率上升!肠镜检查不要等到50岁!...
结直肠癌的筛查:2021 ACG指南更新21条建议 | 指南共识...
中国结直肠癌诊疗规范(2020年版)
中国结直肠癌癌前病变及癌前状态处理策略专家共识...
其他诊断筛查专题
上海美中嘉和肿瘤门诊部
上海
西南医院
重庆
中山大学附属第六医院
广州
山东省公共卫生临床中心
济南
南京鼓楼医院
南京
吉林大学白求恩第一医院
长春
重庆大学附属肿瘤医院
重庆
中山大学附属肿瘤医院
广州
云南省肿瘤医院
昆明
上海东方肝胆外科医院
上海
中山大学附属第五医院
珠海
哈尔滨医科大学附属肿瘤医院
哈尔滨
上海市质子重离子医院
上海
中国科学技术大学附属第一医院
合肥
第95名 综合排名
山东大学齐鲁医院
济南
第24名 综合排名
南京市胸科医院
南京
四川省肿瘤医院
成都
上海美中嘉和肿瘤门诊部
上海
中山大学附属第六医院
广州
新桥医院
重庆
山东省立医院
济南
第52名 综合排名
广东省中医院
广州
上海长征医院
上海
南京鼓楼医院
南京
中国科大附一院
安徽
山东省公共卫生临床中心
济南
哈尔滨医科大学附属第一医院
哈尔滨
第78名 综合排名
东部战区总医院
南京
第58名 综合排名
吉林大学白求恩第一医院
长春
上海市肺科医院
上海
第42名 综合排名
苏州大学附属第一医院
苏州
第54名 综合排名
中山大学附属肿瘤医院
广州
重庆大学附属肿瘤医院
重庆
中南大学湘雅医院
长沙
第15名 综合排名
上海市胸科医院
上海
第80名 综合排名
上海市东方医院
上海
北京大学第一医院
北京
第12名 综合排名
武汉大学人民医院
武汉
第40名 综合排名
中山大学附属第五医院
珠海
上海东方肝胆外科医院
上海
云南省肿瘤医院
昆明
北京胸科医院
北京
第100名 综合排名
哈尔滨医科大学附属肿瘤医院
哈尔滨
北京大学人民医院
北京
第21名 综合排名
上海市质子重离子医院
上海
中国科学技术大学附属第一医院
合肥
第95名 综合排名
深圳市第三人民医院
深圳
辽宁省肿瘤医院
沈阳
南京市胸科医院
南京
广东省人民医院
广州
第34名 综合排名
四川省肿瘤医院
成都
复旦大学附属妇产科医院
上海
第85名 综合排名
中日友好医院
北京
第43名 综合排名
上海美中嘉和肿瘤门诊部
上海
中山大学附属第六医院
广州
浙江大学医学院附属妇产科医院
杭州
第91名 综合排名
广东省中医院
广州
山东省立医院
济南
第52名 综合排名
上海长征医院
上海
南京鼓楼医院
南京
中国科大附一院
安徽
山东省公共卫生临床中心
济南
中山大学孙逸仙纪念医院
广州
第64名 综合排名
东部战区总医院
南京
第58名 综合排名
吉林大学白求恩第一医院
长春
上海市肺科医院
上海
第42名 综合排名
中山大学附属肿瘤医院
广州
北京京西肿瘤医院
北京
重庆大学附属肿瘤医院
重庆
中南大学湘雅医院
长沙
第15名 综合排名
上海市胸科医院
上海
第80名 综合排名
湖南省肿瘤医院
长沙
华中科技大学同济医院
武汉
中国医科大学附属盛京医院
沈阳
第33名 综合排名
北京大学第一医院
北京
第12名 综合排名
中山大学附属第五医院
珠海
哈尔滨医科大学附属肿瘤医院
哈尔滨
复旦大学附属华山医院
上海
第8名 综合排名
上海市东方医院
上海
上海东方肝胆外科医院
上海
北京大学人民医院
北京
第21名 综合排名
北京胸科医院
北京
第100名 综合排名
云南省肿瘤医院
昆明
上海市质子重离子医院
上海
中国科学技术大学附属第一医院
合肥
第95名 综合排名
山东大学齐鲁医院
济南
第24名 综合排名
吉林省肿瘤医院
长春
杭州市肿瘤医院
杭州
深圳市第三人民医院
深圳
辽宁省肿瘤医院
沈阳
南京市胸科医院
南京
广东省人民医院
广州
第34名 综合排名
复旦大学附属妇产科医院
上海
第85名 综合排名
中日友好医院
北京
第43名 综合排名
上海美中嘉和肿瘤门诊部
上海
中山大学附属第六医院
广州
西南医院
重庆
北部战区总医院
沈阳
浙江大学医学院附属妇产科医院
杭州
第91名 综合排名
广东省中医院
广州
山东省立医院
济南
第52名 综合排名
武汉大学中南医院
武汉
第55名 综合排名
哈尔滨医科大学附属第二医院
哈尔滨
第67名 综合排名
重庆医科大学附属第一医院
重庆
第48名 综合排名
南京鼓楼医院
南京
中国科大附一院
安徽
山东省公共卫生临床中心
济南
中山大学孙逸仙纪念医院
广州
第64名 综合排名
新桥医院
重庆
吉林大学白求恩第一医院
长春
301医院
北京
上海市肺科医院
上海
第42名 综合排名
苏州大学附属第一医院
苏州
第54名 综合排名
武汉大学人民医院
武汉
第40名 综合排名
重庆大学附属肿瘤医院
重庆
中山大学附属肿瘤医院
广州
上海市第十人民医院
上海
浙江省肿瘤医院
杭州
第8名 肿瘤科排名
中南大学湘雅医院
长沙
第15名 综合排名
上海交通大学医学院附属仁济医院
上海
第17名 综合排名
复旦大学附属中山医院
上海
第5名 综合排名
北京京西肿瘤医院
北京
江苏省肿瘤医院
南京
第9名 肿瘤科排名
上海市胸科医院
上海
