近期,广州医科大学附属第一医院 肝胆外科汪国营教授团队 成功为87岁高龄肝内胆管癌患者 施行微创手术 术后恢复良好 术后第4天顺利出院
胆管癌是临床上一种常见的恶性肿瘤,号称是“癌中癌”,其发病隐秘,早期往往没有明显的症状,一旦发现就趋向后期,临床治疗非常棘手。
近日,广州医科大学附属第一医院肝胆外科汪国营教授团队借助荧光腹腔镜微创技术,为一名87岁高龄的肝内胆管癌患者成功实施了根治手术,术后患者恢复情况良好,目前已经康复出院。
张婆婆(化名)已经是87岁高龄,今年4月份,子女带她进行体检的时候却发现肝脏里面有问题,一个明显的肝内占位,到大医院进一步检查后诊断为肝内胆管癌。
胆管癌是一种高度恶性的、来源于胆管上皮细胞的肝内第二大常见肿瘤,占所有原发性肝脏恶性肿瘤的10%~20%。
得知这一情况后,家属着急万分,担心老人家的身体承受不了开刀手术的创伤,在朋友推荐下,来到广州医科大学附属第一医院肝胆外科汪国营主任的门诊求助。
考虑到患者年龄较大,又是肝脏恶性肿瘤,汪国营主任立即安排患者入院进一步诊治。通过一系列检查,以及肝肿物穿刺活检,病理明确为肝内胆管细胞癌。
“患者既往做过胆囊切除和甲状腺手术,并有高血压、冠心病病史,而且有一条冠脉血管重度狭窄,已经处于放冠脉支架治疗的边缘,这种情况下,手术出现心脑血管意外的风险非常高。”汪国营主任强调,为了提高手术安全性,围手术期管理非常重要,“手术是必须要做的,但前期的准备工作必须要充足。”
综合患者病史及各项检查评估,值得庆幸的是,张婆婆没有远处转移,肿瘤主要局限于肝脏S4段,但肿瘤紧贴肝中静脉,边界不清,并且高龄,直接手术出血风险非常大,围术期风险高,而且术后复发的风险也很大。
在这种情况下,汪国营主任根据肝胆肿瘤的最新国际研究进展,结合张婆婆的实际病情,制定了化疗+免疫治疗的新辅助治疗方案,进一步加强围术期心肺功能的管理,为后期的手术治疗寻找时机。

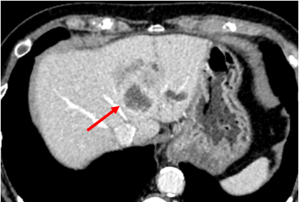
CT示新辅助治疗前肿瘤情况
(箭头示肿瘤压迫肝中静脉)
经过五个多月的新辅助治疗及围术期有效管理后,汪国营主任仔细分析了患者的各项检查报告,认为手术时机已经成熟,可以进行肿瘤根治手术,并将心脑血管意外风险降到最低。

CT示新辅助治疗后肿瘤情况
(肝中静脉已经显现清楚)
多学科讨论
考虑到张婆婆的病情比较复杂,患有高血压、冠心病基础疾病,而且属于高龄,汪国营主任组织了科内术前病例讨论,并邀请心血管内科、麻醉手术科、重症医学科等专家进行多学科会诊,做好术前心肺管理、术中麻醉管理、术后转重症监护管理的可能,全方位、全程为患者保驾护航,尽可能保证围术期安全。
“经过综合评估,我们建议采取荧光腹腔镜技术,可以进行精准定位、精准切除,尽可能降低对患者的创伤。”汪国营主任表示,“为这么高龄且患有心脏基础疾病的患者开展微创治疗手术风险非常大,必须降低气腹压力、严格控制手术时间、避免大量出血,将手术风险降至最低,我们有术中麻醉科、术后重症医学科团队作为后盾力量,对于患者手术安全是非常有信心的。”

术中示荧光显像,做到精准肝切除
在麻醉科、手术室的默契配合下,汪国营主任带领团队全神贯注投入到这场事关生死的手术之中。术中开启荧光模式后,肝门部及肝外的所有肝胆管分支、包括病变的位置,都会以特殊的颜色清晰呈现出来,有了这条清晰的分界线,犹如给手术医生加装了“导航仪”,可以更加精准切除肿瘤,大大增加了手术的安全性和根治性。
手术过程中,患者的生命体征平稳,出血量极少,无需输血。术后麻醉复苏顺利,成功拔除气管插管,平安送回普通病房。在肝胆外科医护团队精心照护下,张婆婆术后恢复良好,术后第4天便顺利康复出院。
早期肝脏肿瘤没症状,体检要重视
为什么患者的肝脏已经长了肿瘤,但并没有出现腹部胀痛的感觉呢?汪国营主任介绍到,很多肝脏肿瘤患者都没有明显症状,因此体检显得格外重要。
“对于发现有肝癌的高龄患者,我们主张个体化的综合治疗,要为根治手术创造最合适的条件,保障患者的生命安全永远是第一位的。”汪国营主任表示,合并心肺脑肾等重要脏器基础疾病的肝癌患者,手术风险较大,围术期发生心脑血管意外、重要器官功能衰竭风险较大,往往需要加强围术期管理,降低手术风险,再考虑手术治疗。
对于张婆婆的手术治疗,汪国营主任采取“迂回战术”,先将外环境调理好,再借助荧光腹腔镜微创技术的优势精准切除S4段的肝癌,使患者创伤更小,术后恢复更快,“一台高难度手术成功的背后,不仅仅是靠医术精湛的手术医生,更是整个医院的综合整体水平的体现,这是我们特色,也是优势所在。”
广州医科大学附属第一医院肝胆外科是以胆道微创外科、肝癌综合治疗、肝脏移植为专业特色和优势。在肝癌治疗方面,拥有目前指南推荐的所有的肝癌治疗手段,包括局部消融、手术切除、肝脏移植、介入治疗、放射治疗、靶向和免疫药物治疗、中医中药等。
随着医院集合众多优势学科力量成立了“肿瘤医学中心”,在肿瘤的全程治疗方面充分发挥多学科协作的力量和优势,特别是针对合并其他器官基础疾病的肝癌患者,可以综合多学科专家意见,为患者制定个体化的综合诊疗方案,实现精准化治疗效果。
专家介绍
汪国营
广州医科大学附属第一医院
肿瘤医学中心-肝胆肿瘤中心主任
肝胆外科主任
主任医师,博士生导师,医学博士
中国医师协会器官移植医师分会委员、中国研究型医院学会普外青年委员会副主任委员、广州市医师协会肝胆胰外科医师分会主任委员、广东省医学会数字医学分会副主任委员、广东省肝脏病学会器官移植专业委员会副主任委员、广东省医学会肝胆胰外科学分会常委、中华消化外科菁英会移植外科学组副组长、首届树兰卓越工程器官移植青年人才、首批广东省杰出青年医学人才、第七届羊城好医生
专业方向:
擅长肝胆胰脾外科疑难危重疾病的诊治、复杂肝胆胰脾外科及肝脏移植手术,在腔镜微创外科技术、肝癌的规范化综合诊治、门脉高压症的外科治疗、肝移植的原发病复发和并发症防治等方面有丰富经验。
开诊时间:
荔湾区.大坦沙院区
周三下午
越秀区.沿江院区
周二上午






















































































