肝癌首页

初识肝癌

诊断筛查

肝癌特药

肝癌治疗

寻医问诊

肝癌护理

肝癌并发症

肝癌复发转移

预防肝癌

首页 > 癌症分类 > 肝癌 > 寻医问诊

免疫联合靶向治疗+导航气管镜微波消融,解决肝癌肺转移患者难题

来源:解放军总医院 2023-11-05

近日,解放军总医院第五医学中心肿瘤医学部胡毅主任带领肿瘤介入团队与介入放射团队,在医学部派驻第一医学中心肿瘤中心介入放射科手术室,为61岁的高先生进行了电磁导航引导下经支气管左肺上叶结节微波消融治疗。
 

  高先生2020年6月因肝癌接受手术治疗,1年后发现肝转移。经过标准的免疫治疗联合靶向治疗,患者肺部转移灶绝大多数消失。今年7月复查时,发现左肺上叶转移灶较前增大。后经胡毅主任会诊,决定采取俗称OK方案的免疫治疗联合抗血管靶向治疗,该治疗方案是晚期肝癌最新的标准治疗,有效率高、副反应小,患者接受OK方案治疗后,肺部转移灶得到很好控制,期间生活质量良好。fgY帝国网站管理系统

  现患者左肺上叶病变进展提示局部病灶耐药可能,局部治疗是最佳选择。对于姑息性的局部治疗,能以最小的创伤和副反应对病变进行处理至关重要。于是建议患者入组“经支气管或经皮一站式微波消融在肺结节治疗中的安全性及有效性研究”。fgY帝国网站管理系统

 
图片
 
▲导航到达病变
  微波消融相较于外科手术、放射治疗等传统的局部治疗手段,具有微创、副反应小等优点。尤其是经支气管微波消融是经自然腔道,相较于经皮穿刺具有安全性更高的优点,出血、气胸等并发症几乎没有。因此,经支气管微波消融成为高先生肺转移灶局部治疗的最佳选择。
 
 
图片
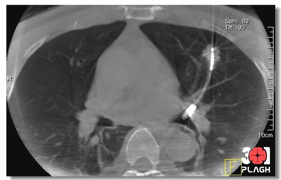
▲重建CT提示消融针位于病变中央
  因病变血供丰富,先由介入放射科付金鑫医生对病变进行栓塞,随后患者接受电磁导航气管镜引导下病变活检,后又进行肺结节经支气管微波消融,手术共历时60分钟,术后患者恢复好,即时复查肺部CT提示病变消融范围良好,患者无气胸、出血、发热等并发症发生。
图片
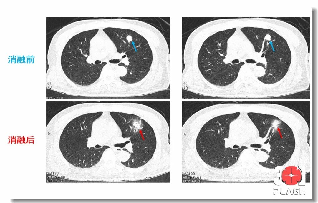
▲消融前后即时肺部病变对比
 
 

  肝癌是我国最常见的恶性肿瘤之一,尤其是晚期肝癌,因为对传统放化疗不敏感,预后极差。随着精准医学的进步,免疫治疗联合抗血管生成为主的靶向治疗使晚期肝癌的患者生存率得到明显提高,生活质量也得到明显改善。fgY帝国网站管理系统

 fgY帝国网站管理系统

  解放军总医院肿瘤医学部经过前期整合调整,已经成为国内综合医院最大的肿瘤中心,本着“多学科协作、患者最大获益”的原则,医学部内各个学科流畅地相互协作,最终帮助肿瘤患者得到最综合、全面的治疗。
 
 

专业擅长 肺癌的靶向治疗、免疫治疗等全程、综合治疗策略制定;神经内分泌癌治疗有丰富临床经验;擅长疑难肿瘤的个体化诊治

  • 肝癌手术
  • 介入治疗
  • 腹腔镜手术
  • 免疫药物

其他热门专题

  • 介入治疗
  • 免疫药物
  • 301医院
  • 解放军总医院

其他热门专题

  • 介入治疗
  • 浙大二院
  • 肝癌消融治疗
  • 消融治疗

其他热门专题

  • 介入治疗
  • 免疫药物
  • 301医院
  • 胡毅

其他热门专题

  • 钇90微球治疗
  • 放疗
  • 消融治疗
  • 福建省肿瘤医院

其他热门专题

  • 靶向药物
  • 转化治疗
  • 肝癌手术
  • 中山大学孙逸仙纪念医院

其他热门专题

  • 治疗中护理
  • 居家护理
  • 保健品
  • 抗癌饮食

其他肝癌护理专题

  • 影像学检查
  • 病理活检
  • 致癌因素
  • 血液检查

其他诊断筛查专题