第80名 综合排名
湖南省肿瘤医院
长沙
中山大学附属第一医院
广州
第9名 综合排名
北京医院
北京
第60名 综合排名
华中科技大学同济医院
武汉
浙江大学医学院附属第一医院
杭州
第10名 综合排名
湖北省肿瘤医院
武汉
中国医科大学附属盛京医院
沈阳
第33名 综合排名
浙大二院
杭州
北京大学第一医院
北京
第12名 综合排名
河南省肿瘤医院
郑州
上海长海医院
上海
中山大学附属第五医院
珠海
浙江大学医学院附属邵逸夫医院
杭州
第49名 综合排名
复旦大学附属华山医院
上海
第8名 综合排名
上海市东方医院
上海
上海东方肝胆外科医院
上海
云南省肿瘤医院
昆明
哈尔滨医科大学附属肿瘤医院
哈尔滨
北京大学人民医院
北京
第21名 综合排名
北京胸科医院
北京
第100名 综合排名
上海市质子重离子医院
上海
吉林省肿瘤医院
长春
杭州市肿瘤医院
杭州
南京市胸科医院
南京
中国科学技术大学附属第一医院
合肥
第95名 综合排名
西安交通大学第一附属医院
西安
第63名 综合排名
深圳市第三人民医院
深圳
山西省肿瘤医院
太原
中山大学附属第六医院
广州
广东省人民医院
广州
第34名 综合排名
复旦大学附属妇产科医院
上海
第85名 综合排名
中日友好医院
北京
第43名 综合排名
中山大学附属第三医院
广州
第45名 综合排名
上海美中嘉和肿瘤门诊部
上海
北部战区总医院
沈阳
浙江大学医学院附属妇产科医院
杭州
第91名 综合排名
广东省中医院
广州
山东省立医院
济南
第52名 综合排名
武汉大学中南医院
武汉
第55名 综合排名
上海长征医院
上海
重庆医科大学附属第一医院
重庆
第48名 综合排名
南京鼓楼医院
南京
中国科大附一院
安徽
山东省公共卫生临床中心
济南
福建医科大学附属第一医院
福州
第84名 综合排名
新桥医院
重庆
东部战区总医院
南京
第58名 综合排名
吉林大学白求恩第一医院
长春
301医院
北京
东南大学附属中大医院
南京
第46名 综合排名
上海市肺科医院
上海
第42名 综合排名
苏州大学附属第一医院
苏州
第54名 综合排名
重庆大学附属肿瘤医院
重庆
中山大学附属肿瘤医院
广州
上海市第十人民医院
上海
浙江省肿瘤医院
杭州
第8名 肿瘤科排名
中南大学湘雅医院
长沙
第15名 综合排名
北京医院
北京
第60名 综合排名
上海交通大学医学院附属仁济医院
上海
第17名 综合排名
复旦大学附属中山医院
上海
第5名 综合排名
北京京西肿瘤医院
北京
上海市胸科医院
上海
第80名 综合排名
湖南省肿瘤医院
长沙
上海新华医院
上海
华中科技大学同济医院
武汉
上海市东方医院
上海
浙大二院
杭州
浙江大学医学院附属第一医院
杭州
第10名 综合排名
湖北省肿瘤医院
武汉
北京大学第一医院
北京
第12名 综合排名
河南省肿瘤医院
郑州
武汉大学人民医院
武汉
第40名 综合排名
中国医科大学附属盛京医院
沈阳
第33名 综合排名
上海长海医院
上海
上海东方肝胆外科医院
上海
复旦大学附属华山医院
上海
第8名 综合排名
广州泰和肿瘤医院
广州
云南省肿瘤医院
昆明
北京胸科医院
北京
第100名 综合排名
中山大学附属第五医院
珠海
哈尔滨医科大学附属肿瘤医院
哈尔滨
北京大学人民医院
北京
第21名 综合排名
上海市质子重离子医院
上海
山东大学齐鲁医院
济南
第24名 综合排名
吉林省肿瘤医院
长春
南京市胸科医院
南京
中国科学技术大学附属第一医院
合肥
第95名 综合排名
深圳市第三人民医院
深圳
山西省肿瘤医院
太原
辽宁省肿瘤医院
沈阳
中山大学附属第六医院
广州
广东省人民医院
广州
第34名 综合排名
中日友好医院
北京
第43名 综合排名
中山大学附属第三医院
广州
第45名 综合排名
西南医院
重庆
上海美中嘉和肿瘤门诊部
上海
北部战区总医院
沈阳
浙江大学医学院附属妇产科医院
杭州
第91名 综合排名
山东省立医院
济南
第52名 综合排名
武汉大学中南医院
武汉
第55名 综合排名
广东省中医院
广州
上海长征医院
上海
南京鼓楼医院
南京
中国科大附一院
安徽
山东省公共卫生临床中心
济南
重庆医科大学附属第一医院
重庆
第48名 综合排名
福建医科大学附属协和医院
福州
第88名 综合排名
广州医科大学附属第一医院
广州
第31名 综合排名
中山大学孙逸仙纪念医院
广州
第64名 综合排名
福建医科大学附属第一医院
福州
第84名 综合排名
新桥医院
重庆
东部战区总医院
南京
第58名 综合排名
吉林大学白求恩第一医院
长春
301医院
北京
上海市肺科医院
上海
第42名 综合排名
苏州大学附属第一医院
苏州
第54名 综合排名
重庆大学附属肿瘤医院
重庆
中山大学附属肿瘤医院
广州
上海市第十人民医院
上海
中南大学湘雅医院
长沙
第15名 综合排名
北京医院
北京
第60名 综合排名
上海交通大学医学院附属仁济医院
上海
第17名 综合排名
复旦大学附属中山医院
上海
第5名 综合排名
北京京西肿瘤医院
北京
江苏省肿瘤医院
南京
第9名 肿瘤科排名
上海交通大学医学院附属瑞金医院
