肺癌首页

初识肺癌

诊断筛查

肺癌特药

肺癌治疗

寻医问诊

肺癌护理

肺癌并发症

肺癌复发转移

预防肺癌

首页 > 癌症分类 > 肺癌 > 寻医问诊

咳嗽伴有呼吸困难,竟是肿瘤在肺里“疯长”……

来源: 浙江省肿瘤医院 2023-06-13

本以为是普通的感冒咳嗽ewb帝国网站管理系统

竟是肿瘤在肺里“疯长”ewb帝国网站管理系统

一场急诊手术结合抗肿瘤治疗ewb帝国网站管理系统

把他从濒死边缘拉了回来......ewb帝国网站管理系统

咳嗽两月余确诊肺癌 致命危险以倍速逼近ewb帝国网站管理系统

来自金华的老许(化名)今年五十多岁,身体一向硬朗。1月起,他时有咳嗽,本以为只是普通的季节性感冒,扛一扛就好了。可一运动,呼吸急促的症状就会迅速加重,于是老许去当地医院做了检查。ewb帝国网站管理系统

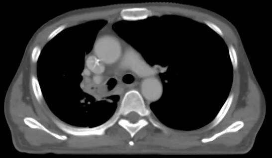
当地医院的检查结果让他大吃一惊:肺癌。气管镜结果并不乐观,肺部的病灶已经完全阻塞了右侧支气管。ewb帝国网站管理系统

图片ewb帝国网站管理系统

(病灶完全阻塞右侧支气管)ewb帝国网站管理系统

在接下来的2个多月,老许的病情急转直下,肿块像一只手掐住了喉咙,呼吸都变得困难,也无法平躺睡觉。ewb帝国网站管理系统

当辗转来到浙江省肿瘤医院胸部放疗科副主任医师孙晓江的诊室时,已经无法说出一句完整的话。考虑到病情凶险,孙主任立即将老许紧急收治住院。ewb帝国网站管理系统

 ewb帝国网站管理系统

松开死神的手 多学科接力解除危机ewb帝国网站管理系统

可就在紧急收治住院的当晚,老许血氧饱和度一度掉到65%,生命垂危。孙晓江副主任医师深知,如果不立刻抢救,患者随时都有生命危险。他立刻发起紧急会诊,内镜科朱大鹏副主任和综合内科副主任医师宋嘉马上赶回医院,但在这么低的氧饱和度下在内镜中心进行进一步操作危险性极大,需要在ICU病房进行气管插管才能进行气管镜下介入治疗。重症医学科柳开忠主任给予开通绿色通道,并为患者进行气管插管。ewb帝国网站管理系统

在ICU病房内,朱大鹏副主任和宋嘉副主任医师通过高频电切+冷冻术的方式,为老许实施了左主支气管肿物切除。ICU外老许的家人愁容满面地焦急等待,在ICU内医生通力合作逐步在惊险中进行气管再通。所幸的是,气管通了,生命通道也打开了,术后老许的血氧饱和度迅速恢复到正常范围,终于脱离了生命危险。ewb帝国网站管理系统

 ewb帝国网站管理系统

“疯长”的肿瘤再次阻塞气管 抗肿瘤组合拳击退癌细胞ewb帝国网站管理系统

虽然一时的危机得到解除,然而死神仍在老许身后穷追不舍。老许体内的肿瘤生长速度很快,随时有可能再次阻塞器官。术后的支气管镜检查结果显示,右肺上叶又被新生肿块完全阻塞,并且无法直接通过手术在内镜下切除。ewb帝国网站管理系统

 ewb帝国网站管理系统

对此,孙晓江主任结合患者病情和检查结果,制定了放射治疗联合同步化疗的方案,并在术后的第二天,立刻展开针对阻塞右主支气管肿瘤的放射治疗。专家团队的精诚合作和老许的积极配合,让一度嚣张“疯长”的肿瘤节节败退,在经历一个月同步放化疗后。肿块逐渐退缩,老许终于能顺畅的呼吸和说话了,这意味着病情得到了控制。ewb帝国网站管理系统

现在的老许已进入免疫巩固治疗阶段。这周,老许怀着忐忑的心情第一次来找孙晓江主任门诊复查。孙晓江主任把“肿瘤明显缩小”结果告诉了他。ewb帝国网站管理系统

“我现在每天神清气爽,感谢孙主任团队急人所急,妙手回春!”经历了这场生死劫,老许难掩内心激动,一连说了三个成语,要知道在三个月前这段妙语连珠他根本无法做到。ewb帝国网站管理系统

 

这些早期肺癌信号要警惕!ewb帝国网站管理系统

肺癌是影响居民生命健康的一大杀手,在最新出炉的《2022浙江省肿瘤登记年报》中,肺癌也位列全省癌症发病率和死亡率的首位。肺癌不仅发病率高,早期症状也难以发现。孙晓江主任介绍,早期的肺癌基本上没有明显的症状,待肿瘤长到一定程度,即已经进入中期、晚期,压迫了肺、气管、血管和食管等周围器官时,才会表现出明显的症状。ewb帝国网站管理系统

如果身体出现咳嗽、发热、痰中带血、声音嘶哑、胸痛、面颈部浮肿等信号,或者在无剧烈活动的情况下出现胸闷、憋气的症状,应及时到医院检查。专家提醒,40岁以上常吸烟、接触煤烟、特殊职业、慢性阻塞性肺病或者有肺癌家族史的人群应进行低剂量螺旋CT检查。ewb帝国网站管理系统

 ewb帝国网站管理系统

男,现担任浙江省肿瘤医院胸部肿瘤放疗科副主任医师,研究方向为胸部肿瘤如肺癌、食管癌、乳腺癌、胸腺瘤等以放疗为主的综合治疗,参与省内首批早期肺癌患者的立体定向放射治疗及功能影像指导放射治疗技术的开展,省内首批至国外学习质子治疗技术,对于肺癌、食管癌、乳腺癌、胸腺瘤等胸部肿瘤治疗有丰富的经验。

  • 肺癌手术
  • 单孔胸腔镜手术
  • 肺结节
  • 肺结节手术

其他热门专题

  • 单孔胸腔镜手术
  • 机器人手术
  • 胸腔镜手术
  • 陈海泉

其他热门专题

  • 上海市肺科医院
  • 立体定向放疗
  • 许亚萍
  • 301医院

其他热门专题

  • 治疗中护理
  • 居家护理
  • 保健品
  • 抗癌饮食

其他肺癌护理专题

  • 影像学检查
  • 病理活检
  • 肺结节
  • 基因检测

其他诊断筛查专题