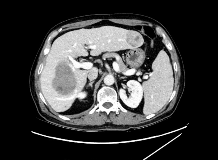
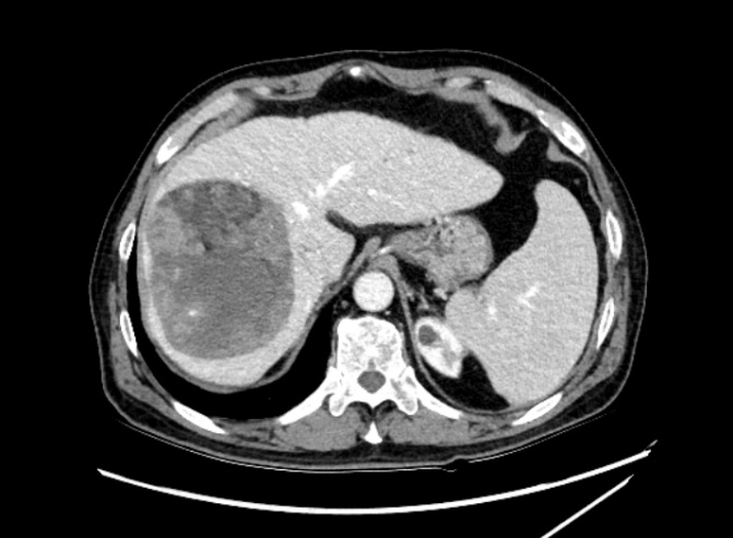
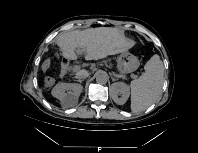
肿瘤体积超过半个肝 71岁的刘先生最近背部酸痛明显,活动受限,行走困难,就连晚上睡觉也只能趴着睡,但凡一扯到背部的肌肉,那种剧烈的疼痛让他直冒冷汗,连续贴了一个多月的膏药也无法有效缓解。 放心不下的他来到了浙江省人民医院越城院区就诊,医生为他做了胸片CT平扫后,发现他的肝脏部位隐隐约约有一个很大的肿块,建议做进一步的检查。 突如其来的噩耗让刘先生担忧不已,多方打听下,他慕名来到了肝胆胰外科、微创外科主任助理尚敏杰副主任医师处寻求帮助。 “经过磁共振等一系列检查,我们发现患者的右肝有个直径13公分的巨大恶性肿瘤,以及左肝也有一个鸡蛋大小肿块,两处肿瘤加起来,体积竟超过半个肝脏,甚至还有部分肿瘤已经累及横隔膜的可能。此外患者本身还有肝硬化、乙肝等疾病,治疗难度极大。” 术前左右肝可见占位 尚敏杰介绍,目前手术治疗是肝脏恶性肿瘤获得长期生存最重要的手段。好在患者肿瘤包膜完整,手术切除有价值,患者如果想要获得根治性切除,必须切除整个右侧半肝、左肝部分,以及部分膈肌,而根据三维成像技术电脑测算,切除所有肿瘤后,左侧半肝扣除左肝肿块后剩余肝体积不足45%,且患者有伴有慢性乙型肝炎肝硬化,属于极量肝切除。 术前拟保留肝脏体积标记计算 充分考虑后,刘先生最终还是选择了手术治疗。为了确保手术万无一失,肝胆胰外科、微创外科主任张成武主任医师与尚敏杰团队反复讨论手术方案、精心准备,最终在呼吸科、麻醉科、心血管内科等多个科室的大力配合下,手术顺利完成,肿瘤被完整切除,而且术中仅出血800毫升。术后患者出现一过性黄疸升高,进行了护肝治疗,并及时引流了在右胸腔内的反应性胸水,不久后患者整体体征逐渐趋于平稳,平安出院了。 术后复查残余部分左肝 3D成像软件精准评估 可耐受极量肝切除体积 肝脏可以切掉一部分吗? 肝脏是一个非常重要的器官,是人体代谢的中心,主要功能是分泌胆汁,参与蛋白质、脂肪、糖类的代谢,另外还有着解毒、凝血和造血的功能。一般情况下,正常的肝脏可以切掉一部分,只要残余体积不小于30%,肝细胞就可以代偿正常人体所需要的各种功能。 张成武介绍,肝脏切除后,剩余的肝脏会肥大再生,恢复到原来的体积,以适应机体的各种功能。 但是…… 如果患者本身肝脏有慢性肝炎、肝硬化等基础疾病,可能会导致肝脏的再生能力会减弱,恢复时间较久,一般手术后残余肝脏体积不能小于40%,如果切除体积超过此界限后,患者可能会出现肝脏功能不全甚至肝功能衰竭的风险,死亡率较高。 “一般来说,手术前我们往往都会评估患者肝脏的储备功能,通过CT图片用3D成像软件标记剩余的肝脏,计算剩余肝脏与标准肝体积的比值,来评估肝脏是否耐受极量肝切除体积。” 患者在肝脏切除手术后,肝脏合成蛋白的能力降低,因此补充优质蛋白非常必要,建议少量多餐,多吃含有优质蛋白的食物如鱼、虾、蛋、奶、瘦肉等。另外可以多吃些新鲜的蔬菜和水果,及时补充维生素,增强身体免疫力。避免过度劳累、熬夜。 肝胆胰外科、微创外科 浙江省人民医院肝胆胰外科、微创外科是浙江省医学重点学科(支撑学科)、浙江省重点学科群(微创外科学科群)核心科室,医院重中之重学科。以肝胆胰疾病微创手术治疗为特色,80%以上为微创手术,年均腹腔镜肝胆胰肿瘤手术超过500例,开展腹腔镜肝门部胆管癌根治性切除、腹腔镜胆囊癌根治术、腹腔镜巨大肝癌切除、腹腔镜二步肝切除、腹腔镜保留十二指肠的全胰切除、腹腔镜RAMPS手术等高精尖手术。另外,科室开展的腔镜减重和腔镜胃食管反流病等特色手术量居省内前三,综合实力居国内领先水平。













































