上海
第4名 综合排名
上海市胸科医院
上海
第80名 综合排名
湖南省肿瘤医院
长沙
上海新华医院
上海
中山大学附属第一医院
广州
第9名 综合排名
华中科技大学同济医院
武汉
浙江大学医学院附属第一医院
杭州
第10名 综合排名
浙大二院
杭州
北京大学第一医院
北京
第12名 综合排名
武汉大学人民医院
武汉
第40名 综合排名
河南省肿瘤医院
郑州
上海长海医院
上海
中山大学附属第五医院
珠海
浙江大学医学院附属邵逸夫医院
杭州
第49名 综合排名
复旦大学附属华山医院
上海
第8名 综合排名
广州泰和肿瘤医院
广州
上海市东方医院
上海
上海东方肝胆外科医院
上海
云南省肿瘤医院
昆明
哈尔滨医科大学附属肿瘤医院
哈尔滨
北京大学人民医院
北京
第21名 综合排名
北京胸科医院
北京
第100名 综合排名
上海市质子重离子医院
上海
山东大学齐鲁医院
济南
第24名 综合排名
吉林省肿瘤医院
长春
杭州市肿瘤医院
杭州
南京市胸科医院
南京
中国科学技术大学附属第一医院
合肥
第95名 综合排名
深圳市第三人民医院
深圳
山西省肿瘤医院
太原
中山大学附属第六医院
广州
广东省人民医院
广州
第34名 综合排名
四川省肿瘤医院
成都
复旦大学附属妇产科医院
上海
第85名 综合排名
中日友好医院
北京
第43名 综合排名
中山大学附属第三医院
广州
第45名 综合排名
上海美中嘉和肿瘤门诊部
上海
北部战区总医院
沈阳
浙江大学医学院附属妇产科医院
杭州
第91名 综合排名
山东省立医院
济南
第52名 综合排名
武汉大学中南医院
武汉
第55名 综合排名
四川省人民医院
成都
第38名 综合排名
上海长征医院
上海
南京鼓楼医院
南京
中国科大附一院
安徽
山东省公共卫生临床中心
济南
重庆医科大学附属第一医院
重庆
第48名 综合排名
中山大学孙逸仙纪念医院
广州
第64名 综合排名
哈尔滨医科大学附属第一医院
哈尔滨
第78名 综合排名
福建医科大学附属第一医院
福州
第84名 综合排名
新桥医院
重庆
吉林大学白求恩第一医院
长春
301医院
北京
东南大学附属中大医院
南京
第46名 综合排名
上海市肺科医院
上海
第42名 综合排名
重庆大学附属肿瘤医院
重庆
中山大学附属肿瘤医院
广州
上海市第十人民医院
上海
中南大学湘雅医院
长沙
第15名 综合排名
北京医院
北京
第60名 综合排名
上海交通大学医学院附属仁济医院
上海
第17名 综合排名
复旦大学附属中山医院
上海
第5名 综合排名
北京京西肿瘤医院
北京
上海交通大学医学院附属瑞金医院
上海
第4名 综合排名
上海市胸科医院
上海
第80名 综合排名
湖南省肿瘤医院
长沙
上海新华医院
上海
中山大学附属第一医院
广州
第9名 综合排名
华中科技大学同济医院
武汉
湖北省肿瘤医院
武汉
中国医科大学附属盛京医院
沈阳
第33名 综合排名
浙大二院
杭州
北京大学第一医院
北京
第12名 综合排名
武汉大学人民医院
武汉
第40名 综合排名
河南省肿瘤医院
郑州
中山大学附属第五医院
珠海
复旦大学附属华山医院
上海
第8名 综合排名
广州泰和肿瘤医院
广州
上海市东方医院
上海
上海东方肝胆外科医院
上海
云南省肿瘤医院
昆明
哈尔滨医科大学附属肿瘤医院
哈尔滨
北京大学人民医院
北京
第21名 综合排名
北京胸科医院
北京
第100名 综合排名
上海市质子重离子医院
上海
西安交通大学第一附属医院
西安
第63名 综合排名
吉林省肿瘤医院
长春
辽宁省肿瘤医院
沈阳
浙江大学医学院附属妇产科医院
杭州
第91名 综合排名
北部战区总医院
沈阳
山西省肿瘤医院
太原
杭州市肿瘤医院
杭州
南京市胸科医院
南京
中日友好医院
北京
第43名 综合排名
广东省人民医院
广州
第34名 综合排名
四川省肿瘤医院
成都
中山大学附属第三医院
广州
第45名 综合排名
上海美中嘉和肿瘤门诊部
上海
中山大学附属第六医院
广州
西南医院
重庆
新桥医院
重庆
广东省中医院
广州
山东省立医院
济南
第52名 综合排名
武汉大学中南医院
武汉
第55名 综合排名
上海长征医院
上海
厦门大学附属第一医院
厦门
南京鼓楼医院
南京
中国科大附一院
安徽
山东省公共卫生临床中心
济南
重庆医科大学附属第一医院
重庆
第48名 综合排名
四川省人民医院
成都
第38名 综合排名
吉林大学白求恩第一医院
长春
东部战区总医院
南京
第58名 综合排名
哈尔滨医科大学附属第一医院
哈尔滨
第78名 综合排名
上海市肺科医院
上海
第42名 综合排名
复旦大学附属妇产科医院
上海
第85名 综合排名
重庆大学附属肿瘤医院
重庆
中山大学附属肿瘤医院
广州
上海市第十人民医院
上海
中南大学湘雅医院
长沙
第15名 综合排名
华中科技大学同济医院
武汉
北京医院
北京
第60名 综合排名
上海交通大学医学院附属仁济医院
上海
第17名 综合排名
北京京西肿瘤医院
北京
上海市胸科医院
上海
第80名 综合排名
湖南省肿瘤医院
长沙
上海新华医院
上海
江苏省肿瘤医院
南京
第9名 肿瘤科排名
南方医科大学南方医院
广州
第18名 综合排名
上海市东方医院
上海
浙江大学医学院附属第一医院
杭州
第10名 综合排名
湖北省肿瘤医院
武汉
北京大学第一医院
北京
第12名 综合排名
河南省肿瘤医院
郑州
苏州大学附属第一医院
苏州
第54名 综合排名
武汉大学人民医院
武汉
第40名 综合排名
中国医科大学附属盛京医院
沈阳
第33名 综合排名
上海东方肝胆外科医院
上海
复旦大学附属华山医院
上海
第8名 综合排名
广州泰和肿瘤医院
广州
云南省肿瘤医院
昆明
北京胸科医院
北京
第100名 综合排名
中山大学附属第五医院
珠海
哈尔滨医科大学附属肿瘤医院
哈尔滨
北京大学人民医院
北京
第21名 综合排名
上海市质子重离子医院
上海
西安交通大学第一附属医院
西安
第63名 综合排名
中国科学技术大学附属第一医院
合肥
第95名 综合排名
山东大学齐鲁医院
济南
第24名 综合排名
吉林省肿瘤医院
长春
辽宁省肿瘤医院
沈阳
浙江大学医学院附属妇产科医院
杭州
第91名 综合排名
北部战区总医院
沈阳
深圳市第三人民医院
深圳
山西省肿瘤医院
太原
杭州市肿瘤医院
杭州
南京市胸科医院
南京
中日友好医院
北京
第43名 综合排名
福建省肿瘤医院
福州
广东省人民医院
广州
第34名 综合排名
四川省肿瘤医院
成都
中山大学附属第三医院
广州
第45名 综合排名
上海美中嘉和肿瘤门诊部
上海
中山大学附属第六医院
广州
西南医院
重庆
新桥医院
重庆
福建医科大学附属第一医院
福州
第84名 综合排名
广东省中医院
广州
山东省立医院
济南
第52名 综合排名
武汉大学中南医院
武汉
第55名 综合排名
中南大学湘雅二医院
长沙
第20名 综合排名
上海长征医院
上海
厦门大学附属第一医院
厦门
南京鼓楼医院
南京
中国科大附一院
安徽
山东省公共卫生临床中心
济南
重庆医科大学附属第一医院
重庆
第48名 综合排名
四川省人民医院
成都
第38名 综合排名
哈尔滨医科大学附属第二医院
哈尔滨
第67名 综合排名
吉林大学白求恩第一医院
长春
东部战区总医院
南京
第58名 综合排名
中山大学孙逸仙纪念医院
广州
第64名 综合排名
哈尔滨医科大学附属第一医院
哈尔滨
第78名 综合排名
上海市肺科医院
上海
第42名 综合排名
东南大学附属中大医院
南京
第46名 综合排名
福建医科大学附属协和医院
福州
第88名 综合排名
广州医科大学附属第一医院
广州
第31名 综合排名
301医院
北京
复旦大学附属妇产科医院
上海
第85名 综合排名
重庆大学附属肿瘤医院
重庆
中山大学附属肿瘤医院
广州
上海市第十人民医院
上海
中南大学湘雅医院
长沙
第15名 综合排名
复旦大学附属中山医院
上海
第5名 综合排名
华中科技大学同济医院
武汉
北京医院
北京
第60名 综合排名
上海交通大学医学院附属仁济医院
上海
第17名 综合排名
浙江省肿瘤医院
杭州
第8名 肿瘤科排名
北京京西肿瘤医院
北京
上海交通大学医学院附属瑞金医院
上海
第4名 综合排名
上海市胸科医院
上海
第80名 综合排名
湖南省肿瘤医院
长沙
上海新华医院
上海
江苏省肿瘤医院
南京
第9名 肿瘤科排名
中山大学附属第一医院
广州
第9名 综合排名
南方医科大学南方医院
广州
第18名 综合排名
上海市东方医院
上海
浙大二院
杭州
浙江大学医学院附属第一医院
杭州
第10名 综合排名
湖北省肿瘤医院
武汉
北京大学第一医院
北京
第12名 综合排名
河南省肿瘤医院
郑州
武汉大学人民医院
武汉
第40名 综合排名
中国医科大学附属盛京医院
沈阳
第33名 综合排名
上海长海医院
上海
上海东方肝胆外科医院
上海
浙江大学医学院附属邵逸夫医院
杭州
第49名 综合排名
复旦大学附属华山医院
上海
第8名 综合排名
广州泰和肿瘤医院
广州
云南省肿瘤医院
昆明
北京胸科医院
北京
第100名 综合排名
中山大学附属第五医院
珠海
哈尔滨医科大学附属肿瘤医院
哈尔滨
北京大学人民医院
北京
第21名 综合排名
上海市质子重离子医院
上海
中国科学技术大学附属第一医院
合肥
第95名 综合排名
吉林省肿瘤医院
长春
浙江大学医学院附属妇产科医院
杭州
第91名 综合排名
北部战区总医院
沈阳
深圳市第三人民医院
深圳
山西省肿瘤医院
太原
杭州市肿瘤医院
杭州
南京市胸科医院
南京
中日友好医院
北京
第43名 综合排名
广东省人民医院
广州
第34名 综合排名
四川省肿瘤医院
成都
中山大学附属第三医院
广州
第45名 综合排名
上海美中嘉和肿瘤门诊部
上海
中山大学附属第六医院
广州
西南医院
重庆
新桥医院
重庆
广东省中医院
广州
山东省立医院
济南
第52名 综合排名
武汉大学中南医院
武汉
第55名 综合排名
中南大学湘雅二医院
长沙
第20名 综合排名
上海长征医院
上海
厦门大学附属第一医院
厦门
南京鼓楼医院
南京
中国科大附一院
安徽
山东省公共卫生临床中心
济南
重庆医科大学附属第一医院
重庆
第48名 综合排名
四川省人民医院
成都
第38名 综合排名
吉林大学白求恩第一医院
长春
东部战区总医院
南京
第58名 综合排名
中山大学孙逸仙纪念医院
广州
第64名 综合排名
哈尔滨医科大学附属第一医院
哈尔滨
第78名 综合排名
上海市肺科医院
上海
第42名 综合排名
301医院
北京
复旦大学附属妇产科医院
上海
第85名 综合排名
重庆大学附属肿瘤医院
重庆
中山大学附属肿瘤医院
广州
上海市第十人民医院
上海
中南大学湘雅医院
长沙
第15名 综合排名
复旦大学附属中山医院
上海
第5名 综合排名
华中科技大学同济医院
武汉
北京医院
北京
第60名 综合排名
上海交通大学医学院附属仁济医院
上海
第17名 综合排名
北京京西肿瘤医院
北京
上海交通大学医学院附属瑞金医院
上海
第4名 综合排名
湖南省肿瘤医院
长沙
上海新华医院
上海
江苏省肿瘤医院
南京
第9名 肿瘤科排名
中山大学附属第一医院
广州
第9名 综合排名
南方医科大学南方医院
广州
第18名 综合排名
上海市东方医院
上海
浙大二院
杭州
浙江大学医学院附属第一医院
杭州
第10名 综合排名
湖北省肿瘤医院
武汉
北京大学第一医院
北京
第12名 综合排名
河南省肿瘤医院
郑州
苏州大学附属第一医院
苏州
第54名 综合排名
武汉大学人民医院
武汉
第40名 综合排名
中国医科大学附属盛京医院
沈阳
第33名 综合排名
上海东方肝胆外科医院
上海
复旦大学附属华山医院
上海
第8名 综合排名
广州泰和肿瘤医院
广州
云南省肿瘤医院
昆明
北京胸科医院
北京
第100名 综合排名
中山大学附属第五医院
珠海
哈尔滨医科大学附属肿瘤医院
哈尔滨
北京大学人民医院
北京
第21名 综合排名
上海市质子重离子医院
上海
西安交通大学第一附属医院
西安
第63名 综合排名
中国科学技术大学附属第一医院
合肥
第95名 综合排名
吉林省肿瘤医院
长春
辽宁省肿瘤医院
沈阳
浙江大学医学院附属妇产科医院
杭州
第91名 综合排名
深圳市第三人民医院
深圳
山西省肿瘤医院
太原
杭州市肿瘤医院
杭州
南京市胸科医院
南京
中日友好医院
北京
第43名 综合排名
福建省肿瘤医院
福州
广东省人民医院
广州
第34名 综合排名
四川省肿瘤医院
成都
中山大学附属第三医院
广州
第45名 综合排名
上海美中嘉和肿瘤门诊部
上海
中山大学附属第六医院
广州
福建医科大学附属第一医院
福州
第84名 综合排名
广东省中医院
广州
山东省立医院
济南
第52名 综合排名
武汉大学中南医院
武汉
第55名 综合排名
上海长征医院
上海
厦门大学附属第一医院
厦门
南京鼓楼医院
南京
中国科大附一院
安徽
山东省公共卫生临床中心
济南
重庆医科大学附属第一医院
重庆
第48名 综合排名
中南大学湘雅二医院
长沙
第20名 综合排名
四川省人民医院
成都
第38名 综合排名
吉林大学白求恩第一医院
长春
东部战区总医院
南京
第58名 综合排名
中山大学孙逸仙纪念医院
广州
第64名 综合排名
哈尔滨医科大学附属第一医院
哈尔滨
第78名 综合排名
上海市肺科医院
上海
第42名 综合排名
东南大学附属中大医院
南京
第46名 综合排名
哈尔滨医科大学附属第二医院
哈尔滨
第67名 综合排名
复旦大学附属妇产科医院
上海
第85名 综合排名
重庆大学附属肿瘤医院
重庆
中山大学附属肿瘤医院
广州
上海市第十人民医院
上海
中南大学湘雅医院
长沙
第15名 综合排名
复旦大学附属中山医院
上海
第5名 综合排名
华中科技大学同济医院
武汉
北京医院
北京
第60名 综合排名
上海交通大学医学院附属仁济医院
上海
第17名 综合排名
浙江省肿瘤医院
杭州
第8名 肿瘤科排名
北京京西肿瘤医院
北京
上海交通大学医学院附属瑞金医院
上海
第4名 综合排名
上海市胸科医院
上海
第80名 综合排名
上海新华医院
上海
江苏省肿瘤医院
南京
第9名 肿瘤科排名
中山大学附属第一医院
广州
第9名 综合排名
上海市东方医院
上海
浙大二院
杭州
浙江大学医学院附属第一医院
杭州
第10名 综合排名
湖北省肿瘤医院
武汉
北京大学第一医院
北京
第12名 综合排名
河南省肿瘤医院
郑州
武汉大学人民医院
武汉
第40名 综合排名
中国医科大学附属盛京医院
沈阳
第33名 综合排名
上海长海医院
上海
上海东方肝胆外科医院
上海
浙江大学医学院附属邵逸夫医院
杭州
第49名 综合排名
复旦大学附属华山医院
上海
第8名 综合排名
广州泰和肿瘤医院
广州
云南省肿瘤医院
昆明
北京胸科医院
北京
第100名 综合排名
中山大学附属第五医院
珠海
哈尔滨医科大学附属肿瘤医院
哈尔滨
北京大学人民医院
北京
第21名 综合排名
上海市质子重离子医院
上海
西安交通大学第一附属医院
西安
第63名 综合排名
中国科学技术大学附属第一医院
合肥
第95名 综合排名
山东大学齐鲁医院
济南
第24名 综合排名
吉林省肿瘤医院
长春
辽宁省肿瘤医院
沈阳
浙江大学医学院附属妇产科医院
杭州
第91名 综合排名
北部战区总医院
沈阳
深圳市第三人民医院
深圳
山西省肿瘤医院
太原
杭州市肿瘤医院
杭州
南京市胸科医院
南京
中日友好医院
北京
第43名 综合排名
福建省肿瘤医院
福州
广东省人民医院
广州
第34名 综合排名
四川省肿瘤医院
成都
中山大学附属第三医院
广州
第45名 综合排名
上海美中嘉和肿瘤门诊部
上海
中山大学附属第六医院
广州
西南医院
重庆
新桥医院
重庆
福建医科大学附属第一医院
福州
第84名 综合排名
兰州大学第二医院
兰州
广东省中医院
广州
山东省立医院
济南
第52名 综合排名
武汉大学中南医院
武汉
第55名 综合排名
上海长征医院
上海
厦门大学附属第一医院
厦门
南京鼓楼医院
南京
中国科大附一院
安徽
山东省公共卫生临床中心
济南
重庆医科大学附属第一医院
重庆
第48名 综合排名
中南大学湘雅二医院
长沙
第20名 综合排名
四川省人民医院
成都
第38名 综合排名
吉林大学白求恩第一医院
长春
东部战区总医院
南京
第58名 综合排名
中山大学孙逸仙纪念医院
广州
第64名 综合排名
哈尔滨医科大学附属第一医院
哈尔滨
第78名 综合排名
上海市肺科医院
上海
第42名 综合排名
东南大学附属中大医院
南京
第46名 综合排名
哈尔滨医科大学附属第二医院
哈尔滨
第67名 综合排名
福建医科大学附属协和医院
福州
第88名 综合排名
广州医科大学附属第一医院
广州
第31名 综合排名
301医院
北京
复旦大学附属妇产科医院
上海
第85名 综合排名
重庆大学附属肿瘤医院
重庆
中山大学附属肿瘤医院
广州
上海市第十人民医院
上海
中南大学湘雅医院
长沙
第15名 综合排名
复旦大学附属中山医院
上海
第5名 综合排名
华中科技大学同济医院
武汉
北京医院
北京
第60名 综合排名
上海交通大学医学院附属仁济医院
上海
第17名 综合排名
浙江省肿瘤医院
杭州
第8名 肿瘤科排名
北京京西肿瘤医院
北京
上海市胸科医院
上海
第80名 综合排名
湖南省肿瘤医院
长沙
上海新华医院
上海
江苏省肿瘤医院
南京
第9名 肿瘤科排名
中山大学附属第一医院
广州
第9名 综合排名
南方医科大学南方医院
广州
第18名 综合排名
上海市东方医院
上海
浙大二院
杭州
浙江大学医学院附属第一医院
杭州
第10名 综合排名
湖北省肿瘤医院
武汉
北京大学第一医院
北京
第12名 综合排名
河南省肿瘤医院
郑州
苏州大学附属第一医院
苏州
第54名 综合排名
武汉大学人民医院
武汉
第40名 综合排名
中国医科大学附属盛京医院
沈阳
第33名 综合排名
上海长海医院
上海
上海东方肝胆外科医院
上海
浙江大学医学院附属邵逸夫医院
杭州
第49名 综合排名
复旦大学附属华山医院
上海
第8名 综合排名
广州泰和肿瘤医院
广州
云南省肿瘤医院
昆明
北京胸科医院
北京
第100名 综合排名
中山大学附属第五医院
珠海
哈尔滨医科大学附属肿瘤医院
哈尔滨
北京大学人民医院
北京
第21名 综合排名
上海市质子重离子医院
上海
西安交通大学第一附属医院
西安
第63名 综合排名
中国科学技术大学附属第一医院
合肥
第95名 综合排名
山东大学齐鲁医院
济南
第24名 综合排名
辽宁省肿瘤医院
沈阳
山西省肿瘤医院
太原
新桥医院
重庆
浙江大学医学院附属妇产科医院
杭州
第91名 综合排名
北部战区总医院
沈阳
深圳市第三人民医院
深圳
吉林省肿瘤医院
长春
杭州市肿瘤医院
杭州
中山大学附属第三医院
广州
第45名 综合排名
中日友好医院
北京
第43名 综合排名
福建省肿瘤医院
福州
广东省人民医院
广州
第34名 综合排名
上海美中嘉和肿瘤门诊部
上海
西南医院
重庆
南京市胸科医院
南京
中山大学附属第六医院
广州
福建医科大学附属第一医院
福州
第84名 综合排名
哈尔滨医科大学附属第一医院
哈尔滨
第78名 综合排名
兰州大学第二医院
兰州
广东省中医院
广州
山东省立医院
济南
第52名 综合排名
上海长征医院
上海
厦门大学附属第一医院
厦门
南京鼓楼医院
南京
中国科大附一院
安徽
山东省公共卫生临床中心
济南
重庆医科大学附属第一医院
重庆
第48名 综合排名
武汉大学中南医院
武汉
第55名 综合排名
中南大学湘雅二医院
长沙
第20名 综合排名
上海市肺科医院
上海
第42名 综合排名
吉林大学白求恩第一医院
长春
东部战区总医院
南京
第58名 综合排名
中山大学孙逸仙纪念医院
广州
第64名 综合排名
东南大学附属中大医院
南京
第46名 综合排名
301医院
北京
四川省人民医院
成都
第38名 综合排名
哈尔滨医科大学附属第二医院
哈尔滨
第67名 综合排名
广州医科大学附属第一医院
广州
第31名 综合排名
四川省肿瘤医院
成都
复旦大学附属妇产科医院
上海
第85名 综合排名
重庆大学附属肿瘤医院
重庆
中山大学附属肿瘤医院
广州
上海市第十人民医院
上海
中南大学湘雅医院
长沙
第15名 综合排名
复旦大学附属中山医院
上海
第5名 综合排名
华中科技大学同济医院
武汉
北京医院
北京
第60名 综合排名
上海交通大学医学院附属仁济医院
上海
第17名 综合排名
浙江省肿瘤医院
杭州
第8名 肿瘤科排名
北京京西肿瘤医院
北京
上海交通大学医学院附属瑞金医院
上海
第4名 综合排名
上海市胸科医院
上海
第80名 综合排名
湖南省肿瘤医院
长沙
上海新华医院
上海
江苏省肿瘤医院
南京
第9名 肿瘤科排名
中山大学附属第一医院
广州
第9名 综合排名
南方医科大学南方医院
广州
第18名 综合排名
上海市东方医院
上海
北京大学第一医院
北京
第12名 综合排名
浙大二院
杭州
浙江大学医学院附属第一医院
杭州
第10名 综合排名
河南省肿瘤医院
郑州
武汉大学人民医院
武汉
第40名 综合排名
湖北省肿瘤医院
武汉
上海东方肝胆外科医院
上海
浙江大学医学院附属邵逸夫医院
杭州
第49名 综合排名
复旦大学附属华山医院
上海
第8名 综合排名
广州泰和肿瘤医院
广州
云南省肿瘤医院
昆明
北京胸科医院
北京
第100名 综合排名
上海长海医院
上海
中山大学附属第五医院
珠海
哈尔滨医科大学附属肿瘤医院
哈尔滨
北京大学人民医院
北京
第21名 综合排名
上海市质子重离子医院
上海
中国科学技术大学附属第一医院
合肥
第95名 综合排名
山东大学齐鲁医院
济南
第24名 综合排名
吉林省肿瘤医院
长春
山西省肿瘤医院
太原
新桥医院
重庆
浙江大学医学院附属妇产科医院
杭州
第91名 综合排名
北部战区总医院
沈阳
深圳市第三人民医院
深圳
杭州市肿瘤医院
杭州
南京市胸科医院
南京
中日友好医院
北京
第43名 综合排名
福建省肿瘤医院
福州
广东省人民医院
广州
第34名 综合排名
四川省肿瘤医院
成都
中山大学附属第三医院
广州
第45名 综合排名
上海美中嘉和肿瘤门诊部
上海
中山大学附属第六医院
广州
哈尔滨医科大学附属第一医院
哈尔滨
第78名 综合排名
四川大学华西第二医院
成都
第70名 综合排名
广东省中医院
广州
上海长征医院
上海
厦门大学附属第一医院
厦门
南京鼓楼医院
南京
中国科大附一院
安徽
山东省公共卫生临床中心
济南
武汉大学中南医院
武汉
第55名 综合排名
中南大学湘雅二医院
长沙
第20名 综合排名
上海市肺科医院
上海
第42名 综合排名
吉林大学白求恩第一医院
长春
哈尔滨医科大学附属第二医院
哈尔滨
第67名 综合排名
广州医科大学附属第一医院
广州
第31名 综合排名
复旦大学附属妇产科医院
上海
第85名 综合排名
重庆大学附属肿瘤医院
重庆
中山大学附属肿瘤医院
广州
上海市第十人民医院
上海
中南大学湘雅医院
长沙
第15名 综合排名
复旦大学附属中山医院
上海
第5名 综合排名
华中科技大学同济医院
武汉
北京医院
北京
第60名 综合排名
上海交通大学医学院附属仁济医院
上海
第17名 综合排名
浙江省肿瘤医院
杭州
第8名 肿瘤科排名
北京京西肿瘤医院
北京
上海交通大学医学院附属瑞金医院
上海
第4名 综合排名
上海市胸科医院
上海
第80名 综合排名
湖南省肿瘤医院
长沙
江苏省肿瘤医院
南京
第9名 肿瘤科排名
中山大学附属第一医院
广州
第9名 综合排名
南方医科大学南方医院
广州
第18名 综合排名
上海市东方医院
上海
湖北省肿瘤医院
武汉
北京大学第一医院
北京
第12名 综合排名
河南省肿瘤医院
郑州
苏州大学附属第一医院
苏州
第54名 综合排名
武汉大学人民医院
武汉
第40名 综合排名
中国医科大学附属盛京医院
沈阳
第33名 综合排名
中国医科大学附属第一医院
沈阳
第16名 综合排名
上海东方肝胆外科医院
上海
复旦大学附属华山医院
上海
第8名 综合排名
广州泰和肿瘤医院
广州
云南省肿瘤医院
昆明
北京胸科医院
北京
第100名 综合排名
上海长海医院
上海
中山大学附属第五医院
珠海
哈尔滨医科大学附属肿瘤医院
哈尔滨
北京大学人民医院
北京
第21名 综合排名
上海市质子重离子医院
上海
西安交通大学第一附属医院
西安
第63名 综合排名
中国科学技术大学附属第一医院
合肥
第95名 综合排名
山东大学齐鲁医院
济南
第24名 综合排名
吉林省肿瘤医院
长春
辽宁省肿瘤医院
沈阳
山西省肿瘤医院
太原
新桥医院
重庆
浙江大学医学院附属妇产科医院
杭州
第91名 综合排名
北部战区总医院
沈阳
深圳市第三人民医院
深圳
杭州市肿瘤医院
杭州
南京市胸科医院
南京
中日友好医院
北京
第43名 综合排名
福建省肿瘤医院
福州
广东省人民医院
广州
第34名 综合排名
四川省肿瘤医院
成都
中山大学附属第三医院
广州
第45名 综合排名
上海美中嘉和肿瘤门诊部
上海
中山大学附属第六医院
广州
西南医院
重庆
福建医科大学附属第一医院
福州
第84名 综合排名
哈尔滨医科大学附属第一医院
哈尔滨
第78名 综合排名
兰州大学第二医院
兰州
四川大学华西第二医院
成都
第70名 综合排名
广东省中医院
广州
山东省立医院
济南
第52名 综合排名
上海长征医院
上海
厦门大学附属第一医院
厦门
南京鼓楼医院
南京
中国科大附一院
安徽
山东省公共卫生临床中心
济南
重庆医科大学附属第一医院
重庆
第48名 综合排名
武汉大学中南医院
武汉
第55名 综合排名
中南大学湘雅二医院
长沙
第20名 综合排名
上海市肺科医院
上海
第42名 综合排名
吉林大学白求恩第一医院
长春
东部战区总医院
南京
第58名 综合排名
中山大学孙逸仙纪念医院
广州
第64名 综合排名
东南大学附属中大医院
南京
第46名 综合排名
301医院
北京
四川省人民医院
成都
第38名 综合排名
哈尔滨医科大学附属第二医院
哈尔滨
第67名 综合排名
福建医科大学附属协和医院
福州
第88名 综合排名
广州医科大学附属第一医院
广州
第31名 综合排名
复旦大学附属妇产科医院
上海
第85名 综合排名
重庆大学附属肿瘤医院
重庆
中山大学附属肿瘤医院
广州
上海市第十人民医院
上海
中南大学湘雅医院
长沙
第15名 综合排名
复旦大学附属中山医院
上海
第5名 综合排名
华中科技大学同济医院
武汉
北京医院
北京
第60名 综合排名
上海交通大学医学院附属仁济医院
上海
第17名 综合排名
浙江省肿瘤医院
杭州
第8名 肿瘤科排名
北京京西肿瘤医院
北京
上海交通大学医学院附属瑞金医院
上海
第4名 综合排名
上海市胸科医院
上海
第80名 综合排名
湖南省肿瘤医院
长沙
上海新华医院
上海
江苏省肿瘤医院
南京
第9名 肿瘤科排名
中山大学附属第一医院
广州
第9名 综合排名
南方医科大学南方医院
广州
第18名 综合排名
上海市东方医院
上海
浙大二院
杭州
浙江大学医学院附属第一医院
杭州
第10名 综合排名
湖北省肿瘤医院
武汉
北京大学第一医院
北京
第12名 综合排名
河南省肿瘤医院
郑州
苏州大学附属第一医院
苏州
第54名 综合排名
武汉大学人民医院
武汉
第40名 综合排名
中国医科大学附属盛京医院
沈阳
第33名 综合排名
中国医科大学附属第一医院
沈阳
第16名 综合排名
上海东方肝胆外科医院
上海
浙江大学医学院附属邵逸夫医院
杭州
第49名 综合排名
复旦大学附属华山医院
上海
第8名 综合排名
广州泰和肿瘤医院
广州
云南省肿瘤医院
昆明
北京胸科医院
北京
第100名 综合排名
上海长海医院
上海
中山大学附属第五医院
珠海
哈尔滨医科大学附属肿瘤医院
哈尔滨
北京大学人民医院
北京
第21名 综合排名
上海市质子重离子医院
上海
和黄医药宣布武田取得FRUZAQLA(呋喹替尼) 的美国FDA批准用于治疗...
FDA 批准瑞戈非尼用于晚期结直肠癌
帕博利珠单抗在华获批 MSI-H/dMMR 结直肠癌新适应症...
结直肠癌治疗创新之选 瑞戈非尼正式在华上市...
我国自主研发呋喹替尼正式上市!治疗
PD-1免疫治疗药物帕博利珠单抗注射液(K药,可瑞达)治疗结直肠癌国内...
CR率达55.8%,特瑞普利单抗联合疗法为局部进展期直肠癌患者实现器...
周爱萍教授:DESTINY-CRC02研究首次结果公布,德曲妥珠单抗在消化道...
德曲妥珠单抗治疗HER2+ 转移性结直肠癌患者Ⅱ 期DESTINY-CRC02研...
病例分享 | 朱耀东:肝肠“存”断-爱必妥(西妥昔单抗)缩瘤方案,创造...
由中国发起的TAILOR研究夯实西妥昔单抗转移性结直肠癌一线治疗地...
Sotorasib治疗KRAS G12C突变结直肠癌研究(CodeBreaK100)结果公布...
搜索结果
结直肠癌药物分类
诊断技术和综合治疗更有效,生存率在提升丨权威发布中国结直肠癌流...
年轻结直肠癌患者生存率反而更低,这是什么道理?...
诊断技术和综合治疗更有效,生存率在提升丨权威发布中国结直肠癌流...
结直肠癌会遗传吗?遗传性结直肠癌—林奇综合征介绍...
不同患者为什么生存率差别那么大?结直肠癌的肿瘤生物学行为差异...
普通人群结直肠癌的发病率有多高?
其他热门专题
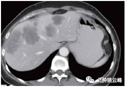
结直肠癌患者超过50%会发生肝转移:《中国结直肠癌肝转移诊断和综...
行医40年的老中医,在发现直肠癌晚期后,他选择了…...
结直肠癌肝转移如何诊断与随访?
结直肠癌发生肝转移,不要轻易放弃治疗,五年生存率可以达到近50%...
肝转移?腹膜转移?晚期大肠癌(结直肠癌)就“无可救药” 了吗?...
结直肠癌肝转移能否手术治疗?
当肠癌发生转移,临床仍有手术机会
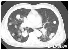
科普:什么是结直肠癌肺转移,结直肠癌肺转移还能活多久?...
其他热门专题
阿司匹林或能够抑制结直肠癌复发
阿司匹林防癌重要进展!服用阿司匹林超2年能降低林奇综合征人群患...
美国指南:小剂量阿司匹林可预防结直肠癌。
预防肠息肉:到底应该怎么吃?
防止“癌从口入”,这样吃东西,结直肠癌风险更低...
国家癌症中心发布最新肠癌指南:这10个重要提醒一定要看一看!...
50万人大数据研究:全谷物食物或可预防结直肠癌!...
餐桌上的“天然降压菜”!这样搭配,降压、通便、防肠癌!大量上市别错...
最新研究:青春期爱喝含糖饮料,成年后易患结直肠癌...
退休夫妻双双患结肠癌,或因两年来每天磕一斤多瓜子...
早发性结直肠癌越来越多,有哪些特点?要不要提早筛查?《柳叶刀》子刊...
其他热门专题










